A Rare Complication of Targetted Therapy: Pazopanib-Induced Intestinal Lymphangiectasia

A Rare Complication of Targetted Therapy: Pazopanib-Induced Intestinal Lymphangiectasia

Haran Nilesh N *1, Juvekar Shashikant L 2


1. Consultant, Department of Radiology, National Cancer Institute, Nagpur, Maharashtra, India.

2. Head of Department, Department of Radiology, National Cancer Institute, Nagpur, Maharashtra, India.


*Correspondence to: Haran Nilesh N MD, Consultant, Department of Radiology, National Cancer Institute, Nagpur, Maharashtra, India.


Copyright

© 2025 Haran Nilesh N. This is an open access article distributed under the Creative Commons Attribution License, which permits unrestricted use, distribution, and reproduction in any medium, provided the original work is properly cited.

Received: 21 February 2025

Published: 25 February 2025

DOI: https://doi.org/10.5281/zenodo.14963952


A Rare Complication of Targetted Therapy: Pazopanib-Induced Intestinal Lymphangiectasia

Introduction

Intestinal lymphangiectasia is thought to be caused by blockage of the lymphatic flow.

Primary is thought to be caused by congenital defects that affect the formation of lymphatic vessels. Secondary is thought to be caused by other underlying conditions that increase the pressure within the lymphatic vessels, such as intra-abdominal infections, tumors, or cirrhosis. However, in the absence of these underlying diseases, even secondary, much of the etiology of intestinal lymphangiectasia is currently unknown. [1] the expression of vascular endothelial growth factor receptor 3 (VEGFR3) and lymphatic vessel endothelial hyaluronan receptor-1 was increased on the intestinal mucosal surface and decreased in the deep mucosal layer in patients with intestinal lymphangiectasia.

The clinical course of our patient indicates that pazopanib plays an important role in the development of intestinal lymphangiectasia [2]. A review of molecularly targeted drugs showed the possible development of intestinal lymphangiectasia in patients taking pazopanib or axitinib.

Pazopanib is a multikinase inhibitor with VEGFR, platelet-derived growth factor receptor, and Kit as its target molecules, and these effects may have caused the development of intestinal lymphangiectasia in the present case.


Discussion

Intestinal lymphangiectasia is a rare disease characterized by dilatation of the intestinal lymphatics and loss of lymph fluid into the gastrointestinal tract, leading to hypoproteinemia, edema, lymphocytopenia, and hypogammaglobulinemia. Endoscopic abnormalities are obvious and include scattered white spots and white swollen villi corresponding to marked dilation of the lymphatics within the intestinal mucosa. [3]

In the present case CT examinations showed characteristic findings, and the patient was diagnosed with intestinal lymphangiectasia. [6]

This rare case highlighted the importance of monitoring patients on tyrosine kinase inhibitors for unusual side effects. Radiologist and oncologists should be aware of the potential risk of in intestinal lymphangiectasia associated with pazopanib and other VEGFR inhibitors. In this case, the discontinuation of pazopanib was necessary to manage intestinal lymphangiectasia.


Case Report

A 27-year-old male with complaints of swelling and pathological fracture involving the right iliac bone and was diagnosed as pleomorphic undifferentiated sarcoma on CT guided biopsy from the soft tissue mass.

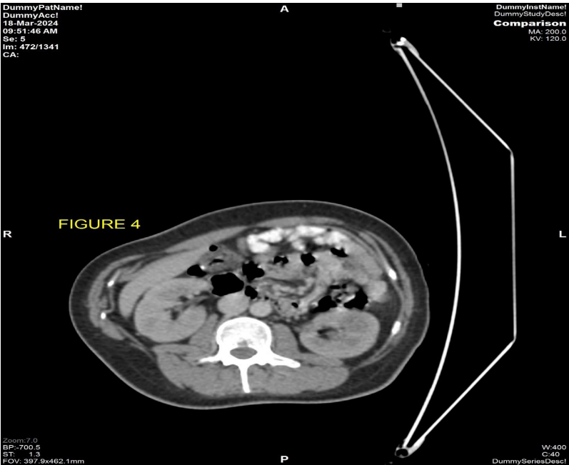
The patient underwent MRI pelvis (Fig 1 & 2) and PETCT (Fig 3 & 4) for initial evaluation (03/2024) at our institute which showed ill-defined large altered signal intensity heterogeneously enhancing mass in the right lumbar region with both intra as well as intrapelvic component by causing erosion of the right iliac bone involving the adjacent iliopsoas and gluteus muscles with central necrosis. On PET-CT scan the lesion showed significant FDG uptake with no other abnormality in the rest of the scan. Text the patient was planned for neoadjuvant chemotherapy and then for surgery. Patient took 2 cycles of neoadjuvant chemotherapy (Holoxan and Adriamycin), but after 2 cycles of chemotherapy response evaluation MRI was done (01/07/2024) (Fig 5) which showed increase in the size of lesion, so patient was planned for targeted therapy ie tyrosine kinase inhibitors, Pazopanib.

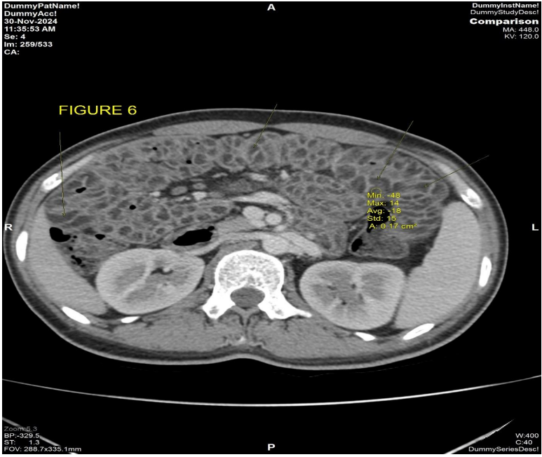
Response scan was done on 10/2024 (Fig 6) which showed mild interval decrease in the size and increase in necrosis of the right lumbar region lesion, with no other symptoms, show continued on pazopanib.

Patient complaint of abdominal pain with diarrhea and weight loss since 1 month, so a CECT thorax abdomen pelvis (Fig 6) was performed on 30/11/2024, which showed no interval change in the size and necrosis of the right lumbar region lesion, however there was new onset significant bowel wall thickening with submucosal fat deposition (-18 HU) mild luminal narrowing involving the entire jejunum with maximum thickness of 15 mm. [4]

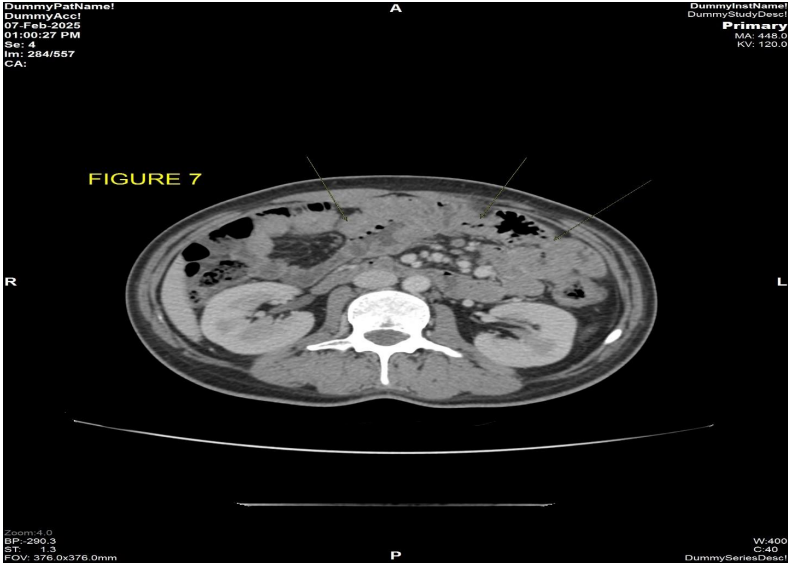
The patient was counselled for stopping the Pazopanib therapy and started on Injection Gemcitabine and Docetaxel and was asked to follow up after 3 cycles of treatment.

On follow up CECT thorax abdomen pelvis scan (Fig 7) dated 07/02/2025 there is complete resolution of bowel wall thickening and submucosal fat deposition seen involving the jejunal loops with resolution of the symptoms of abdominal pain and diarrhea. [5]

 

Figure 1 & 2: MRI pelvis dated 03/2024 axial and coronal view T1 post-contrast sequence shows ill-defined heterogeneously enhancing necrotic mass measuring approximately 9.8 cm in AP dimension is seen involving the right lumbar and pelvic region causing erosion of the adjacent right iliac bone and transverse process of S1 and S2 Vertebrae with both intra as well as extrapelvic component.

Figure 3: PETCT scan dated 03/2024 axial pelvic view shows ill-defined heterogeneous significantly FDG avid necrotic mass involving the right lumbar and pelvic region causing erosion of the adjacent right iliac bone and transverse process of S1 and S2 Vertebrae with both intra as well as extrapelvic component.

Figure 4: CT component of PETCT scan dated 03/2024 axial abdomen view shows normal small bowel wall with no obvious thickening seen.

Figure 5: MRI pelvis dated 07/2024 axial view T1 post-contrast sequence shows interval increase in the size of ill-defined heterogeneously enhancing necrotic mass measuring approximately 10.5 cm in AP dimension involving the right lumbar and pelvic region causing erosion of the adjacent right iliac bone and transverse process of S1 and S2 Vertebrae with both intra as well as extrapelvic component.

Figure 6: CECT abdomen dated 30/11/2024 axial post contrast view shows diffuse circumferential bowel wall thickening with submucosal fat is seen involving the jejunal wall with HU of -13, consistent with fat.

Figure 7: CECT abdomen dated 07/02/2024 axial post contrast view shows complete resolution of the previously seen diffuse circumferential bowel wall thickening with submucosal fat is seen involving the jejunal loops.


Conclusion

In patients with general malaise, hypoalbuminemia, and anemia despite normal endocrine function, it is necessary to consider the possibility that small intestinal lymphangiectasia may have developed during the treatment with multikinase inhibitors. In addition, radiologists should pay attention to the presence of characteristic thickening of the small intestinal wall on CT images in patients who have been taking multikinase inhibitors for a long time. As the condition is reversible after discontinuation of the drug.

 

Conflict of Interest; None declared

Funding; None declared


References

1. Kimihiko Masui Et al, A rare case of intestinal lymphangiectasia induced by pazopanib

2. Vardy PA, Lebenthal E, Shwachman H. Intestinal lymphangiectasia: a reappraisal. Pediatrics 1975; 55:842-851

3.Fox U, Lucani G. Disorders of the intestinal mesenteric lymphatic system. Lymphology 1993; 26:61-66

4. Dal Mo Yang and Dong Hae Jung, Localized Intestinal Lymphangiectasia: CT Findings

5. Fakhri A, Fishman EK, Jones B, Kuhajda F, Siegelman SS. Primary intestinal lymphangiectasia: clinical and CT findings. J Comput Assist Tomogr 1985; 9:767-770

6. Puri AS, Aggarwal R, Gupta RK, et al. Intestinal lymphangiectasia: evaluation by CT and scintigraphy. Gastrointest Radiol 1992; 17:119-121.

Figure 1

Figure 2

Figure 3

Figure 4

Figure 5

Figure 6

Figure 7

antarmuka fokus mahjong daya pengguna aktifaws grid serasi mahjong dasar tahapan terjagaaws jejak mekanisme mahjong arah fase lanjutanaws kajian wild berantai mahjong interaktif analitisaws kesesuaian persentase layanan mahjong seluler lanceraws pendalaman persentase mahjong gerak wild mutakhircorak langka mahjong tumbuh perlahan berubahgerak mahjong adaptasi mekanisme pemakai sekarangnalar scatter mahjong malam putaran ekstratempo mahjong kaitan mekanisme keadaan terkinialur permainan mahjong cepat scatter wilddalam hitungan detik scatter wild mahjongmenyatukan naluri pola scatter hitam mahjongmomen mahjong permainan berbalik arahmomen singkat mahjong dinamika permainanperpaduan insting pola scatter hitam momentperubahan drastis mahjong ways scatter wildscatter wild mahjong datang polasekejap berubah scatter wild mahjong wayssensasi baru mahjong lebih scatter wildenergi scatter emas irama reel mahjongevolusi reel mahjong balutan mistisintervensi cepat emas momentum lamakemunculan mendadak naga emas mahjongketika scatter naga emas aktif mahjongnaga emas muncul arah spin mahjongnaga emas ritme mahjong ways berubahrahasia rtp tinggi balik scatter hitamsaat scatter naga emas alih irama reelscatter hitam kunci lonjakan rtp mahjonge5 scatter wild memberikan sentuhan baru di setiap spin mahjong ways 2e5 scatter wild menghidupkan suasana permainan mahjong ways 2e5 scatter wild mengubah pola permainan mahjong ways 2 secara signifikane5 setiap putaran mahjong ways 2 terasa berbeda dengan scatter wilde5 strategi adaptif berbasis analisis rtp hariane5 strategi berbasis data dan algoritma untuk analisis momentume5 strategi berkembang berkat data rtp hariane5 strategi memahami algoritma untuk mengidentifikasi momentum ideale5 strategi membaca pola algoritma demi menangkap momentum optimale5 strategi modern mengandalkan evaluasi rtp hariane5 strategi responsif dengan dukungan evaluasi rtp hariane5 strategi terukur dengan analisis rtp hariane5 struktur scatter dan wild terlihat jelas berkat analisis sistem moderne5 tanpa disadari kombinasi ini sering mengarah ke scatter di mahjong wins 3e5 teknik evaluasi algoritma untuk mendapatkan momentum yang tepate5 teknik observasi sistem untuk analisis momentum yang lebih presisie5 terungkap formasi ini sering jadi awal munculnya scatter di mahjong wins 3e5 transformasi digital rtp live berkat artificial intelligence inovatife5 transformasi ritme mahjong ways 2 dipicu oleh kekuatan scatter wilde5 wajib tahu pola tersembunyi ini sering menghasilkan scattere5 applee5 bananae5 candye5 doge5 eaglee5 falcone5 geminie5 horsee5 indiae5 japananalisa pola mahjong ways rutinanalisis kinerja heuristik variansi gameanalisis pola mahjong ways hariananalisis pola mahjong ways kebiasaanera baru mahjong wins bonus optimalgebrakan bonus mahjong wins mekanisme efisieninsight pola mahjong ways rutinkajian pola mahjong ways rutinkomparasi heuristik variansi game digitalledakan bonus mahjong wins sistem efektifmahjong wins bonus sistem generasi baruobservasi pola mahjong ways harianpendekatan algoritma heuristik variansi gameperbandingan model heuristik variansi gamerahasia bonus mahjong wins sistem cerdasrangkuman pola mahjong ways harianringkasan pola mahjong ways harianstudi pola mahjong ways hariantinjauan heuristik variansi game digitaltinjauan pola mahjong ways harianalur sombol mahjong kemunculan scatterdari rtp mahjong bermain lebih efektifjejak scatter mahjong putaran tenangkejutan scatter wild simbol mahjong arahkemunculan simbol ganda membuat mahjongketika grid mahjong scatter semakin dekatketika rtp mahjong pola mulai lebih jelasketika scatter wild ritme simbol mahjongketika scatter wild titik sesi mahjong waysketika susunan simbol mahjong ritme scattermemahami rtp mahjong cara bermain lebihpergerakan simbol mahjong scatter wildpergeseran mahjong ketika scatter hadirsaat rtp mahjong terbaca baik strategisaat scatter hadir simbol mahjong bergeserscatter wild dinamika simbol mahjongstabilitas putaran mahjong pola scattersusunan baru reel mahjong scatter emassusunan mahjong wins mengandung scattersusunan simbol mahjong diam pola scatterrm menguak keunikan mahjong wins sudut pandang teknisrm cara memahami pergerakan mahjong ways tenaga ekstrarm mahjong wins standar baru industri hiburan digitalrm rahasia ketahanan mahjong ways eksis gempuran gamerm pentingnya memahami transisi level mahjong wins mendalamrm strategi mengatur tempo mahjong ways kendali permainanrm peran kecerdasan buatan mekanisme mahjong wins adilrm alasan keberhasilan mahjong ways mencuri perhatian analisrm mempelajari struktur dasar mahjong wins efisiensi putaranrm inovasi desain mahjong ways kesan bermain responsifrm teknik observasi mahjong wins jarang dibahas dampakrm cara mempertahankan fokus dinamika mahjong ways cepatrm eksplorasi fitur tersembunyi mahjong wins ritme terbaikrm mahjong ways integrasi teknologi modern keamanan nyamanrm analisis faktor pendukung mahjong wins digemari generasirm langkah efektif menyesuaikan perubahan sistem mahjong waysrm mengintip proses pengembangan mahjong wins kualitas penggunarm analisis data membantu membaca arah mahjong waysrm menemukan titik temu insting logika mahjong winsrm transformasi besar mahjong ways menghadirkan tantangan menarikmengungkap simbol langka nasib drastismisteri besar kombinasi simbol langkamisteri simbol langka keberuntungan besarsimbol langka misterius ubah hiduprahasia simbol langka nasib cepattransformasi bonus mahjong wins sistem efektifmahjong wins suguhkan bonus sistem modernsuguhan bonus efisien mahjong winsefektivitas sistem bonus mahjong winsmahjong wins hadirkan bonus sistem optimaloke76cincinbetaqua365slot gacorstc76samurai76TOBA1131samurai76 login