Bare Lymphocyte Syndrome Case Report: A Rare IBD Mimicking Entity

Bare Lymphocyte Syndrome Case Report: A Rare IBD Mimicking Entity
H. Cherkaoui1,2*, H. Ouair 3, A. Bachir Kattara 3, J. Elbakkouri 4, L. Benaddia 5, M.Bousfiha 3,4 , A. Ibrahimi 1,2M. Abkari 1,2 H. Abid 1,2

 

1 Hepato-gastroenterology Department, Hassan II University Hospital, Fez, Morocco

2 Faculty of Medicine and Pharmacy, Sidi Mohammed Ben Abdellah University, Fez, Morocco

3 Clinical immunology laboratory, pediatric infectious disease. Abderrahim Harrouchi Children’s Hospital, Ibn Rochd University Hospital, Casablanca.

4 Laboratory of clinical immunology, inflammation and allergy, Faculty of Medicine and Pharmacy, Hassan II University of Casablanca.

5 Liberal doctor

*Correspondence to: H. Cherkaoui; Hepato-gastroenterology Department, Hassan II University Hospital, Fez, Morocco, Faculty of Medicine and Pharmacy, Sidi Mohammed Ben Abdellah University, Fez, Morocco.


Copyright

© 2025 H. Cherkaoui, This is an open access article distributed under the Creative Commons Attribution License, which permits unrestricted use, distribution, and reproduction in any medium, provided the original work is properly cited.

Received: 20 February 2025

Published: 28 February 2025

DOI: https://doi.org/10.5281/zenodo.15140921

           

Abstract

We report the case of a 26-year-old female who was initially diagnosed with ulcerative colitis and put on steroids and azathioprine with an excellent therapeutic response. This patient presented a urinary infection, a colitis flare, and abnormal liver tests. HLA deficiency, a rare primary immune deficiency with very few cases reported, mainly around the Mediterranean Sea, was discovered upon investigation. HLA deficiency is a primary immune deficiency that occurs in childhood; it is rarely seen in adult patients, making this patient the longest-surviving HLA deficiency patient without treatment reported in the literature. Our case is unique because of the late discovery of HLA deficiency in this patient and its rarity as a differential diagnosis of inflammatory bowel disease. Upon the diagnosis' identification, we initiated a therapeutic regimen comprising antibiotics, ganciclovir, and immunoglobulins. Unfortunately, the patient succumbed to the sepsis despite intervention. The takeaway from the case report is to evoke IBD-like presentations of immune deficiencies when faced with refractory IBD, extra-intestinal symptoms, or an atypical presentation and to screen patients accordingly.

Keywords: HLA deficiency, ulcerative colitis, primary immune deficiency, immunoglobins, inflammatory bowel disease.


Bare Lymphocyte Syndrome Case Report: A Rare IBD Mimicking Entity

Abbreviations

- BLS: Bare lymphocyte syndrome

- Bp: Base pair

- CMV: Cytomegalovirus

- Del: deletion

- ENT: Ear, Nose Throat

- HLA: Human Leucocyte antigen

- IBD: Inflammatory bowel disease

- MHC: Major histocompatibility complex

- NIV: Noninvasive ventilation

- PCS: primary cholangitis sclerosis

- Sa: Splice acceptor

- Sd: Splice donor

- UC : Ulcerative colitis

 

Introduction

Human leukocyte antigen ( HLA) deficiency is a primary immune deficiency affecting cellular and humoral immunity [1]. It is an autosomal recessive immune deficiency characterized by the complete or partial absence of HLA expression. Loss of HLA antigen results in a total dysfunction of the immune system mimicking severe combined immune deficiency. It is a rare deficiency, with 80 known cases worldwide from 60 families [2]. The only curative treatment is bone marrow transplantation [2].

The diagnosis is often made in childhood before repeated infections, and the diagnosis in adulthood is exceptional.

Our case is unique because it highlights the importance of differential diagnosis of IBD, especially in atypical cases: extra-intestinal presentations and lack of response to conventional therapies. The gastroenterologist should always think about immune deficiency in those atypical presentations. Bare lymphocyte syndrome, which usually presents itself in childhood, was only discovered in adulthood for this patient, making our case the longest-surviving bare lymphocyte syndrome case reported in the literature.

 

Case Report

We report the case of a 26-year-old female patient from a non-consanguineous marriage with a history of repeated respiratory infection whose brother died in childhood from a severe respiratory disease. She consulted in October 2019 for bloody diarrhea that started two weeks earlier. Screening for common GI infections, including C. difficile, was negative.

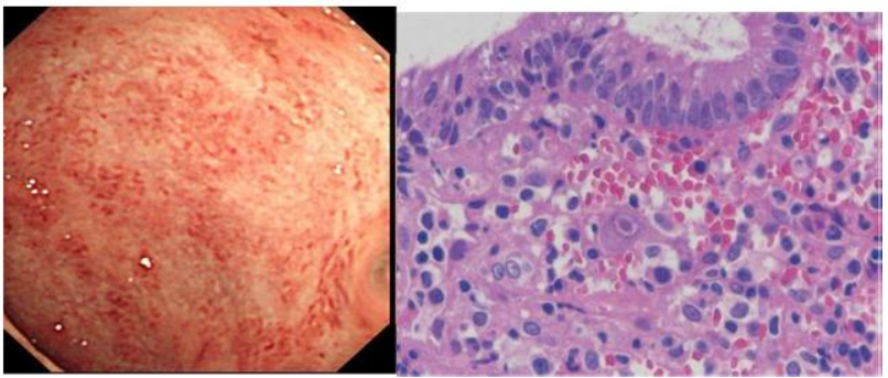
The endoscopy showed an erythematous ulcerative with continuous rectosigmoiditis (Image 1), and the rest of the colon was regular. Pathology showed basal plasmacytosis and crypt architectural distortion. EGD was normal. CT scan showed a sigmoid thickening and no signs of inflammation in the small bowel. She was put on mesalazine and corticosteroid therapy with an excellent initial clinical response, then initiation of azathioprine at a dose of 2 mg/ Kg/ day.

The patient was admitted in January 2023 for apyretic cholestatic jaundice, febrile right hypochondrium pain, and diarrhea. At admission, she had bilateral thoracic condensation syndrome, dacryocystitis, and erosive facial lesions. Biology showed elevated leucocytes, lymphopenia, and hyperbilirubinemia (table 1). A complete viral check-up in search for viral hepatitis, HIV, herpes, and EBV was negative.

Image 1: Endoscopic and histologic images of the patient at diagnosis


Protein electrophoresis showed hypogammaglobulinemia at 5.6 g/L with decreased IgG levels; the IgG4 subpopulation was normal. The next step was to perform a lymphocyte sub-population count; this was challenging because it was available in Casablanca, Morocco (300 km from Fez University Hospital). Our team needed to coordinate with the University Hospital of Casablanca biology team and the patient's father to bring the blood specimen. The results of the lymphocyte subpopulation assay were average, but HLA DR expression was negative. The rest of the immune check-up was regular: the dosage of complement factor, explosion of neutrophils, antipneumococcal and tetanus antibodies. In addition, autoimmune workup showed positive antinuclear antibodies.

Abdominal CT scan showed a normal-sized, homogeneous liver with moderate dilatation of the common bile duct measuring 10 mm without visible lithiasis and inflammatory stricture of the lower bile duct. The thoracic scan showed a bilateral interstitial syndrome, and urine analysis showed an acineto-baumani sensitive to Imipenem.

The patient was put on steroids and Imipenem for ten days with an improvement of jaundice and the disappearance of the bile duct stenosis in the MRI, and thus ERCP was not necessary. The patient tolerated antibiotics and showed improvement in fever, abdominal pain, and absence of diarrhea. A liver biopsy showed peri-portal lymphoplasmacytic infiltrate without granuloma (A1F0). There was no evidence of autoimmune disease or small duct sclerosing cholangitis.

The diagnosis was an HLA-DR deficiency based on clinical criteria due to respiratory, digestive cutaneous, and infectious involvement. The biological criteria were hypogammaglobulinemia, lymphopenia, and HLA-DR deficiency. The genetic study by PCR-sequencing showed a deficit in HLA genetically confirmed by RFXANK mutation. Therefore, we concluded that for an HLA deficiency with IBD-like bowel disease and infectious cholangitis.

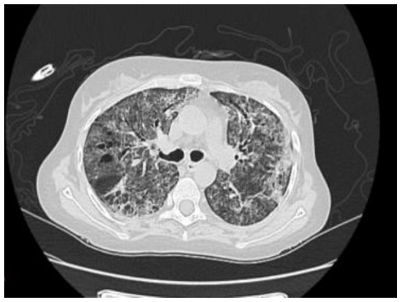
The evolution was marked by the onset of acute febrile dyspnea with desaturation at 50, requiring intubation. Biology showed 350 elements/ mL lymphopenia with a positive CMV PCR: 86982 IU/ mL. Chest CT (Image 2) showed diffuse reticular-micronodular opacity with a positive search for pneumocystis jiroveci. A search for pneumocystis jiroveci was positive. The patient was put on ganciclovir and broad-spectrum antibiotics based on cephalosporines (ceftriaxone), quinolones (levofloxacin), and immunoglobulin (tegelin). She passed away within 24 hours following a state of septic shock.

Image 2: Patient’s thoracic CT scan


Discussion

Primary immune deficiencies include at least 176 hereditary disorders of rare incidence[3]. They are disorders of humoral or cellular immunity of variable severity. The updated International Union of Immunological Societies includes severe combined immunodeficiency disorders with or without syndromic clustering, humoral immunity deficiency, immune dysfunction, phagocytosis, innate immunity, autoinflammatory, and complement disorders [4].

The incidence of immune deficiencies remains rare worldwide but is often underestimated [5]. According to a study by Bousfiha et al. extrapolating from the results from the different registries of immune deficiencies worldwide, the worldwide prevalence should be 6,018,593, while the number of reported cases is 60,364 worldwide. The estimated prevalence in Morocco is 27,852 patients, while the Moroccan registry reported only 290 patients [5].

HLA deficiency is a rare primary immune deficiency that affects both cellular and humoral immunity, and it was discovered in 1970 [3]. It is a partial or complete disappearance of major histocompatibility complex (MHC) proteins or human leukocyte antigen (HLA) from the cell surface, hence the name bare lymphocyte syndrome [6]. These proteins are antigen-presenting [7] and synchronize between the innate and adaptive immune network. They distinguish between self and non-self proteins [8], preventing autoimmunity [9] and protecting against foreign antigens [10]. There are 80 cases worldwide, most detected in North Africa, Spain, and Turkey [11]. Three types of BLS were described [12], and the severity of clinical manifestations ranges from no symptoms to life-threatening conditions. Bone marrow transplantation is the only curative treatment available [2]. 4 genes are responsible for the expression of major histocompatibility complex type II: RFX5, RFXAP, class II transactivator CIITA, and RFXANK [2]. An analysis of 10 children from 7 different families by Naamane et al. found a predominance of the homozygous 752delG26 deletion of the RFXANK gene in all patients [7], which is suggestive of a founder effect in the Moroccan population, making the RFXANK mutation the predominant mutation in Morocco of bare lymphocyte syndrome [7]. The clinical expression of bare lymphocyte syndrome is similar to infection vulnerability and a defect in humoral and cellular immunity[13]. These include viral, bacterial, fungal, and protozoan infections with an average life expectancy of 4 years and a delay in growth and development [7]. Typical clinical manifestations of BLS include recurrent gastrointestinal tract infections, cholangitis, pneumonia, and bronchitis. Severe sepsis is also common. Chronic enterocolitis and sclerosing cholangitis are common and are caused by conditions. Multiple infectious agents are responsible: Pseudomonas and Salmonella, cytomegalovirus, and pneumocystis. The main clinical signs resulting from bacterial infections of the gastrointestinal tract are prolonged diarrhea, malabsorption, and growth retardation. Conditions begin in the first year of life, and there is a dramatic progression of various types of infectious complications, usually leading to death before the age of 10 years. All clinical manifestations of the disease are related to infections and likely result from the lack of MHC II expression. In addition, in patients with the syndrome, autoimmune manifestations may be associated (with IBD, cholangitis, and autoimmune cytopenia) [14]. According to a study including 47 patients by Reith and Mach, the main clinical manifestations were repeated severe infections (n=47), liquid diarrhea (n=47), Recurrent lower respiratory infections (n=40), failure to thrive (n=34), severe viral infections (n=27), mucocutaneous candidiasis (n=16), cryptosporidiosis (n=8), autoimmune cytopenia (n=8), sclerosing cholangitis (n=5) [14]. Digestive manifestations are the most common expression of primary immune deficiency, as they reveal the diagnosis in most cases. Frequent symptoms are diarrhea, abdominal pain, and anemic syndrome. There are four significant digestive signs [14]:

•Recurrent infections: Chronic diarrhea, malabsorption

• Inflammatory pathology: IBD-like lymphoid hyperplasia

• Autoimmune pathology: Biermer anemia, autoimmune hepatitis, primary biliary cholangitis, atrophic gastritis.

• Tumor: lymphoma, gastric carcinoma

 

In all primary immune deficiencies, the dysfunction of lymphocyte signaling, defect of lymphocyte development and central tolerance, and alteration of lymphocyte tolerance may cause autoimmune disease. IBD-like symptoms are related to recurrent infections such as Giardia, cryptosporidium, and lack of tolerance of microbiota [14].

Distinguishing IBD from IBD-like manifestations of immune deficiency can be challenging as they share the same clinical, biological, and endoscopic expression [14]. In our case, the difficulty was to diagnose BLS even though the initial clinical and endoscopic context led to the diagnosis of ulcerative colitis. The particularity of our observation lies in two essential points: the late age of the clinical manifestations and the digestive symptomatology in the foreground.

The hepatic manifestations of primary immune deficiency are autoimmune hepatitis, cholestatic liver disease, secondary sclerosing cholangitis due to recurrent infections, and liver abscesses [14]. In our case, the liver damage can be explained by recurrent biliary infections causing cholangitis. Jaundice and tenderness of the right hypochondrium are the main symptoms, as the presence of cytolysis and cholestasis in the blood workout [13].

When faced with a patient with chronic diarrhea, the difficulty is to evoke the diagnosis of IBDlike symptoms that could be related to immune deficiency. Those patients have the same clinical and endoscopic findings of IBD. However, here are a few key points that would allow evoking primary immune deficiency when faced with IBD-like symptoms [14]:

•Recurrent ENT, respiratory infections, the onset of IBD, recurrent diarrhea, family

history of IBD or immune deficiency, autoimmune manifestations: IBD, liver injury.

•Cytopenia, anemia, electrophoresis of proteins: Hypogammaglobulinemia, the ponderal dosage of immunoglobulins: low IgG, phenotyping of lymphocyte subpopulations, functional study of neutrophils, complement exploration, HLA expression.

•Ulcerations of the colon and ileum

•Lack of plasmocytes in the chorion, villous atrophy, granulomatosis, cryptic abscess, follicular lymphoid hyperplasia


It is essential to look for personal and family history of recurrent infections in childhood, to search for cytopenia in the blood count, and to ask for protein electrophoresis, especially when IBD is refractory to traditional therapy and when confronted with extra-intestinal symptoms (liver injury, recurrent skin infection) as well as lymphocyte phenotyping. Treatment of BLS II syndrome, especially on RFXANK, is limited to either hematopoietic stem cell transplantation or prophylactic therapy. Bone marrow transplantation may be complicated by graft failure.

Therefore, the graft is strictly conditioned to prevent graft versus host disease [15].

 

Conclusion

In our case report, the expression of bare lymphocyte syndrome was similar to ulcerative colitis. Our paper explores the necessity to evoke IBD-like entities when faced with atypical, refractory IBD-like manifestations. The takeaway from our case report was the necessity to think about immune deficiencies every time a patient who has IBD shows an incomplete or atypical response. It is a rigorous diagnostic process that requires multidisciplinary coordination between gastroenterologists, pediatricians, and immunologists.


Ethics statement: The authors confirm that informed consent was obtained from the patient and her legal guardian for the publication of all images, clinical data, or any other data included in this manuscript.

 

Reference

[1].  B. Admou et al., « Déficits immunitaires primitifs: approche diagnostique pour les pays émergents », Immuno-Anal. Amp Biol. Spéc., vol. 25, no 5? 6, p. 257? 265.

[2] D. Shrestha, J. Szöllosi, et al. A. Jenei, « Bare lymphocyte syndrome: an opportunity to discover our immune system,» Immunol. Lett., vol. 141, no 2, p. 147? 157, janv. 2012, doi: 10.1016/j.imlet.2011.10.007.

[3] A. A. Bousfiha et al., « Primary Immunodeficiency Diseases Worldwide: More Common than Generally Thought,» J. Clin. Immunol., vol. 33, no 1, p. 1? 7, janv. 2013, doi: 10.1007/s10875-012-9751-7.

[4] W. Al-Herz et al., « Primary immunodeficiency diseases: an update on the classification from the international union of immunological societies expert committee for primary immunodeficiency » Front. Immunol., vol. 5, p. 162, 2014, doi:10.3389/fimmu.2014.00162.

[5] A. Bousfiha et al., « Human Inborn Errors of Immunity: 2019 Update of the IUIS Phenotypical Classification », J. Clin. Immunol., vol. 40, no 1, p. 66? 81, 2020, doi: 10.1007/s10875-020-00758-x.

[6] J. L. Touraine, « [The bare lymphocyte syndrome. Combined immune deficiency by the absence of HLA antigen expression] », Presse Medicale Paris Fr. 1983, vol. 13, no 11, p. 671? 674, mars 1984.

[7] « PRIME PubMed | The 752delG26 mutation in the RFXANK gene associated with major histocompatibility complex class II deficiency: evidence for a founder effect in the  Moroccan population ».

https://neuro.unboundmedicine.com/medline/citation/20414676/The_752delG26_mutation_in_the_RFXANK_gene_associated_with_major_histocompatibility_complex_class_II_deficiency:_evidence_for_a_founder_effect_in_the_Moroccan_population_ (consulté le10 janvier 2022).

[8] H. Jiang et L. Chess, « Chapter 2 How the Immune System Achieves Self–Nonself Discrimination During Adaptive Immunity », Adv. Immunol., vol. 102, p. 95? 133, févr. 2009, doi: 10.1016/S0065-2776(09)01202-4.

9] « Restricted MHC-peptide repertoire predisposes to autoimmunity - PubMed .» https://pubmed.ncbi.nlm.nih.gov/15998789/ (consulté le 28 novembre 2021).

[10] « The importance of immune gene variability (MHC) in evolutionary ecology and conservation .» https://www.ncbi.nlm.nih.gov/pmc/articles/PMC1282567/ (consulté le 28

novembre 2021).

[11] I. R. Mackay, N. V. Leskovsek, et N. R. Rose, « The odd couple: A fresh look at autoimmunity and immunodeficiency,» J. Autoimmun., vol. 35, no 3, p. 199? 205, nov. 2010, doi: 10.1016/j.jaut.2010.06.008.

[12] V. Cerundolo et H. de la Salle, « Description of HLA class I- and CD8-deficient patients: Insights into the function of cytotoxic T lymphocytes and NK cells in host defense », Semin. Immunol., vol. 18, no 6, p. 330? 336, déc. 2006, doi: 10.1016/j.smim.2006.07.006.

[13] R. Elhasid et A. Etzioni, « Major histocompatibility complex class II deficiency: a clinical review,» Blood Rev., vol. 10, no 4, p. 242? 248, déc. 1996, doi: 10.1016/S0268- 960X(96)90008-9.

[14] W. Reith et B. Mach, « The bare lymphocyte syndrome and the regulation of MHC expression,» Annu. Rev. Immunol., vol. 19, p. 331? 373, 2001, doi: 10.1146/annual. Immunol.19.1.331.

[15] M. Damoiseaux, J. Damoiseaux, I. Pico-Knijnenburg, M. van der Burg, R. Bredius, et G. van Well, « Lessons learned from the diagnostic work-up of a patient with the bare lymphocyte syndrome type II,» Clin. Immunol., vol. 235, p. 108932, févr. 2022, doi: 10.1016/j.clim.2022.108932..

Figure 1

Figure 2

antarmuka fokus mahjong daya pengguna aktifaws grid serasi mahjong dasar tahapan terjagaaws jejak mekanisme mahjong arah fase lanjutanaws kajian wild berantai mahjong interaktif analitisaws kesesuaian persentase layanan mahjong seluler lanceraws pendalaman persentase mahjong gerak wild mutakhircorak langka mahjong tumbuh perlahan berubahgerak mahjong adaptasi mekanisme pemakai sekarangnalar scatter mahjong malam putaran ekstratempo mahjong kaitan mekanisme keadaan terkinialur permainan mahjong cepat scatter wilddalam hitungan detik scatter wild mahjongmenyatukan naluri pola scatter hitam mahjongmomen mahjong permainan berbalik arahmomen singkat mahjong dinamika permainanperpaduan insting pola scatter hitam momentperubahan drastis mahjong ways scatter wildscatter wild mahjong datang polasekejap berubah scatter wild mahjong wayssensasi baru mahjong lebih scatter wildenergi scatter emas irama reel mahjongevolusi reel mahjong balutan mistisintervensi cepat emas momentum lamakemunculan mendadak naga emas mahjongketika scatter naga emas aktif mahjongnaga emas muncul arah spin mahjongnaga emas ritme mahjong ways berubahrahasia rtp tinggi balik scatter hitamsaat scatter naga emas alih irama reelscatter hitam kunci lonjakan rtp mahjonge5 scatter wild memberikan sentuhan baru di setiap spin mahjong ways 2e5 scatter wild menghidupkan suasana permainan mahjong ways 2e5 scatter wild mengubah pola permainan mahjong ways 2 secara signifikane5 setiap putaran mahjong ways 2 terasa berbeda dengan scatter wilde5 strategi adaptif berbasis analisis rtp hariane5 strategi berbasis data dan algoritma untuk analisis momentume5 strategi berkembang berkat data rtp hariane5 strategi memahami algoritma untuk mengidentifikasi momentum ideale5 strategi membaca pola algoritma demi menangkap momentum optimale5 strategi modern mengandalkan evaluasi rtp hariane5 strategi responsif dengan dukungan evaluasi rtp hariane5 strategi terukur dengan analisis rtp hariane5 struktur scatter dan wild terlihat jelas berkat analisis sistem moderne5 tanpa disadari kombinasi ini sering mengarah ke scatter di mahjong wins 3e5 teknik evaluasi algoritma untuk mendapatkan momentum yang tepate5 teknik observasi sistem untuk analisis momentum yang lebih presisie5 terungkap formasi ini sering jadi awal munculnya scatter di mahjong wins 3e5 transformasi digital rtp live berkat artificial intelligence inovatife5 transformasi ritme mahjong ways 2 dipicu oleh kekuatan scatter wilde5 wajib tahu pola tersembunyi ini sering menghasilkan scattere5 applee5 bananae5 candye5 doge5 eaglee5 falcone5 geminie5 horsee5 indiae5 japananalisa pola mahjong ways rutinanalisis kinerja heuristik variansi gameanalisis pola mahjong ways hariananalisis pola mahjong ways kebiasaanera baru mahjong wins bonus optimalgebrakan bonus mahjong wins mekanisme efisieninsight pola mahjong ways rutinkajian pola mahjong ways rutinkomparasi heuristik variansi game digitalledakan bonus mahjong wins sistem efektifmahjong wins bonus sistem generasi baruobservasi pola mahjong ways harianpendekatan algoritma heuristik variansi gameperbandingan model heuristik variansi gamerahasia bonus mahjong wins sistem cerdasrangkuman pola mahjong ways harianringkasan pola mahjong ways harianstudi pola mahjong ways hariantinjauan heuristik variansi game digitaltinjauan pola mahjong ways harianalur sombol mahjong kemunculan scatterdari rtp mahjong bermain lebih efektifjejak scatter mahjong putaran tenangkejutan scatter wild simbol mahjong arahkemunculan simbol ganda membuat mahjongketika grid mahjong scatter semakin dekatketika rtp mahjong pola mulai lebih jelasketika scatter wild ritme simbol mahjongketika scatter wild titik sesi mahjong waysketika susunan simbol mahjong ritme scattermemahami rtp mahjong cara bermain lebihpergerakan simbol mahjong scatter wildpergeseran mahjong ketika scatter hadirsaat rtp mahjong terbaca baik strategisaat scatter hadir simbol mahjong bergeserscatter wild dinamika simbol mahjongstabilitas putaran mahjong pola scattersusunan baru reel mahjong scatter emassusunan mahjong wins mengandung scattersusunan simbol mahjong diam pola scatterrm menguak keunikan mahjong wins sudut pandang teknisrm cara memahami pergerakan mahjong ways tenaga ekstrarm mahjong wins standar baru industri hiburan digitalrm rahasia ketahanan mahjong ways eksis gempuran gamerm pentingnya memahami transisi level mahjong wins mendalamrm strategi mengatur tempo mahjong ways kendali permainanrm peran kecerdasan buatan mekanisme mahjong wins adilrm alasan keberhasilan mahjong ways mencuri perhatian analisrm mempelajari struktur dasar mahjong wins efisiensi putaranrm inovasi desain mahjong ways kesan bermain responsifrm teknik observasi mahjong wins jarang dibahas dampakrm cara mempertahankan fokus dinamika mahjong ways cepatrm eksplorasi fitur tersembunyi mahjong wins ritme terbaikrm mahjong ways integrasi teknologi modern keamanan nyamanrm analisis faktor pendukung mahjong wins digemari generasirm langkah efektif menyesuaikan perubahan sistem mahjong waysrm mengintip proses pengembangan mahjong wins kualitas penggunarm analisis data membantu membaca arah mahjong waysrm menemukan titik temu insting logika mahjong winsrm transformasi besar mahjong ways menghadirkan tantangan menarikmengungkap simbol langka nasib drastismisteri besar kombinasi simbol langkamisteri simbol langka keberuntungan besarsimbol langka misterius ubah hiduprahasia simbol langka nasib cepattransformasi bonus mahjong wins sistem efektifmahjong wins suguhkan bonus sistem modernsuguhan bonus efisien mahjong winsefektivitas sistem bonus mahjong winsmahjong wins hadirkan bonus sistem optimaloke76cincinbetaqua365slot gacorstc76samurai76TOBA1131samurai76 login