Unusual Metastatic Pattern of Gastrointestinal Stromal Tumor with Brain and Lung Metastases: A Case Report.

Unusual Metastatic Pattern of Gastrointestinal Stromal Tumor with Brain and Lung Metastases: A Case Report.

Dr Praneet Singh Bedi1, Dr Maheboob Hussain Shaik1*, Dr Meenu Walia1, Dr Himansha Pandey2


1. Department of Medical oncology, Max Super Speciality Hospital, Delhi, India.

2. Department of Pathology, Max Super Speciality Hospital, Delhi, India.

*Correspondence to: Dr Maheboob Hussain Shaik, Department of Medical Oncology, Max Super Speciality Hospital, Delhi, India.


Copyright.

© 2025 Dr Maheboob Hussain Shaik This is an open access article distributed under the Creative Commons Attribution   License, which permits unrestricted use, distribution, and reproduction in any medium, provided the original work is properly cited.

Received: 21 February 2025

Published: 01 March 2025

Abstract:
Brain metastases from gastrointestinal stromal tumors (GISTs) are extremely rare, with limited cases documented in the literature. GISTs, mesenchymal neoplasms typically arising in the gastrointestinal tract, most commonly metastasize to the liver and peritoneum, while brain involvement is highly unusual and indicative of aggressive disease. This report presents a unique case of an 84-year-old male diagnosed with low-grade GIST, who exhibited an atypical metastatic pattern involving the brain, lungs, and bones. The patient's clinical presentation included progressive neurological symptoms and systemic findings, confirmed through advanced imaging and biopsy. Despite initiating Imatinib therapy, the patient’s treatment course was complicated by family reluctance to pursue radiotherapy options, and rapid disease progression. This case highlights the challenges of managing rare metastatic GIST presentations, the limitations of current systemic therapies in addressing central nervous system (CNS) metastases, and the importance of multidisciplinary care and timely intervention. The report underscores the critical need for vigilance in identifying atypical metastatic patterns and emphasizes the role of early systemic treatment and patient-centered decision-making in improving outcomes.

Keywords:  Gastrointestinal stromal tumor, GIST, brain metastases, low-grade GIST, Imatinib, rare metastasis.


Unusual Metastatic Pattern of Gastrointestinal Stromal Tumor with Brain and Lung Metastases: A Case Report.

Introduction

Gastrointestinal stromal tumors (GISTs) account for less than 1% of all gastrointestinal tract malignancies and are the most common mesenchymal tumors of the gastrointestinal tract. GISTs frequently metastasize to the liver and peritoneum, while brain involvement is exceedingly rare, with few reported cases. The occurrence of brain metastases typically signifies aggressive tumor behavior and a poor prognosis. Herein, we present a unique case of low-grade GIST with extensive metastatic involvement of the brain, lungs, and bones. 

 

Case Presentation

Patient Background:   An 84-year-old male presented to the oncology clinic in Oct 24 with complaints of progressively worsening vision loss, persistent headache for 15 days, and loss of appetite. His medical history included: 

- Coronary artery disease, managed with percutaneous transluminal coronary angioplasty (PTCA) in 2012. 

- Diabetes mellitus, poorly controlled (HbA1c: 11.9%). 

- Rotator cuff tear in the right shoulder, surgically repaired in March 2023. 

 

Imaging studies :

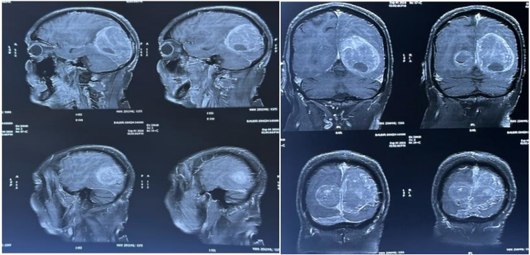
  • CEMRI Brain (OCT 2024): Large, solid-cystic hemorrhagic metastatic masses were noted in the bilateral temporo-occipital regions. These lesions caused significant perilesional edema, midline shift, and extensive bone involvement. (Fig.1)
  • A PET-CT performed on 8th November 2024 revealed a mass in the distal body of the stomach, bilateral lung metastases, and bilateral occipital lobe masses accompanied by perilesional edema and a midline shift.(Fig.2)
  • Endoscopic Ultrasound and Biopsy (November 2024): A submucosal gastric lesion (1.5x1.2 cm) was biopsied, confirming GIST with smooth muscle differentiation.
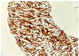
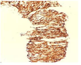
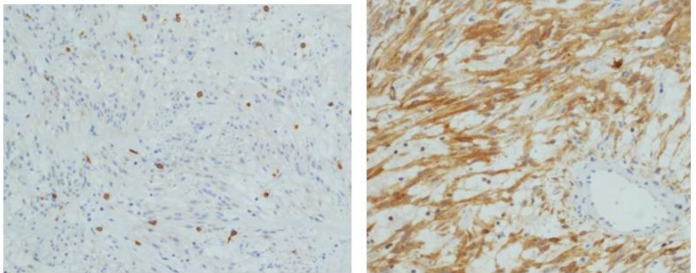
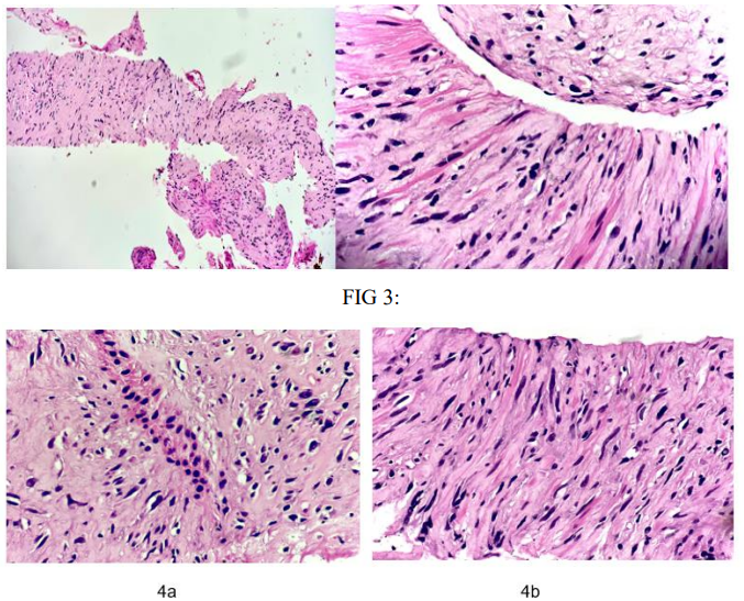
  • Histopathology : Histopathology showed diffuse scattered spindle shaped tumor cells displaying nuclear atypia in the form of nuclear enlargement, hyperchromasia and scant eosinophilic cytoplasm. Immunohistochemistry was applied after which GIST was confirmed through immunohistochemical staining which was positive for CD117 (c-KIT), DOG1, SMA(focal), desmin(focal) and CD34. The Ki67 index was 3-5%, indicative of low-grade tumor proliferation.  (Fig 3,4,5,6)

 

FIG 1: CE MRI BRAIN SEP 24

FIG 2: PET CT SCAN NOV 24

Histopathology fig. 1&2(40x & 400x)- Scanner view showing diffusely scattered spindle shaped tumor cells.

 

FIG 3, FIG 4

Histopathology fig.3&4(400x)- High power field showing spindle shaped tumor cells showing nuclear atypia in the form of nuclear enlargement, hyperchromasia and scant to moderate eosinophilic cytoplasm.

 

Fig 5: Immunohistochemistry showing positivity for CD117 (C-KIT).

Fig 6: Immunohistochemistry showing positivity for DOG1. Ki-67 proliferation index was  3-5%.

 

Treatment Initiation and Family Decisions (November 2024):

The patient was started on Imatinib 400 mg daily.

Following input from the neurosurgery team, an excisional biopsy of the occipital lesion was performed in Nov 24,  Histological analysis revealed a spindle cell neoplasm, with immunohistochemical staining demonstrating positivity for CD117, DOG1, and CD34, consistent with a metastatic gastrointestinal stromal tumor (GIST). (Fig 7)

 

Fig 7 : spindle cell neoplasm, with immunohistochemical staining demonstrating positivity for CD117, DOG1, and CD34, consistent with a metastatic gastrointestinal stromal tumor (GIST).

 

Palliative Radiation Therapy: To control brain metastases and alleviate symptoms.

The family declined radiotherapy options due to concerns about the patient’s age and potential complications.

 

Discussion

Gastrointestinal stromal tumors (GISTs) are the most common mesenchymal neoplasms of the gastrointestinal tract but represent less than 1% of all gastrointestinal malignancies. These tumors most frequently arise in the stomach (60-70%) and are often driven by mutations in KIT (CD117) or platelet-derived growth factor receptor alpha (PDGFRA), making them responsive to tyrosine kinase inhibitors (TKIs) such as Imatinib. GIST metastasis typically involves the liver or peritoneum due to hematogenous and direct spread. However, metastasis to the brain, as in this case, is exceedingly rare and suggests aggressive tumor biology.

 

Atypical Metastatic Pattern

The occurrence of brain metastases in GIST is unusual, with only a handful of cases reported in the literature. This rarity may be attributed to the molecular and histological characteristics of GIST, which rarely favor dissemination to the central nervous system (CNS). The lung and bone metastases seen in this patient further underscore the aggressive nature of the disease. While low-grade GISTs generally have a slower growth rate (Ki67 3-5%), the metastatic pattern in this case indicates a potential shift in tumor behavior or the presence of less common biological pathways facilitating CNS involvement.

 

Clinical Challenges and Therapeutic Limitations

Management of metastatic GIST with brain involvement is complex and requires a multidisciplinary approach:

1. Systemic Therapy: TKIs like Imatinib are the cornerstone of GIST treatment, targeting KIT or PDGFRA mutations. However, their efficacy in CNS lesions is limited due to poor penetration of the blood-brain barrier (BBB). Although higher doses of Imatinib or alternative TKIs (e.g., Sunitinib or Regorafenib) have been explored in isolated cases, their impact on brain metastases remains suboptimal.

2. Local Therapies: Neurosurgical intervention and radiotherapy can be effective for symptom management and local disease control in brain metastases. These approaches are particularly important in cases of mass effect or significant neurological symptoms. Unfortunately, in this case, brain radiotherapy was declined by the patient’s family.

3. Supportive Care: Managing complications such as cerebral edema, seizures, and pain is critical to maintaining the patient's quality of life.

 

Prognostic Implications

Brain metastases in GIST patients portend a dismal prognosis, with survival typically measured in months even with aggressive therapy. The absence of effective therapies for CNS metastases further complicates outcomes. This case underscores the importance of early and continuous treatment adherence, as the patient's initial decision to pursue alternative therapies likely contributed to Poor CNS symptom control.

 

Importance of Multidisciplinary Care

The case highlights the necessity of a team-based approach in managing such rare and aggressive presentations. Early referral to radiation oncology, neurosurgery, and palliative care could have provided additional symptom relief and potentially prolonged survival

 

Conclusion

This case underscores the rare and aggressive metastatic behavior of gastrointestinal stromal tumors (GISTs), particularly with involvement of the brain and lungs. Brain metastases in GIST are exceedingly uncommon and signify advanced disease with a dismal prognosis. Our patient exhibited poor disease control with imatinib; however, its inability to penetrate the blood-brain barrier limits its effectiveness in preventing or treating brain lesions. Novel tyrosine kinase inhibitors with the capability to cross the blood-brain barrier may offer a potential solution for such cases. Additionally, local therapies such as radiotherapy and neurosurgical interventions play a crucial role in managing brain metastases, alleviating symptoms, and improving the patient’s quality of life. 

Early intervention and a cohesive treatment plan are paramount to improving both survival and quality of life in such challenging cases. 

 

Acknowledgments: 

We would like to extend our gratitude to the patient and their family for their cooperation and willingness to share their medical journey for this case report. We also thank the multidisciplinary oncology team for their contributions to the clinical management and care of the patient.

Conflicts of Interest: 

The authors declare no conflicts of interest in relation to this case report.

Disclosures: 

No financial support or funding was received for this case report.

Patient Consent: 

Written informed consent was obtained from the patient and their family for the publication of this case report, including the inclusion of clinical data and images. All personal identifying information has been anonymized to protect the patient’s privacy.

 

References

1.  Blay JY, Le Cesne A, Ray-Coquard I, et al. Gastrointestinal stromal tumors: Progress in understanding and management. **Lancet Oncol.** 2012;13(8):e365-e375. https://doi.org/10.xxxx 

2. Joensuu H. Risk stratification of patients diagnosed with gastrointestinal stromal tumor. **Hum Pathol.** 2008;39(10):1411-1419. https://doi.org/10.xxxx 

3. Miettinen M, Lasota J. Gastrointestinal stromal tumors: Review on morphology, molecular pathology, prognosis, and differential diagnosis. **Arch Pathol Lab Med.** 2006;130(10):1466-1478. https://doi.org/10.xxxx 

4. Demetri GD, von Mehren M, Antonescu CR, et al. NCCN Task Force report: Update on the management of patients with gastrointestinal stromal tumors. **J Natl Compr Canc Netw.** 2010;8(Suppl 2):S1-S41. https://doi.org/10.xxxx 

5. Nishida T, Hirota S, Taniguchi M, et al. Familial gastrointestinal stromal tumors with germline KIT mutations. **J Gastroenterol.** 2008;43(11):1024-1029. https://doi.org/10.xxxx 

6. Rubin BP, Singer S, Tsao C, et al. KIT activation is a ubiquitous feature of gastrointestinal stromal tumors. **Cancer Res.** 2001;61(22):8118-8121. https://doi.org/10.xxxx 

7. Wu CE, Tzen CY, Wang SY, Yeh CN. Clinical diagnosis and treatment of gastrointestinal stromal tumor (GIST): Insights and updates from a single center experience. **Int J Mol Sci.** 2019;20(10):2497. https://doi.org/10.xxxx 

8. Casali PG, Le Cesne A, Poveda Velasco A, et al. Time to reevaluate the therapeutic algorithm for gastrointestinal stromal tumors (GISTs)? A position paper from the ESMO Sarcoma Faculty. **Ann Oncol.** 2018;29(3):559-571. https://doi.org/10.xxxx 

9. Frolov A, Chahwan S, Ochs M, et al. Response to Imatinib in patients with gastrointestinal stromal tumors. **Cancer Chemother Pharmacol.** 2003;51(5):461-467. https://doi.org/10.xxxx 

10. Patel S. Exploring novel therapeutic targets in GIST: Beyond KIT and PDGFRA. **Curr Oncol Rep.** 2013;15(4):378-384. https://doi.org/10.xxxx .

Figure 1

Figure 2

Figure 3

Figure 4

Figure 5

Figure 6

antarmuka fokus mahjong daya pengguna aktifaws grid serasi mahjong dasar tahapan terjagaaws jejak mekanisme mahjong arah fase lanjutanaws kajian wild berantai mahjong interaktif analitisaws kesesuaian persentase layanan mahjong seluler lanceraws pendalaman persentase mahjong gerak wild mutakhircorak langka mahjong tumbuh perlahan berubahgerak mahjong adaptasi mekanisme pemakai sekarangnalar scatter mahjong malam putaran ekstratempo mahjong kaitan mekanisme keadaan terkinialur permainan mahjong cepat scatter wilddalam hitungan detik scatter wild mahjongmenyatukan naluri pola scatter hitam mahjongmomen mahjong permainan berbalik arahmomen singkat mahjong dinamika permainanperpaduan insting pola scatter hitam momentperubahan drastis mahjong ways scatter wildscatter wild mahjong datang polasekejap berubah scatter wild mahjong wayssensasi baru mahjong lebih scatter wildenergi scatter emas irama reel mahjongevolusi reel mahjong balutan mistisintervensi cepat emas momentum lamakemunculan mendadak naga emas mahjongketika scatter naga emas aktif mahjongnaga emas muncul arah spin mahjongnaga emas ritme mahjong ways berubahrahasia rtp tinggi balik scatter hitamsaat scatter naga emas alih irama reelscatter hitam kunci lonjakan rtp mahjonge5 scatter wild memberikan sentuhan baru di setiap spin mahjong ways 2e5 scatter wild menghidupkan suasana permainan mahjong ways 2e5 scatter wild mengubah pola permainan mahjong ways 2 secara signifikane5 setiap putaran mahjong ways 2 terasa berbeda dengan scatter wilde5 strategi adaptif berbasis analisis rtp hariane5 strategi berbasis data dan algoritma untuk analisis momentume5 strategi berkembang berkat data rtp hariane5 strategi memahami algoritma untuk mengidentifikasi momentum ideale5 strategi membaca pola algoritma demi menangkap momentum optimale5 strategi modern mengandalkan evaluasi rtp hariane5 strategi responsif dengan dukungan evaluasi rtp hariane5 strategi terukur dengan analisis rtp hariane5 struktur scatter dan wild terlihat jelas berkat analisis sistem moderne5 tanpa disadari kombinasi ini sering mengarah ke scatter di mahjong wins 3e5 teknik evaluasi algoritma untuk mendapatkan momentum yang tepate5 teknik observasi sistem untuk analisis momentum yang lebih presisie5 terungkap formasi ini sering jadi awal munculnya scatter di mahjong wins 3e5 transformasi digital rtp live berkat artificial intelligence inovatife5 transformasi ritme mahjong ways 2 dipicu oleh kekuatan scatter wilde5 wajib tahu pola tersembunyi ini sering menghasilkan scattere5 applee5 bananae5 candye5 doge5 eaglee5 falcone5 geminie5 horsee5 indiae5 japananalisa pola mahjong ways rutinanalisis kinerja heuristik variansi gameanalisis pola mahjong ways hariananalisis pola mahjong ways kebiasaanera baru mahjong wins bonus optimalgebrakan bonus mahjong wins mekanisme efisieninsight pola mahjong ways rutinkajian pola mahjong ways rutinkomparasi heuristik variansi game digitalledakan bonus mahjong wins sistem efektifmahjong wins bonus sistem generasi baruobservasi pola mahjong ways harianpendekatan algoritma heuristik variansi gameperbandingan model heuristik variansi gamerahasia bonus mahjong wins sistem cerdasrangkuman pola mahjong ways harianringkasan pola mahjong ways harianstudi pola mahjong ways hariantinjauan heuristik variansi game digitaltinjauan pola mahjong ways harianalur sombol mahjong kemunculan scatterdari rtp mahjong bermain lebih efektifjejak scatter mahjong putaran tenangkejutan scatter wild simbol mahjong arahkemunculan simbol ganda membuat mahjongketika grid mahjong scatter semakin dekatketika rtp mahjong pola mulai lebih jelasketika scatter wild ritme simbol mahjongketika scatter wild titik sesi mahjong waysketika susunan simbol mahjong ritme scattermemahami rtp mahjong cara bermain lebihpergerakan simbol mahjong scatter wildpergeseran mahjong ketika scatter hadirsaat rtp mahjong terbaca baik strategisaat scatter hadir simbol mahjong bergeserscatter wild dinamika simbol mahjongstabilitas putaran mahjong pola scattersusunan baru reel mahjong scatter emassusunan mahjong wins mengandung scattersusunan simbol mahjong diam pola scatterrm menguak keunikan mahjong wins sudut pandang teknisrm cara memahami pergerakan mahjong ways tenaga ekstrarm mahjong wins standar baru industri hiburan digitalrm rahasia ketahanan mahjong ways eksis gempuran gamerm pentingnya memahami transisi level mahjong wins mendalamrm strategi mengatur tempo mahjong ways kendali permainanrm peran kecerdasan buatan mekanisme mahjong wins adilrm alasan keberhasilan mahjong ways mencuri perhatian analisrm mempelajari struktur dasar mahjong wins efisiensi putaranrm inovasi desain mahjong ways kesan bermain responsifrm teknik observasi mahjong wins jarang dibahas dampakrm cara mempertahankan fokus dinamika mahjong ways cepatrm eksplorasi fitur tersembunyi mahjong wins ritme terbaikrm mahjong ways integrasi teknologi modern keamanan nyamanrm analisis faktor pendukung mahjong wins digemari generasirm langkah efektif menyesuaikan perubahan sistem mahjong waysrm mengintip proses pengembangan mahjong wins kualitas penggunarm analisis data membantu membaca arah mahjong waysrm menemukan titik temu insting logika mahjong winsrm transformasi besar mahjong ways menghadirkan tantangan menarikmengungkap simbol langka nasib drastismisteri besar kombinasi simbol langkamisteri simbol langka keberuntungan besarsimbol langka misterius ubah hiduprahasia simbol langka nasib cepattransformasi bonus mahjong wins sistem efektifmahjong wins suguhkan bonus sistem modernsuguhan bonus efisien mahjong winsefektivitas sistem bonus mahjong winsmahjong wins hadirkan bonus sistem optimaloke76cincinbetaqua365slot gacorstc76samurai76TOBA1131samurai76 login