Case Report of Acute Fatty Liver of Pregnancy

Case Report of Acute Fatty Liver of Pregnancy

 Dr. Vanita Pereira1, Dr Nusarat Tadkod 2*  

1, 2. M.B.BS, MRCOG (UK)


*Correspondence to: Dr. Nusarat Tadkod, M.B.BS, MRCOG (UK)

                                                                                      
Copyright

© 2025 Dr. Vanita Pereira & Dr. Nusarat Tadkod. This is an open access article distributed under the Creative Commons Attribution License, which permits unrestricted use, distribution, and reproduction in any medium, provided the original work is properly cited.

Received: 16 December 2024

Published: 13 March 2025

Abstract

Acute fatty liver in pregnancy (AFLP) is an obstetric emergency and carries high morbidity and mortality, for mother and fetus. It is a relatively rare complication of pregnancy, with an incidence of approximately 5 cases per 100000 pregnancies. A multidisciplinary team approach reduces maternal morbidity and mortality.


Case Report of Acute Fatty Liver of Pregnancy

Case Details

A 32yrs, Primigravida, a low-risk woman with no previous medical or surgical history, presented in the maternity assessment unit

1st presentation : at 37+4 weeks of gestation , for her raised blood pressure of BP 144/73 mmof hg .  She had proteinuria 1+ but no other signs and symptoms of preeclampsia. Her Pre-eclamptic Toxaemia (PET) blood was normal but her haemoglobin (Hb) was 98gm/dl. So she was discharged home,

2nd presentation : At 38/40 midnight, she presented with spontaneous rupture of membrane (SROM), with meconium-stained liquor. Her all observations and CTG were normal. Therefore, she was induced with vaginal Prostaglandin tablet 3mg. All basic blood investigations were normal. She progressed well in labour. However, after 8 hrs. of active labour she complained of feeling unwell and having shortness of breath (SOB).

 

Observations:

                           temp 37.7 degrees,

                            SpO2 82%,

                            HR 157,

                             BP 120/76mm of hg,

CTG showed fetal tachycardia. So she was delivered by Emergency LSCS with probable diagnosis of chorio-amnionitis. Caesarean section was uneventful with measured blood loss of 800ml.

Immediate postoperative period : she started rapidly deteriorating with deranged liver functions and progressed to multiorgan failure, she was transferred to the intensive care unit.

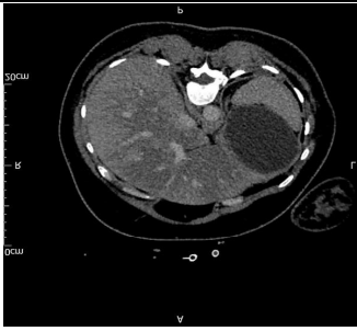
CT abdomen concluded the clinical picture of acute fatty liver in pregnancy.

 

Fig 1

She was on supportive care under multidisciplinary team and  and  recovered with supportive treatment.    

 

Discussion and Conclusion

Acute Fatty Liver of Pregnancy (AFLP) is a rare but serious complication of pregnancy, typically occurring in the third trimester or early postpartum period. It is considered a medical emergency due to its potential to cause significant maternal and fetal morbidity and mortality if not recognized and treated promptly.

Its diagnosed with

Elevated liver enzymes (AST, ALT)

Hypoglycemia

Elevated bilirubin

Coagulopathy (prolonged PT/INR)

Elevated serum ammonia in severe cases

Thrombocytopenia

Elevated creatinine (acute kidney injury).

Imaging: Ultrasound or CT may show fatty infiltration of the liver but are not definitive.

Management: Immediate delivery: Definitive treatment to remove the source of the metabolic stress (the placenta).

Supportive care: Correct hypoglycemia with IV glucose,Address coagulopathy with plasma or platelets as needed, Treat acute kidney injury with fluids or dialysis if necessary,Manage hepatic encephalopathy with lactulose or other measures,and close Monitoring maternal and fetal monitoring in an ICU setting and plan delivery .

Prognosis depends on early recognition and management, the maternal survival rate is high, though fetal outcomes depend on gestational age and the speed of intervention. Delayed treatment can lead to complications such as:Liver failure,Disseminated intravascular coagulation (DIC),Multi-organ failure,Maternal and fetal death.

Figure 1

antarmuka fokus mahjong daya pengguna aktifaws grid serasi mahjong dasar tahapan terjagaaws jejak mekanisme mahjong arah fase lanjutanaws kajian wild berantai mahjong interaktif analitisaws kesesuaian persentase layanan mahjong seluler lanceraws pendalaman persentase mahjong gerak wild mutakhircorak langka mahjong tumbuh perlahan berubahgerak mahjong adaptasi mekanisme pemakai sekarangnalar scatter mahjong malam putaran ekstratempo mahjong kaitan mekanisme keadaan terkinialur permainan mahjong cepat scatter wilddalam hitungan detik scatter wild mahjongmenyatukan naluri pola scatter hitam mahjongmomen mahjong permainan berbalik arahmomen singkat mahjong dinamika permainanperpaduan insting pola scatter hitam momentperubahan drastis mahjong ways scatter wildscatter wild mahjong datang polasekejap berubah scatter wild mahjong wayssensasi baru mahjong lebih scatter wildenergi scatter emas irama reel mahjongevolusi reel mahjong balutan mistisintervensi cepat emas momentum lamakemunculan mendadak naga emas mahjongketika scatter naga emas aktif mahjongnaga emas muncul arah spin mahjongnaga emas ritme mahjong ways berubahrahasia rtp tinggi balik scatter hitamsaat scatter naga emas alih irama reelscatter hitam kunci lonjakan rtp mahjonge5 scatter wild memberikan sentuhan baru di setiap spin mahjong ways 2e5 scatter wild menghidupkan suasana permainan mahjong ways 2e5 scatter wild mengubah pola permainan mahjong ways 2 secara signifikane5 setiap putaran mahjong ways 2 terasa berbeda dengan scatter wilde5 strategi adaptif berbasis analisis rtp hariane5 strategi berbasis data dan algoritma untuk analisis momentume5 strategi berkembang berkat data rtp hariane5 strategi memahami algoritma untuk mengidentifikasi momentum ideale5 strategi membaca pola algoritma demi menangkap momentum optimale5 strategi modern mengandalkan evaluasi rtp hariane5 strategi responsif dengan dukungan evaluasi rtp hariane5 strategi terukur dengan analisis rtp hariane5 struktur scatter dan wild terlihat jelas berkat analisis sistem moderne5 tanpa disadari kombinasi ini sering mengarah ke scatter di mahjong wins 3e5 teknik evaluasi algoritma untuk mendapatkan momentum yang tepate5 teknik observasi sistem untuk analisis momentum yang lebih presisie5 terungkap formasi ini sering jadi awal munculnya scatter di mahjong wins 3e5 transformasi digital rtp live berkat artificial intelligence inovatife5 transformasi ritme mahjong ways 2 dipicu oleh kekuatan scatter wilde5 wajib tahu pola tersembunyi ini sering menghasilkan scattere5 applee5 bananae5 candye5 doge5 eaglee5 falcone5 geminie5 horsee5 indiae5 japananalisa pola mahjong ways rutinanalisis kinerja heuristik variansi gameanalisis pola mahjong ways hariananalisis pola mahjong ways kebiasaanera baru mahjong wins bonus optimalgebrakan bonus mahjong wins mekanisme efisieninsight pola mahjong ways rutinkajian pola mahjong ways rutinkomparasi heuristik variansi game digitalledakan bonus mahjong wins sistem efektifmahjong wins bonus sistem generasi baruobservasi pola mahjong ways harianpendekatan algoritma heuristik variansi gameperbandingan model heuristik variansi gamerahasia bonus mahjong wins sistem cerdasrangkuman pola mahjong ways harianringkasan pola mahjong ways harianstudi pola mahjong ways hariantinjauan heuristik variansi game digitaltinjauan pola mahjong ways harianalur sombol mahjong kemunculan scatterdari rtp mahjong bermain lebih efektifjejak scatter mahjong putaran tenangkejutan scatter wild simbol mahjong arahkemunculan simbol ganda membuat mahjongketika grid mahjong scatter semakin dekatketika rtp mahjong pola mulai lebih jelasketika scatter wild ritme simbol mahjongketika scatter wild titik sesi mahjong waysketika susunan simbol mahjong ritme scattermemahami rtp mahjong cara bermain lebihpergerakan simbol mahjong scatter wildpergeseran mahjong ketika scatter hadirsaat rtp mahjong terbaca baik strategisaat scatter hadir simbol mahjong bergeserscatter wild dinamika simbol mahjongstabilitas putaran mahjong pola scattersusunan baru reel mahjong scatter emassusunan mahjong wins mengandung scattersusunan simbol mahjong diam pola scatterrm menguak keunikan mahjong wins sudut pandang teknisrm cara memahami pergerakan mahjong ways tenaga ekstrarm mahjong wins standar baru industri hiburan digitalrm rahasia ketahanan mahjong ways eksis gempuran gamerm pentingnya memahami transisi level mahjong wins mendalamrm strategi mengatur tempo mahjong ways kendali permainanrm peran kecerdasan buatan mekanisme mahjong wins adilrm alasan keberhasilan mahjong ways mencuri perhatian analisrm mempelajari struktur dasar mahjong wins efisiensi putaranrm inovasi desain mahjong ways kesan bermain responsifrm teknik observasi mahjong wins jarang dibahas dampakrm cara mempertahankan fokus dinamika mahjong ways cepatrm eksplorasi fitur tersembunyi mahjong wins ritme terbaikrm mahjong ways integrasi teknologi modern keamanan nyamanrm analisis faktor pendukung mahjong wins digemari generasirm langkah efektif menyesuaikan perubahan sistem mahjong waysrm mengintip proses pengembangan mahjong wins kualitas penggunarm analisis data membantu membaca arah mahjong waysrm menemukan titik temu insting logika mahjong winsrm transformasi besar mahjong ways menghadirkan tantangan menarikmengungkap simbol langka nasib drastismisteri besar kombinasi simbol langkamisteri simbol langka keberuntungan besarsimbol langka misterius ubah hiduprahasia simbol langka nasib cepattransformasi bonus mahjong wins sistem efektifmahjong wins suguhkan bonus sistem modernsuguhan bonus efisien mahjong winsefektivitas sistem bonus mahjong winsmahjong wins hadirkan bonus sistem optimaloke76cincinbetaqua365slot gacorstc76samurai76TOBA1131samurai76 login