A Deadly Connection: Recognizing and Preventing Tracheo-Brachiocephalic Artery

A Deadly Connection: Recognizing and Preventing Tracheo-Brachiocephalic Artery Fistula

Dr. Sayed Said Rabie Mohamed1*, Dr. Syed Tayyab Hussain1, Dr. Raya Sakhar Alsayyid2, Dr. Abdelgalil Ali Abdelgalil Othman Ragab1, Dr. Mouhannad Mahmoud Abdulber Fakoury1.


 1. Otolaryngology Head & Neck Surgery Department, Dubai Hospital, Dubai Health, Dubai, UAE.

2. Nad Alsheba Primary Health Center, Dubai Health, Dubai, UAE.


*Correspondence to: Dr. Sayed Said Rabie Mohamed, Specialist Registrar, Otolaryngology Head & Neck surgeon.


Copyright

© 2025 Dr. Sayed Said Rabie Mohamed. This is an open access article distributed under the Creative Commons Attribution License, which permits unrestricted use, distribution, and reproduction in any medium, provided the original work is properly cited.

Received: 21 March 2025

Published: 26 March 2025

DOI:  https://doi.org/10.5281/zenodo.15117726

ABSTRACT:

Tracheo-Brachiocephalic Artery Fistula is a rare but fatal complication of tracheostomy, with a very high mortality rate. In this paper, we present a case that was diagnosed early and successfully treated with optimal surgical intervention.

The patient was a 57-year-old male admitted to the hospital under the care of the neurosurgery team for urgent, life-saving surgery—an evacuation of a left chronic and subacute subdural hematoma. He was intubated in the emergency room upon admission and subsequently transferred to the operating theater for surgery. Later, a tracheostomy was performed due to the need for prolonged intubation.

Three months after the tracheostomy, the patient developed massive bleeding from the tracheostomy site. An otolaryngologist was consulted and ordered an emergency CT carotid angiography with IV contrast, which revealed an abnormal fistulous communication between the brachiocephalic artery and the upper anterior tracheal wall, approximately 3 cm below the cricoid cartilage. The fistula measured about 5 mm in length.

The otolaryngologist advised increasing the tracheostomy tube cuff pressure to 50 mmHg and urgently consulted vascular surgery, interventional radiology, and the cardiothoracic surgery team for appropriate intervention to control the bleeding. The vascular surgery team reported that they could not control the bleeding, as the fistula was located in the chest rather than the neck, necessitating an emergency intervention either by an interventional radiologist for stent placement or a cardiothoracic surgeon for surgical closure.

The interventional radiologist assessed the patient and concluded that the tracheostomy site was infected, significantly increasing the risk of stent infection; therefore, stent placement was not recommended. The cardiothoracic surgery team then evaluated the patient, immediately transferred him to the operating theater, and successfully closed the fistula, controlling the massive bleeding under general anesthesia.

This case highlights the critical importance of rapid multidisciplinary collaboration and prompt intervention in the successful management of tracheo-brachiocephalic artery fistula.

Key Words: Tracheo-Brachiocephalic Artery Fistula, tracheostomy, complications, tracheo-innominate artery fistula, diagnosis, surgery, fistula, hemorrhage, TIF.


A Deadly Connection: Recognizing and Preventing Tracheo-Brachiocephalic Artery Fistula

Introduction

Tracheo-Brachiocephalic Artery Fistula, also known as Tracheo-Innominate Artery Fistula (TIF), is a life- threatening complication of both open surgical tracheostomy and percutaneous dilatational tracheostomy (McCormick and Manara, 2005). Its incidence varies from 0.3% to 0.79% (Iodice et al., 2007). Patients with TIF are at risk of sudden massive tracheal hemorrhage and asphyxiation due to blood aspiration. The survival rate is only 7.3% (Jones et al., 1976), and emergency surgery is often the only chance for survival. The etiology of this complication includes pressure necrosis from high cuff pressure, mucosal trauma from a malpositioned cannula tip, a low tracheal incision, excessive neck movement, radiotherapy, and prolonged intubation, all of which have been implicated in TIF formation. The use of a high-volume, low-pressure cuff may reduce the risk of subsequent fistula formation.

In terms of management, median sternotomy for ligation of the artery remains the most common approach for TIF repair. However, even after successful surgical intervention, postoperative local or mediastinal infections can lead to recurrent bleeding, which is often fatal and distressing for both healthcare providers and the patient’s family (Praveen et al., 2007). Preventing rebleeding is crucial for the successful management of TIF.

Without surgical intervention, the mortality rate approaches 100% due to acute massive tracheal hemorrhage (Tomoyasu et al., 2007). The median sternotomy provides excellent exposure and can be performed rapidly, while a cuffed endotracheal or tracheostomy tube helps tamponade the bleeding site. Before addressing the injured area, proximal and distal control of the innominate artery must be established. Various surgical techniques have been reported, including direct suture, resection, and ligation of the innominate artery.

Although a few cases of TIF have been successfully treated with graft interposition (Jamal-Eddine et al., 2008), endovascular stent grafting (Cohen et al., 2008), or endovascular embolization (Takasaki et al., 2005), fatalities have been reported due to rebleeding when attempts were made to preserve innominate artery flow using direct sutures or prosthetic materials in an infected area (Gelman et al., 1994).

Ligation of the innominate artery is considered the first-line treatment, as previous studies have shown that interruption of its flow does not result in significant neurological or vascular complications due to collateral circulation via the external carotid artery, thyrocervical trunk, and vertebral vessels (Allan and Wright, 2003; Gelman et al., 1994; Silen and Spieker, 1965). Various surgical techniques have been employed for tracheal repair, including primary closure to allow for natural granulation, patch closure with heterologous tissue, and patch closure with autologous tissue (Tomoyasu et al., 2007). To protect the blood vessel, it should be covered with viable adjacent tissue, such as the sternocleidomastoid or strap muscles. Some authors have also recommended using an autologous pericardium flap (Hsiao et al., 2012) or a pectoralis major myocutaneous flap (Roh et al., 2006). Suction drains should be placed in the mediastinum, as rebleeding can occur due to mediastinal infection caused by residual necrotic tissue and granulation.

Preventing this complication should be a priority in all tracheostomy procedures, as treatment is extremely challenging once TIF occurs. Tracheostomy indications should be carefully evaluated to avoid unnecessary procedures, and whenever possible, it should be performed in an optimal surgical environment, such as the operating room. The incision should be made at the second or third tracheal ring, avoiding prolonged or excessive neck hyperextension. Anatomic variations, such as an aberrant high-riding innominate artery, should be considered during the procedure. For patients undergoing percutaneous tracheostomy in the intensive care unit, bedside ultrasound screening can help identify pretracheal vascular structures, thereby minimizing the risk of hemorrhage. If a cuffed tracheostomy tube is used, the cuff pressure should be maintained below 20 mmHg (Hsiao et al., 2012) to prevent excessive pressure on the tracheal mucosa.


Case Report

A 57-year-old male patient was admitted to the hospital under the care of the neurosurgery team for an urgent life-saving surgery, which was performed for the evacuation of a left chronic and subacute subdural hematoma. The patient was intubated in the Emergency Room and received ventilator support. His past medical history included a previous cerebrovascular accident (CVA), type 2 diabetes mellitus without complications, and hyperlipidemia.

During his hospital stay, he developed nosocomial pneumonia, septic shock, and respiratory failure. Due to prolonged intubation, the patient underwent a tracheostomy.

Three months later, oozing from the tracheostomy stoma was noted five days after a routine tracheostomy tube change. The bleeding progressed dramatically, leading to massive hemorrhage from the tracheostomy site and throat, which was associated with hypotension and a drop in hemoglobin (Hb) from 8.6 g/dL to 6 g/dL. Emergency Management;

• Intravenous fluids were administered.

• Femoral central line and brachial artery line were inserted.

• Two units of packed red blood cells (RBCs) were transfused.

• An urgent ENT consultation was requested.

Upon ENT evaluation, clots were removed from around the tracheostomy tube, and no active bleeding was noted at that time. A throat pack was applied, and an emergency CT carotid angiogram was recommended to rule out Tracheo-Brachiocephalic Artery Fistula (TIF).

 

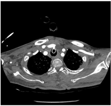
Fig 1

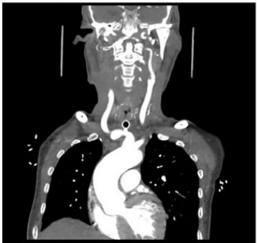
Fig 2

Fig 3

 

Imaging Findings

Emergency multiphasic CT carotid angiography using IV contrast was performed, including axial thin cuts with multiplanar and maximum intensity projection (MIP) reformatted images.

The study revealed:

• Abnormal fistulous communication between the brachiocephalic artery and the upper anterior tracheal wall, approximately 3 cm below the cricoid cartilage.

• The fistula measured approximately 5 mm in length.

• Dense secretions were noted in the trachea and main bronchi.

• Diffuse marked atherosclerotic changes were observed in the visualized portion of the thoracic aorta, characterized by mural irregularities, thickening, and intimal calcifications.

• Mild atherosclerotic changes were noted in the bilateral common carotid arteries and the extracranial segments of the internal carotid arteries, with no evidence of significant stenosis.


Multidisciplinary Management

The ENT surgeon reviewed the CT angiogram and recommended:

• Increasing the tracheostomy tube cuff pressure to 50 mmHg.

• Considering an urgent change from a tracheostomy tube to an endotracheal tube in case of airway collapse or severe uncontrolled bleeding.

• Requesting urgent consultations from the vascular surgery, interventional radiology, and cardiothoracic surgery teams for definitive management.


Specialist Evaluations

• The vascular surgery team reviewed the patient and confirmed the diagnosis of Tracheo- Brachiocephalic Artery Fistula, stating that emergency intervention was required. They suggested possible endovascular stenting by interventional radiology or surgical repair by cardiothoracic surgery, as the fistula was located in the chest rather than the neck.

• The interventional radiology team assessed the patient but advised against stenting, as the tracheostoma was infected, increasing the risk of stent infection.

• The cardiothoracic surgery team decided to proceed with immediate surgical intervention in the operating theater to close the fistula and control the massive bleeding under general anesthesia.


Surgical Procedure

In the operating theater, the following steps were performed:

1.         Median sternotomy incision was made.

2.         Dissection of the ascending aorta and arch vessels was carried out.

3.         Right brachiocephalic trunk was identified and controlled using a vessel loop.

4.         Dissection of the right subclavian artery was performed.

5.         Clamping of the brachiocephalic trunk and right subclavian artery was achieved.

6.         Dissection of the fistulous tract between the brachiocephalic artery at its bifurcation and the anterior tracheal wall was performed.

7.         The fistula was closed using 4/0 Prolene continuous sutures.

8.         Meticulous hemostasis was ensured.

9.         The sternotomy wound was closed in layers, and two chest drains were placed: one retrosternal and one in the left pleural cavity.

The patient tolerated the procedure well and was transferred to the Surgical Intensive Care Unit (SICU) for postoperative management.


Postoperative Course

The patient remained in the SICU for three weeks following surgery without any complications and continued to receive medical management.


Discussion and Conclusion

Tracheo-Brachiocephalic Artery Fistula (TIF) is a rare but fatal complication of tracheostomy, with a high mortality rate if not diagnosed and treated promptly. In this report, we present a case that was diagnosed early and successfully managed with optimal surgical intervention.

The successful outcome in this case highlights the critical importance of early recognition, rapid intervention, and a multidisciplinary approach. Effective management requires full cooperation and immediate response from all involved teams, including:

•           Intensive Care Unit (ICU) team

•           Otolaryngology team

•           Radiology team

•           Cardiothoracic surgery team

•           Vascular surgery team

•           Interventional radiology team

A high index of suspicion is essential in patients with sudden, unexplained bleeding from a tracheostomy site, and urgent imaging should be performed to confirm the diagnosis. In this case, early ENT consultation, rapid imaging, and coordinated surgical intervention led to a successful outcome, demonstrating the importance of timely and collaborative management in life-threatening complications of tracheostomy.

 

References

1. Allan JS, Wright CD. 2003. Tracheoinnominate fistula: diagnosis and management. Chest Surg Clin N Am., 13:331–341.

2. Cohen JE, Klimov A, Rajz G, Paldor I, Spektor S. 2008. Exsanguinating tracheoinnominate artery fistula repaired with endovascular stent-graft. Surg Neurol., 69:306–309.

3. Flint AC, Midde R, Rao VA, Lasman TE, Ho PT. 2009. Bedside ultrasound screening for pretracheal vascular structures may minimize the risks of percutaneous dilatational tracheostomy. Neurocrit Care, 11:372–376.

4. Gelman JJ, Aro M, Weiss SM. 1994. Tracheo-innominate artery fistula. J Am Coll Surg., 179:626–634.

5. Hsiao CW, Lee SC, Lee KC, Cheng YL, Tzao C. 2002. Tracheoinnominate artery fistula: successful surgical management of one case. Thorac Cardiovasc Surg., 50:249–250.

6. Iodice F, Brancaccio G, Lauri A, Di Donato R. 2007. Preventive ligation of the innominate artery in patients with neuromuscular disorders. Eur J Cardiothorac Surg., 31:747–749.

7. Jamal–Eddine H, Ayed AK, Al–Moosa A, Al–Sarraf N. 2008. Graft repair of tracheo-innominate artery fistula following percutaneous tracheostomy. Interact Cardiovasc Thorac Surg., 7:654–655.

8. Jones JW, Reynolds M, Hewitt RL, Drapanas T. 1976. Tracheo-innominate artery erosion: successful surgical management of a devastating complication. Ann Surg., 184:194–204.

9. McCormick B, Manara AR. 2005. Mortality from percutaneous dilatational tracheostomy. A report of three cases. Anaesthesia, 60:490–495.

10. Praveen CV, Martin A. 2007. A rare case of fatal haemorrhage after tracheostomy. Ann R Coll Surg Engl., 89:W6–8.

11. Roh JL, Na MH, Kim KH. 2006. Treating tracheo-innominate artery fistula with interposition of a pectoralis major myocutaneous flap. Eur Arch Otorhinolaryngol., 263:180–182.

12. Silen W, Spieker D. 1965. Fatal hemorrhage from the innominate artery after tracheostomy. Ann Surg., 162:1005–1012.

13. Takasaki K, Enatsu K, Nakayama M, Uchida T, Takahashi H. 2005. A case with tracheo-innominate artery fistula. Successful management of endovascular embolization of innominate artery. Auris Nasus Larynx., 32:195–198.

14. Tomoyasu M, Tanita T, Nakajima T, et al. 2007. Successful repair using innominate vein flap, pericardial flap and thymus pedicle flap for tracheo-innominate artery fistula. Ann Thorac Cardiovasc Surg., 13:143–146.

Figure 1

Figure 2

Figure 3

antarmuka fokus mahjong daya pengguna aktifaws grid serasi mahjong dasar tahapan terjagaaws jejak mekanisme mahjong arah fase lanjutanaws kajian wild berantai mahjong interaktif analitisaws kesesuaian persentase layanan mahjong seluler lanceraws pendalaman persentase mahjong gerak wild mutakhircorak langka mahjong tumbuh perlahan berubahgerak mahjong adaptasi mekanisme pemakai sekarangnalar scatter mahjong malam putaran ekstratempo mahjong kaitan mekanisme keadaan terkinialur permainan mahjong cepat scatter wilddalam hitungan detik scatter wild mahjongmenyatukan naluri pola scatter hitam mahjongmomen mahjong permainan berbalik arahmomen singkat mahjong dinamika permainanperpaduan insting pola scatter hitam momentperubahan drastis mahjong ways scatter wildscatter wild mahjong datang polasekejap berubah scatter wild mahjong wayssensasi baru mahjong lebih scatter wildenergi scatter emas irama reel mahjongevolusi reel mahjong balutan mistisintervensi cepat emas momentum lamakemunculan mendadak naga emas mahjongketika scatter naga emas aktif mahjongnaga emas muncul arah spin mahjongnaga emas ritme mahjong ways berubahrahasia rtp tinggi balik scatter hitamsaat scatter naga emas alih irama reelscatter hitam kunci lonjakan rtp mahjonge5 scatter wild memberikan sentuhan baru di setiap spin mahjong ways 2e5 scatter wild menghidupkan suasana permainan mahjong ways 2e5 scatter wild mengubah pola permainan mahjong ways 2 secara signifikane5 setiap putaran mahjong ways 2 terasa berbeda dengan scatter wilde5 strategi adaptif berbasis analisis rtp hariane5 strategi berbasis data dan algoritma untuk analisis momentume5 strategi berkembang berkat data rtp hariane5 strategi memahami algoritma untuk mengidentifikasi momentum ideale5 strategi membaca pola algoritma demi menangkap momentum optimale5 strategi modern mengandalkan evaluasi rtp hariane5 strategi responsif dengan dukungan evaluasi rtp hariane5 strategi terukur dengan analisis rtp hariane5 struktur scatter dan wild terlihat jelas berkat analisis sistem moderne5 tanpa disadari kombinasi ini sering mengarah ke scatter di mahjong wins 3e5 teknik evaluasi algoritma untuk mendapatkan momentum yang tepate5 teknik observasi sistem untuk analisis momentum yang lebih presisie5 terungkap formasi ini sering jadi awal munculnya scatter di mahjong wins 3e5 transformasi digital rtp live berkat artificial intelligence inovatife5 transformasi ritme mahjong ways 2 dipicu oleh kekuatan scatter wilde5 wajib tahu pola tersembunyi ini sering menghasilkan scattere5 applee5 bananae5 candye5 doge5 eaglee5 falcone5 geminie5 horsee5 indiae5 japananalisa pola mahjong ways rutinanalisis kinerja heuristik variansi gameanalisis pola mahjong ways hariananalisis pola mahjong ways kebiasaanera baru mahjong wins bonus optimalgebrakan bonus mahjong wins mekanisme efisieninsight pola mahjong ways rutinkajian pola mahjong ways rutinkomparasi heuristik variansi game digitalledakan bonus mahjong wins sistem efektifmahjong wins bonus sistem generasi baruobservasi pola mahjong ways harianpendekatan algoritma heuristik variansi gameperbandingan model heuristik variansi gamerahasia bonus mahjong wins sistem cerdasrangkuman pola mahjong ways harianringkasan pola mahjong ways harianstudi pola mahjong ways hariantinjauan heuristik variansi game digitaltinjauan pola mahjong ways harianalur sombol mahjong kemunculan scatterdari rtp mahjong bermain lebih efektifjejak scatter mahjong putaran tenangkejutan scatter wild simbol mahjong arahkemunculan simbol ganda membuat mahjongketika grid mahjong scatter semakin dekatketika rtp mahjong pola mulai lebih jelasketika scatter wild ritme simbol mahjongketika scatter wild titik sesi mahjong waysketika susunan simbol mahjong ritme scattermemahami rtp mahjong cara bermain lebihpergerakan simbol mahjong scatter wildpergeseran mahjong ketika scatter hadirsaat rtp mahjong terbaca baik strategisaat scatter hadir simbol mahjong bergeserscatter wild dinamika simbol mahjongstabilitas putaran mahjong pola scattersusunan baru reel mahjong scatter emassusunan mahjong wins mengandung scattersusunan simbol mahjong diam pola scatterrm menguak keunikan mahjong wins sudut pandang teknisrm cara memahami pergerakan mahjong ways tenaga ekstrarm mahjong wins standar baru industri hiburan digitalrm rahasia ketahanan mahjong ways eksis gempuran gamerm pentingnya memahami transisi level mahjong wins mendalamrm strategi mengatur tempo mahjong ways kendali permainanrm peran kecerdasan buatan mekanisme mahjong wins adilrm alasan keberhasilan mahjong ways mencuri perhatian analisrm mempelajari struktur dasar mahjong wins efisiensi putaranrm inovasi desain mahjong ways kesan bermain responsifrm teknik observasi mahjong wins jarang dibahas dampakrm cara mempertahankan fokus dinamika mahjong ways cepatrm eksplorasi fitur tersembunyi mahjong wins ritme terbaikrm mahjong ways integrasi teknologi modern keamanan nyamanrm analisis faktor pendukung mahjong wins digemari generasirm langkah efektif menyesuaikan perubahan sistem mahjong waysrm mengintip proses pengembangan mahjong wins kualitas penggunarm analisis data membantu membaca arah mahjong waysrm menemukan titik temu insting logika mahjong winsrm transformasi besar mahjong ways menghadirkan tantangan menarikmengungkap simbol langka nasib drastismisteri besar kombinasi simbol langkamisteri simbol langka keberuntungan besarsimbol langka misterius ubah hiduprahasia simbol langka nasib cepattransformasi bonus mahjong wins sistem efektifmahjong wins suguhkan bonus sistem modernsuguhan bonus efisien mahjong winsefektivitas sistem bonus mahjong winsmahjong wins hadirkan bonus sistem optimaloke76cincinbetaqua365slot gacorstc76samurai76TOBA1131samurai76 login