Giant-cell Reparative Granuloma of Short Tubular Bones of the Hand.
Dr. Reni Paulose1*, Dr. Ammunje S. Nayak2
2. Dr. Ammunje S. Nayak, MS (Orth), FRCS (Ed), MCh (Orth), FRCS (Orth), Consultant Orthopaedic Surgeon, Umm-Al-Quwain Hospital, Umm-Al-Quwain, UAE.
*Correspondence to: Dr. Reni Paulose, MBBS, DOrth, DNB (Orth), Orthopaedic Surgeon, Umm-Al-Quwain Hospital, Umm-Al-Quwain, UAE.
Copyright
© 2025 Dr. Reni Paulose is an open access article distributed under the Creative Commons Attribution License, which permits unrestricted use, distribution, and reproduction in any medium, provided the original work is properly cited.
Received: 21 Mar 2025
Published: 02 Apr 2025
DOI: https://doi.org/10.5281/zenodo.15124046
Abstract:
Giant cell reparative granuloma are uncommon reactive intraosseous lesions, with a benign nature and have been reported to occur in the skull, jaw, and facial bones and rarely in tubular bones of hand, feet.
They are non-neoplastic solitary, lytic, expansile lesion which rarely may extend into the surrounding soft tissue.
It is usually difficult to distinguish them from aneurysmal bone cyst, giant-cell tumor, or brown tumor of hyperparathyroidism due to their radiological and histologic similarities.
This report describes two cases of GCRG: a 36-year-old male with a solitary lesion in the metacarpal of the index finger and a 6-year-old female presenting with a similar lesion in the proximal phalanx. Both cases demonstrate the importance of thorough clinical evaluation, imaging, and histopathological examination to achieve an accurate diagnosis. We discuss the surgical management employed in each case and the favorable long-term outcomes observed, underscoring the need for careful differentiation from other bone pathologies
Introduction
Giant Cell Reparative Granuloma (GCRG) typically presents as a painless swelling, with radiographic findings showing an expansile lytic lesion and cortical thinning.
Its clinical presentation often resembling other entities such as Giant Cell Tumors (GCT) and Aneurysmal Bone Cysts (ABC), leading to potential misdiagnosis.
The histopathological features include a rich fibroblastic stroma with multinucleated giant cells, which are characteristic but not exclusive to this lesion.
Case Report
Case 1: A 36-year-old right hand dominant male presented with a swelling in the left hand that was resent for one year. The swelling had gradually increased over three months. There was no pain at the site and there was no similar swelling elsewhere in the body. The swelling was limited to the distal half of the index finger metacarpal, hard in consistency and not tender. The skin over the swelling was normal (figure 1).
Radiograph showed an expansile lesion involving the distal half of the index finger metacarpal extending to the articular surface. Cortex of the bone was thinned but not broken. There was no calcification inside the lesion (figure 2). Blood investigations like serum calcium, phosphorous, alkaline phosphatase, and parathyroid hormone levels, and other blood parameters were within the normal range.
Figure 1. Preoperative photograph case 1, showing clinical picture.
Figure 2. Preoperative radiograph of case 1 showing expansile lesion of index metacarpal.
Operative Treatment
Distal 2/3rd of the index finger metacarpal was excised,
Free grafting of the 3rd metatarsal from the left foot was performed (figure 3) The graft had incorporated in four months (figure 4).
Patient had a 60-degree flexion at the metacarpo-phalangeal joint and functionally stable joint (figure 5).
Figure 3. Operative photograph to show metacarpal graft in place.
Figure 4. Follow up radiograph at nine years (case 1).
Figure 5. Postoperative clinical photograph (case 1).
Case 2: A six-year-old girl presented with gradually increasing swelling in the left index finger over three months. She had sustained minor trauma one year earlier and radiograph at the time was normal. Clinically there was swelling involving the proximal phalanx of the left index finger. Swelling was hard and tender with normal overlying skin.
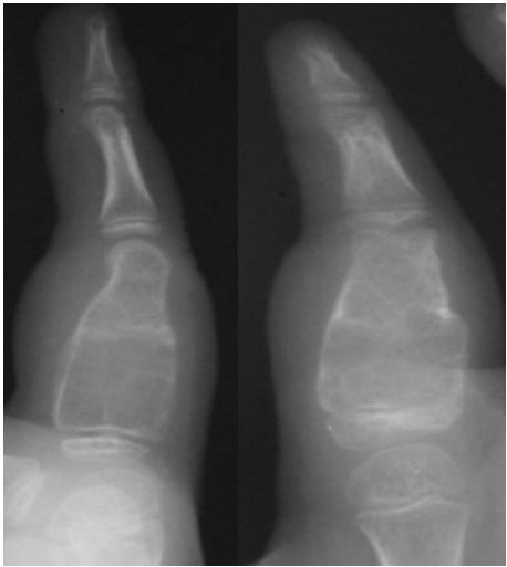
Radiograph showed expansile lytic lesion with thinned out cortex involving proximal phalanx of the index finger (figure 6). No abnormalities detected in the blood workup.
Patient underwent curettage of the lesion and packing with cancellous bone taken from the iliac crest (figure 7). The lesion healed in six months and there has been no recurrence.
Figure 6. Preoperative radiograph of case 2 showing the lesion in proximal phalanx of index finger.
Figure 7. Follow Up Radiograph of Case 2
Gross examination of the specimen in the 1st patient showed solid tumor whereas in the 2nd patient, the lesion contained brownish moderately firm tissue, which was slightly vascular. Both the specimens were submitted for microscopic examination. Both lesions showed abundant fibroblastic stoma with scattered osteoclast giant cells.
The histology of the first patient was initially reported as Giant cell tumor (GCT), whereas that of the second patient was reported as Aneurysmal bone Cyst (ABC) and GCT by two different pathologists.
However, both were later conclusively reported as Giant cell reparative granuloma (GCRG). Both these patients have been followed up for nine years with no evidence of recurrence.
Discussion and Review of Literature
In 1953 Jaffe1 described the entity “giant-cell reparative granuloma” as a benign non-neoplastic lesion linked to intraosseous hemorrhage and limited to the mandible or maxilla.
In 1962 Ackerman and Spjut2 reported two lesions involving the phalanges, which they termed “giant cell reaction” and defined these as a “rare, benign, non-neoplastic single lesion involving small bones of the hands”.
Lorenzo and Dorfman3 in 1980 published in their series of 8 cases and designate this lesion as a giant-cell reparative granuloma in short tubular bones of the hands, as well as extra-gnathic sites.
GCRG involving small bones of the hands and feet are rare. There are very few reports of this lesion in the literature. One of the reasons for this could be that this lesion can be confused for other giant cell producing tumours. Although GCRG occurs more commonly in the adult after the epiphyseal closure, the age can range from 6 to 60 years.
GCRG is known to occur in both sexes in equal frequency. However, a series of 5 cases from Glass and Mills 4 had male predominance with a 1:4 ratio. But Yamaguchi T and Dorfman HD 5, with their large series of 89 patients which included 17 lesions in the hand bones, reported females to be affected twice as frequently as males.
The etiology and pathogenesis of GCRG are unknown. A history of trauma is usual as in one of our patients. The most favored theory is that GCRG represents a reactive process in response to intraosseous hemorrhage.
GCRG typically extends to the subarticular bone or in the case of unclosed epiphysis, the epiphyseal plate. None of those lesions that developed prior to epiphyseal fusion have been documented to cross the epiphyseal plate. There have been reports of involvement of more than one bone. When there are multiple lesions in adult, one should carry out serum biochemistry to rule out the possibility of hyperparathyroidism.
Radiographs of GCRG usually show a lytic, expansile lesion in one of the phalanges or metacarpals with no evidence of cortical invasion or periosteal reaction, but aggressive variants have been described.
Giza E, Stern PJ and Cualing H6 in 1997 reported a case of a 67-year-old lady with an aggressive lesion with destructive lesion of the metacarpal shaft and base. She underwent ray amputation, and showed no evidence of recurrence at 3 years.
Another case of aggressive radiographic features with bony permeation, breaking of the cortex, and soft tissue extension was reported by Bertoni F et al7. in 1998
In 2013 Monacelli G, Rizzo MI and Monarca C8 reported a diagnostically challenging case of a young man with GCRG seen in the proximal and middle phalanges of the left middle finger, radiography of the hand showed expansive and lucent lytic lesions with circumferential cortical destruction. He underwent en-bloc resection and reconstruction. Diagnosis was confirmed by Histology
GCRG may be indistinguishable from the “Brown tumour” of hyperparathyroidism. Serum calcium, phosphate, alkaline phosphatase and parathyroid hormone levels should exclude this condition.
The most common preoperative radiographic diagnosis has been enchondroma, GCT and Aneurysmal bone cyst (ABC). While the location and the expansile nature of the lesion are compatible with enchondroma, GCRG does not exhibit calcification of the matrix. Moreover, the demarcation between abnormal and normal bone is less well defined than in typical enchondroma. ABC is rarely located in the small bones of the hands and feet. Unlike ABC, the majority of the lesions in GCRG occur after closure of the epiphyseal plate.
GCT is the most difficult to distinguish from GCRG; it affects the same age group as GCRG and has similar radiographic signs, except, it is typically more aggressive. Wold LE and Swee RG and colleagues 9, 10 also noted that the clinical and radiologic features did not distinguish between the 2 entities, and a history of trauma was inconsistent.
Histologically, GCRG can be distinguished from GCT by its prominent fibroblastic stroma, granuloma-like arrangement around stromal hemorrhage, smaller and more angulated giant cells, and prominent osteoid. In addition, GCRG lacks the diffuse sheets of huge giant cells and polygonal mononuclear cells seen in GCT.
With the identification of USP6 gene rearrangements in primary ABC, Agaram NP, LeLoarer FV, Zhang L, et al11 summarized that most of the so-called GCRG of the hands and feet are truly solid ABCs and suggested that the terminology of GCRG should be restricted only to the gnathic lesions.
Recurrence is known to occur after curettage. Lorenzo and Dorfman3 reported 4 out of 8 cases had local recurrence in four to eighteen months after initial curettage. Two of these cases were treated successfully by further curettage and two required local resections. None of the material from the recurrences showed malignant histological features. Glass T.A. and Mills S.E.4 reported recurrence in three out of five patients. All recurrence responded to further surgery. Remote spread of the disease is not known. In the large series of 91 GCRGs, in 89 patients by Yamaguchi T, Dorfman HD5 including 17 cases from the hands, osteoid was noted in 83%, and areas resembling an aneurysmal bone cyst were present in 29%. Malignant transformation or metastases was not seen in any of these cases.
Conclusion
GCRG poses several diagnostic challenges. The distinction between GCTs and GCRGs is important as GCTs unlike GCRG have a risk for metastasis.
Although GCRG is not a common tumour, this should be considered whenever a radiolucent, expansile lesion of the small tubular bones of the hands and feet is seen, particularly in a young and middle-aged individual. Though characteristic histological appearance should confirm the diagnosis, newer methods such as Fluorescence in situ hybridization analysis and genome studies may be helpful. Even though the lesion may rarely recur after curettage, total local excision is curative.
Statements and declarations
Ethical considerations: Our institution does not require ethical approval for reporting individual cases or case series.
Consent to participate: Informed consent was obtained from all individual participants included in the study.
Consent for publication: All Images and information in this case report has been anonymized, and all participants have consented to its publication
Declaration of conflicting interest: The authors declare that they have no conflict of interest related to this work or the publication of this article.
Funding statement: The authors declare that they have received no commercial or financial funding that could be construed as a potential conflict of interest.
Statement of Animal and Human Rights: All procedures followed were in accordance with the ethical standards of the responsible committee of Umm Al Quwain Hospital and as per the laws of United Arab Emirates. and with the Helsinki Declaration of 1975, as revised in 2008. Informed consent was obtained from all patients for being included in the study.
No Animals were involved in this study or included in this case report.
Acknowledgments:
We thank Dr. Archie J. Malcolm, Consultant Pathologist, Victoria Infirmary, Newcastle upon Tyne, UK, for reporting on the first case, and Dr. Jean Pringle, Consultant Pathologist, Royal National Orthopaedic Hospital, Middlesex, UK, for reporting on the second case.
References
1. Jaffe HL. Giant-cell reparative granuloma, traumatic bone cyst, and fibrous dysplasia of the jawbones. Oral Surgery 1953; 6: 159-175.
2. Ackerman LV, Spjut HJ. Giant cell reaction. Tumors of bone and cartilage. Atlas of tumor pathology. Washington DC: AFIP, 1962:282,345.
3. Lorenzo JC, Dorfman HD. Giant-cell reparative granuloma of short tubular bones of the hands and feet. Am J Surg Pathol. 1980;4(6):551-563.
4. Glass Ted A., Mills Stacey E., et all, Giant-Cell Reparative Granuloma of the Hands and Feet. Radiology 149; 65-68, October 1983.
5. Yamaguchi T, Dorfman HD. Giant cell reparative granuloma: a comparative clinicopathologic study of lesions in gnathic and extragnathic sites. Int J Surg Pathol. 2001;9(3):189-200.
6. Giza E, Stern PJ, Cualing H. Aggressive giant cell reparative granuloma of the metacarpal: a case report. J Hand Surg Am. 1997;22(4):732-736.
7. Bertoni F, Biscaglia R, Bacchini P. Giant cell reparative granuloma of the phalanx of the hand with aggressive radiographic features. Skeletal Radiol. 1998;27(10):584-587.
8. Monacelli G, Rizzo MI, Monarca C. Double localization of giant cell reparative granuloma of the bone in the same finger. Differential diagnosis and treatment. Ann Ital Chir. 2013;84(4):467-470
9. Wold LE, Swee RG. Giant cell tumor of the small bones of the hands and feet. Semin Diagn Pathol. 1984;1(3):173-184
10. Wold LE, Dobyns JH, Swee RG, Dahlin DC. Giant cell reaction (giant cell reparative granuloma) of the small bones of the hands and feet. Am J Surg Pathol. 1986;10(7):491-496.

11. Agaram NP, LeLoarer FV, Zhang L, et al. USP6 gene rearrangements occur preferentially in giant cell reparative granulomas of the hands and feet but not in gnathic location. Hum Pathol. 2014;45(6):1147-1152.
Figure 1
Figure 2
Figure 3
Figure 4
Figure 5
Figure 6
Figure 7