Endoscopic Ultrasound-Guided Drainage of Infected Walled Off Pancreatic Necrosis

Endoscopic Ultrasound-Guided Drainage of Infected Walled Off Pancreatic Necrosis
Marissa Jansen, BS *1, Ethan Barkley, BS 1 , Corey Mealer, BS 1, Manjakkollai Veerabagu, MD 2

 

1. Medical Student at Medical University of South Carolina.

2. Affiliated Associate Professor at Medical University of South Carolina.


*Correspondence to: Marissa Jansen, BS, Medical Student at Medical University of South Carolina.


Copyright

© 2025 Marissa Jansen, BS, This is an open access article distributed under the Creative Commons Attribution License, which permits unrestricted use, distribution, and reproduction in any medium, provided the original work is properly cited.

Received: 21 April 2025

Published: 02 May 2025  

DOI: https://doi.org/10.5281/zenodo.15654646

Abstract:

Infected walled off necrosis of the pancreas is the dreaded complication following an acute necrotizing pancreatitis. It is associated with high morbidity and mortality due to sepsis, SIRS and multiorgan failure which can result in death. Surgical open necrosectomy is associated with increased morbidity. Currently endoscopic ultrasound guided drainage has become a minimally invasive approach for this serious condition. We report a case in which the infected walled off necrosis was treated by endoscopic ultrasound guided drainage and necrosectomy with complete resolution of this condition without any serious adverse effects.

Keywords: endoscopic ultrasound (EUS), walled-off necrosis (WON), alcoholic pancreatitis, necrosectomy, lumen apposing metal stent (LAMS)


Endoscopic Ultrasound-Guided Drainage of Infected Walled Off Pancreatic Necrosis

Case History:

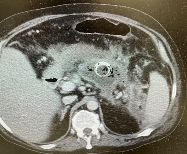
The patient is a 44-year-old male who was initially admitted to the hospital in October 2024 for alcohol-induced acute necrotizing pancreatitis. He was managed by supportive care and he was able to be discharged after 10 days of hospitalization. He was admitted after three weeks of illness with fever, chills and increasing abdominal pain and poor oral intake. CT imaging study showed air in the pancreatic necrotic cavity measuring 24.8 cm x 11.6 cm (Figure 1). EUS-guided drainage was performed using 20 mm x 10 mm lumen apposing metal stent (LAMS), hot Axios (Boston Scientific Corp). The necrotic cavity was visualized using linear array echoendoscope (Olympus America) and using the electrocautery tip of the stent, the wall of the necrotic cavity was punctured from the stomach; the distal flange was deployed inside the cavity and the proximal end of the stent was released under endoscopic guidance.

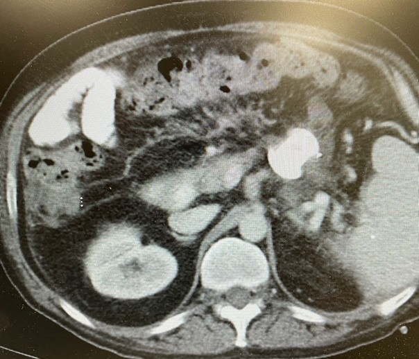
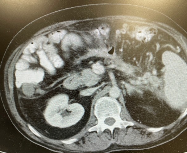
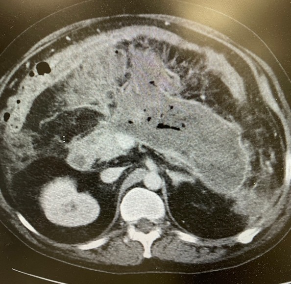
At the time of the initial EUS-guided drainage, the patient was only three weeks post-pancreatitis hospitalization. Due to the thin wall of the cavity, immediate necrosectomy was not performed since there was an increased risk of perforation. A week later he underwent necrosectomy. The procedure involved passing a double channel therapeutic scope into the esophagus and advanced into the stomach. EndoRotor powered endoscopic debridement catheter (Interscope), snare, and forceps were also used to remove the necroma from the cavity. The necrosectomy procedure had to be repeated three times due to the large size and mild bleeding to completely evacuate all the contents from the necrotic cavity. The repeat imaging showed complete healing and obliteration of the cavity and LAMS was successfully removed (Figure 2). There was a small left lower quadrant pelvic collection which could not be accessed by endoscopic ultrasound and was drained by the interventional radiologist. The drain was removed after complete resolution of the small collection. The patient returned to full time work and made a complete recovery without any sequela, such as kidney injury, lung injury or fistula formation.   

 

Discussion

Compared to pseudocysts, necrotic collections have had lower treatment success rates, require multiple interventions, have higher rates of certain adverse events and prolonged hospitalization (1,3). Due to increased morbidity, open surgical necrosectomy has been replaced by minimally invasive options including endoscopic ultrasound (EUS), percutaneous routes (video assisted retroperitoneal debridement), and laparoscopic approaches. In one randomized study, endoscopic therapy had fewer disease related complications (5.9% vs 40.6% p<0.001), fewer pancreatic or enterocutaneous fistulae (0% vs 28.1%, p=0.001), higher physical health quality of liver scores (p=.039) and lower costs (p=.039) compared to minimally invasive surgery.

Recent observational and randomized studies have repeatedly highlighted the efficacy of endoscopic treatment for necrotizing pancreatitis (2). Direct endoscopic necrosectomy, being minimally invasive, has been shown to reduce the risk of post-procedure organ dysfunction and new-onset sepsis, thereby improving outcomes for patients with infected pancreatic necrosis (7). It is particularly effective in managing laterally located walled-off necrosis that cannot be accessed through traditional transmural drainage (4). The use of a stent-assisted approach facilitates repeated and easy passage of the flexible endoscope, accelerating the necrosectomy process. Furthermore, employing a fully covered self-expandable metal stent helps prevent peritoneal contamination.

In this case report, we highlight how endoscopic interventions for necrotizing pancreatitis are a preferable treatment option, even in patient situations that require a multi-step approach. We corroborate that the utilization of this endoscopic approach ensures that patients can resume oral intake almost immediately, spend less time in the hospital, and will have an expedited post-intervention recovery process.

 

Figure 1. Infected walled off necrosis. Gas inside the cavity indicating a sign of infection.

Figure 2. Highlights the Lumen Apposing Stent (LAMS).

Figure 3. Necrotic tissue visualized through LAMS.

Figure 4. Resolution of the necrotic cavity.

Figure 5. After LAMS removal.

 

Reference

1. Baron, T. H., Harewood, G. C., Morgan, D. E., Yates, M. R. (2002). Outcome differences after endoscopic drainage of pancreatic necrosis, acute pancreatitis, and chronic pancreatic pseudocysts. Gastrointestinal endoscopy, 56(1), 7-17.

2. Boxhoorn, Lotte, Fockens, P., Besselink, M. G., Bruno, M. J., van Hooft, J. E., Verdonk, R. C., Voermans, R. P. (2018). Endoscopic management of infected necrotizing pancreatitis: an evidence-based approach. Current treatments in gastroenterology, 16(3), 333-344.     

3. Fusco, S., Hanke, G. M., Buringer, K., Minn, L., Blumenstock, G., Schempf, U., Gotz, M., Malek, N., Wichmann, D., Werner, C. R. (2024). Clinical course for pancreatic necrosis and pancreatic pseudocysts due to severe acute or chronic pancreatitis. Therapeutic advances in gastroenterology, 17.

4. Goenka, M. K., Goenka, U., Mujoo, Y., Tiwary, I. K., Mahawar, S., Rai, V. K. (2018). Pancreatic necrosectomy through sinus tract endoscopy. Clinical endoscopy, 51, 279-284.    

5. Haney, C. M., Kowalewski, K. F., Schmidt, M. W., Koschny, R., Felinska, E. A., Kalkum, E., Probst, P., Diener, M. K., Müller-Stitch, B. P., Hackert, T., & Nickel, F. (2020). Endoscopic versus surgical treatment for infected necrotizing pancreatitis: a systematic review and meta-analysis of randomized controlled trials. Surgical endoscopy, 34(6), 2429–2444.

6. Tang, P., Zha, Q., Zhou, L., Yang, Q., He, M., Zhu, S., Liu, Y. (2021). Effectiveness of digestive endoscopy and surgery in the treatment of necrotizing pancreatitis: a meta-analysis and    systemiatic review. Gland surgery, 10(9).

7. Vyawahare, M. A., Gulghane, S., Titarmare, R., Bawankar, T., Mudaliar, P., Naikwade, R., & Timane, J. M. (2022). Percutaneous direct endoscopic pancreatic necrosectomy. World journal of gastrointestinal surgery, 14(8), 731–742..

Figure 1

Figure 2

Figure 3

Figure 4

Figure 5

antarmuka fokus mahjong daya pengguna aktifaws grid serasi mahjong dasar tahapan terjagaaws jejak mekanisme mahjong arah fase lanjutanaws kajian wild berantai mahjong interaktif analitisaws kesesuaian persentase layanan mahjong seluler lanceraws pendalaman persentase mahjong gerak wild mutakhircorak langka mahjong tumbuh perlahan berubahgerak mahjong adaptasi mekanisme pemakai sekarangnalar scatter mahjong malam putaran ekstratempo mahjong kaitan mekanisme keadaan terkinialur permainan mahjong cepat scatter wilddalam hitungan detik scatter wild mahjongmenyatukan naluri pola scatter hitam mahjongmomen mahjong permainan berbalik arahmomen singkat mahjong dinamika permainanperpaduan insting pola scatter hitam momentperubahan drastis mahjong ways scatter wildscatter wild mahjong datang polasekejap berubah scatter wild mahjong wayssensasi baru mahjong lebih scatter wildenergi scatter emas irama reel mahjongevolusi reel mahjong balutan mistisintervensi cepat emas momentum lamakemunculan mendadak naga emas mahjongketika scatter naga emas aktif mahjongnaga emas muncul arah spin mahjongnaga emas ritme mahjong ways berubahrahasia rtp tinggi balik scatter hitamsaat scatter naga emas alih irama reelscatter hitam kunci lonjakan rtp mahjonge5 scatter wild memberikan sentuhan baru di setiap spin mahjong ways 2e5 scatter wild menghidupkan suasana permainan mahjong ways 2e5 scatter wild mengubah pola permainan mahjong ways 2 secara signifikane5 setiap putaran mahjong ways 2 terasa berbeda dengan scatter wilde5 strategi adaptif berbasis analisis rtp hariane5 strategi berbasis data dan algoritma untuk analisis momentume5 strategi berkembang berkat data rtp hariane5 strategi memahami algoritma untuk mengidentifikasi momentum ideale5 strategi membaca pola algoritma demi menangkap momentum optimale5 strategi modern mengandalkan evaluasi rtp hariane5 strategi responsif dengan dukungan evaluasi rtp hariane5 strategi terukur dengan analisis rtp hariane5 struktur scatter dan wild terlihat jelas berkat analisis sistem moderne5 tanpa disadari kombinasi ini sering mengarah ke scatter di mahjong wins 3e5 teknik evaluasi algoritma untuk mendapatkan momentum yang tepate5 teknik observasi sistem untuk analisis momentum yang lebih presisie5 terungkap formasi ini sering jadi awal munculnya scatter di mahjong wins 3e5 transformasi digital rtp live berkat artificial intelligence inovatife5 transformasi ritme mahjong ways 2 dipicu oleh kekuatan scatter wilde5 wajib tahu pola tersembunyi ini sering menghasilkan scattere5 applee5 bananae5 candye5 doge5 eaglee5 falcone5 geminie5 horsee5 indiae5 japananalisa pola mahjong ways rutinanalisis kinerja heuristik variansi gameanalisis pola mahjong ways hariananalisis pola mahjong ways kebiasaanera baru mahjong wins bonus optimalgebrakan bonus mahjong wins mekanisme efisieninsight pola mahjong ways rutinkajian pola mahjong ways rutinkomparasi heuristik variansi game digitalledakan bonus mahjong wins sistem efektifmahjong wins bonus sistem generasi baruobservasi pola mahjong ways harianpendekatan algoritma heuristik variansi gameperbandingan model heuristik variansi gamerahasia bonus mahjong wins sistem cerdasrangkuman pola mahjong ways harianringkasan pola mahjong ways harianstudi pola mahjong ways hariantinjauan heuristik variansi game digitaltinjauan pola mahjong ways harianalur sombol mahjong kemunculan scatterdari rtp mahjong bermain lebih efektifjejak scatter mahjong putaran tenangkejutan scatter wild simbol mahjong arahkemunculan simbol ganda membuat mahjongketika grid mahjong scatter semakin dekatketika rtp mahjong pola mulai lebih jelasketika scatter wild ritme simbol mahjongketika scatter wild titik sesi mahjong waysketika susunan simbol mahjong ritme scattermemahami rtp mahjong cara bermain lebihpergerakan simbol mahjong scatter wildpergeseran mahjong ketika scatter hadirsaat rtp mahjong terbaca baik strategisaat scatter hadir simbol mahjong bergeserscatter wild dinamika simbol mahjongstabilitas putaran mahjong pola scattersusunan baru reel mahjong scatter emassusunan mahjong wins mengandung scattersusunan simbol mahjong diam pola scatterrm menguak keunikan mahjong wins sudut pandang teknisrm cara memahami pergerakan mahjong ways tenaga ekstrarm mahjong wins standar baru industri hiburan digitalrm rahasia ketahanan mahjong ways eksis gempuran gamerm pentingnya memahami transisi level mahjong wins mendalamrm strategi mengatur tempo mahjong ways kendali permainanrm peran kecerdasan buatan mekanisme mahjong wins adilrm alasan keberhasilan mahjong ways mencuri perhatian analisrm mempelajari struktur dasar mahjong wins efisiensi putaranrm inovasi desain mahjong ways kesan bermain responsifrm teknik observasi mahjong wins jarang dibahas dampakrm cara mempertahankan fokus dinamika mahjong ways cepatrm eksplorasi fitur tersembunyi mahjong wins ritme terbaikrm mahjong ways integrasi teknologi modern keamanan nyamanrm analisis faktor pendukung mahjong wins digemari generasirm langkah efektif menyesuaikan perubahan sistem mahjong waysrm mengintip proses pengembangan mahjong wins kualitas penggunarm analisis data membantu membaca arah mahjong waysrm menemukan titik temu insting logika mahjong winsrm transformasi besar mahjong ways menghadirkan tantangan menarikmengungkap simbol langka nasib drastismisteri besar kombinasi simbol langkamisteri simbol langka keberuntungan besarsimbol langka misterius ubah hiduprahasia simbol langka nasib cepattransformasi bonus mahjong wins sistem efektifmahjong wins suguhkan bonus sistem modernsuguhan bonus efisien mahjong winsefektivitas sistem bonus mahjong winsmahjong wins hadirkan bonus sistem optimaloke76cincinbetaqua365slot gacorstc76samurai76TOBA1131samurai76 login