Post Partum Spondylodisctis due to Spinal Anaesthesia –A Case Report

Post Partum Spondylodisctis due to Spinal Anaesthesia –A Case Report

Dr. Barani Rathinavelu MS 1*, Dr.B.Yogesh kumar MS 2, Dr.Viveka varman MBBS 3

 

1. Dr. Barani Rathinavelu MS (ortho), DNB, MRCS (UK), FISS (Korea, USA), Consultant spine surgeon

Apollo speciality hospitals, vangaram, Chennai INDIA.

2. Dr.B.Yogesh kumar MS(ortho), FISS( Singapore , USA), Consultant spine surgeon, SRM global hospitals, Chennai, INDIA.

3. Dr.Viveka varman MBBS, Billroth hospitals , Chennai , INDIA .


*Correspondence to: Dr. Barani Rathinavelu, MS (ortho), DNB, MRCS (UK), FISS (Korea, USA), Consultant spine surgeon, Apollo speciality hospitals, vangaram, Chennai INDIA.

Copyright
© 2025 Dr. Barani Rathinavelu is an open access article distributed under the Creative Commons Attribution   License, which permits unrestricted use, distribution, and reproduction in any medium, provided the original work is properly cited.

Received: 25 May 2025

      Published: 04 June 2025

     DOI: https://doi.org/10.5281/zenodo.1558971

Abstract:

Study Design:

Case report – Two cases

Aims and objectives:

To highlight the importance of clinical suspicion of spondylodiscitis as a cause of post partum Persistent back pain

Materials and Methods:

Two patients who underwent caesarean section presented with worsening back pain 3 weeks post partum. They were diagnosed to have spondylodiscitis based on MRI and their routine septic screen including urine, blood cultures were negative. They were subjected to a spinal disc debridement and fusion when their CT guided biopsies were negative for infection.Both the individuals had pseudomonas growth which responded to antibiotics given for 6 weeks .

Discussion& Conclusion:

Iatrogenic spondylodiscitis can be a potential reason for persistent worsening post partum back pain. Repeated punctures for spinal anaesthesia may be a predisposing factor for spondylodiscitis in immunosuppressed individuals. High degree of suspicion with early investigations( MRI with contrast)  can establish the diagnosis. Invasive procedures ( debridement and fusion ) to diagnose and treat infection when the routine CT guided biopsies are negative are clinically rewarding .

Keywords:

Spinal anaesthesia; postpartum period; spondylodiscitis , pseudomonas, spinal fusion.


Post Partum Spondylodisctis due to Spinal Anaesthesia –A Case Report

Introduction

Iatrogenic spondylodiscitis refers to all clinical manifestations that follow inadvertent inoculation of microorganisms during  interventions in and around spinal column1,2. Clinical suspicion helps in choosing the ideal early investigations to avoid disease progression. Underlying physiological or pathological conditions may mask the disease in early stages. Spondylodiscitis has been described following spinal anaesthesia where there is compromise in asepsis1,3. We report two cases of iatrogenic spondylodiscitis in postpartum period following spinal anaesthesia  given for lower segment caesarean section in a secondary care hospital. These cases are reported for the rarity of this entity, to highlight the importance of  early clinical suspicion and emphasiz  e the role of  aseptic precautions in spinal injections.

 

Case 1:

23 years old lady presented with progressively worsening low back pain for 4 weeks duration. She had undergone a elective lower segment caesarean section for cephalo pelvic disproportion 4 weeks back  under spinal anaesthesia. There was  history of repeated attempts due to difficulty in  successfully achieving a spinal puncture. She was catheterized for the surgery and her immediate post operative period was uneventful. Her surgical wound healed well with 3 days of intravenous broad spectrum antibiotics. There was no history of fever, cough, diarrhea, dysuria or discharge per vaginum. She had started having low back ache one week after procedure which worsened to a severity where she was not able to sit for even 5 minutes with associated difficulty in turning in bed and nursing the child ( VAS 8/10). There was no history of fever, radiation of pain to lower limbs or associated weakness. She was suggested oral anti inflammatory drugs and  short wave diathermy with pelvic and abdominal exercises to tide over the pain.

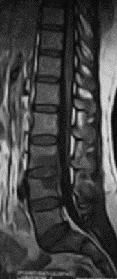
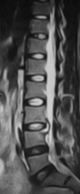
At presentation she had severe paraspinal spasm with movement restriction and no neurological deficits. Radiographs revealed a minimal reduction in L4/5 disc space . Hematological evaluation elevated showed TLC, ESR, CRP. MRI showed evidence of discitis at L4/5 with adjacent vertebral reactive changes( FIG 1,2). With a working diagnosis of post partum spondylodisctis she underwent a septic screening ( sputum, urine, blood cultures) and a CT guided biopsy which turned out to be negative. Considering her significant back pain  with limitations in suggesting antibiotics  she was suggested surgical debridement and fusion at L4/5. She underwent PLIF L4/5 under GA and had a drastic early pain relief . She was mobilized on post operative day – 1 with lumbo sacral brace. Her pain reduced significantly ( VAS 2/10) which needed minimal analgesics ( once a day paracetamol 1 gm intravenous infusion )for 5 days . She was able to turn in bed and sit to nurse the child. Her intraoperative tissues sent for culture grew pseudomonas which was sensitive to cefaperazone + sulbactum. She was initiated on intravenous antibiotics for 2 weeks duration and was followed up with further 4 weeks of oral antibiotics . Radiographs revealed fusion at L4/5 at 3 months( FIG 3,4) of follow up with serological markers normalizing by 6 weeks.

 

Fig 1: T2 MRI – L4/5 spondylodiscitis

Fig 2: T1 MRI – L4/5 spondylodiscitis

Fig 3: L4/5 PLIF- AP view

Fig 4: L4/5 PLIF- Lateral view

 

Case 2:

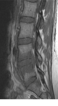
32 years old lady presented with worsening back pain for 4 weeks duration following elective caeseran section done for malpresentation. There was history of repeated attempts of puncture for spinal anaesthesia . She was cathetrised which was removed on day 2 and she has received intravenous broad spectrum antibiotics for 5 days duration. Her surgical wound healed well with no documentation of fever, abdominal pain, cough, dysuria or discharge per vaginum. At presentation her pain was predominantly in lower lumbar region ( VAS – 9/10) with severe paraspinal muscle spasm. She was not able to sit for few minutes and had difficulty in turning in bed . she couldn’t nurse her child due to pain with inability to assume comfortable postures. Root tension signs were negative with no neurological deficits. Radiographs revealed L3/4 disc space reduction with end plate changes. Hematological evaluation showed  elevated TLC, ESR,CRP ( Table 1) . Septic screening for urine , blood and chest infection was negative. MRI showed evidence of spondylodiscitis at L3/4 (FIG 5,6) . She underwent CT guided biopsy which was negative. She later underwent PLIF L3/4 and had grown pseudomonas from the necrotic disc material sent for culture & sensitivity. She was mobilized on day -1 with lumbo sacral brace. Her low back pain reduced significantly ( VAS -2/10) and she needed minimal analgesics ( single dose of intravenous paracetamol ) for one week.  She had 2 weeks of intra venous Cefaperazone + sulbactum followed by 4 weeks of oral antibiotics. Radiographs showed fusion by 3 months ( FIG 7,8) and hematological parameters normalized by 6 weeks.(Table 1)

 

TABLE 1

Parameters

 CASE – 1

CASE - 2

Pre operative

Post operative  ( 3 weeks )

Pre operative

Post operative           ( 3weeks )

Hematological parameters

1)Total count

2)ESR

3)CRP

 

12,500

52

12

 

8200

28

2

 

11,500

48

10

 

7300

22

3

Clinical assessent

VAS ( Back pain  )

 

8/10

 

2/10

 

9/10

 

2/10

 

Fig 5: T2 MRI – L3/4 spondylodiscitis

Fig 6: T1 MRI – L3/4 spondylodiscitis

Fig 7: L3/4 PLIF – AP view

Fig 8: L3/4 PLIF- Lateral view


Discussion

Low back pain in postpartum period can occur in nearly one third  of pregnant women affecting their work and in 10% of individuals it affects activities of daily living4.  Two pain patterns are described in post partum period – lumbar pain and pelvic girdle pain which have a different source and treatment protocols. Management is often a combination of simple pharmacological measures along with  physiotherapy, stabilization belts, nerve stimulation, acupuncture, relaxation ,massage and  yoga5,6,7.

Spinal infections during pregnancy and post partum period are missed  in early stages because they mimic benign lumbar pain and inflammatory markers are not elevated. Delay is further compounded by suggestion of simple treatment protocols considering the time which needs to be devoted for newborn care. Physical modalities such as IFT, short wave diathermy which are often contraindicated in infective pathologies may mask the progress when initiated.

Spondylodiscitis can develop by hematogenous seeding, direct inoculation or spread from infected nearby tissues8. Direct inoculation accounts for 25-30% of cases. Spondylodiscitis following lumbar puncture is rare and have been reported in individuals in old age, immunosuppressed individuals9.

Inoculation of silent epidural hematoma is considered as the initial event 10.

Multiple punctures and breach in aseptic protocol can lead to infection.

Most frequent cause of non- tubercular spondylodiscitis is staphylococcus aureus 11 (30-50%). Pseudomonas infection is uncommon cause of spinal infection which is reported in only 5% of cases.12,13 It is often encountered in I.V drug abusers and immunocompromised individuals14.

Pyogenic spinal infections are often treated with organism specific antibiotics for 6 weeks duration based on a CT guided biopsy. Clinical response as decrease in pain and return to normalcy varies according to the infective load and anatomical destruction. Often there is a latency of 2 to 3 weeks to get a desirable reduction in pain. Surgical treatment is considered when the tissue diagnosis is not conclusive , worsening of infection , pain, neurological deficits or worsening vertebral body destruction which can result in kyphotic deformity.

In our patients in view of inconclusive  CT guided biopsy and  need for early recovery to aid nursing of new born we planned surgical debridement and fusion which was rewarding clinically .

 

Conclusion

Iatrogenic spondylodiscitis should be a strong suspicion in individuals with altered (physiological or pathological) immunity. Early infections in post partum period can be missed and treated as Post partum mechanical back pain which is often diagnosed based on history and clinical signs .Threshold for advanced radiological investigations should be less in post partum period .Surgical fusion of affected spinal segments gives predictable early recovery when the diagnosis is inconclusive.

 

References

1. Nwadinigwe CU, Anyaehie UE. Iatrogenic pyogenic spondylodiscitis: a case report and a review of literature. Niger J Med. 2011 Jan-Mar;20(1):169-71

2. Ta?demiro?lu E, Sengöz A, Bagatur E. Iatrogenic spondylodiscitis. Case report and review of literature. Neurosurg Focus. 2004 Jun 15;16(6)

3. Pavón Benito A, Asensio Martín MJ, de la Torre Campo A, Esparza Murillo I, Goldáraz Prados C, Salvador Bravo M. Espondilodiscitis infecciosa y absceso epidural después de una punción subaracnoidea para escisión de sinus pilonidal [Infectious spondylodiskitis and epidural abscess after spinal puncture for pilonidal sinus excision]. Rev Esp Anestesiol Reanim. 2007 Jan;54(1):49-53. Spanish. PMID: 17319435.

4. Ostgaard HC, Andersson GBJ, Karlsson K. Prevalence of back pain in pregnancy. Spine 1991;16:549–52.

5. Pennick VE, Young G. Interventions for preventing and treating pelvic and back pain in pregnancy. Cochrane Database Syst Rev. 2007 Apr 18;(2):CD001139. doi: 10.1002/14651858.CD001139.pub2. Update in: Cochrane Database Syst Rev. 2013 Aug 01;(8):CD001139.

6. Gutke A, Betten C, Degerskär K, Pousette S, Olsén MF. Treatments for pregnancy-related lumbopelvic pain: a systematic review of physiotherapy modalities. Acta Obstet Gynecol Scand. 2015 Nov;94(11):1156-67.

7. Shiri R, Coggon D, Falah-Hassani K. Exercise for the prevention of low back and pelvic girdle pain in pregnancy: A meta-analysis of randomized controlled trials. Eur J Pain. 2018 Jan;22(1):19-27.

8. Bergman I., Wald E. R., Meyer J. D., and Painter M. J., Epidural abscess and vertebral osteomyelitis following serial lumbar punctures, Pediatrics. (1983)  72, no. 4,  476–480, 2-s2.0-0020589387.

9. Gürbüz MS, Berkman MZ. Spondylodiscitis occurring after diagnostic lumbar puncture: a case report. Case Rep Infect Dis. 2013;2013:843592. doi: 10.1155/2013/843592. Epub 2013 Feb 13. PMID: 23476837; PMCID: PMC3586455.

10. Kindler C., Seeberger M., Siegemund M., and Schneider M., Extradural abscess complicating lumbar extradural anaesthesia and analgesia in an obstetric patient, Acta Anaesthesiologica Scandinavica. (1996)  40, no. 7, 858–861, 2-s2.0-0029816957.

11.  Mackenzie A. R., Laing R. B. S., Smith C. C., Kaar G. F., and Smith F. W., Spinal epidural abscess: the importance of early diagnosis and treatment, Journal of Neurology Neurosurgery and Psychiatry. (1998)  65, no. 2,  209–212, 2-s2.0-0031874955.

12. Meher SK, Jain H, Tripathy LN, Basu S. Chronic Pseudomonas aeruginosa cervical osteomyelitis. J Craniovertebr Junction Spine. 2016;7(4):276–278.

13. Weinstein MA, McCabe JP, Cammisa FP Jr. Postoperative spinal wound infection: a review of 2, 391 consecutive index procedures. J Spinal Disord. 2000;13(5):422–426.

14. Bourghli A, Boissiere L, Obeid I. Thoracic Kyphotic Deformity Secondary to Old Pseudomonas aeruginosa Spondylodiscitis in an Immunocompromised Patient With Persistent Infection Foci-A Case Report. Int J Spine Surg. 2019 Oct 31;13(5):392-398.

Figure 1

Figure 2

Figure 3

Figure 4

Figure 5

Figure 6

Figure 7

Figure 8

antarmuka fokus mahjong daya pengguna aktifaws grid serasi mahjong dasar tahapan terjagaaws jejak mekanisme mahjong arah fase lanjutanaws kajian wild berantai mahjong interaktif analitisaws kesesuaian persentase layanan mahjong seluler lanceraws pendalaman persentase mahjong gerak wild mutakhircorak langka mahjong tumbuh perlahan berubahgerak mahjong adaptasi mekanisme pemakai sekarangnalar scatter mahjong malam putaran ekstratempo mahjong kaitan mekanisme keadaan terkinialur permainan mahjong cepat scatter wilddalam hitungan detik scatter wild mahjongmenyatukan naluri pola scatter hitam mahjongmomen mahjong permainan berbalik arahmomen singkat mahjong dinamika permainanperpaduan insting pola scatter hitam momentperubahan drastis mahjong ways scatter wildscatter wild mahjong datang polasekejap berubah scatter wild mahjong wayssensasi baru mahjong lebih scatter wildenergi scatter emas irama reel mahjongevolusi reel mahjong balutan mistisintervensi cepat emas momentum lamakemunculan mendadak naga emas mahjongketika scatter naga emas aktif mahjongnaga emas muncul arah spin mahjongnaga emas ritme mahjong ways berubahrahasia rtp tinggi balik scatter hitamsaat scatter naga emas alih irama reelscatter hitam kunci lonjakan rtp mahjonge5 scatter wild memberikan sentuhan baru di setiap spin mahjong ways 2e5 scatter wild menghidupkan suasana permainan mahjong ways 2e5 scatter wild mengubah pola permainan mahjong ways 2 secara signifikane5 setiap putaran mahjong ways 2 terasa berbeda dengan scatter wilde5 strategi adaptif berbasis analisis rtp hariane5 strategi berbasis data dan algoritma untuk analisis momentume5 strategi berkembang berkat data rtp hariane5 strategi memahami algoritma untuk mengidentifikasi momentum ideale5 strategi membaca pola algoritma demi menangkap momentum optimale5 strategi modern mengandalkan evaluasi rtp hariane5 strategi responsif dengan dukungan evaluasi rtp hariane5 strategi terukur dengan analisis rtp hariane5 struktur scatter dan wild terlihat jelas berkat analisis sistem moderne5 tanpa disadari kombinasi ini sering mengarah ke scatter di mahjong wins 3e5 teknik evaluasi algoritma untuk mendapatkan momentum yang tepate5 teknik observasi sistem untuk analisis momentum yang lebih presisie5 terungkap formasi ini sering jadi awal munculnya scatter di mahjong wins 3e5 transformasi digital rtp live berkat artificial intelligence inovatife5 transformasi ritme mahjong ways 2 dipicu oleh kekuatan scatter wilde5 wajib tahu pola tersembunyi ini sering menghasilkan scattere5 applee5 bananae5 candye5 doge5 eaglee5 falcone5 geminie5 horsee5 indiae5 japananalisa pola mahjong ways rutinanalisis kinerja heuristik variansi gameanalisis pola mahjong ways hariananalisis pola mahjong ways kebiasaanera baru mahjong wins bonus optimalgebrakan bonus mahjong wins mekanisme efisieninsight pola mahjong ways rutinkajian pola mahjong ways rutinkomparasi heuristik variansi game digitalledakan bonus mahjong wins sistem efektifmahjong wins bonus sistem generasi baruobservasi pola mahjong ways harianpendekatan algoritma heuristik variansi gameperbandingan model heuristik variansi gamerahasia bonus mahjong wins sistem cerdasrangkuman pola mahjong ways harianringkasan pola mahjong ways harianstudi pola mahjong ways hariantinjauan heuristik variansi game digitaltinjauan pola mahjong ways harianalur sombol mahjong kemunculan scatterdari rtp mahjong bermain lebih efektifjejak scatter mahjong putaran tenangkejutan scatter wild simbol mahjong arahkemunculan simbol ganda membuat mahjongketika grid mahjong scatter semakin dekatketika rtp mahjong pola mulai lebih jelasketika scatter wild ritme simbol mahjongketika scatter wild titik sesi mahjong waysketika susunan simbol mahjong ritme scattermemahami rtp mahjong cara bermain lebihpergerakan simbol mahjong scatter wildpergeseran mahjong ketika scatter hadirsaat rtp mahjong terbaca baik strategisaat scatter hadir simbol mahjong bergeserscatter wild dinamika simbol mahjongstabilitas putaran mahjong pola scattersusunan baru reel mahjong scatter emassusunan mahjong wins mengandung scattersusunan simbol mahjong diam pola scatterrm menguak keunikan mahjong wins sudut pandang teknisrm cara memahami pergerakan mahjong ways tenaga ekstrarm mahjong wins standar baru industri hiburan digitalrm rahasia ketahanan mahjong ways eksis gempuran gamerm pentingnya memahami transisi level mahjong wins mendalamrm strategi mengatur tempo mahjong ways kendali permainanrm peran kecerdasan buatan mekanisme mahjong wins adilrm alasan keberhasilan mahjong ways mencuri perhatian analisrm mempelajari struktur dasar mahjong wins efisiensi putaranrm inovasi desain mahjong ways kesan bermain responsifrm teknik observasi mahjong wins jarang dibahas dampakrm cara mempertahankan fokus dinamika mahjong ways cepatrm eksplorasi fitur tersembunyi mahjong wins ritme terbaikrm mahjong ways integrasi teknologi modern keamanan nyamanrm analisis faktor pendukung mahjong wins digemari generasirm langkah efektif menyesuaikan perubahan sistem mahjong waysrm mengintip proses pengembangan mahjong wins kualitas penggunarm analisis data membantu membaca arah mahjong waysrm menemukan titik temu insting logika mahjong winsrm transformasi besar mahjong ways menghadirkan tantangan menarikmengungkap simbol langka nasib drastismisteri besar kombinasi simbol langkamisteri simbol langka keberuntungan besarsimbol langka misterius ubah hiduprahasia simbol langka nasib cepattransformasi bonus mahjong wins sistem efektifmahjong wins suguhkan bonus sistem modernsuguhan bonus efisien mahjong winsefektivitas sistem bonus mahjong winsmahjong wins hadirkan bonus sistem optimaloke76cincinbetaqua365slot gacorstc76samurai76TOBA1131samurai76 login