Rapid Radiographic Healing in a Failed Tooth #36 with Large Periapical and Furcation Lesion Following Retreatment Using nRoot Bioceramic Sealer: A 7-Month Case Report.

Rapid Radiographic Healing in a Failed Tooth #36 with Large Periapical and Furcation Lesion Following Retreatment Using nRoot Bioceramic Sealer: A 7-Month Case Report.

Dr. Ahmed Abo Elkhier *


*Correspondence to: Dr. Ahmed Abo Elkhier, Specialist in Endodontics, Ahmed Abo Elkhier Dental Clinic, Mansoura, Egypt

              
Copyright.

© 2025 Dr. Ahmed Abo Elkhier This is an open access article distributed under the Creative Commons Attribution License, which permits unrestricted use, distribution, and reproduction in any medium, provided the original work is properly cited.

Received: 17 July 2025

Published: 25 July 2025

DOI: https://doi.org/10.5281/zenodo.17053066


ABSTRACT

Background: Large periapical and bifurcation lesions in failed endodontic cases pose significant challenges for regenerative healing.

Case Presentation: A 44?year?old medically free female presented with intermittent pain, exudate, and odour from the lower left (#36). Clinical and radiographic evaluation revealed a previously treated tooth with chronic periapical abscess, large periapical radiolucency, and complete loss of bifurcation bone. Retreatment was performed using rotary instrumentation to 25/.06, calcium hydroxide medication, sonic-assisted irrigants, and obturation with nRoot bioceramic sealer via single-cone technique. Restoration with fiber-reinforced composite followed. At 7-month follow?up, rapid bone regeneration was observed, including bifurcation area; radiopaque sealer residues evident.

Conclusion: nRoot (ENP Biotechnology) shows promising bioactivity and radiopacity, fostering rapid healing in complex lesions. Further studies are warranted.


Rapid Radiographic Healing in a Failed Tooth #36 with Large Periapical and Furcation Lesion Following Retreatment Using nRoot Bioceramic Sealer: A 7-Month Case Report.

Introduction

Failed root canal treatments with extensive periapical and furcation lesions are difficult to manage and often require surgical intervention or extraction. Bioceramic sealers, especially those based on hydraulic calcium silicates, release calcium ions, increase alkalinity (pH?>?12), and promote mineralization and antimicrobial environments. nRoot (ENP Biotechnology, China) is a resin-free, premixed bioactive sealer containing tricalcium silicate, dicalcium silicate, and zirconium oxide radiopacifier, with a setting time of ~4?h and high radiopacity.

 

Case Presentation

Patient: 44-year-old female, medically free, presented with intermittent pain, exudate, and malodor in Tooth  (#36), seeking to save the tooth.

 

Clinical Examination:

- Percussion : +

- palpation : ++

- Mobility: Grade I

- Probing depths: 5 mm at buccal furcation, 1–2 mm all aspects

 

Radiographic Findings:

Large periapical radiolucency with Noticed  bone loss in the furcation area .

 

Diagnosis:

Previous Endodontically  treated Tooth #36 with chronic periapical abscess & Bifurcation Area Involvement ( Endo-Perio Lesion , Endo First )

 

Treatment Procedure:

- Retreatment under rubber dam isolation

- Instrumentation to 25/.06 with Videya TC?Blue rotary Files

- Intracanal medication: Calcium hydroxide for 10 days

- Irrigation protocol: 5.25% NaOCl, 17% EDTA, 2% CHX with sonic activation

- Obturation: Single-cone hydraulic condensation with nRoot bioceramic sealer

- Restoration: Fiber-reinforced composite coronal seal

 

Follow-Up:

At 7 months, radiographs showed substantial periapical and furcation bone regeneration. Radiopaque remnants (“sealer puff”) were visible but asymptomatic. Clinically, no pain or mobility; probing depths reduced.

 

Figure 1. Pre-operative radiograph of tooth #36 showing extensive periapical radiolucency and complete loss of bone in the furcation area.

Figure 2. Immediate post-operative radiograph of tooth #36 following retreatment.

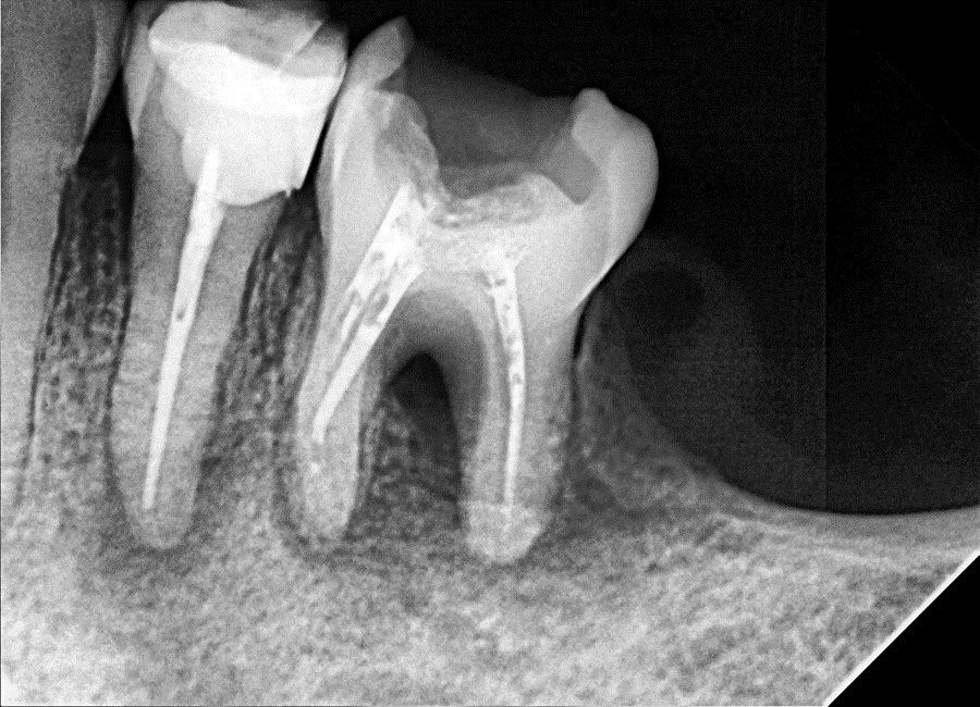
Figure 3. 7-month follow-up radiograph showing significant bone regeneration and radiopaque sealer remnants.

Figure 4. Clinical photographs before and after treatment (rubber dam isolation and final composite restoration)

 

Discussion

The rapid healing observed aligns with previous reports on hydraulic calcium silicate sealers encouraging mineralized tissue formation via high pH and calcium ion release. The visible sealer residue is common in single-cone techniques with bioceramics and does not indicate pathology. Compared to other sealers, nRoot offers high radiopacity, ease of use, resin-free formulation, and good biocompatibility. Limitations include being a single case report, lack of histologic confirmation, and moderate follow-up duration. Further controlled trials comparing healing rates would be valuable.

 

Conclusion

This case highlights the potential of nRoot bioceramic sealer in promoting significant bone healing in large periapical and furcation lesions within 7 months. Its bioactive properties and high radiopacity offer advantages in complex endodontic retreatments.

 

References

1. Viapiana R, et al. A critical review of the material properties guiding the clinician’s choice of root canal sealers. Int Endod J. 2024.

2. Candeiro GTM, Correia FC, Duarte MAH, et al. Evaluation of the physical properties of a new calcium silicate-based sealer. Braz Dent J. 2020;31(2):140-146.

3. Zhang W, Li Z, Peng B. Assessment of a new root canal sealer’s apical sealing ability. Oral Surg Oral Med Oral Pathol Oral Radiol Endod. 2009;107(6):e79-e82.

4. Camilleri J. Sealers and warm gutta-percha obturation techniques. J Endod. 2015;41(1):72-78.

5. Zhou HM, Shen Y, Zheng W, et al. Physical properties of 5 root canal sealers. J Endod. 2013;39(10):1281-1286.

Figure 1

Figure 2

Figure 3

Figure 4

antarmuka fokus mahjong daya pengguna aktifaws grid serasi mahjong dasar tahapan terjagaaws jejak mekanisme mahjong arah fase lanjutanaws kajian wild berantai mahjong interaktif analitisaws kesesuaian persentase layanan mahjong seluler lanceraws pendalaman persentase mahjong gerak wild mutakhircorak langka mahjong tumbuh perlahan berubahgerak mahjong adaptasi mekanisme pemakai sekarangnalar scatter mahjong malam putaran ekstratempo mahjong kaitan mekanisme keadaan terkinialur permainan mahjong cepat scatter wilddalam hitungan detik scatter wild mahjongmenyatukan naluri pola scatter hitam mahjongmomen mahjong permainan berbalik arahmomen singkat mahjong dinamika permainanperpaduan insting pola scatter hitam momentperubahan drastis mahjong ways scatter wildscatter wild mahjong datang polasekejap berubah scatter wild mahjong wayssensasi baru mahjong lebih scatter wildenergi scatter emas irama reel mahjongevolusi reel mahjong balutan mistisintervensi cepat emas momentum lamakemunculan mendadak naga emas mahjongketika scatter naga emas aktif mahjongnaga emas muncul arah spin mahjongnaga emas ritme mahjong ways berubahrahasia rtp tinggi balik scatter hitamsaat scatter naga emas alih irama reelscatter hitam kunci lonjakan rtp mahjonge5 scatter wild memberikan sentuhan baru di setiap spin mahjong ways 2e5 scatter wild menghidupkan suasana permainan mahjong ways 2e5 scatter wild mengubah pola permainan mahjong ways 2 secara signifikane5 setiap putaran mahjong ways 2 terasa berbeda dengan scatter wilde5 strategi adaptif berbasis analisis rtp hariane5 strategi berbasis data dan algoritma untuk analisis momentume5 strategi berkembang berkat data rtp hariane5 strategi memahami algoritma untuk mengidentifikasi momentum ideale5 strategi membaca pola algoritma demi menangkap momentum optimale5 strategi modern mengandalkan evaluasi rtp hariane5 strategi responsif dengan dukungan evaluasi rtp hariane5 strategi terukur dengan analisis rtp hariane5 struktur scatter dan wild terlihat jelas berkat analisis sistem moderne5 tanpa disadari kombinasi ini sering mengarah ke scatter di mahjong wins 3e5 teknik evaluasi algoritma untuk mendapatkan momentum yang tepate5 teknik observasi sistem untuk analisis momentum yang lebih presisie5 terungkap formasi ini sering jadi awal munculnya scatter di mahjong wins 3e5 transformasi digital rtp live berkat artificial intelligence inovatife5 transformasi ritme mahjong ways 2 dipicu oleh kekuatan scatter wilde5 wajib tahu pola tersembunyi ini sering menghasilkan scattere5 applee5 bananae5 candye5 doge5 eaglee5 falcone5 geminie5 horsee5 indiae5 japananalisa pola mahjong ways rutinanalisis kinerja heuristik variansi gameanalisis pola mahjong ways hariananalisis pola mahjong ways kebiasaanera baru mahjong wins bonus optimalgebrakan bonus mahjong wins mekanisme efisieninsight pola mahjong ways rutinkajian pola mahjong ways rutinkomparasi heuristik variansi game digitalledakan bonus mahjong wins sistem efektifmahjong wins bonus sistem generasi baruobservasi pola mahjong ways harianpendekatan algoritma heuristik variansi gameperbandingan model heuristik variansi gamerahasia bonus mahjong wins sistem cerdasrangkuman pola mahjong ways harianringkasan pola mahjong ways harianstudi pola mahjong ways hariantinjauan heuristik variansi game digitaltinjauan pola mahjong ways harianalur sombol mahjong kemunculan scatterdari rtp mahjong bermain lebih efektifjejak scatter mahjong putaran tenangkejutan scatter wild simbol mahjong arahkemunculan simbol ganda membuat mahjongketika grid mahjong scatter semakin dekatketika rtp mahjong pola mulai lebih jelasketika scatter wild ritme simbol mahjongketika scatter wild titik sesi mahjong waysketika susunan simbol mahjong ritme scattermemahami rtp mahjong cara bermain lebihpergerakan simbol mahjong scatter wildpergeseran mahjong ketika scatter hadirsaat rtp mahjong terbaca baik strategisaat scatter hadir simbol mahjong bergeserscatter wild dinamika simbol mahjongstabilitas putaran mahjong pola scattersusunan baru reel mahjong scatter emassusunan mahjong wins mengandung scattersusunan simbol mahjong diam pola scatterrm menguak keunikan mahjong wins sudut pandang teknisrm cara memahami pergerakan mahjong ways tenaga ekstrarm mahjong wins standar baru industri hiburan digitalrm rahasia ketahanan mahjong ways eksis gempuran gamerm pentingnya memahami transisi level mahjong wins mendalamrm strategi mengatur tempo mahjong ways kendali permainanrm peran kecerdasan buatan mekanisme mahjong wins adilrm alasan keberhasilan mahjong ways mencuri perhatian analisrm mempelajari struktur dasar mahjong wins efisiensi putaranrm inovasi desain mahjong ways kesan bermain responsifrm teknik observasi mahjong wins jarang dibahas dampakrm cara mempertahankan fokus dinamika mahjong ways cepatrm eksplorasi fitur tersembunyi mahjong wins ritme terbaikrm mahjong ways integrasi teknologi modern keamanan nyamanrm analisis faktor pendukung mahjong wins digemari generasirm langkah efektif menyesuaikan perubahan sistem mahjong waysrm mengintip proses pengembangan mahjong wins kualitas penggunarm analisis data membantu membaca arah mahjong waysrm menemukan titik temu insting logika mahjong winsrm transformasi besar mahjong ways menghadirkan tantangan menarikmengungkap simbol langka nasib drastismisteri besar kombinasi simbol langkamisteri simbol langka keberuntungan besarsimbol langka misterius ubah hiduprahasia simbol langka nasib cepattransformasi bonus mahjong wins sistem efektifmahjong wins suguhkan bonus sistem modernsuguhan bonus efisien mahjong winsefektivitas sistem bonus mahjong winsmahjong wins hadirkan bonus sistem optimaloke76cincinbetaqua365slot gacorstc76samurai76TOBA1131samurai76 login