Coexistence of Mediastinal Sarcoidosis and Pulmonary Metastasis from Endometrial Cancer: The Contribution of Endobronchial Ultrasound (EBUS).

Coexistence of Mediastinal Sarcoidosis and Pulmonary Metastasis from Endometrial Cancer: The Contribution of Endobronchial Ultrasound (EBUS).

Dr Hind Janah*1, Dr Ilham  Khalfaoui2, Dr Khadija Redouane3, Pr Hicham El attar4

 

1. Dr Hind janah, interventional pulmonplogist, littoral clinic, Casablnca, Morocco

2. Dr Ilham  Khalfaoui, Oncologist , Casablanca, Morocco

3. Dr Khadija Redouane, radiologist, Casablanca, Morocco

4. Pr Hicham El attar, Pathologist, Annasr pathology center , el jadida , Morocco.


Correspondence to: Dr Hind Janah, interventional pulmonplogist, littoral clinic, Casablnca, Morocco.


Copyright

© 2024 Dr Hind Janah. This is an open access article distributed under the Creative Commons Attribution License, which permits unrestricted use, distribution, and reproduction in any medium, provided the original work is properly cited.

Received: 16 June 2025

Published: 04 Aug 2025

Abstract

Background: The co-occurrence of cancer and sarcoidosis, although reported in the literature, poses a diagnostic challenge, especially in patients with a history of prior oncologic therapies. Differentiating between tumor progression, sarcoid-like reactions (SLR), and true sarcoidosis is critical for appropriate clinical management.

Case Presentation: We present the case of a patient undergoing surveillance for metastatic endometrial cancer who was found to have suspicious mediastinal lymphadenopathy. Her prior exposure to radiotherapy and chemotherapy complicated the diagnostic evaluation.

Endobronchial ultrasound-guided transbronchial needle aspiration (EBUS-TBNA) revealed non- caseating granulomatous lymphadenitis, ultimately establishing a diagnosis of mediastinal sarcoidosis and excluding metastatic involvement.

Discussion: This case underscores the importance of histopathological assessment of mediastinal lymphadenopathy in cancer patients. Sarcoidosis or SLR should be included in the differential diagnosis, as they can simulate tumor progression. EBUS-TBNA is a valuable technique for obtaining an accurate diagnosis and preventing inappropriate therapeutic interventions.

Conclusion: EBUS-TBNA is a critical diagnostic modality for distinguishing between mediastinal sarcoidosis and metastatic disease in cancer patients. A multidisciplinary approach is paramount for optimizing the care of these complex cases.

Keywords: Endometrial Cancer, Sarcoidosis, Mediastinal Lymphadenopathy, EBUS-TBNA, Sarcoid-like Reaction, Differential Diagnosis, Oncology


Coexistence of Mediastinal Sarcoidosis and Pulmonary Metastasis from Endometrial Cancer: The Contribution of Endobronchial Ultrasound (EBUS).

Clinical Observation

A 46-year-old woman, with no significant past medical history, had been treated in 2017 for an endometrioid adenocarcinoma of the endometrium (pT2) with exclusive pelvic radiotherapy (50 Gy in 25 fractions) and placed under surveillance. The patient was lost to follow-up until May 2023, when a thoraco-abdomino-pelvic CT scan showed a cavitary mass of 49×19 mm in the upper right lobe of the lung. The CT-guided transthoracic biopsy revealed a poorly differentiated carcinoma suggestive of peritoneal metastasis (immunohistochemistry was positive for estrogen and progesterone receptors, and negative for TTF-1 and p40). The patient received three cycles of paclitaxel-carboplatin chemotherapy. In December 2023, a control CT scan showed an increase in the pulmonary mass (52×47 mm) and the appearance of a right paratracheal lymph node. The medical team opted for palliative chemotherapy: paclitaxel 175mg/m2 day 1 + carboplatin AUC 5 day 1, 03 cycles every 21 days.

 

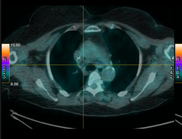
The PET-CT scan performed in April 2024 revealed a cavitary mass in the upper right lobe with intense hyperfixation (SUVmax 11) with several mediastinal and hilar lymphadenopathies; the most hypermetabolic lymph node was located in the Barety space (SUVmax 7.6).

 

The patient was referred to our center in Morocco, and an EBUS-TBNA revealed non-caseating granulomatous lymphadenitis, compatible with sarcoidosis. Labial and cavum biopsies confirmed granulomatous inflammation without caseous necrosis. The infectious workup was negative.

 

A second pulmonary biopsy confirmed the metastatic nature of the pulmonary mass of an endometrioid adenocarcinoma, with expression of estrogen and progesterone receptors (ER+, PR+). The case was discussed in a multidisciplinary tumor board, and the therapeutic decision was a second line of chemotherapy (Dostarlimab) associated with hormone therapy given the positivity of the hormone receptors.

 

After confirmation of the diagnosis by EBUS-TBNA and transthoracic needle biopsy, the patient returned to her country for further management.

 

A post-chemotherapy PET scan showed the disappearance of the pulmonary lesion and the persistence of lymphadenopathies that were of sarcoidosis origin.

 

Fig 1

Fig 2

Fig 3

 
Discussion

This case report highlights the diagnostic challenge of the coexistence of a metastatic endometrial carcinoma and a mediastinal sarcoidosis, especially in a patient who had received pelvic radiotherapy and chemotherapy [1, 2]. Although the relationship of granulomatous disease and malignancy was initially reported in 1974, it continues to be a clinical puzzle to separate tumor occurrence, sarcoid-like reaction (STR), and true sarcoidosis. It is critical to differentiate between true sarcoidosis and a sarcoid-like reaction (STR) since the latter, an inflammatory granulomatous reaction seen in response to a tumor antigen, may not necessarily have to be treated systemically. The pathogenesis of STR is not simple and would be a local immune response to the tumor antigens.

 

Literature highlights that sarcoidosis can mimic tumor growth and, for this reason, is especially challenging to diagnose in oncologic follow-up patients [3, 4]. Literature has described similar cases of sarcoidosis arising in the setting of anticancer therapies, where it is revealed that mediastinal adenopathies are secondary to a granulomatous reaction and not metastasis. It must be mentioned that some studies do not differentiate between systemic sarcoidosis and STR, and this could potentially make data interpretation complex. For example, Brincker has reported on sarcoidal reactions in the context of many different malignancies [10]. In this case, the EBUS- TBNA diagnosed a granulomatous non-caseating lymphadenitis [5].

 

This case highlights the necessity of a meticulous histologic examination of mediastinal adenopathies in patients with cancer [11]. The differential diagnosis of mediastinal adenopathies also includes infections (tuberculosis, fungal) and other lymphoproliferations, highlighting once again the essential role of EBUS-TBNA. Other diagnoses, such as sarcoidosis or an STR, must be entertained to prevent inappropriate therapy [6]. Our study results add additional evidence to the concept that EBUS-TBNA is an effective and efficient method of diagnostic sampling in this challenging milieu [7].

 

It is only fitting to state the limitations present in the uniqueness of this case. The patient was observed after a duration of absence, and the observations on biopsies may not be extrapolated to the overall oncologic population. Moreover, the biopsy results need to be interpreted in the setting of the patient's unique clinical situation, such as her background of radiotherapy and chemotherapy. Radiotherapy, for example, may induce inflammatory changes in tissues. Follow- up over the long term is required to determine the effect of treatment and the evolution of the sarcoidosis (or STR).

 

Reflections on care

The decision to treat sarcoidosis (or STR) will depend on the level of symptoms, the extent of organ involvement, and the effect on the quality of life of the patient. Treatment may be with corticosteroids or other immunosuppressants, but this should be carefully weighed considering the potential side effects and medication interaction with the cancer therapy. The management requires a multidisciplinary strategy including oncologists, pulmonologists, and pathologists for the best management [14]. Sarcoidosis is treated in an oncological setting based on decision algorithms proposed, with all the complexity of these decisions [15].

 

Conclusion

In conclusion, this case illustrates the importance of a histological confirmation in the context of mediastinal adenopathies in oncologic patients. EBUS-TBNA played an essential role in achieving a proper diagnosis, thus enabling the proper guidance of treatment. A multidisciplinary approach to the management of oncologic treatment complications is also illustrated by this case.


References  

Iannuzzi, M. C., & Rybicki, B. A. (2007). Sarcoidosis. The New England Journal of Medicine, 357(21), 2156-2169. Baughman, R. P., et al. (2011). Sarcoidosis: a review of the clinical features, diagnosis, and management. The Journal of the American Medical Association, 305(4), 394-404. Janssen, S., et al. (2013). The role of EBUS-TBNA in the diagnosis of mediastinal lymphadenopathy. Chest, 143(4), 1008-1015. Murray, S., et al. (2020). The relationship between sarcoidosis and malignancy. Clinical Lung Cancer, 21(2), e168-e175. Pereira, S. F., et al. (2017). Granulomatous diseases and cancer: a review. European Journal of Internal Medicine, 39, 16-22. Schaaf, H. S., & van Zyl-Smit, R. N. (2016). Sarcoidosis and cancer: a review. Respiratory Medicine, 116, 1-6. Rybicki, B. A., et al. (1997). Familial aggregation of sarcoidosis. American Journal of Respiratory and Critical Care Medicine, 156(5), 1659-1664. Brincker, H. (1986). Sarcoid reactions in malignant disease. Cancer Treatment Reviews, 13(3), 147-156. Yasufuku, K., et al. (2008). Endobronchial ultrasound-guided transbronchial needle aspiration for mediastinal lymphadenopathy. Chest, 133(3), 585-593. Martone, F., et al. (2018). Sarcoidosis in cancer patients: diagnostic and therapeutic challenges. Journal of Thoracic Disease, 10(Suppl 14), S1728-S1736.

Figure 1

Figure 2

Figure 3

antarmuka fokus mahjong daya pengguna aktifaws grid serasi mahjong dasar tahapan terjagaaws jejak mekanisme mahjong arah fase lanjutanaws kajian wild berantai mahjong interaktif analitisaws kesesuaian persentase layanan mahjong seluler lanceraws pendalaman persentase mahjong gerak wild mutakhircorak langka mahjong tumbuh perlahan berubahgerak mahjong adaptasi mekanisme pemakai sekarangnalar scatter mahjong malam putaran ekstratempo mahjong kaitan mekanisme keadaan terkinialur permainan mahjong cepat scatter wilddalam hitungan detik scatter wild mahjongmenyatukan naluri pola scatter hitam mahjongmomen mahjong permainan berbalik arahmomen singkat mahjong dinamika permainanperpaduan insting pola scatter hitam momentperubahan drastis mahjong ways scatter wildscatter wild mahjong datang polasekejap berubah scatter wild mahjong wayssensasi baru mahjong lebih scatter wildenergi scatter emas irama reel mahjongevolusi reel mahjong balutan mistisintervensi cepat emas momentum lamakemunculan mendadak naga emas mahjongketika scatter naga emas aktif mahjongnaga emas muncul arah spin mahjongnaga emas ritme mahjong ways berubahrahasia rtp tinggi balik scatter hitamsaat scatter naga emas alih irama reelscatter hitam kunci lonjakan rtp mahjonge5 scatter wild memberikan sentuhan baru di setiap spin mahjong ways 2e5 scatter wild menghidupkan suasana permainan mahjong ways 2e5 scatter wild mengubah pola permainan mahjong ways 2 secara signifikane5 setiap putaran mahjong ways 2 terasa berbeda dengan scatter wilde5 strategi adaptif berbasis analisis rtp hariane5 strategi berbasis data dan algoritma untuk analisis momentume5 strategi berkembang berkat data rtp hariane5 strategi memahami algoritma untuk mengidentifikasi momentum ideale5 strategi membaca pola algoritma demi menangkap momentum optimale5 strategi modern mengandalkan evaluasi rtp hariane5 strategi responsif dengan dukungan evaluasi rtp hariane5 strategi terukur dengan analisis rtp hariane5 struktur scatter dan wild terlihat jelas berkat analisis sistem moderne5 tanpa disadari kombinasi ini sering mengarah ke scatter di mahjong wins 3e5 teknik evaluasi algoritma untuk mendapatkan momentum yang tepate5 teknik observasi sistem untuk analisis momentum yang lebih presisie5 terungkap formasi ini sering jadi awal munculnya scatter di mahjong wins 3e5 transformasi digital rtp live berkat artificial intelligence inovatife5 transformasi ritme mahjong ways 2 dipicu oleh kekuatan scatter wilde5 wajib tahu pola tersembunyi ini sering menghasilkan scattere5 applee5 bananae5 candye5 doge5 eaglee5 falcone5 geminie5 horsee5 indiae5 japananalisa pola mahjong ways rutinanalisis kinerja heuristik variansi gameanalisis pola mahjong ways hariananalisis pola mahjong ways kebiasaanera baru mahjong wins bonus optimalgebrakan bonus mahjong wins mekanisme efisieninsight pola mahjong ways rutinkajian pola mahjong ways rutinkomparasi heuristik variansi game digitalledakan bonus mahjong wins sistem efektifmahjong wins bonus sistem generasi baruobservasi pola mahjong ways harianpendekatan algoritma heuristik variansi gameperbandingan model heuristik variansi gamerahasia bonus mahjong wins sistem cerdasrangkuman pola mahjong ways harianringkasan pola mahjong ways harianstudi pola mahjong ways hariantinjauan heuristik variansi game digitaltinjauan pola mahjong ways harianalur sombol mahjong kemunculan scatterdari rtp mahjong bermain lebih efektifjejak scatter mahjong putaran tenangkejutan scatter wild simbol mahjong arahkemunculan simbol ganda membuat mahjongketika grid mahjong scatter semakin dekatketika rtp mahjong pola mulai lebih jelasketika scatter wild ritme simbol mahjongketika scatter wild titik sesi mahjong waysketika susunan simbol mahjong ritme scattermemahami rtp mahjong cara bermain lebihpergerakan simbol mahjong scatter wildpergeseran mahjong ketika scatter hadirsaat rtp mahjong terbaca baik strategisaat scatter hadir simbol mahjong bergeserscatter wild dinamika simbol mahjongstabilitas putaran mahjong pola scattersusunan baru reel mahjong scatter emassusunan mahjong wins mengandung scattersusunan simbol mahjong diam pola scatterrm menguak keunikan mahjong wins sudut pandang teknisrm cara memahami pergerakan mahjong ways tenaga ekstrarm mahjong wins standar baru industri hiburan digitalrm rahasia ketahanan mahjong ways eksis gempuran gamerm pentingnya memahami transisi level mahjong wins mendalamrm strategi mengatur tempo mahjong ways kendali permainanrm peran kecerdasan buatan mekanisme mahjong wins adilrm alasan keberhasilan mahjong ways mencuri perhatian analisrm mempelajari struktur dasar mahjong wins efisiensi putaranrm inovasi desain mahjong ways kesan bermain responsifrm teknik observasi mahjong wins jarang dibahas dampakrm cara mempertahankan fokus dinamika mahjong ways cepatrm eksplorasi fitur tersembunyi mahjong wins ritme terbaikrm mahjong ways integrasi teknologi modern keamanan nyamanrm analisis faktor pendukung mahjong wins digemari generasirm langkah efektif menyesuaikan perubahan sistem mahjong waysrm mengintip proses pengembangan mahjong wins kualitas penggunarm analisis data membantu membaca arah mahjong waysrm menemukan titik temu insting logika mahjong winsrm transformasi besar mahjong ways menghadirkan tantangan menarikmengungkap simbol langka nasib drastismisteri besar kombinasi simbol langkamisteri simbol langka keberuntungan besarsimbol langka misterius ubah hiduprahasia simbol langka nasib cepattransformasi bonus mahjong wins sistem efektifmahjong wins suguhkan bonus sistem modernsuguhan bonus efisien mahjong winsefektivitas sistem bonus mahjong winsmahjong wins hadirkan bonus sistem optimaloke76cincinbetaqua365slot gacorstc76samurai76TOBA1131samurai76 login