A Rare Case of Poorly Differentiated Thyroid Carcinoma Arising in Lingual Thyroid and Presenting as a Huge Neck Mass

A Rare Case of Poorly Differentiated Thyroid Carcinoma Arising in Lingual Thyroid and Presenting as a Huge Neck Mass

Dr. Janemary Jeesemon *1, Dr.Jyothi Karikkanthra2, Dr. Ferdinant Jabamalai3, Dr. Ramzi Shamsuddeen4, Dr Arya P M5

1. Dr. Janemary Jeesemon, Department of Pathology, Apollo Adlux Hospital.

2. Dr. Jyothi Karikkanthra, Department of Pathology, Apollo Adlux Hospital.

3. Dr. Ferdinant Jabamalai, Department of Endocrine Surgery, Apollo Adlux Hospital.

4. Dr. Ramzi Shamsuddeen, Department of Radiology, Apollo Adlux Hospital.

5. Dr. Arya P M, Department of Pathology, Apollo Adlux Hospital.


*Correspondence to: Dr. Janemary Jeesemon, Department of Pathology, Apollo Adlux Hospital, Kerala, India.

Copyright

© 2025 Dr. Janemary Jeesemon. This is an open access article distributed under the Creative Commons Attribution License, which permits unrestricted use, distribution, and reproduction in any medium, provided the original work is properly cited.

Received: 02 Aug 2025

Published: 18 Aug 2025

Abstract

Lingual thyroid refers to ectopic thyroid tissue located at the base of the tongue. It results from an abnormal descent of the thyroid gland during embryological development. Ectopic thyroid is usually asymptomatic. Here we report a rare case of poorly differentiated thyroid carcinoma arising in lingual thyroid of a 64 years female presenting as a long standing left side neck mass.

Key words: Lingual thyroid, neck mass, Poorly differentiated carcinoma.


A Rare Case of Poorly Differentiated Thyroid Carcinoma Arising in Lingual Thyroid and Presenting as a Huge Neck Mass

Introduction

Ectopic thyroid tissue is usually asymptomatic. We report a case of lingual thyroid presenting as a large neck mass, with histopathological evaluation revealing a poorly differentiated thyroid carcinoma. Carcinoma in lingual thyroid is extremely rare and even more rare is a poorly differentiated thyroid carcinoma in lingual thyroid.

 

Case History

A 64 years old lady presented to the OPD with complaints of a large neck mass in the sub-mandibular region of 20 years duration with a recent rapid increase in size (Figure 1A). Per oral examination showed  lingual thyroid enlargement.

 

Figure 1

MRI revealed a large mixed-intensity lesion (Figure 1B) involving the base of the tongue and floor of the mouth, measuring approximately 9.2 cm anteroposteriorly (AP) × 10.7 cm transversely (TR) × 11.1 cm craniocaudally (CC).The lesion is seen extending exophytically into the neck region with a predilection towards left side. Visualised lung fields show multiple T2 hyperintense nodules on both sides likely metastasis. Thyroid is not visualized in the thyroid fossa-likely absent.

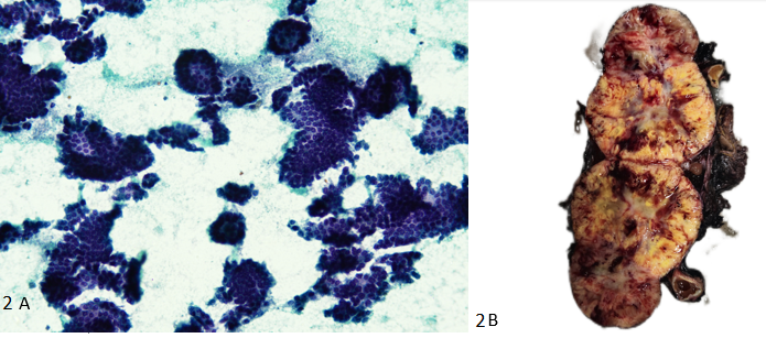
Fine-needle aspiration cytology (FNAC) revealed papillaroid clusters with nuclear features such as crowding, overlapping, nuclear grooves, and intranuclear inclusions (Figure 2A). Based on these findings, the FNAC was reported as thyroid carcinoma with papillary-like nuclear features.

The patient underwent surgical exploration, during which a large mass arising from the base of the tongue and attached to the hyoid bone was identified and successfully dissected out.

 

Figure 2

Cut section of lesion is fairly circumscribed variegated lesion with grey, white and yellow areas (Figure 2B). Lesion is predominantly solid with small cystic areas. No infiltration into attached   skin grossly.

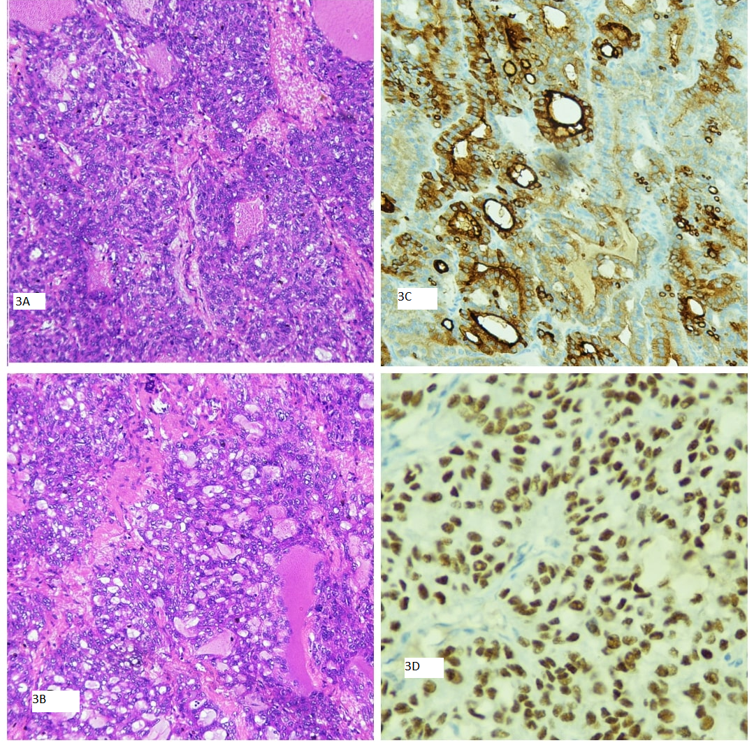
Histopathological examination revealed thyroid tissue with  a neoplasm arranged in sheets and an insular pattern (Figure 3A). The tumor cells exhibited convoluted nuclear membranes and areas of necrosis. Additionally, focal areas showed a follicular arrangement with papillary-like nuclear features (Figure 3B). Based on these findings, a diagnosis of poorly differentiated thyroid carcinoma was made. Neoplastic cells are immunoreactive for  Thyroglobulin(Figure 3C) and TTF1(Figure 3D) . Thyroglobulin expression is reduced  in poorly differentiated areas.

 

Figure 3

Postoperatively patient had difficulty in swallowing and speech. Hence she was started on Ryles tube feeding.Currently  Ryles tube withdrawn and patient is on swallow and speech therapy. Further plan is to withhold Thyroxine for six weeks and to start Radioactive Iodine ablation.

 

Discussion

Occurrence of ectopic thyroid tissue is rare and it is due to the failure of its embryological descent from floor of the primitive foregut to the pretracheal position.[1] The cause for the condition is still not known completely.[2] The most common site of ectopic thyroid is at the base of the tongue.[2] Most cases of ectopic thyroid including Lingual thyroid is asymptomatic. Symptoms if present depend on the size and location.[3]

In majority of patients with lingual thyroid, it is the only thyroid tissue present and hence the only source of thyroid hormone production. Hypothyroidism and very rarely  hyperthyroidism is reported in patients with lingual thyroid.[4]

Malignancy in lingual thyroid is extremely rare. Approximately 1% of patients with lingual thyroid develop carcinoma. The female to male ratio of carcinoma in lingual thyroid is approximately 3:1and the prevalence is more in the third decade of life.[5,6,7]

The first case of carcinoma in lingual thyroid was described by Hickman W. in 1869.[8]

The predominant carcinoma arising in lingual thyroid as per latest literature is papillary  carcinoma. However earlier studies reported a higher incidence of follicular carcinoma over papillary. The possible explanation for this is a histological misclassification in the early reports due to the lack of standardization in the classification of differentiated Thyroid carcinoma.[9]Only reported is a single case of medullary thyroid carcinoma[10]and no case of anaplastic thyroid carcinoma.

The natural history of the disease is not completely known due to the extreme low prevalence of lingual thyroid carcinoma. Out of the reported cases, predominant cases are confined to the tongue. Cases with loco-regional metastasis account for 20% cases and distant metastasis account for 14% of the total cases.[5]In our case, the patient had bilateral lung metastasis.

 

Conclusion

Carcinoma in a lingual thyroid is extremely rare and to the best of our knowledge there has been no case report of a poorly differentiated thyroid carcinoma in lingual thyroid.

 

Declaration of patient consent

The authors certify that they have obtained all appropriate patient consent forms. In the form, the patient has given her consent for her images and other clinical information to be reported in the journal. The patient understand that their name and initial will not be published and due efforts will be made to conceal their identity, but anonymity cannot be guaranteed.


Financial support and sponsorship Nil.

Conflicts of interest: There are no conflicts of interest

 

References

1.Noussios G, Anagnostis P, Goulis DG, Lappas D, Natsis K. Ectopic thyroid tissue: anatomical, clinical, and surgical implications of a rare entity. Eur J Endocrinol. 2011;165:375–382.

2.Guerra G, Cinelli M, Mesolella M, Tafuri D, Rocca A, Amato B, et al. Morphological, diagnostic and surgical features of ectopic thyroid gland: a review of literature. Int J Surg. 2014;12:S3–S11. doi:10.1016/j.ijsu.2014.05.076.

3.Ibrahim NA, Fadeyibi IO. Ectopic thyroid: etiology, pathology and management. Hormones (Athens). 2011;10:261–269. doi:10.14310/horm.2002.1317.

4.Y 4.  J.S. Yoon, K.C. Won, I.H. Cho, J.T. Lee, H.W. Lee, Clinical characteristics of ectopic thyroid in Korea, Thyroid 17 (2007) 1117e1121.

5.Klubo-Gwiezdzinska J, Manes RP, Chia SH, Burman KD, Stathatos NA, Deeb ZE, et al. Clinical review: Ectopic cervical thyroid carcinoma--review of the literature with illustrative case series. J Clin Endocrinol Metab. 2011;96:2684–2691. doi:10.1210/jc.2011-0611.

6.Kennedy TL, Whitaker M, Wadih G. Thyroglossal duct carcinoma: a rational approach to management. Laryngoscope. 1998;108:1154–1158. doi:10.1097/00005537-199808000-00010.

7.Massine RE, Durning SJ, Koroscil TM. Lingual thyroid carcinoma: a case report and review of the literature. Thyroid. 2001;11:1191–1196. doi:10.1089/10507250152741055.

8.Hari CK, Kumar M, Abo-Khatwa MM, Adams-Williams J, Zeitoun H. Follicular variant of papillary carcinoma arising from lingual thyroid. Ear Nose Throat J. 2009;88:E7. PMID: 19517394.

9.Sturniolo G, Violi MA, Galletti B, Baldari S, Campennì A, Vermiglio F, Moleti M. Differentiated thyroid carcinoma in lingual thyroid. Endocrine. 2016;51:189–198. doi:10.1007/s12020-015-0593-y.

10.Mazzaferri EL, Kloos RT. Clinical review 128: Current approaches to primary therapy for papillary and follicular thyroid cancer. J Clin Endocrinol Metab. 2001;86:1447–1463. doi:10.1210/jcem.86.4.7407.

Figure 1

Figure 2

Figure 3

antarmuka fokus mahjong daya pengguna aktifaws grid serasi mahjong dasar tahapan terjagaaws jejak mekanisme mahjong arah fase lanjutanaws kajian wild berantai mahjong interaktif analitisaws kesesuaian persentase layanan mahjong seluler lanceraws pendalaman persentase mahjong gerak wild mutakhircorak langka mahjong tumbuh perlahan berubahgerak mahjong adaptasi mekanisme pemakai sekarangnalar scatter mahjong malam putaran ekstratempo mahjong kaitan mekanisme keadaan terkinialur permainan mahjong cepat scatter wilddalam hitungan detik scatter wild mahjongmenyatukan naluri pola scatter hitam mahjongmomen mahjong permainan berbalik arahmomen singkat mahjong dinamika permainanperpaduan insting pola scatter hitam momentperubahan drastis mahjong ways scatter wildscatter wild mahjong datang polasekejap berubah scatter wild mahjong wayssensasi baru mahjong lebih scatter wildenergi scatter emas irama reel mahjongevolusi reel mahjong balutan mistisintervensi cepat emas momentum lamakemunculan mendadak naga emas mahjongketika scatter naga emas aktif mahjongnaga emas muncul arah spin mahjongnaga emas ritme mahjong ways berubahrahasia rtp tinggi balik scatter hitamsaat scatter naga emas alih irama reelscatter hitam kunci lonjakan rtp mahjonge5 scatter wild memberikan sentuhan baru di setiap spin mahjong ways 2e5 scatter wild menghidupkan suasana permainan mahjong ways 2e5 scatter wild mengubah pola permainan mahjong ways 2 secara signifikane5 setiap putaran mahjong ways 2 terasa berbeda dengan scatter wilde5 strategi adaptif berbasis analisis rtp hariane5 strategi berbasis data dan algoritma untuk analisis momentume5 strategi berkembang berkat data rtp hariane5 strategi memahami algoritma untuk mengidentifikasi momentum ideale5 strategi membaca pola algoritma demi menangkap momentum optimale5 strategi modern mengandalkan evaluasi rtp hariane5 strategi responsif dengan dukungan evaluasi rtp hariane5 strategi terukur dengan analisis rtp hariane5 struktur scatter dan wild terlihat jelas berkat analisis sistem moderne5 tanpa disadari kombinasi ini sering mengarah ke scatter di mahjong wins 3e5 teknik evaluasi algoritma untuk mendapatkan momentum yang tepate5 teknik observasi sistem untuk analisis momentum yang lebih presisie5 terungkap formasi ini sering jadi awal munculnya scatter di mahjong wins 3e5 transformasi digital rtp live berkat artificial intelligence inovatife5 transformasi ritme mahjong ways 2 dipicu oleh kekuatan scatter wilde5 wajib tahu pola tersembunyi ini sering menghasilkan scattere5 applee5 bananae5 candye5 doge5 eaglee5 falcone5 geminie5 horsee5 indiae5 japananalisa pola mahjong ways rutinanalisis kinerja heuristik variansi gameanalisis pola mahjong ways hariananalisis pola mahjong ways kebiasaanera baru mahjong wins bonus optimalgebrakan bonus mahjong wins mekanisme efisieninsight pola mahjong ways rutinkajian pola mahjong ways rutinkomparasi heuristik variansi game digitalledakan bonus mahjong wins sistem efektifmahjong wins bonus sistem generasi baruobservasi pola mahjong ways harianpendekatan algoritma heuristik variansi gameperbandingan model heuristik variansi gamerahasia bonus mahjong wins sistem cerdasrangkuman pola mahjong ways harianringkasan pola mahjong ways harianstudi pola mahjong ways hariantinjauan heuristik variansi game digitaltinjauan pola mahjong ways harianalur sombol mahjong kemunculan scatterdari rtp mahjong bermain lebih efektifjejak scatter mahjong putaran tenangkejutan scatter wild simbol mahjong arahkemunculan simbol ganda membuat mahjongketika grid mahjong scatter semakin dekatketika rtp mahjong pola mulai lebih jelasketika scatter wild ritme simbol mahjongketika scatter wild titik sesi mahjong waysketika susunan simbol mahjong ritme scattermemahami rtp mahjong cara bermain lebihpergerakan simbol mahjong scatter wildpergeseran mahjong ketika scatter hadirsaat rtp mahjong terbaca baik strategisaat scatter hadir simbol mahjong bergeserscatter wild dinamika simbol mahjongstabilitas putaran mahjong pola scattersusunan baru reel mahjong scatter emassusunan mahjong wins mengandung scattersusunan simbol mahjong diam pola scatterrm menguak keunikan mahjong wins sudut pandang teknisrm cara memahami pergerakan mahjong ways tenaga ekstrarm mahjong wins standar baru industri hiburan digitalrm rahasia ketahanan mahjong ways eksis gempuran gamerm pentingnya memahami transisi level mahjong wins mendalamrm strategi mengatur tempo mahjong ways kendali permainanrm peran kecerdasan buatan mekanisme mahjong wins adilrm alasan keberhasilan mahjong ways mencuri perhatian analisrm mempelajari struktur dasar mahjong wins efisiensi putaranrm inovasi desain mahjong ways kesan bermain responsifrm teknik observasi mahjong wins jarang dibahas dampakrm cara mempertahankan fokus dinamika mahjong ways cepatrm eksplorasi fitur tersembunyi mahjong wins ritme terbaikrm mahjong ways integrasi teknologi modern keamanan nyamanrm analisis faktor pendukung mahjong wins digemari generasirm langkah efektif menyesuaikan perubahan sistem mahjong waysrm mengintip proses pengembangan mahjong wins kualitas penggunarm analisis data membantu membaca arah mahjong waysrm menemukan titik temu insting logika mahjong winsrm transformasi besar mahjong ways menghadirkan tantangan menarikmengungkap simbol langka nasib drastismisteri besar kombinasi simbol langkamisteri simbol langka keberuntungan besarsimbol langka misterius ubah hiduprahasia simbol langka nasib cepattransformasi bonus mahjong wins sistem efektifmahjong wins suguhkan bonus sistem modernsuguhan bonus efisien mahjong winsefektivitas sistem bonus mahjong winsmahjong wins hadirkan bonus sistem optimaloke76cincinbetaqua365slot gacorstc76samurai76TOBA1131samurai76 login