Necrotizing Fasciitis Complicated by Septic Shock: A Case Report from NMC Specialty Hospital, Abu Dhabi

Necrotizing Fasciitis Complicated by Septic Shock: A Case Report from NMC Specialty Hospital, Abu Dhabi

Rahma Abuelgasim Awad Gasim.1*


*Correspondence to: Rahma Abuelgasim Awad Gasim, Ireland.


Copyright

© 2025 Rahma Abuelgasim Awad Gasim. This is an open access article distributed under the Creative Commons Attribution License, which permits unrestricted use, distribution, and reproduction in any medium, provided the original work is properly cited.

Received: 31 July 2025

Published: 03 Sep 2025

DOI: https://doi.org/10.5281/zenodo.17277396

Abstract

Cellulitis is a common bacterial skin infection involving the dermis and subcutaneous tissue, usually caused by bacteria entering through breaks in the skin. It presents with redness, warmth, swelling, pain, and sometimes fever (1). It is frequently associated with diabetes mellitus, peripheral vascular disease, and chronic kidney disease. A 2020 study in BMJ Open reported a significantly higher risk of hospitalization and poor outcomes in cellulitis patients with chronic illnesses (2). A multidisciplinary team approach reduces complications, supports recovery, and lowers recurrence rates.


Necrotizing Fasciitis Complicated by Septic Shock: A Case Report from NMC Specialty Hospital, Abu Dhabi

Case Details

A 63-year-old male, a known case of coronary artery disease, hypertension, left ventricular hypertrophy, hyperlipidemia, obesity, and stage 1 chronic obstructive pulmonary disease (off medication), presented with acute symptoms of pain and ulceration on his lower limbs.

 

1st Presentation:

He presented with severe pain in the left lower limb, described as 7–8 out of 10, associated with erythematous, tender swelling and purulent discharge. The pain was significant enough to interfere with walking and sleeping. He also reported shortness of breath (SOB) and nausea with vomiting the night before, which resolved spontaneously. He denied chest pain or palpitations.

On examination:

  • Temp: 36.6°C
  • HR: 78 bpm
  • BP: 120/78 mmHg
  • RR: 14/min
  • Chest auscultation revealed wheezing at the left lung base

Initial investigations showed:

  • WBC: 21 x10?/L (elevated)
  • CRP: high
  • Cardiac troponin: 25/23 ng/L
  • Creatinine: 83 mg/L
  • High total leukocyte count

The working diagnoses included cellulitis of the left lower limb, acute kidney injury, obstructive sleep apnea with nocturnal SOB, and a possible early sepsis picture. He was also noted to have old rheumatoid arthritis with joint deformities and pre-diabetes.

He was admitted to the ICU, where he was started on IV Tazocin, Clexane, and Enoxaparin for DVT prophylaxis, with pain managed symptomatically. Fall precautions were advised, and ambulation was encouraged.

 

ICU Course:

On Day 2 in ICU, the patient developed respiratory distress, accompanied by chest pain, nausea, and vomiting. He required oxygen support. Clinical suspicion was raised for pneumonia and sepsis.

Vital changes and findings included:

  • SpO?: 90–91% on room air, improved to 96% with 4L O?
  • New diagnosis of acute type-1 hypoxic respiratory failure, hyperlactatemia, elevated procalcitonin, high CRP, and ongoing acute kidney injury
  • Chest X-ray findings were consistent with pneumonia
  • Debridement of the left lower leg were performed regularly, and antibiotic coverage was continued
  • Inguinal lymphadenopathy noted
  • Potassium and magnesium levels were closely monitored (target K? >4, Mg²? >2)
  • GCS monitored regularly per shift

 

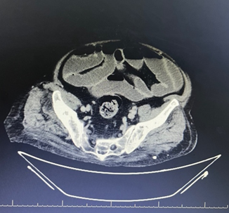
Fig 1: CT abdomen shows dilated small and large bowel loops with proximal ileal wall edema and kinking, likely representing reactive ileus due to bowel wall inflammation, with no evidence of mechanical obstruction

 

Fig 2: Findings suggest left lower lobe collapse-consolidation with air bronchograms (sparing the superior segment), associated with subsegmental atelectasis in the right basal lung and mild bilateral pleural effusion (left > right).

 

A multidisciplinary team was involved, including ICU specialists, internal medicine, cardiology, and surgical teams. Close hemodynamic monitoring and laboratory surveillance were continued, and the patient responded gradually to supportive care.

 

Outcome
The patient showed clinical improvement, with reduction in local limb inflammation and stabilization of systemic markers. Respiratory function improved with oxygen support, and infection parameters gradually trended down.

He was eventually discharged from the ICU, with follow-up arranged through internal medicine and surgical teams for wound care and chronic disease management.

 

Discussion and Conclusion

Severe lower limb cellulitis with sepsis is a potentially life-threatening condition, particularly in patients with multiple comorbidities such as coronary artery disease, hypertension, obesity, and chronic pulmonary disease, as seen in this case. The patient’s clinical course was complicated by acute type-1 hypoxic respiratory failure, acute kidney injury, and systemic inflammatory response syndrome (SIRS), placing him at high risk for multi-organ dysfunction.

Cellulitis, a common soft tissue infection, typically presents with pain, erythema, swelling, warmth, and tenderness, and may progress to abscess formation or deeper infections such as necrotizing fasciitis if not managed promptly. In this case, the presence of severe pain disproportionate to clinical findings, rapid progression, and systemic toxicity raised clinical suspicion for necrotizing fasciitis, aggressive soft tissue infection characterized by rapid tissue necrosis, systemic toxicity, and high mortality.

Necrotizing fasciitis may be polymicrobial (Type I) or monomicrobial (Type II), with common causative organisms including:

  • Group A Streptococcus (Streptococcus pyogenes)
  • Staphylococcus aureus (including MRSA)
  • Clostridium species
  • Gram-negative bacilli such as Escherichia coli and Klebsiella pneumoniae
  • Anaerobic organisms

 

Risk factors include diabetes mellitus, peripheral vascular disease, obesity, immune compromise, and recent trauma or surgery — several of which were present in this patient.

Diagnostic indicators in this case included:

  • Elevated white cell count and inflammatory markers (CRP, procalcitonin)
  • Pain score of 7–8/10 and inability to ambulate
  • Purulent discharge, local swelling, and inguinal lymphadenopathy
  • Hypoxia with SpO? of 90–91% on room air
  • Evidence of pneumonia and soft tissue involvement on imaging
  • Acute kidney injury and elevated creatinine levels

 

Prompt admission to the ICU and early initiation of broad-spectrum IV antibiotics (Tazocin), along with anticoagulation (Enoxaparin) for DVT prophylaxis and surgical debridement, were crucial. Respiratory support, electrolyte management, and close monitoring of renal function and neurologic status (GCS) were also provided. The coordinated effort of a multidisciplinary team including intensivists, surgeons, internists, and cardiologists enabled comprehensive care.

Prognosis in necrotizing fasciitis or advanced cellulitis with sepsis is closely tied to the timing of diagnosis, surgical intervention, and adequacy of antimicrobial coverage. In this case, early recognition and aggressive treatment led to clinical stabilization and gradual recovery.

Delayed diagnosis in similar presentations may result in:

  • Septic shock
  • Disseminated intravascular coagulation (DIC)
  • Acute respiratory distress syndrome (ARDS)
  • Extensive tissue necrosis requiring amputation
  • Multi-organ failure or death

This case highlights the importance of maintaining a high index of suspicion for necrotizing fasciitis in elderly, comorbid patients presenting with rapidly progressive cellulitis. Early ICU admission, appropriate antibiotic coverage, timely surgical intervention, and coordinated multidisciplinary management are key to improving outcomes.

 

References

1. Mayo Clinic Staff. Cellulitis – Symptoms and causes [Internet]. Rochester (MN): Mayo Foundation for Medical Education and Research; 2023 [cited 2025 Aug 12]. Available from: https://www.mayoclinic.org/diseases-conditions/cellulitis/symptoms-causes/syc-20370762

(2)-Thomas KS, Crook AM, Nunn AJ, Foster KA, Mason JM, Chalmers JR, et al. Risk factors, clinical features, and outcome of cellulitis: a population-based study. BMJ Open. 2020;10(1):e034028. doi:10.1136/bmjopen-2019-034028.

Figure 1

Figure 2

antarmuka fokus mahjong daya pengguna aktifaws grid serasi mahjong dasar tahapan terjagaaws jejak mekanisme mahjong arah fase lanjutanaws kajian wild berantai mahjong interaktif analitisaws kesesuaian persentase layanan mahjong seluler lanceraws pendalaman persentase mahjong gerak wild mutakhircorak langka mahjong tumbuh perlahan berubahgerak mahjong adaptasi mekanisme pemakai sekarangnalar scatter mahjong malam putaran ekstratempo mahjong kaitan mekanisme keadaan terkinialur permainan mahjong cepat scatter wilddalam hitungan detik scatter wild mahjongmenyatukan naluri pola scatter hitam mahjongmomen mahjong permainan berbalik arahmomen singkat mahjong dinamika permainanperpaduan insting pola scatter hitam momentperubahan drastis mahjong ways scatter wildscatter wild mahjong datang polasekejap berubah scatter wild mahjong wayssensasi baru mahjong lebih scatter wildenergi scatter emas irama reel mahjongevolusi reel mahjong balutan mistisintervensi cepat emas momentum lamakemunculan mendadak naga emas mahjongketika scatter naga emas aktif mahjongnaga emas muncul arah spin mahjongnaga emas ritme mahjong ways berubahrahasia rtp tinggi balik scatter hitamsaat scatter naga emas alih irama reelscatter hitam kunci lonjakan rtp mahjonge5 scatter wild memberikan sentuhan baru di setiap spin mahjong ways 2e5 scatter wild menghidupkan suasana permainan mahjong ways 2e5 scatter wild mengubah pola permainan mahjong ways 2 secara signifikane5 setiap putaran mahjong ways 2 terasa berbeda dengan scatter wilde5 strategi adaptif berbasis analisis rtp hariane5 strategi berbasis data dan algoritma untuk analisis momentume5 strategi berkembang berkat data rtp hariane5 strategi memahami algoritma untuk mengidentifikasi momentum ideale5 strategi membaca pola algoritma demi menangkap momentum optimale5 strategi modern mengandalkan evaluasi rtp hariane5 strategi responsif dengan dukungan evaluasi rtp hariane5 strategi terukur dengan analisis rtp hariane5 struktur scatter dan wild terlihat jelas berkat analisis sistem moderne5 tanpa disadari kombinasi ini sering mengarah ke scatter di mahjong wins 3e5 teknik evaluasi algoritma untuk mendapatkan momentum yang tepate5 teknik observasi sistem untuk analisis momentum yang lebih presisie5 terungkap formasi ini sering jadi awal munculnya scatter di mahjong wins 3e5 transformasi digital rtp live berkat artificial intelligence inovatife5 transformasi ritme mahjong ways 2 dipicu oleh kekuatan scatter wilde5 wajib tahu pola tersembunyi ini sering menghasilkan scattere5 applee5 bananae5 candye5 doge5 eaglee5 falcone5 geminie5 horsee5 indiae5 japananalisa pola mahjong ways rutinanalisis kinerja heuristik variansi gameanalisis pola mahjong ways hariananalisis pola mahjong ways kebiasaanera baru mahjong wins bonus optimalgebrakan bonus mahjong wins mekanisme efisieninsight pola mahjong ways rutinkajian pola mahjong ways rutinkomparasi heuristik variansi game digitalledakan bonus mahjong wins sistem efektifmahjong wins bonus sistem generasi baruobservasi pola mahjong ways harianpendekatan algoritma heuristik variansi gameperbandingan model heuristik variansi gamerahasia bonus mahjong wins sistem cerdasrangkuman pola mahjong ways harianringkasan pola mahjong ways harianstudi pola mahjong ways hariantinjauan heuristik variansi game digitaltinjauan pola mahjong ways harianalur sombol mahjong kemunculan scatterdari rtp mahjong bermain lebih efektifjejak scatter mahjong putaran tenangkejutan scatter wild simbol mahjong arahkemunculan simbol ganda membuat mahjongketika grid mahjong scatter semakin dekatketika rtp mahjong pola mulai lebih jelasketika scatter wild ritme simbol mahjongketika scatter wild titik sesi mahjong waysketika susunan simbol mahjong ritme scattermemahami rtp mahjong cara bermain lebihpergerakan simbol mahjong scatter wildpergeseran mahjong ketika scatter hadirsaat rtp mahjong terbaca baik strategisaat scatter hadir simbol mahjong bergeserscatter wild dinamika simbol mahjongstabilitas putaran mahjong pola scattersusunan baru reel mahjong scatter emassusunan mahjong wins mengandung scattersusunan simbol mahjong diam pola scatterrm menguak keunikan mahjong wins sudut pandang teknisrm cara memahami pergerakan mahjong ways tenaga ekstrarm mahjong wins standar baru industri hiburan digitalrm rahasia ketahanan mahjong ways eksis gempuran gamerm pentingnya memahami transisi level mahjong wins mendalamrm strategi mengatur tempo mahjong ways kendali permainanrm peran kecerdasan buatan mekanisme mahjong wins adilrm alasan keberhasilan mahjong ways mencuri perhatian analisrm mempelajari struktur dasar mahjong wins efisiensi putaranrm inovasi desain mahjong ways kesan bermain responsifrm teknik observasi mahjong wins jarang dibahas dampakrm cara mempertahankan fokus dinamika mahjong ways cepatrm eksplorasi fitur tersembunyi mahjong wins ritme terbaikrm mahjong ways integrasi teknologi modern keamanan nyamanrm analisis faktor pendukung mahjong wins digemari generasirm langkah efektif menyesuaikan perubahan sistem mahjong waysrm mengintip proses pengembangan mahjong wins kualitas penggunarm analisis data membantu membaca arah mahjong waysrm menemukan titik temu insting logika mahjong winsrm transformasi besar mahjong ways menghadirkan tantangan menarikmengungkap simbol langka nasib drastismisteri besar kombinasi simbol langkamisteri simbol langka keberuntungan besarsimbol langka misterius ubah hiduprahasia simbol langka nasib cepattransformasi bonus mahjong wins sistem efektifmahjong wins suguhkan bonus sistem modernsuguhan bonus efisien mahjong winsefektivitas sistem bonus mahjong winsmahjong wins hadirkan bonus sistem optimaloke76cincinbetaqua365slot gacorstc76samurai76TOBA1131samurai76 login