A Case of Type A Acute Aortic Dissection with a Normal D-dimer

A Case of Type A Acute Aortic Dissection with a Normal D-dimer

Le Grice K1, Patel R2, Tregidgo L3, Kavidasan A4*


1. Department of Chest Medicine and Interventional Pulmonology, Croydon University Hospital, UK.

Correspondence to: Dr Aji Kavidasan, Department of Chest Medicine and Interventional Pulmonology, Croydon University Hospital, UK.


Copyright

© 2025 Dr Aji Kavidasan. This is an open access article distributed under the Creative Commons Attribution License, which permits unrestricted use, distribution, and reproduction in any medium, provided the original work is properly cited.

Received: 18 Sep 2025

Published: 01 Oct 2025

 


A Case of Type A Acute Aortic Dissection with a Normal D-dimer

Introduction

Acute aortic dissection is an uncommon, but potentially fatal condition, in which early recognition is vital to reduce mortality.

Acute aortic dissection has an incidence of around 7-10 per 100,000 in the UK (1), and type A dissections, which involve the ascending thoracic aorta, have a mortality of around 50% in the first 24 hours if untreated (2). Treatment requires emergency surgical intervention, which can reduce one month mortality from 90 to 30% (3), however 50% of patients die prior to receiving surgery (4). Although the main symptom of acute aortic dissection is typically described as sudden onset tearing chest pain, it is well documented that patients often present with non-specific or atypical features (5-7), and its recognition can therefore be challenging. A number of surrogate markers have been suggested as an aid towards diagnosis, and multiple studies and meta-analysis have shown a positive d-dimer as a highly specific positive predictor for aortic dissection (8-11). However here we present a case of type A aortic dissection with a normal d-dimer.

 

Case Report

A 54 year old electrician was brought to A&E following sudden onset chest pain at rest associated with a total loss of consciousness. He described feeling sweaty and dizzy and was then seen to lose consciousness for around 70 seconds. On regaining consciousness he described a severe, central, non-radiating chest pain, associated with breathlessness and sweats.

He was otherwise fit and well, his only past medical history a hip replacement secondary to a previous fall, and he had no regular medications. Both his parents had Ischaemic heart disease in their early 40s. He drank minimal alcohol and was a never smoker.

ECG in the ambulance showed T wave inversion in leads V4-6, and he was treated with GTN and aspirin prior to arrival at the hospital.

On arrival in A&E he had ongoing chest pain, albeit improving. On assessment he was alert, with normal observations including blood pressure of 143/85. Examination was unremarkable, however radio-radial delay nor blood pressure in both arms were documented at the time of initial assessment. Repeat ECG showed non-dynamic changes, and blood tests were unremarkable, other than a mildly raised troponin of 21. D-dimer was normal at 139. Chest x-ray was documented as unremarkable.

He was diagnosed with an NSTEMI and admitted under the medical team, with a plan for ACS treatment, serial ECGS and a repeat troponin.

The patient had ongoing chest pain overnight, not relieved by GTN. On assessment by the medical consultant the next morning, he had ongoing chest pain and was sweaty and clammy, and on examination he looked unwell. There was no radio-radial or radio-femoral delay, but blood pressure was elevated at 188/98. Blood pressure in both arms was not documented but was requested. Repeat troponins were static and there were no dynamic ECG changes. An urgent cardiology review and CT aortogram were requested.

 

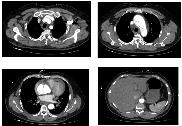
Fig 1

 

CT aortogram showed Stanford A thoraco-abdominal dissection with pre-existing abnormal ascending aorta. Unfortunately, shortly after returning from CT the patient deteriorated and suffered a cardiac arrest. Despite a prolonged resuscitation including an attempted pericardiocentesis, the patient did not survive.

 

Discussion

This case, the patient was treated for a suspected ACS but sadly died the day following admission from a type A thoraco-abdominal aortic dissection. He was treated for ACS based on chest pain with total loss of conscious, on a background of a family history of MI, with non-dynamic ECG changes, static troponins and normal d-dimer. He was not initially hypertensive, did not have radio-radial or radio-femoral delay and had a normal chest x-ray, but he did have ongoing chest pain despite GTN.

It is well documented that aortic dissection can present with non-specific findings, but most cases of aortic dissection reported are shown to have a raised d-dimer. The ADvISED study (12) looked at >1800 patients with aortic dissection and only 8 of these were shown to have a negative d-dimer. When combined with risk stratification tool this dropped to only 4 patients. The patient in our case would have fallen into this group, despite the significant extent of his dissection. It is therefore important to recognise that even severe thoraco-abdominal cases can have normal biochemical markers, and aortic dissection should be considered in cases of chest pain with loss of consciousness, atypical chest pain or where pain is out of keeping with other clinical findings, even when other parameters are within the normal range.

 

References

1. Booth K; Acute aortic dissection (AAD) – a lethal disease: the epidemiology, pathophysiology and natural history; Br J Cardiol. 2023; 30(1): 9

2. Akin I, Nienaber CA; Prediction of aortic dissection; Heart; 2020; 106 892-897

3. Ranasinghe  AM, Strong D, Boland A, Bonser RS; Acute aortic dissection; BMJ; 2011; 343:4487

4. Thrumurthy SG, Karthikesalingam A, Patterson BO, Holt PJE, Thompson MM; The diagnosis and management of aortic dissection; BMJ;  2012; 344: 8290

5. Erbel R, Aboyans V, Boileau C et al; 2014 ESC Guidelines on the diagnosis and treatment of aortic diseases: Document covering acute and chronic aortic diseases of the thoracic and abdominal aorta of the adult. The Task Force for the Diagnosis and Treatment of Aortic Diseases of the European Society of Cardiology (ESC); Eur. Heart J; 2014, 35, 2873–2926

6. Hansen MS, Nogareda GJ, Hutchison SJ; Frequency of and inappropriate treatment of misdiagnosis of acute aortic dissection; Am J Cardiol; 2007; 99(6):852-6

7. Ayrik C, Cece H. Aslan O, Karcioglu O, Yilmaz E; e24Seeing the invisible: painless aortic dissection in the emergency setting; Emerg Med J; 2006; 23(3): e34

8. Cui J-S, Jing ZP, Zhuang S-J et al; D-dimer as a Biomarker for Acute Aortic Dissection : A Systematic Review and Meta-analysis; Medicine (Baltimore); 2015; 94(4): e471

9. Yao J, Bai T, Yang B, Sun L; The diagnostic value of D-dimer in acute aortic dissection: a meta-analysis; Journal of Cardiothoracic Surgery; 2021; 16: 343

10. Bima P, Pivetta E, Nazerian P et al; Systematic Review of Aortic Dissection Detection Risk Score Plus D-dimer for Diagnostic Rule-out Of Suspected Acute Aortic Syndromes; Acad Emerg Med; 2020; 27(10):1013-1027Published: 27 May 2016

11. Watanabe H, Horita N, Shibata Y et al; Diagnostic test accuracy of D-dimer for acute aortic syndrome: systematic review and meta-analysis of 22 studies with 5000 subjects; Scientific Reports; 2016; 6: 26893

12. Nazerian P, Mueller C, de Matos Soeiro A et al; Diagnostic Accuracy of the Aortic Dissection Detection Risk Score Plus D-Dimer for Acute Aortic Syndromes: The ADvISED Prospective Multicenter Study; Circulation; 2018; 137(3):250-258.

Figure 1

antarmuka fokus mahjong daya pengguna aktifaws grid serasi mahjong dasar tahapan terjagaaws jejak mekanisme mahjong arah fase lanjutanaws kajian wild berantai mahjong interaktif analitisaws kesesuaian persentase layanan mahjong seluler lanceraws pendalaman persentase mahjong gerak wild mutakhircorak langka mahjong tumbuh perlahan berubahgerak mahjong adaptasi mekanisme pemakai sekarangnalar scatter mahjong malam putaran ekstratempo mahjong kaitan mekanisme keadaan terkinialur permainan mahjong cepat scatter wilddalam hitungan detik scatter wild mahjongmenyatukan naluri pola scatter hitam mahjongmomen mahjong permainan berbalik arahmomen singkat mahjong dinamika permainanperpaduan insting pola scatter hitam momentperubahan drastis mahjong ways scatter wildscatter wild mahjong datang polasekejap berubah scatter wild mahjong wayssensasi baru mahjong lebih scatter wildenergi scatter emas irama reel mahjongevolusi reel mahjong balutan mistisintervensi cepat emas momentum lamakemunculan mendadak naga emas mahjongketika scatter naga emas aktif mahjongnaga emas muncul arah spin mahjongnaga emas ritme mahjong ways berubahrahasia rtp tinggi balik scatter hitamsaat scatter naga emas alih irama reelscatter hitam kunci lonjakan rtp mahjonge5 scatter wild memberikan sentuhan baru di setiap spin mahjong ways 2e5 scatter wild menghidupkan suasana permainan mahjong ways 2e5 scatter wild mengubah pola permainan mahjong ways 2 secara signifikane5 setiap putaran mahjong ways 2 terasa berbeda dengan scatter wilde5 strategi adaptif berbasis analisis rtp hariane5 strategi berbasis data dan algoritma untuk analisis momentume5 strategi berkembang berkat data rtp hariane5 strategi memahami algoritma untuk mengidentifikasi momentum ideale5 strategi membaca pola algoritma demi menangkap momentum optimale5 strategi modern mengandalkan evaluasi rtp hariane5 strategi responsif dengan dukungan evaluasi rtp hariane5 strategi terukur dengan analisis rtp hariane5 struktur scatter dan wild terlihat jelas berkat analisis sistem moderne5 tanpa disadari kombinasi ini sering mengarah ke scatter di mahjong wins 3e5 teknik evaluasi algoritma untuk mendapatkan momentum yang tepate5 teknik observasi sistem untuk analisis momentum yang lebih presisie5 terungkap formasi ini sering jadi awal munculnya scatter di mahjong wins 3e5 transformasi digital rtp live berkat artificial intelligence inovatife5 transformasi ritme mahjong ways 2 dipicu oleh kekuatan scatter wilde5 wajib tahu pola tersembunyi ini sering menghasilkan scattere5 applee5 bananae5 candye5 doge5 eaglee5 falcone5 geminie5 horsee5 indiae5 japananalisa pola mahjong ways rutinanalisis kinerja heuristik variansi gameanalisis pola mahjong ways hariananalisis pola mahjong ways kebiasaanera baru mahjong wins bonus optimalgebrakan bonus mahjong wins mekanisme efisieninsight pola mahjong ways rutinkajian pola mahjong ways rutinkomparasi heuristik variansi game digitalledakan bonus mahjong wins sistem efektifmahjong wins bonus sistem generasi baruobservasi pola mahjong ways harianpendekatan algoritma heuristik variansi gameperbandingan model heuristik variansi gamerahasia bonus mahjong wins sistem cerdasrangkuman pola mahjong ways harianringkasan pola mahjong ways harianstudi pola mahjong ways hariantinjauan heuristik variansi game digitaltinjauan pola mahjong ways harianalur sombol mahjong kemunculan scatterdari rtp mahjong bermain lebih efektifjejak scatter mahjong putaran tenangkejutan scatter wild simbol mahjong arahkemunculan simbol ganda membuat mahjongketika grid mahjong scatter semakin dekatketika rtp mahjong pola mulai lebih jelasketika scatter wild ritme simbol mahjongketika scatter wild titik sesi mahjong waysketika susunan simbol mahjong ritme scattermemahami rtp mahjong cara bermain lebihpergerakan simbol mahjong scatter wildpergeseran mahjong ketika scatter hadirsaat rtp mahjong terbaca baik strategisaat scatter hadir simbol mahjong bergeserscatter wild dinamika simbol mahjongstabilitas putaran mahjong pola scattersusunan baru reel mahjong scatter emassusunan mahjong wins mengandung scattersusunan simbol mahjong diam pola scatterrm menguak keunikan mahjong wins sudut pandang teknisrm cara memahami pergerakan mahjong ways tenaga ekstrarm mahjong wins standar baru industri hiburan digitalrm rahasia ketahanan mahjong ways eksis gempuran gamerm pentingnya memahami transisi level mahjong wins mendalamrm strategi mengatur tempo mahjong ways kendali permainanrm peran kecerdasan buatan mekanisme mahjong wins adilrm alasan keberhasilan mahjong ways mencuri perhatian analisrm mempelajari struktur dasar mahjong wins efisiensi putaranrm inovasi desain mahjong ways kesan bermain responsifrm teknik observasi mahjong wins jarang dibahas dampakrm cara mempertahankan fokus dinamika mahjong ways cepatrm eksplorasi fitur tersembunyi mahjong wins ritme terbaikrm mahjong ways integrasi teknologi modern keamanan nyamanrm analisis faktor pendukung mahjong wins digemari generasirm langkah efektif menyesuaikan perubahan sistem mahjong waysrm mengintip proses pengembangan mahjong wins kualitas penggunarm analisis data membantu membaca arah mahjong waysrm menemukan titik temu insting logika mahjong winsrm transformasi besar mahjong ways menghadirkan tantangan menarikmengungkap simbol langka nasib drastismisteri besar kombinasi simbol langkamisteri simbol langka keberuntungan besarsimbol langka misterius ubah hiduprahasia simbol langka nasib cepattransformasi bonus mahjong wins sistem efektifmahjong wins suguhkan bonus sistem modernsuguhan bonus efisien mahjong winsefektivitas sistem bonus mahjong winsmahjong wins hadirkan bonus sistem optimaloke76cincinbetaqua365slot gacorstc76samurai76TOBA1131samurai76 login