A Rare-Case: Association of Rapid height gain in an 11 years old child treated with Growth hormone complicated by Superior Mesenteric Artery Syndrome

A Rare-Case: Association of Rapid height gain in an 11 years old child treated with Growth hormone complicated by Superior Mesenteric Artery Syndrome

Aida Al Jabri1*, Muhammed Ibrahim2, Rawan Sakir2, Ahmed Amodi3, Mohammed M. Alqahtani4, Ahmed M. Almuslim5

1. Pediatric Endocrinologist, Al Moosa Specialist Hospital, Ahsaa, Saudi Arabia.

2. Pediatric department, Al Moosa Specialist Hospital, Ahsaa, Saudi Arabia.

3. Pediatric Endocrinologist, Al Moosa Specialist Hospital, Ahsaa, Saudi Arabia.

4. Pediatric Endocrinologist, King Khalid University, Abha, Saudi Arabia.

5. Pediatric Radiologist, Al Moosa Specialist Hospital, Ahsaa, Saudi Arabia.


*Correspondence to: Aida Al Jabri, Pediatric Endocrinologist, Al Moosa Specialist Hospital, Ahsaa, Saudi Arabia.


Copyright
© 2025 Aida Al Jabri, This is an open access article distributed under the Creative Commons Attribution License, which permits unrestricted use, distribution, and reproduction in any medium, provided the original work is properly cited.

Received: 08 Sep 2025

Published: 07 Oct 2025

ABSTRACT:

An uncommon cause of proximal intestinal blockage is superior mesenteric artery syndrome (SMA). Numerous other names for it have been proposed, such as arteriomesenteric duodenal blockage, Wilkie syndrome, Cast syndrome, and chronic duodenal ileus. The loss of the intervening mesenteric fat pad is the primary cause of the condition, which is characterized by compression of the third section of the duodenum as a result of narrowing of the space between the superior mesenteric artery and aorta. Research suggests that experiencing a growth spurt increases the likelihood of developing SMA syndrome, and each incident that worsens the aortomesenteric space constriction increases the likelihood of a SMA syndrome manifestation.

In this case, an 11-year-old known to have short stature who was receiving growth hormone therapy had linear growth without gaining weight and was ultimately diagnosed with SMA syndrome, a rare correlation between the two conditions. Rapid growth spurt is a risk factor for superior mesenteric artery (SMA) syndrome, but in pediatric population, the syndrome does not always emerge as a result of weight loss.

History of recurrent abdominal pain and spontaneous resolution of the symptoms, draws attention to the fact that SMA syndrome with such presentation may be missed or misdiagnosed as functional disorders. These imply that SMA syndrome may be responsible for some of the unexplained abdominal symptoms among the pubertal group. Therefore, SMA syndrome should be considered in adolescents with recurrent abdominal symptoms.

Keywords: short stature; growth hormone; superior mesenteric artery syndrome; case report.


A Rare-Case: Association of Rapid height gain in an 11 years old child treated with Growth hormone complicated by Superior Mesenteric Artery Syndrome

Introduction
The narrow angle between the SMA and the Aorta compresses the third part of the duodenum in superior mesenteric artery (SMA) syndrome, which is believed to be an uncommon condition. (1) The following categories describe the typical causes of acute angulation between the SMA and the aorta: (1) marked weight loss resulting in the loss or depletion of retroperitoneal fatty tissues;

(2) external compression using belts or Spica casts; and (3) anatomical defects and congenital anomalies, such as intestinal malrotation, a high insertion of the duodenum at the ligament of Treitz, and corrective spinal surgery for scoliosis.

Postprandial epigastric discomfort, bilious vomiting, nausea, and early satiety are the symptoms. (3) Patients with SMA syndrome typically show up following spinal surgery or abrupt weight loss. (4) As a result, in young people without traditional risk factors including substantial weight loss, psychological issues, or spinal surgery, SMA syndrome is typically unexpected.


Case Illustration

Clinical Presentation

A 11 years old male patient, diagnosed at our hospital with a growth hormone deficiency and severe short stature. He had been receiving growth hormone (GH) replacement therapy for over a year. After a year from starting GH treatment, he was complaining of persistent vomiting after every oral intake and abdominal pain when he was first seen. For a month, there was intermittent pain in the umbilical region that was exacerbated by food intake and subsided by fasting or vomiting. There was no past history of eating from outside, abdominal trauma, or interaction with sick individuals. Neither constipation nor diarrhea. He has never shown up with these symptoms before. No history of previous admissions. He was taking growth hormone till two months back, and during that time, his height climbed by more than 15 cm (from 122 to 137 cm) over 16 months. His weight remained constant at 29 kg, and his BMI was 15.5 kg/m2, which is below average.

There was no noteworthy family history of gastrointestinal disorders. Upon evaluation, he has bradycardia with heart rate down to 47 beats per mint, but he was not in distress, and his oxygen saturation and respiratory rate were both maintained on room air. The patient's underweight of 29 kg at the fifth percentile was a clear sign of failure to thrive. The abdomen was soft and lax with no organomegaly, the capillary refill time and peripheral pulsation were within normal limits, and the results of the other systemic exams were ordinary.


Investigations & Diagnostic workup

Urine analysis, liver function, electrolytes, CBC, CRP, and other basic lab tests were performed. All of the results were within normal limits. Multiple reactive mesenteric lymph nodes with preserved echogenic hilum were shown on an abdominal ultrasonography. CT scan was done which showed reduced aortomesenteric angle and aortomesenteric distance measured 20 degree and 6 mm respectively with relatively distended stomach and first 2 parts of duodenum. Impression was superior mesenteric artery syndrome.

WBC

6.8 (10*3 u/L)

HB

12.1 (g/dl)

Platelet

317 (10*3 u/L)

CRP

<1 (mg/dl)

Na

135 (mmol/l)

K

4.3 (mmol/l)

Ca

2.24 (mmol/l)

Urea

3.2 (mmol/l)

Creatinine

47 (umol/l)

AST

18 (U/l)

ALT

8 (U/l)

Amylase

92 (U/l)

Lipase

19 (U/l)

 

 

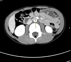
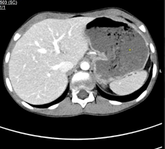
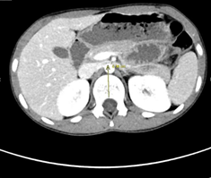
Fig  1: Axial image of IV contrast enhanced CT scan of the abdomen demonstrates gastric dilatation.

Fig 2 :Axial image of IV contrast enhanced CT scan of the abdomen demonstrates aortomesenteric narrowing (4 mm) (Normal range > 10 mm).

Fig 3: Axial image of IV contrast enhanced CT scan of the abdomen demonstrates duodenal dilatation with transitional zone at the aortomesenteric window.

Fig 4: Sagittal image of IV contrast enhanced CT scan of the abdomen demonstrates aortomesenteric sharp angle ( 9°) (Normal range > 22°).

The tight and sharp aortomesenteric distance and angle respectively along with the gastric and duodenal dilatation are in favour of superior mesenteric artery syndrome.


Therapeutic Interventions

The patient condition necessitated a multidisciplinary approach, involving several sub- specialties. Pediatrics surgery team suggested no intervention from their side; in the meantime, gastrointestinal team recommended to do endoscopy with biopsy, to start high caloric formula through naso-jejunal NJ tube for feeding along with TPN. Pediatric intensive care unit inserted the PICC line and started the TPN. Endoscopy revealed esophagus with mild erythema, no hiatal hernia in fundus, moderate erythema in gastric body, erythema and nodularity in antrum, biopsies were taken and NJ tube was inserted. Furthermore, urea breath test done and was positive, indicating positive H-pylori pathogen so started triple regiment on amoxicillin, metronidazole, and omeprazole. Celiac profile was negative. Biopsy results was suggestive for H pillory, chronic duodenitis and chronic active follicular gastritis. Next day patient not tolerating the Naso jejunal tube as he developed episodes of vomiting, so tube removed. He gradually tolerated oral feeds and kept on TPN for a total of 3 weeks. Eventually he reached his targeted weight i.e. 35 kg so discharged home with close follow up. Growth hormone was resumed with caution.


Discussion

In early puberty, boys experience a significant increase in lean body mass and a concomitant loss of adipose tissues. These pubertal changes in body composition often lead to a narrowing of the aortomesenteric space due to a depletion of the mesenteric fat pad. Therefore, as previous studies indicate, a growth spurt is a risk factor for SMA syndrome, and any event that further exacerbates the narrowing of the aortomesenteric space is likely to result in a manifestation of SMA syndrome. Potential triggers identified thus far for such exacerbation include extra weight loss due to infection and overeating after dieting. In the present case, considering his linear growth without weight gain, the patient’s mesenteric fat tissue had already been depleted. The abdominal CT also revealed the significant decrease in his adipose tissue. Therefore, the retarded passage of the ingested food at the duodenum and the acute consumption of a large volume of water caused a transient obstruction that spontaneously resolved with postural changes.

This case supports the previous findings that weight loss is not necessary for the development of SMA syndrome in the pediatric population. For example, Biank and Werlin(3) reported no weight loss was observed in 50% of the 22 pediatric cases of SMA syndrome. The reason for the development of SMA syndrome in children without weight loss is currently unexplained. However, the present case speculates that insufficient weight gain relative to height growth causes a decrease in visceral fat and predisposes children to SMA syndrome.

SMA syndrome can be managed initially with conservative therapy such as gastric decompression, electrolyte correction, and nutritional support which is an important component of conservative treatment. Psychiatric assessment is necessary for those with eating disorders. When oral feeding is not tolerated, enteral feeding can be performed through a naso-jejunal tube placed distal to the obstruction.

Parenteral nutrition may be required in order to provide sufficient nutrition. Pediatric patients with acute presentation are likely to benefit from conservative management alone. However, if conservative management fails, surgical options, including Strong’s procedure, gastrojejunostomy and duodenojejunostomy, are indicated.

A pediatric patient presenting with bilious vomiting should be presumed to have an intestinal obstruction that is a surgical emergency. An upper gastrointestinal series should be performed when intestinal malrotation is suspected. In the present case, the patient have been kept hospitalized until malrotation was ruled out and the underlying causes were identified.

Recurrent abdominal pain that resolves spontaneously within several hours, as observed in this patient, is frequently encountered in pediatric emergency care. Our case provides insight into the clinical observation. As stated above, a growth spurt is a predisposing condition for SMA syndrome, and acute consumption of food and water, which is often observed among adolescents, is identified as a trigger for the manifestation of the syndrome. These suggest that SMA syndrome might occur more frequently in such population than previously thought. In addition, the present case describes a case of SMA syndrome with a history of recurrent abdominal pain and spontaneous resolution of the symptoms, and draws attention to the fact that SMA syndrome with such presentation may be missed or misdiagnosed as functional disorders. These imply that SMA syndrome may be responsible for some of the unexplained abdominal symptoms among the pubertal group. Therefore, SMA syndrome should be considered in adolescents with recurrent abdominal symptoms.

Conclusion

  1. Rapid growth spurt is a risk factor for superior mesenteric artery (SMA) syndrome, and weight loss is not necessary for the development of the syndrome in the pediatric population.
  2. Acute and excessive ingestion of water and food can trigger a manifestation of SMA syndrome in adolescents whose visceral adipose tissue has already been depleted.
  3. A pediatric patient presenting with persistent abdominal pain and vomiting should be presumed to have an intestinal obstruction.
  4. Patients should not be sent home without ruling out surgical emergencies.
  5. It is important to consider SMA syndrome in the differential diagnosis of adolescents with recurrent abdominal symptoms.

 

Institutional Review Board Statement: Ethical review and approval were waived for this study as per the requirements of the Institutional Review Board (IRB) of Al Moosa Research Center.

Informed Consent Statement: Signed informed consent for participation and the publication of medical details was obtained from the parents of this child.

Data Availability Statement: Not Applicable.

Conflicts of Interest: The authors declare no conflict of interest.


References

1)  Salehzadeh, F., Samadi, A., & Mirzarahimi, M. (2019). Superior Mesenteric Artery Syndrome in a 6-Year-Old Girl with Final Diagnosis of Celiac Disease. Case reports in gastrointestinal medicine, 2019, 3458601. https://doi.org/10.1155/2019/3458601

2) Mosalli, R., El-Bizre, B., Farooqui, M., & Paes, B. (2011). Superior mesenteric artery syndrome: a rare cause of complete intestinal obstruction in neonates. Journal of pediatric surgery, 46(12), e29–e31. https://doi.org/10.1016/j.jpedsurg.2011.08.021

3) Biank, V., & Werlin, S. (2006). Superior mesenteric artery syndrome in children: a 20- year experience. Journal of pediatric gastroenterology and nutrition, 42(5), 522–525. https://doi.org/10.1097/01.mpg.0000221888.36501.f2

4) Okamoto, T., Sato, T., & Sasaki, Y. (2019). Superior mesenteric artery syndrome in a healthy active adolescent. BMJ case reports, 12(8), e228758. https://doi.org/10.1136/bcr- 2018-228758

5) Welsch, T., Büchler, M. W., & Kienle, P. (2007). Recalling superior mesenteric artery syndrome. Digestive surgery, 24(3), 149–156. https://doi.org/10.1159/000102097.

Figure 1

Figure 2

Figure 3

Figure 4

antarmuka fokus mahjong daya pengguna aktifaws grid serasi mahjong dasar tahapan terjagaaws jejak mekanisme mahjong arah fase lanjutanaws kajian wild berantai mahjong interaktif analitisaws kesesuaian persentase layanan mahjong seluler lanceraws pendalaman persentase mahjong gerak wild mutakhircorak langka mahjong tumbuh perlahan berubahgerak mahjong adaptasi mekanisme pemakai sekarangnalar scatter mahjong malam putaran ekstratempo mahjong kaitan mekanisme keadaan terkinialur permainan mahjong cepat scatter wilddalam hitungan detik scatter wild mahjongmenyatukan naluri pola scatter hitam mahjongmomen mahjong permainan berbalik arahmomen singkat mahjong dinamika permainanperpaduan insting pola scatter hitam momentperubahan drastis mahjong ways scatter wildscatter wild mahjong datang polasekejap berubah scatter wild mahjong wayssensasi baru mahjong lebih scatter wildenergi scatter emas irama reel mahjongevolusi reel mahjong balutan mistisintervensi cepat emas momentum lamakemunculan mendadak naga emas mahjongketika scatter naga emas aktif mahjongnaga emas muncul arah spin mahjongnaga emas ritme mahjong ways berubahrahasia rtp tinggi balik scatter hitamsaat scatter naga emas alih irama reelscatter hitam kunci lonjakan rtp mahjonge5 scatter wild memberikan sentuhan baru di setiap spin mahjong ways 2e5 scatter wild menghidupkan suasana permainan mahjong ways 2e5 scatter wild mengubah pola permainan mahjong ways 2 secara signifikane5 setiap putaran mahjong ways 2 terasa berbeda dengan scatter wilde5 strategi adaptif berbasis analisis rtp hariane5 strategi berbasis data dan algoritma untuk analisis momentume5 strategi berkembang berkat data rtp hariane5 strategi memahami algoritma untuk mengidentifikasi momentum ideale5 strategi membaca pola algoritma demi menangkap momentum optimale5 strategi modern mengandalkan evaluasi rtp hariane5 strategi responsif dengan dukungan evaluasi rtp hariane5 strategi terukur dengan analisis rtp hariane5 struktur scatter dan wild terlihat jelas berkat analisis sistem moderne5 tanpa disadari kombinasi ini sering mengarah ke scatter di mahjong wins 3e5 teknik evaluasi algoritma untuk mendapatkan momentum yang tepate5 teknik observasi sistem untuk analisis momentum yang lebih presisie5 terungkap formasi ini sering jadi awal munculnya scatter di mahjong wins 3e5 transformasi digital rtp live berkat artificial intelligence inovatife5 transformasi ritme mahjong ways 2 dipicu oleh kekuatan scatter wilde5 wajib tahu pola tersembunyi ini sering menghasilkan scattere5 applee5 bananae5 candye5 doge5 eaglee5 falcone5 geminie5 horsee5 indiae5 japananalisa pola mahjong ways rutinanalisis kinerja heuristik variansi gameanalisis pola mahjong ways hariananalisis pola mahjong ways kebiasaanera baru mahjong wins bonus optimalgebrakan bonus mahjong wins mekanisme efisieninsight pola mahjong ways rutinkajian pola mahjong ways rutinkomparasi heuristik variansi game digitalledakan bonus mahjong wins sistem efektifmahjong wins bonus sistem generasi baruobservasi pola mahjong ways harianpendekatan algoritma heuristik variansi gameperbandingan model heuristik variansi gamerahasia bonus mahjong wins sistem cerdasrangkuman pola mahjong ways harianringkasan pola mahjong ways harianstudi pola mahjong ways hariantinjauan heuristik variansi game digitaltinjauan pola mahjong ways harianalur sombol mahjong kemunculan scatterdari rtp mahjong bermain lebih efektifjejak scatter mahjong putaran tenangkejutan scatter wild simbol mahjong arahkemunculan simbol ganda membuat mahjongketika grid mahjong scatter semakin dekatketika rtp mahjong pola mulai lebih jelasketika scatter wild ritme simbol mahjongketika scatter wild titik sesi mahjong waysketika susunan simbol mahjong ritme scattermemahami rtp mahjong cara bermain lebihpergerakan simbol mahjong scatter wildpergeseran mahjong ketika scatter hadirsaat rtp mahjong terbaca baik strategisaat scatter hadir simbol mahjong bergeserscatter wild dinamika simbol mahjongstabilitas putaran mahjong pola scattersusunan baru reel mahjong scatter emassusunan mahjong wins mengandung scattersusunan simbol mahjong diam pola scatterrm menguak keunikan mahjong wins sudut pandang teknisrm cara memahami pergerakan mahjong ways tenaga ekstrarm mahjong wins standar baru industri hiburan digitalrm rahasia ketahanan mahjong ways eksis gempuran gamerm pentingnya memahami transisi level mahjong wins mendalamrm strategi mengatur tempo mahjong ways kendali permainanrm peran kecerdasan buatan mekanisme mahjong wins adilrm alasan keberhasilan mahjong ways mencuri perhatian analisrm mempelajari struktur dasar mahjong wins efisiensi putaranrm inovasi desain mahjong ways kesan bermain responsifrm teknik observasi mahjong wins jarang dibahas dampakrm cara mempertahankan fokus dinamika mahjong ways cepatrm eksplorasi fitur tersembunyi mahjong wins ritme terbaikrm mahjong ways integrasi teknologi modern keamanan nyamanrm analisis faktor pendukung mahjong wins digemari generasirm langkah efektif menyesuaikan perubahan sistem mahjong waysrm mengintip proses pengembangan mahjong wins kualitas penggunarm analisis data membantu membaca arah mahjong waysrm menemukan titik temu insting logika mahjong winsrm transformasi besar mahjong ways menghadirkan tantangan menarikmengungkap simbol langka nasib drastismisteri besar kombinasi simbol langkamisteri simbol langka keberuntungan besarsimbol langka misterius ubah hiduprahasia simbol langka nasib cepattransformasi bonus mahjong wins sistem efektifmahjong wins suguhkan bonus sistem modernsuguhan bonus efisien mahjong winsefektivitas sistem bonus mahjong winsmahjong wins hadirkan bonus sistem optimaloke76cincinbetaqua365slot gacorstc76samurai76TOBA1131samurai76 login