Esophageal Duplication Cyst Presenting as Severe Abdominal Pain.

Esophageal Duplication Cyst Presenting as Severe Abdominal Pain.

Manjakkollai P. Veerabagu, MD1*, Leila Kutob, MD2, Adam Beall, MD3, and Paul Frassinelli, MD4

 

1. AnMed, Anderson, South Carolina, Affiliate Associate Professor of Medical University of South Carolina, Division of Gastroenterology, Charleston, SC.

2. AnMed, Anderson, South Carolina, Department of Pathology.

3. Department of Surgery, AnMed, Anderson, South Carolina.

4. AnMed, Anderson, SC Assistant Professor of Medical University of South Carolina, Department of Surgery, Charleston, SC


*Correspondence to: Manjakkollai P. Veerabagu, AnMed, Anderson, South Carolina, Affiliate Associate Professor of Medical University of South Carolina, Division of Gastroenterology, Charleston, SC.


Copyright

© 2025 Manjakkollai P. Veerabagu, This is an open access article distributed under the Creative Commons Attribution License, which permits unrestricted use, distribution, and reproduction in any medium, provided the original work is properly cited.

Received: 30 Sep 2025

Published: 08 Oct 2025

DOI: https://doi.org/10.5281/zenodo.17337629


Esophageal Duplication Cyst Presenting as Severe Abdominal Pain.

Introduction

Esophageal duplication cysts are rare congenital malformations involving the foregut during early weeks of embryonic development. Most of the duplication cysts are asymptomatic. Occasionally they present with symptoms later in life. Dysphagia, food impaction, cough and chest pain are some of the clinical presentations. We present a rare case of esophageal duplication cyst presenting with severe abdominal pain.

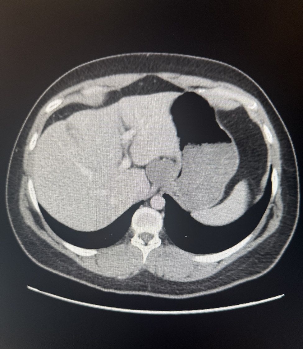
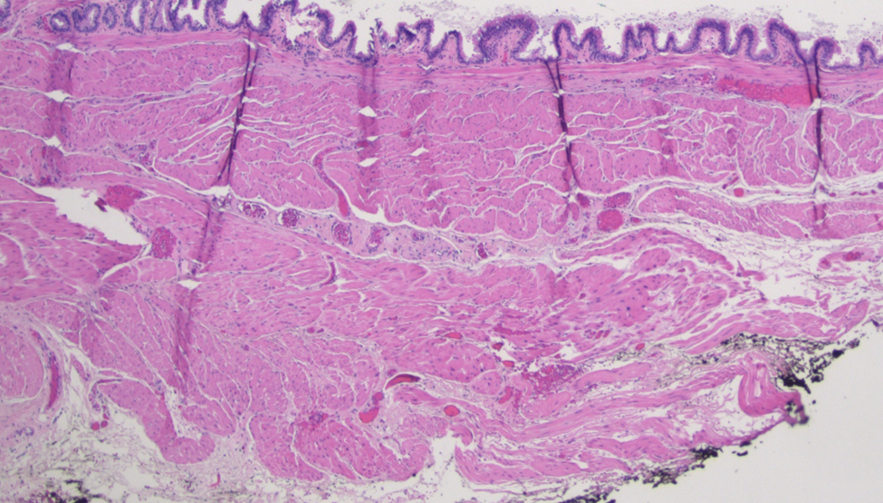
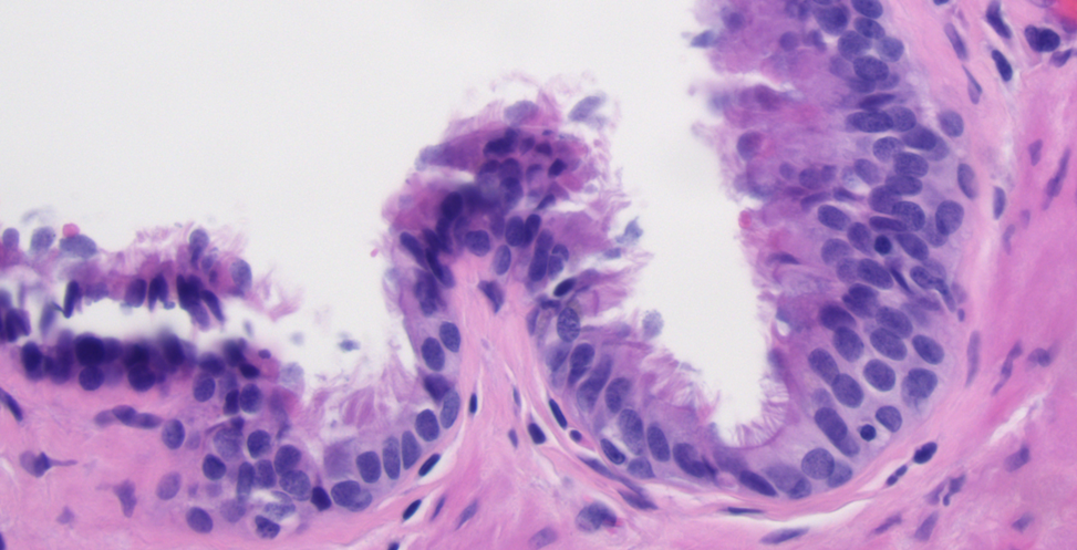
A 28-year-old healthy gentleman with no prior medical history presented to the emergency room with sudden onset of severe right upper quadrant and epigastric abdominal pain associated with nausea and vomiting. Liver enzymes and lipase were normal. CBC showed mild leukocytosis (12.24 K/microL).  Cross-sectional imaging revealed a well-circumscribed soft density lesion adjacent to the gastroesophageal junction (Fig. 1). Ultrasound evaluation did not show any cholecystitis or gall stones. Esophagogastrostomy did not show significant changes in the esophagus or in the gastroesophageal junction or in the stomach. Endoscopic ultrasound evaluation showed a well encapsulated lesion measuring 3 cm not arising from the muscularis propria of the esophagus but close to the GE junction with both liquid and solid contents (Fig. 2). Needle aspiration showed mucinous material suggesting possible esophageal duplication cyst.  Laparoscopy was performed ,revealing a pedunculated  cystic lesion at the gastroesophageal junction (Fig. 3). It was stapled at its origin, with a bougie in the esophagus to minimize the risk of narrowing the esophageal lumen (Fig. 3). Histopathological examination confirmed it was indeed an esophageal duplication cyst (Fig. 4,5 &6). The inner lining of the cyst was ciliated columnar epithelium (Fig. 4). Interestingly double layer of smooth muscle was noted (Fig. 6). Following surgical removal, the pain completely resolved and on follow up the patient was feeling completely normal.

 

Figure 1. CT scan showing the lesion adjacent to the GE junction

Figure 2. Endoscopic Ultrasound evaluation showing solid cystic lesion near GE junction

Figure 3. Laparoscopic removal of the esophageal duplication cyst

Figure 4. High power view (40 x) of an H&E stained section of the cyst lining demonstrating the ciliated columnar epithelium

Fig. 5. Low Power view (4x) of an H&E stained section of showing cystic structure with a well-developed smooth muscle layer forming the wall and lined by ciliated columnar epithelium. No cartilage identified.

Fig. 6. Another low power view (4x) of an H&E stained section of the esophageal duplication cyst demonstrating well-developed double smooth muscle layer.

 

Esophageal duplication cysts are typically asymptomatic,  but they can cause symptoms later in life, despite being congenital abnormalities. The incidence of esophageal duplication is 1 in 8200 (1). They are thought to form between 4th and 8th week of development as a result of failure of intrauterine vacuolization of the esophagus (2).  They constitute 0.5% to 2.5% of all esophageal masses (2,3). They are more common in males, with a male to female ratio of  2:1. They are often discovered incidentally on upper endoscopy evaluation seen as a submucosal bulge.  Duplication cyst should be distinguished from leiomyoma, lipoma and gastrointestinal stromal tumors (4).  If they are symptomatic, the usual symptoms are dysphagia, chest pain and cough. Our patient presented with severe upper abdominal pain. The lesion was pedunculated and we postulated that torsion or bleeding could have caused the patient’s symptoms. Symptomatic esophageal duplication cysts are removed mostly by surgery.  Some esophageal duplication cysts could be treated by endoscopic fenestration using endoscopic ultrasound but in our patient that was not possible due to its peduncular morphology and location near the GE junction (5).

 

References

1. Anderson MC, Silverman WW, Shields TW. Duplications of the alimentary tract in the adult Arch Surg 1962;85: 94-108.

2. Arbona JL, Fazzi JG, Mayoral J. Congenital esophageal cysts. Case report and review of literature. Am J Gastroenterol 1984;79: 177-82.

3. Whitakeer JA, Deffenbaugh LD, Cooke AR. Esophageal duplication cyst. Case report. Am J Gastroenterol 1980;73: 329-32

4. Bhatia V, Tajka M, Rastogi A. Upper gastrointestinal submucosal lesions-clinical and endosonographic evaluation and management. Trop Gastroenterol 2010;31: 5-29.

5. Radhika Chavan, Zaheer Nabi, Sukrit Sud et al. Advanced endoscopic techniques for esophageal duplication cyst treatment: beyond surgery. GIE 10;6:326-332.

Figure 1

Figure 2

Figure 3

Figure 4

Figure 5

Figure 6

antarmuka fokus mahjong daya pengguna aktifaws grid serasi mahjong dasar tahapan terjagaaws jejak mekanisme mahjong arah fase lanjutanaws kajian wild berantai mahjong interaktif analitisaws kesesuaian persentase layanan mahjong seluler lanceraws pendalaman persentase mahjong gerak wild mutakhircorak langka mahjong tumbuh perlahan berubahgerak mahjong adaptasi mekanisme pemakai sekarangnalar scatter mahjong malam putaran ekstratempo mahjong kaitan mekanisme keadaan terkinialur permainan mahjong cepat scatter wilddalam hitungan detik scatter wild mahjongmenyatukan naluri pola scatter hitam mahjongmomen mahjong permainan berbalik arahmomen singkat mahjong dinamika permainanperpaduan insting pola scatter hitam momentperubahan drastis mahjong ways scatter wildscatter wild mahjong datang polasekejap berubah scatter wild mahjong wayssensasi baru mahjong lebih scatter wildenergi scatter emas irama reel mahjongevolusi reel mahjong balutan mistisintervensi cepat emas momentum lamakemunculan mendadak naga emas mahjongketika scatter naga emas aktif mahjongnaga emas muncul arah spin mahjongnaga emas ritme mahjong ways berubahrahasia rtp tinggi balik scatter hitamsaat scatter naga emas alih irama reelscatter hitam kunci lonjakan rtp mahjonge5 scatter wild memberikan sentuhan baru di setiap spin mahjong ways 2e5 scatter wild menghidupkan suasana permainan mahjong ways 2e5 scatter wild mengubah pola permainan mahjong ways 2 secara signifikane5 setiap putaran mahjong ways 2 terasa berbeda dengan scatter wilde5 strategi adaptif berbasis analisis rtp hariane5 strategi berbasis data dan algoritma untuk analisis momentume5 strategi berkembang berkat data rtp hariane5 strategi memahami algoritma untuk mengidentifikasi momentum ideale5 strategi membaca pola algoritma demi menangkap momentum optimale5 strategi modern mengandalkan evaluasi rtp hariane5 strategi responsif dengan dukungan evaluasi rtp hariane5 strategi terukur dengan analisis rtp hariane5 struktur scatter dan wild terlihat jelas berkat analisis sistem moderne5 tanpa disadari kombinasi ini sering mengarah ke scatter di mahjong wins 3e5 teknik evaluasi algoritma untuk mendapatkan momentum yang tepate5 teknik observasi sistem untuk analisis momentum yang lebih presisie5 terungkap formasi ini sering jadi awal munculnya scatter di mahjong wins 3e5 transformasi digital rtp live berkat artificial intelligence inovatife5 transformasi ritme mahjong ways 2 dipicu oleh kekuatan scatter wilde5 wajib tahu pola tersembunyi ini sering menghasilkan scattere5 applee5 bananae5 candye5 doge5 eaglee5 falcone5 geminie5 horsee5 indiae5 japananalisa pola mahjong ways rutinanalisis kinerja heuristik variansi gameanalisis pola mahjong ways hariananalisis pola mahjong ways kebiasaanera baru mahjong wins bonus optimalgebrakan bonus mahjong wins mekanisme efisieninsight pola mahjong ways rutinkajian pola mahjong ways rutinkomparasi heuristik variansi game digitalledakan bonus mahjong wins sistem efektifmahjong wins bonus sistem generasi baruobservasi pola mahjong ways harianpendekatan algoritma heuristik variansi gameperbandingan model heuristik variansi gamerahasia bonus mahjong wins sistem cerdasrangkuman pola mahjong ways harianringkasan pola mahjong ways harianstudi pola mahjong ways hariantinjauan heuristik variansi game digitaltinjauan pola mahjong ways harianalur sombol mahjong kemunculan scatterdari rtp mahjong bermain lebih efektifjejak scatter mahjong putaran tenangkejutan scatter wild simbol mahjong arahkemunculan simbol ganda membuat mahjongketika grid mahjong scatter semakin dekatketika rtp mahjong pola mulai lebih jelasketika scatter wild ritme simbol mahjongketika scatter wild titik sesi mahjong waysketika susunan simbol mahjong ritme scattermemahami rtp mahjong cara bermain lebihpergerakan simbol mahjong scatter wildpergeseran mahjong ketika scatter hadirsaat rtp mahjong terbaca baik strategisaat scatter hadir simbol mahjong bergeserscatter wild dinamika simbol mahjongstabilitas putaran mahjong pola scattersusunan baru reel mahjong scatter emassusunan mahjong wins mengandung scattersusunan simbol mahjong diam pola scatterrm menguak keunikan mahjong wins sudut pandang teknisrm cara memahami pergerakan mahjong ways tenaga ekstrarm mahjong wins standar baru industri hiburan digitalrm rahasia ketahanan mahjong ways eksis gempuran gamerm pentingnya memahami transisi level mahjong wins mendalamrm strategi mengatur tempo mahjong ways kendali permainanrm peran kecerdasan buatan mekanisme mahjong wins adilrm alasan keberhasilan mahjong ways mencuri perhatian analisrm mempelajari struktur dasar mahjong wins efisiensi putaranrm inovasi desain mahjong ways kesan bermain responsifrm teknik observasi mahjong wins jarang dibahas dampakrm cara mempertahankan fokus dinamika mahjong ways cepatrm eksplorasi fitur tersembunyi mahjong wins ritme terbaikrm mahjong ways integrasi teknologi modern keamanan nyamanrm analisis faktor pendukung mahjong wins digemari generasirm langkah efektif menyesuaikan perubahan sistem mahjong waysrm mengintip proses pengembangan mahjong wins kualitas penggunarm analisis data membantu membaca arah mahjong waysrm menemukan titik temu insting logika mahjong winsrm transformasi besar mahjong ways menghadirkan tantangan menarikmengungkap simbol langka nasib drastismisteri besar kombinasi simbol langkamisteri simbol langka keberuntungan besarsimbol langka misterius ubah hiduprahasia simbol langka nasib cepattransformasi bonus mahjong wins sistem efektifmahjong wins suguhkan bonus sistem modernsuguhan bonus efisien mahjong winsefektivitas sistem bonus mahjong winsmahjong wins hadirkan bonus sistem optimaloke76cincinbetaqua365slot gacorstc76samurai76TOBA1131samurai76 login