Peroral Endoscopic Myotomy for Zenker’s Diverticulum: A Case Report.

Peroral Endoscopic Myotomy for Zenker’s Diverticulum: A Case Report.

Corey Mealer, BS1*, Dhriti Shah, BS1, Manjakkollai P. Veerabagu, MD2

 

1. Medical Student, College of Medicine; Medical University of South Carolina.

2. Affiliate Associate Professor; Medical University of South Carolina.


*Correspondence to: Corey Mealer, BS, Medical Student, College of Medicine; Medical University of South Carolina.


Copyright

© 2025 Corey Mealer, BS, This is an open access article distributed under the Creative Commons Attribution License, which permits unrestricted use, distribution, and reproduction in any medium, provided the original work is properly cited.

Received: 03 Oct 2025

Published: 13 Oct 2025

DOI: https://doi.org/10.5281/zenodo.17337663

Abstract:

Zenker’s diverticulum (ZD) is a false diverticulum involving the mucosa and submucosa of the esophagus that forms a sac-like outpouching through Killian’s triangle in the upper esophagus. Symptoms associated with this condition including halitosis, dysphagia, regurgitation, and cough, are due to food trapping, incomplete opening of the upper esophageal sphincter, and compression of the esophagus by the diverticulum. ZD was historically treated with open surgical techniques including diverticulectomy, diverticulopexy, or cricopharyngeal myotomy. However, many of these methods have significant risks of complications, so endoscopic techniques have been at the forefront of permanent ZD treatment. Zenker peroral endoscopic myotomy (Z-POEM) is a novel procedure where an endoscope is passed into the esophagus and the cricopharyngeus muscle is cut following the creation of a submucosal tunnel. Z-POEM is a less invasive, lower risk, and faster procedure than surgery with comparable or improved outcomes compared to other endoscopic procedures. This is a case of a 60-year-old female patient with dysphagia found to have a Zenker diverticulum with significant symptom improvement following Z-POEM treatment.


Peroral Endoscopic Myotomy for Zenker’s Diverticulum: A Case Report.

Case

A 60-year-old female was referred to gastroenterology for over 20 years of intermittent, solid food dysphagia, regurgitation, and odynophagia on omeprazole and famotidine which offered minimal improvement of dysphagia. She had an esophagogastroduodenoscopy (EGD) done at another institution which showed a Schatzki’s ring, benign gastric polyps, a Hill grade 3 hiatal hernia, mild gastritis, and a negative work up for H. pylori. Multiple esophageal dilations were performed in the past with minimal improvement in symptoms. She was referred to gastroenterology since her pharyngoesophageal dysphagia was getting progressively worse and was refractory to other treatment modalities.

Given the significant time elapsed since her previous evaluation, our team deemed an updated EGD appropriate. On initial introduction of EGD into the inlet, a moderate-sized, Zenker diverticulum was noted (Figure 1). The rest of the esophagus and GE junction were grossly normal. After the diagnosis of Zenker diverticulum, we discussed various options with the patient, and the shared decision was made to proceed with Zenker peroral endoscopic myotomy (Z-POEM) for the definitive treatment of her dysphagia.

Zenker peroral endoscopic myotomy was performed under general anesthesia. EGD was performed and all the food contents from the pouch were removed (Fig. 2). A guidewire was passed through the esophageal lumen for identification during procedure. Saline with methylene blue was injected along the cricopharyngeal ridge and a mucosal incision was made along the ridge using a Triangular tip knife (TTJ Olympus, America) using ENDOCUTQ current (ERBE). Submucosal dissection was done to form a tunnel using spray coagulation and the esophageal mucosa and diverticular mucosa were separated from the cricopharyngeus muscle. Then a complete cricopharyngeal myotomy was performed using the same Triangular tip knife until the buccopharyngeal fascia was reached (Fig. 4 & 5). After complete hemostasis, the mucosal incision was closed using through-the-scope clips (Microtek). A total of five clips were used for the closure (Fig. 6).

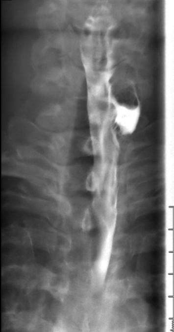
The patient remained in the hospital overnight for monitoring and received a gastrografin swallow study the following day that showed no leak was present (Figure 7). She was discharged one day following her Z-POEM procedure and advised to continue a liquid diet for three days and a soft diet until her outpatient follow-up visit in 4 weeks. A month later, in the outpatient clinic the patient reported improved dysphagia with minimal discomfort. It was recommended for the patient to trial foods prior to her next visit that she has historically avoided due to her dysphagia. She is able to eat a normal diet currently without any pain or discomfort and she has been very pleased with the outcome of her procedure thus far.

 

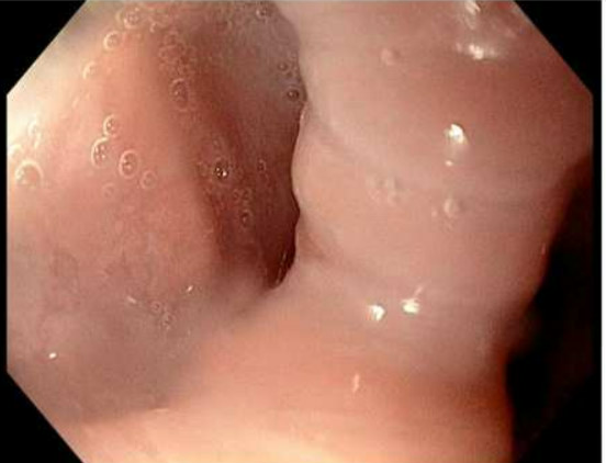
Figure 1: Pre-procedure esophagogastroduodenoscopy showing a Zenker diverticulum without luminal contents.

Figure 2: Procedural esophagogastroduodenoscopy showing a Zenker diverticulum with food and luminal contents.

Figure 3: Esophagogastroduodenoscopy of Zenker and esophagus with guidewire placed in the stomach for orientation during the procedure

Figure 4: Triangle knife extended to create the submucosal tunnel to the cricopharyngeus of the Zenker diverticulum.

Figure 5: Submucosal tunnel with complete myotomy of the cricopharyngeus.

Figure 6: Post-procedure clipping for submucosal tunnel closure.

Figure 7: Post-procedure gastrografin swallow study showing mild persistence of Zenker diverticulum without an air leak.

 


Discussion

Zenker diverticulum (ZD) is a false diverticulum that can form posteriorly in the upper esophagus involving the mucosa and submucosa of the esophagus. It forms a sac-like outpouching through Killian’s triangle, a weak area of transition between the cricopharyngeus and the inferior pharyngeal constrictor muscle. Symptoms associated with this condition, including halitosis, dysphagia, regurgitation, and cough, are primarily due to food trapping and esophageal dysfunction. Beyond these symptoms, it is important to recognize that this condition may also impair medication absorption and lead to bleeding and ulceration if oral medications become trapped within the diverticulum1. ZD is the most common upper esophageal diverticulum, but it still has a prevalence ranging from 0.01-0.11% of the population depending on the region2. ZD forms most commonly in elderly males with peak prevalence starting at 70 years of age. The etiology is still uncertain but is believed to be due to increased intraluminal pressures combined with senescence causing fibrosis, necrosis, and weakness of the upper esophageal sphincter muscles: the cricopharyngeus, the inferior pharyngeal constrictor, and the cervical fibers of the esophagus3.

ZD is typically first suspected based on clinical assessment and patient interview, but imaging is essential in forming the diagnosis. Esophagogastroduodenoscopy (EGD) and modified barium swallow study are commonly used tests for making the diagnosis of this condition. However, dynamic, continuous fluoroscopy is a better study, especially in patients with a small ZD. A sac-like protrusion should be noted in the posterior esophagus frequently filled with barium-contrast dye at the time of the study4. In asymptomatic patients with incidental ZD diagnosis, the patient can be monitored until the diverticulum increases, or they develop symptoms. There are no efficacious medications for the treatment of symptoms related to ZD. Otherwise, there are several open surgical and endoscopic approaches developed for permanent treatment of ZD.

Open surgical approaches to ZD treatment include diverticulectomy (with or without stapling), diverticulopexy, or pouch inversion. Each open approach comes with an increased risk of morbidity and longer recovery times when compared to endoscopic techniques. In open surgical procedures, an incision is made in the anterior neck with dissection down to the cricopharyngeus muscle and the diverticulum. A cricopharyngeal myotomy is performed to achieve complete septotomy, followed by either resection, inversion, or diverticulopexy of the remaining diverticular tissue5. While open surgical techniques have been used for decades to treat ZD, they have been associated with increased risks of adverse events when compared to endoscopic treatment, including bleeding, esophageal perforation, esophageal leak, infection, recurrent laryngeal nerve damage, aspiration pneumonia, and mortality6. However, the need for reoperation due to symptom recurrence is much lower in open surgical treatment options7.

Endoscopic approaches to managing ZD include flexible septotomy, rigid septotomy, and a newer approach, Zenker peroral endoscopic myotomy (Z-POEM). The transoral approaches were developed due to the high prevalence of morbidity and mortality related to open surgical approaches to ZD treatment8. Rigid septotomy is performed using a rigid diverticuloscope for visualization and transection of the septum. Flexible septotomy uses a flexible endoscope and similarly to the rigid approach, divides the septum using the endoscopists preferred method. While both approaches have decreased morbidity, procedure time, and length of hospital stay compared to open surgical approaches, studies have shown an increased rate of symptom recurrence and incidence of persistence9.

Z-POEM is a novel endoscopic approach to ZD treatment using techniques derived from third-space endoscopy for achalasia and gastroparesis called esophageal and gastric peroral endoscopic myotomy, respectively10. In the Z-POEM procedure, there is complete septotomy due to clear visualization of the cricopharyngeus from the submucosal tunnel, while both rigid and flexible septotomies are considered partial septotomies due to the mucosal incision approach providing limited visualization and transection of the cricopharyngeal muscle. This difference explains the development of the Z-POEM procedure, however the first comparison of recurrence rate outcomes and symptoms resolution using a multicenter retrospective study by Al Ghamdi et al. showed similar rates of recurrence at 12-months between flexible septotomy, rigid septotomy, and Z-POEM (9.2%, 9.1%, and 14.7%)11. In contrast, Papaefthymiou et al. reported in a multicenter cohort study that the recurrence rate for symptoms following Z-POEM was lower than for other endoscopic approaches, although the difference was not statistically significant (p = 0.5)12. Additionally, in Zhang et al, in their systematic review and meta-analysis, found that clinical success was significantly higher in the Z-POEM group compared to the flexible septotomy group13. While all of the endoscopic procedures discussed have shown improved symptom resolution, there is still substantial debate on the preferred method of permanent ZD treatment due to limited data from the novelty of Z-POEM and the low prevalence of ZD, conflicting data from what is available on recurrence rates and adverse events, and comparable clinical success among all three procedures in available studies14. Additionally, there are no randomized, controlled trials comparing different methods, so the American Society for Gastrointestinal Endoscopy currently recommends choosing ZD treatment based on the physician’s expertise and preference.

In this case report, we present an interesting case of a patient with a longstanding history of dysphagia who was incidentally found to have a moderate-sized ZD. She underwent Z-POEM, a novel procedure with promising outcomes as a common future treatment option for patients with ZD. Our patient had a short hospital stay, clinical success, and symptom improvement at 1-month following the procedure with minimal discomfort reported. Further studies are required to elucidate clear indications for the preferred method for endoscopic treatment of ZD. While endoscopic treatment methods are preferred due to lower adverse events, adequate symptom resolution, and good clinical success over open treatment methods, it is still uncertain if Z-POEM offers significant clinical benefit over other endoscopic treatments.

 

References

1. Seth, R., Scharpf, J. Medication ineffectiveness due to Zenker diverticulum in a compliant patient. Otolaryngol Head Neck Surg. 2011;145:872-873

2. Ward, M.A., Fair, L., Misenhimer, J., Esteva, S., Greenberg, I., Ogola, G., Aladegbami, B., Leeds, S.G., Kedia, P. Per-oral endoscopic myotomy is a safe and effective treatment for Zenker's diverticulum: a retrospective multicenter study. Dis Esophagus. 2023;36(12):doad041

3. Law, R., Katzka, D.A., Baron, T.H. Zenker’s Diverticulum. Clin Gastroenterol Hepatol. 2014;12(11):1773-82.

4. Jirapinyo, P., Sethi, A., Abu Dayyeh, B.K., Bhutani, M.S., Chandrasekhara, V., Kumta, N.A., Melson, J., Pannala, R., Rahimi, E.F., Trikudanathan, G., Maple, J.T., Lichtenstein, D.R. Devices and techniques for flexible endoscopic management of Zenker’s diverticulum (with videos). Gastrointest Endosc. 2021;94(1):3-13.

5. Bhatt, N.K., Mendoza, J., Kallogjeri, D., Hardi, A.C., Bradley, J.P. Comparison of Surgical Treatments for Zenker Diverticulum. JAMA Otolaryngol Head Neck Surg. 2021;147(2):190-196.

6. Uoti, S., Nurminen, N., Andersson, S., Egan, C., Tapiovaara, L., Kytö, V., Ilonen, I. Postoperative Complications and Reoperative Surgery in the Treatment of Patients With Zenker Diverticulum. JAMA Otolaryngol Head Neck Surg. 2023;149(8):690-696.

7. Albers, D.V., Kondo, A., Bernardo, W.M., Sakai, P., Moura, R.N., Silva, G.L., Ide, E., Tomishige, T., de Moura E.G. Endoscopic versus surgical approach in the treatment of Zenker's diverticulum: systematic review and meta-analysis. Endosc Int Open. 2016;4(6):E678-86.

8. Fair, L., Ward, M.A. Modern approaches to treating Zenker's diverticulum. Curr Opin Gastroenterol. 2023;39(4):333-339.

9. Dell’Anna, G., Fasulo, E., Fanizza, J., Barà, R., Vespa, E., Barchi, A., Cecinato, P., Fuccio, L., Annese, V., Malesci, A., Azzolini, F., Danese, S., & Mandarino, F. V. The Endoscopic Management of Zenker’s Diverticulum: A Comprehensive Review. Diagnostics. 2024;14(19): 2155.

10. Parsa, N., Friedel, D., Stavropoulos, S.N. POEM, GPOEM, and ZPOEM. Dig Dis Sci. 2022;67(5):1500-1520.

11. Al Ghamdi, S.S., Farha, J., Moran, R.A., Pioche, M., Moll, F., Yang, D.J., Hernández Mondragón, O.V., Ujiki, M., Wong, H., Tantau, A., Sedarat, A., Fejleh, M.P., Chang, K., Lee, D.P., Nieto, J.M., Andrawes, S., Ginsberg, G.G., Saumoy, M., Bapaye, A., Dashatwar, P., Aghaie Meybodi, M., Lopez, A.C., Sanaei, O., Yousaf, M.N., Jovani, M., Ichkhanian, Y., Brewer Gutierrez, O.I., Kumbhari, V., O'Rourke, A.K., Lentsch, E.J., Elmunzer, B.J., Khashab, M.A. Zenker's peroral endoscopic myotomy, or flexible or rigid septotomy for Zenker's diverticulum: a multicenter retrospective comparison. Endoscopy. 2022;54(4):345-351.

12. Papaefthymiou, A., Telese, A., Norton, B., Ramai, D., Tziatzios, G., Gkolfakis, P., Birchall, M., Mohammadi, B., Mughal, M., Haidry, R. Comparative effect between Zenker's peroral endoscopic myotomy and alternatives in the treatment of Zenker's diverticulum: a systematic review and meta-analysis. Dis Esophagus. 2025;38(4):doaf047.

13. Zhang, H., Huang, S., Xia, H., Shi, L., Zeng, X., Jiang, J., Ren, W., Peng, Y., Lü, M., Tang, X. The role of peroral endoscopic myotomy for Zenker's diverticulum: a systematic review and meta-analysis. Surg Endosc. 2022;36(5):2749-2759.

14. Norton, B., Siggens, K., Papaefthymiou, A., Telese, A., Duku, M., Murino, A., Johnson, G., Murray, C., Mohammadi, B., Mughal, M., Bisschops, R., Bhandari, P., Birchall, M., Haidry, R. The safety and efficacy of endoscopic approaches for the management of Zenker's diverticulum: a multicentre retrospective study. Surg Endosc. 2024;38(10):5842-5850.

Figure 1

Figure 2

Figure 3

Figure 4

Figure 5

Figure 6

Figure 7

antarmuka fokus mahjong daya pengguna aktifaws grid serasi mahjong dasar tahapan terjagaaws jejak mekanisme mahjong arah fase lanjutanaws kajian wild berantai mahjong interaktif analitisaws kesesuaian persentase layanan mahjong seluler lanceraws pendalaman persentase mahjong gerak wild mutakhircorak langka mahjong tumbuh perlahan berubahgerak mahjong adaptasi mekanisme pemakai sekarangnalar scatter mahjong malam putaran ekstratempo mahjong kaitan mekanisme keadaan terkinialur permainan mahjong cepat scatter wilddalam hitungan detik scatter wild mahjongmenyatukan naluri pola scatter hitam mahjongmomen mahjong permainan berbalik arahmomen singkat mahjong dinamika permainanperpaduan insting pola scatter hitam momentperubahan drastis mahjong ways scatter wildscatter wild mahjong datang polasekejap berubah scatter wild mahjong wayssensasi baru mahjong lebih scatter wildenergi scatter emas irama reel mahjongevolusi reel mahjong balutan mistisintervensi cepat emas momentum lamakemunculan mendadak naga emas mahjongketika scatter naga emas aktif mahjongnaga emas muncul arah spin mahjongnaga emas ritme mahjong ways berubahrahasia rtp tinggi balik scatter hitamsaat scatter naga emas alih irama reelscatter hitam kunci lonjakan rtp mahjonge5 scatter wild memberikan sentuhan baru di setiap spin mahjong ways 2e5 scatter wild menghidupkan suasana permainan mahjong ways 2e5 scatter wild mengubah pola permainan mahjong ways 2 secara signifikane5 setiap putaran mahjong ways 2 terasa berbeda dengan scatter wilde5 strategi adaptif berbasis analisis rtp hariane5 strategi berbasis data dan algoritma untuk analisis momentume5 strategi berkembang berkat data rtp hariane5 strategi memahami algoritma untuk mengidentifikasi momentum ideale5 strategi membaca pola algoritma demi menangkap momentum optimale5 strategi modern mengandalkan evaluasi rtp hariane5 strategi responsif dengan dukungan evaluasi rtp hariane5 strategi terukur dengan analisis rtp hariane5 struktur scatter dan wild terlihat jelas berkat analisis sistem moderne5 tanpa disadari kombinasi ini sering mengarah ke scatter di mahjong wins 3e5 teknik evaluasi algoritma untuk mendapatkan momentum yang tepate5 teknik observasi sistem untuk analisis momentum yang lebih presisie5 terungkap formasi ini sering jadi awal munculnya scatter di mahjong wins 3e5 transformasi digital rtp live berkat artificial intelligence inovatife5 transformasi ritme mahjong ways 2 dipicu oleh kekuatan scatter wilde5 wajib tahu pola tersembunyi ini sering menghasilkan scattere5 applee5 bananae5 candye5 doge5 eaglee5 falcone5 geminie5 horsee5 indiae5 japananalisa pola mahjong ways rutinanalisis kinerja heuristik variansi gameanalisis pola mahjong ways hariananalisis pola mahjong ways kebiasaanera baru mahjong wins bonus optimalgebrakan bonus mahjong wins mekanisme efisieninsight pola mahjong ways rutinkajian pola mahjong ways rutinkomparasi heuristik variansi game digitalledakan bonus mahjong wins sistem efektifmahjong wins bonus sistem generasi baruobservasi pola mahjong ways harianpendekatan algoritma heuristik variansi gameperbandingan model heuristik variansi gamerahasia bonus mahjong wins sistem cerdasrangkuman pola mahjong ways harianringkasan pola mahjong ways harianstudi pola mahjong ways hariantinjauan heuristik variansi game digitaltinjauan pola mahjong ways harianalur sombol mahjong kemunculan scatterdari rtp mahjong bermain lebih efektifjejak scatter mahjong putaran tenangkejutan scatter wild simbol mahjong arahkemunculan simbol ganda membuat mahjongketika grid mahjong scatter semakin dekatketika rtp mahjong pola mulai lebih jelasketika scatter wild ritme simbol mahjongketika scatter wild titik sesi mahjong waysketika susunan simbol mahjong ritme scattermemahami rtp mahjong cara bermain lebihpergerakan simbol mahjong scatter wildpergeseran mahjong ketika scatter hadirsaat rtp mahjong terbaca baik strategisaat scatter hadir simbol mahjong bergeserscatter wild dinamika simbol mahjongstabilitas putaran mahjong pola scattersusunan baru reel mahjong scatter emassusunan mahjong wins mengandung scattersusunan simbol mahjong diam pola scatterrm menguak keunikan mahjong wins sudut pandang teknisrm cara memahami pergerakan mahjong ways tenaga ekstrarm mahjong wins standar baru industri hiburan digitalrm rahasia ketahanan mahjong ways eksis gempuran gamerm pentingnya memahami transisi level mahjong wins mendalamrm strategi mengatur tempo mahjong ways kendali permainanrm peran kecerdasan buatan mekanisme mahjong wins adilrm alasan keberhasilan mahjong ways mencuri perhatian analisrm mempelajari struktur dasar mahjong wins efisiensi putaranrm inovasi desain mahjong ways kesan bermain responsifrm teknik observasi mahjong wins jarang dibahas dampakrm cara mempertahankan fokus dinamika mahjong ways cepatrm eksplorasi fitur tersembunyi mahjong wins ritme terbaikrm mahjong ways integrasi teknologi modern keamanan nyamanrm analisis faktor pendukung mahjong wins digemari generasirm langkah efektif menyesuaikan perubahan sistem mahjong waysrm mengintip proses pengembangan mahjong wins kualitas penggunarm analisis data membantu membaca arah mahjong waysrm menemukan titik temu insting logika mahjong winsrm transformasi besar mahjong ways menghadirkan tantangan menarikmengungkap simbol langka nasib drastismisteri besar kombinasi simbol langkamisteri simbol langka keberuntungan besarsimbol langka misterius ubah hiduprahasia simbol langka nasib cepattransformasi bonus mahjong wins sistem efektifmahjong wins suguhkan bonus sistem modernsuguhan bonus efisien mahjong winsefektivitas sistem bonus mahjong winsmahjong wins hadirkan bonus sistem optimaloke76cincinbetaqua365slot gacorstc76samurai76TOBA1131samurai76 login