Neonate with Subpial Hemorrhage

Neonate with Subpial Hemorrhage

Amna Kashgari, MD.*1

 

*Correspondence to: Amna Kashgari, MD, King Saud bin Abdulaziz University for Health Science KSAU-HA. Medical Imaging Department, King Abdullah Specialized children's hospital (KASCH), Ministry of National Guard Health Affairs, Riyadh, Saudi Arabia.

Copyright

© 2023: Amna Kashgari, MD. This is an open access article distributed under the Creative Commons Attribution License, which permits unrestricted use, distribution, and reproduction in any medium, provided the original work is properly cited.

Received: 16 August 2023

Published: 01 September 2023

DOI:10.1027/marpe.2023.0214


Neonate with Subpial Hemorrhage

Introduction

A full-term male newborn was born at 38 w by normal vaginal delivery. He was born with low Apgar scores of 4 and 8 at 1 and 5 minutes. He developed repeated attacks of cyanosis admitted to NICU and required intubation. He developed seizure in the second day of life.

On examination, He was hypotonic and found to have right sided cleft lip and palate. There was no history of birth trauma, however, meconium liquor was recorded. Initial investigation included neonatal metabolic screening was negative. The CBC, coagulation profile, renal and liver function tests were normal. Abnormal waves were confirmed on electroencephalography (EEG). Supportive treatment and anticonvulsants were initiated.

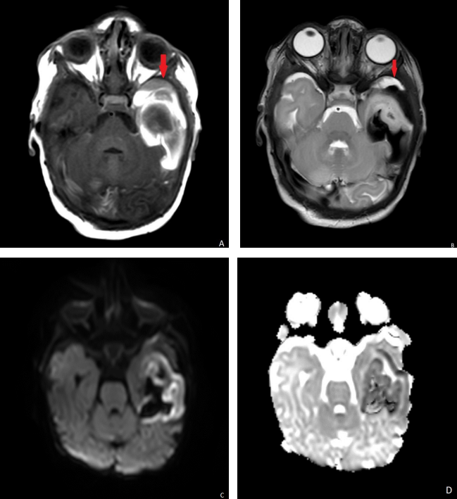
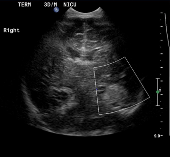
Ultrasound head showed left temporal lobe increased echogenicity with loss of normal gray-white matter differentiation with no flow on Doppler interrogation most likely represent hemorrhage. (Fig. 1). MRI scan was done on day 6 showed extra axial hemorrhage with high signal intensity on T1-weighted images and low signal intensity on T2-weighted images in the left temporal lobe opposing the underlying sulci and separate from the adjacent CSF (Fig. 2A and B). It showed mass effect on the adjacent cortex with cortical high signal intensity on T1 and T2-weighted images with evidence of diffusion restriction (Fig2 C, D). The final diagnosis was subpial hemorrhage with adjacent cortical hemorrhagic infarction.

 

Discussion

The subpial space defined as the potential space bordered externally by the pia mater and internally by the external glial limiting membrane of the neocortex. Subpial hemorrhage defined as intracranial hemorrhage subtype recently recognized because of the advancement in MRI imaging. The incident is not known yet.

The pathophysiology assumed to be related to external force is applied to the pterion of the sutures which lead to spontaneous superficial parenchymal and leptomeningeal hemorrhage with subsequent venous congestion and infarction (1)

Subpial hemorrhage could be idiopathic. Nevertheless, there are many risks factors for subpial hemorrhage including birth trauma, venous sinus thrombosis, asphyxia, clotting abnormality, and increase intracranial pressure (2,3). Some authors suggested perinatal fetal distress as a mechanism for subpial hemorrhage (4).

The clinical presentation includes neonatal seizure, seizures, encephalopathy and hypotonia.

Imaging criteria described as extra axial hemorrhage along the margin of the cerebral parenchyma extending into the cerebral sulci under the pia matter. The adjacent cortes show venous congestion or infarction in most of the cases.

The appearance of the hemorrhage described by Assis Z (1) as Yin-yang symbol with hypointense subpial hemorrhage and the underlying hyperintense cerebral cortex on T2-weighed image. The most common location of the hemorrhage is temporal lobes, followed by the frontal, parietal and occipital lobes. (5)

The clinical outcome varies according to the extent of the injury, Cole et al study showed that 44% of patients with subpial hemorrhage showed neurological deficit in follow up. (3) 

 

Reference

1. Assis Z, Kirton A, Pauranik A, Sherriff M, Wei XC. Idiopathic neonatal subpial hemorrhage with underlying cerebral infarct: imaging features and clinical outcome. Am J Neuroradiol 2021;42(1):185–93. doi:10.3174/ajnr.A6872…

2. Armstrong-Wells J, Johnston SC, Wu YW, Sidney S, Fullerton HJ. Prevalence and predictors of perinatal hemorrhagic stroke: results from the kaiser pediatric stroke study. Pediatrics. 2009;123(3):823-828.

3. Cole L, Dewey D, Letourneau N, Kaplan BJ, Chaput K, Gallagher C, et al. Clinical characteristics, risk factors, and outcomes associated with neonatal hemorrhagic stroke: a Population-Based Case-Control Study. JAMA Pediatr. 2017;171:230–238. doi: 10.1001/jamapediatrics.2016.4151.

4. Cain D, Dingman A, Armstrong J, et al. Subpial Hemorrhage of the Neonate. Stroke. 2020;51:315-318. doi: 10.1161/STROKEAHA.119.02598

5. Barreto A, Carrasco M, Dabrowski A et al. Subpial Hemorrhage in Neonates: What Radiologists Need to Know. AJR 2021; 216:1056–1065. doi.org/10.2214/AJR.20.22999..

6. Braimbridge VM, Keith IH. Oesophago-bronchial fistula in the adult. Thorax. 1965;20:226–33.

 

Figure 1

Figure 2

aws antarmuka mahjong navigasi mudah pemulaaws emosi stabil mahjong alur jernihaws inovasi pgsoft mahjong interaktif modernaws mahjong kepercayaan visual stabil pengalamanaws manajemen risiko mahjong tumbling ramaiaws pergeseran algoritma volatilitas scatter hitamaws reputasi mahjong sistem rasional konsistenaws sinkronisasi formasi ritme lucky nekoaws tata letak simbol mahjong spasialaws validasi sinyal mahjong ritme objektifbaby masuk plisberkah dari tuhancahaya menerangidoa dari tuhanpasti masuk fixcinta lama kembalicurhatan dari temanmahjong wins so seru bestiepasti bisa dongsemangat boskuevaluasi gates of olympus pola outcomeanalisis mahjong ways dinamika rtp longitudinalevaluasi mahjong ways 2 frekuensi scattermahjong wins 3 analisis scatter rtpmahjong ways perilaku rtp polaanalisis variabilitas rtp mahjong waysdistibusi simbol adaptif rtp online modernstuktur pola simbol penentui rtp onlinemengungkap mekanisme rtp slot digitalmekanisme distribusi simbol rtp kasino onlinedinamika distribusi simbol rtp stabilmengamati perubahan hasil mahjong wayspendekatan membaca hasil mahjong waysfluktuasi mahjong ways kajian polaeksplorasi mahjong ways online pola ritmeanalisis mendalam mahjong ways pola sesie5 strategi adaptif permainan berbasis data rtp hariane5 strategi cerdas permainan mengacu pada data rtp hariane5 strategi dinamis permainan dengan analisis data rtp hariane5 strategi modern yang fleksibel berlandaskan data rtp hariane5 strategi responsif permainan dengan data rtp hariane5 suguhkan bonus baru dengan sistem kerja lebih efektif mahjong wins 3e5 tabir misteri scatter dan wild terkuak berkat analisis data mendalame5 tampilkan inovasi bonus dengan pendekatan efisien dengan ai di mahjong wins 3e5 tawarkan mekanisme bonus baru yang lebih efisien di mahjong wins 3e5 transformasi sistem rtp live berkat dukungan teknologi ai modernd astagad beranid cacingd emasd fired goatd hourd jilld kold lineera baru kasino digital daya tarik utamaera baru kasino online kecerdasan buataninovasi mahjong metode terbaru praktisinovasi platform kasino digital desainkecerdasan buatan evolusi kasino digitalmahjong dilengkapi pembayaran cepat efisienmahjong pgsoft inovasi digital terbarumahjong ways pgsoft terbaru praktisoptimalisasi kasino online sistem interktifoptimalisasi sistem digital perilaku pemainpanduan mahjong ways pgsoft terbaru amanperkembangan pesar kasino online teknologiplatftom kasino online modern strukturpola rtp paling viral analisis tentang kerjanyapola rtp viral terbaru hari ini ungkap kerjanyarahasia pola rtp live viral tentang sistemnyarevolusi kasino online lebih inspiratiftransformasi cepat kasino berkat perantren viral rtp live terbaru cara baliknyaupdate rtp terbaru ahli cara kerjanyamahjong ways dingin taktik aman pemainmahjong ways pola misterius stabilmahjong ways sedang stabil versi pemainpola menentu mahjong pendekatan santaipola tidak terbaca halus bermain mahjong wayssaat pola mahjong ways cara amansantai tapi cara main mahjong waysstrategi santai pola tertebak mahjongtanpa pola jelas mahjong bermain amantanpa sinyal mahjong strategi cerdase5 pendekatan strategis fleksibel berbasis rtp hariane5 pengembangan rtp live dengan teknologi artificial intelligence terdepane5 perkenalkan bonus inovatif dengan performa optimal di mahjong wins 3e5 pola bermain adaptif dengan dukungan data rtp hariane5 pola tersembunyi scatter dan wild mulai terlihat lewat algoritmae5 rahasia di balik scatter dan wild mulai terkuak melalui analisis sisteme5 rahasia sistem scatter dan wild terungkap dari analisis terstrukture5 revolusi digital rtp live melalui teknologi ai berbasis datae5 rilis fitur bonus canggih dengan kinerja maksimal di game mahjonge5 sistem rtp live generasi baru dengan dukungan ai cerdascincinbetaqua365oke76slot gacorstc76samurai76TOBA1131samurai76 login