Mechanical Aspiration of a Heavy Thrombus in the left Anterior Descending Artery using Penumbra Aspiration Catheter

Mechanical Aspiration of a Heavy Thrombus in the left Anterior Descending Artery using Penumbra Aspiration Catheter

M. Adnan Raufi, MD FACC FSCAI *1. Ubaid Khan, MD 2, Aishwairya Prasad, MD 3,
Diaa Hakim, MD, PhD, FESC 4  

 

1. Department of Cardiology, Westchester Medical Center, Valhalla, New York, USA.

2. School of Medicine, King Edward University, Lahore, Pakistan.

3. St. Luke’s Cornwall Montefiore Hospital, Newburgh, NY USA.

4. Department of Cardiology, Brigham and Women’s Hospital, Harvard Medical School, Boston, USA.

 

*Correspondence to: M. Adnan Raufi, Department of Cardiology, Westchester Medical Center, Valhalla, New York, USA. cardia100@gmail.com

Copyright

© 2023 M. Adnan Raufi. This is an open access article distributed under the Creative Commons Attribution License, which permits unrestricted use, distribution, and reproduction in any medium, provided the original work is properly cited.

 

Received: 23 August 2023

Published: 01 September 2023

 


Mechanical Aspiration of a Heavy Thrombus in the left Anterior Descending Artery using Penumbra Aspiration Catheter

Introduction

Left anterior descending artery thrombosis is a medical emergency that requires prompt intervention to achieve the best possible clinical outcomes (1). Early recanalization of obstructed vessels and thrombectomy with subsequent stenting has been shown to be effective in restoring blood flow and improving procedural outcomes (2). However, manual aspiration thrombectomy (MAT) using a flexible aspiration catheter is also an alternative method that can be used to open blocked vessels (3). Recent advancements in aspiration catheters have improved their trackability and size, making them comparable in efficacy to SBT (4). As a result, stent-based thrombectomy (SBT) and mechanical aspiration thrombectomy have become the primary treatment options for endovascular therapy in particular cases of coronary artery disease. The concurrent utilization of SBT and MAT as first-line and fallback interventions have been demonstrated to be effective in restoring vascular recanalization (5).

Besides SBT and MAT, a new aspiration catheter device has emerged. It is a relatively new technique for treating a thrombus in LAD that involves using a specialized catheter to remove the blood clot from the culprit artery (6). This minimally invasive procedure has been shown to be faster and more effective than traditional treatments such as thrombolytic therapy or percutaneous coronary intervention (PCI) (7). Penumbra medical technology company (Penumbra Inc, Alameda, CA, USA) introduced the Aspiration System in 2014 (8). This system is specifically designed to remove blood clots from veins and arteries in the "peripheral vasculature" as well as for the treatment of "pulmonary embolism" (9). The CAT family of catheters, developed by Penumbra, is known for its robustness, trackability, and atraumatic design, making it well-suited for peripheral anatomy where a thrombus forms (10). The system comes equipped with the "Penumbra ENGINE aspiration source," which possesses the capability to administer almost untainted and consistent vacuum to catheters. This proficiency enables the extraction of thrombus in vessels of assorted dimensions.

Recently, a penumbra aspiration catheter was used in a case report to remove thrombosis in acute coronary syndrome. According to the findings presented in this case report, it can be deduced that the Penumbra CAT RX catheter represents a secure and remarkably efficient alternative for eliminating blood clots in urgent scenarios. Notably, this method mitigates the heightened vulnerability to stroke often associated with the conventional approach of manual aspiration thrombectomy (11).

Previously, penumbra reperfusion catheter and MAT have been used as a "first-line therapy," and SBT with a "Solitaire stent" as a rescue therapy since 2012. This approach showed promising results in terms of vessel recanalization and clinical outcomes (12)


Case Report

A 45-year-old male with a medical history significant for type 2 diabetes mellitus, hyperlipidemia, hypertension, and chronic heavy cigarette smoking was admitted to the hospital with a complaint of chest pain lasting for one day. Upon admission, an electrocardiogram (ECG) showed T-wave inversion in leads V1-V3, and hs-Troponin were elevated. An echocardiogram was performed, which revealed significant hypokinesia in the anteroseptal walls. A decision was made to undergo cardiac catheterization to investigate the patient's condition further.

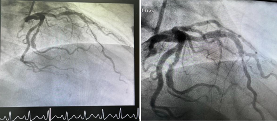
Coronary angiography showed a large caliber ectatic left anterior descending (LAD) artery, which was occluded by thrombus (Figure 1). Despite difficulties in wiring the LAD, the involved segment was successfully ballooned in an escalated fashion, restoring TIMI-3 flow. An ectatic segment that is just distal to the involved segment was also noted, which was studded with thrombus, resulting in a very hazy picture (Figure 2). Although attempts were made to aspirate the thrombus using an Export catheter (Medtronic, MN, USA), it was unsuccessful. Since the patient was symptomatically and hemodynamically stable, a decision was then made to medically manage him for the next 24-48 hours before attempting the procedure again.

The patient was started on intravenous Tirofiban and, after approximately 36 hours, was brought back to the cardiac catheterization laboratory. An improvement in the haziness of the mid-segment left anterior descending artery (LAD) picture was noted, with TIMI-3 flow remaining (Figure 3). Intravascular ultrasound (IVUS) confirmed the presence of an ectatic segment with a large amount of mobile thrombus (Figure 4).

A Penumbra aspiration catheter was used, and after multiple passes, all the thrombus was aspirated (Figure 5). Due to the size mismatch and the fact that there was no dissection, only balloon angioplasty was performed and no stent was deployed. A repeat coronary angiography (Figure 6) and IVUS image (Figure 7) demonstrated no haziness with no evidence of distal embolization.

The patient tolerated the procedure well without any complications. Due to the heavy thrombus burden, a decision was made to leave him on a triple regimen consisting of low-dose aspirin, clopidogrel, and a novel oral anticoagulant (NOAC) for one week, followed by the continuation of clopidogrel and NOAC. The patient was advised to refrain from smoking and to make lifestyle modifications, including strict control of his diabetes. The patient was seen in the clinic and reported to be doing well.

 

Figure 1: Diagnostic angiogram showing a complete occlusion of LAD.

Figure 2. Baseline Coronary Angiography showing large thrombotic lesion in the LAD (arrows)

Figure 3: Angiogram after intravenous infusion of Tirofiban with partial resolution of thrombus

Figure 4. Baseline IVUS image showing a large thrombus (yellow arrow).

Figure 5: Thrombus aspiration using Penumbra Catheter.

Figure 6: Coronary angiography post thrombectomy with complete resolution of thrombus. An ectatic segment is clearly visible.

Figure 7: Post thrombectomy IVUS image showing ectatic segment (arrow) with absence of thrombus



Discussion

This case report describes a case of a 45-year-old male patient with a medical history of type 2 diabetes, hyperlipidemia, hypertension, and chronic heavy smoking, who was admitted to the hospital with chest pain. The patient exhibited T-wave inversion in ECG leads V1-V3 and elevated hs-Troponin levels. Further evaluation revealed significant hypokinesia in the anteroseptal walls on the echocardiogram. Cardiac catheterization identified a totally occluded and ectatic left anterior descending artery with heavy load of thrombus formation.

This patient arrived in the emergency room as a late presentation which can explain the organized thrombus. Initially it was difficult to aspirate via conventional Export catheter (Medtronic, MN, USA). Despite initial challenges in thrombus removal, a subsequent procedure utilizing aspiration catheter techniques successfully resolved the thrombus burden. The patient was prescribed a triple regimen of low-dose aspirin, clopidogrel, and a novel oral anticoagulant, along with lifestyle modifications and strict diabetes control.

Coronary ectatic segments are prone to develop large amounts of thrombus. Coronary artery ectasia (CAE) or coronary artery aneurysm is the aneurysmal dilatation of the coronary artery. It is defined as a dilatation with a diameter of 1.5 times the adjacent normal coronary artery. [13]. Its prevalence ranges from 0.3%-4.7% [14]. In a study by Swaye et al, a prevalence of 4.9% was noted out of 20,087 patients from the CASS registry. The male to female ratio is 3:1 [14, 15].

It is commonly classified based on the shape and the extent of involvement of coronary arteries. Classification based on shape:

  • Saccular-transverse diameter is greater than the longitudinal dimension.
  • Fusiform-transverse diameter less than the longitudinal dimension.

 
 

Classification based on extent of involvement:

Type 1

Diffuse ectasia with aneurysmal lesions in two vessels.

Type 2

Diffuse ectasia in one vessel and discrete ectasia in another.

Type 3

Diffuse ectasia in one vessel.

Type 4

Discrete ectasia in one vessel.

 

 

The proximal and middle segments of the right coronary artery (RCA) are the most common sites for CAE (68%) followed by the proximal left anterior descending (LAD) (60%) and the left circumflex arteries (LCx) (50%). Coronary artery ectasia of the left main (LMCA) is rare and occurs in only 0.1% of the population [13, 16].

This case report presents our experience utilizing “mechanical aspiration thrombectomy” with the Penumbra CAT RX system for the management of thrombus in the left anterior descending artery (LAD). Our case demonstrated significant clinical benefit, as evidenced by a remarkable improvement in the blood flow of LAD.

The Penumbra aspiration catheter has been employed in various reported cases as well (17). In a related case series involving ST-elevation myocardial infarction (STEMI) patients, notable quantities of blood clots were observed within their respective affected blood vessels. Interestingly, half of these involved vessels were located in the right coronary artery (RCA), which interventional cardiologists speculate may be attributed to the RCA's larger caliber and slower blood flow compared to the LAD. Moreover, the RCA's fewer side branches contribute to maintaining proximal patency and limiting distal flow runoff as seen in the LAD.

In this particular case, the utilization of the “Penumbra CAT RX system” proved highly effective in removing a significant thrombus burden. Out of all the cases, only one instance was unsuccessful in achieving “TIMI 2 or 3” flow restoration. The medical team suspected that the thrombus in this specific case was likely embolic in nature, originating from “atrial fibrillation" rather than forming within the “native vessel”, which could have contributed to its difficulty in removal. Overall, this collection of cases established that mechanical thrombectomy demonstrates a favorable safety profile, as no instances of cardiovascular mortality or stroke were reported within a 30-day period. (17).

According to the literature, the technique of aspiration thrombectomy, endorsed with a class IIb recommendation, relies on evidence derived from studies involving manual aspiration thrombectomy using syringes of small volume (30 ccs) (18). However, it is important to acknowledge that manual aspiration techniques possess certain limitations. One such limitation is the diminishing efficiency of aspiration as the syringe becomes filled with fluid. This decrease in aspiration effectiveness could potentially impact the overall efficacy of the procedure and elevate the risk of systemic embolization during catheter withdrawal. These factors may help elucidate the slight rise in stroke incidence observed in previous randomized trials, such as TOTAL.) (19). Notably, the “constant vacuum” provided by the “Penumbra CAT RX system” appears to mitigate the risk of embolization (20). In our case report and other initial retrospective reports, no post-procedural strokes were reported.

Similarly, in another case report, a patient exhibited a localized blockage in the radial artery at the wrist level, accompanied by a severely atherosclerotic ulnar artery that displayed minimal detectable blood flow (21). The “ACE Penumbra catheter system (Penumbra)” was utilized to perform “suction embolectomy” on the “distal radial artery”. The successful management of this case highlights the effectiveness of the Penumbra device in such scenarios.

The efficacy of the Penumbra aspiration device in the management of ischemic stroke has already been well established (22,23). Additionally, multiple case reports have documented the successful application of Penumbra devices in the resolution of basal stent occlusion and cerebral venous thrombosis. (24). The Penumbra device presents itself as a hopeful alternative for patients who are unable to undergo surgical interventions or when thrombolysis is contraindicated or not beneficial.



Conclusion

This case report highlights the successful utilization of the Penumbra CAT RX system for mechanical aspiration thrombectomy in the management of thrombus within the left anterior descending artery. The clinical benefit observed in the dramatic improvement of the LAD supports the efficacy of aspiration thrombectomy as a treatment option. This case report adds to the growing body of evidence supporting the use of Penumbra devices in the management of complex thrombotic cases. Further studies and clinical trials are warranted to validate these findings and expand our understanding of the optimal approach for thrombus removal in coronary artery disease.


 

Reference

1. Kuipers RS, Paes AJ, Amoroso G, Riezebos RK. Thrombosis within the left anterior descending coronary artery and left ventricle after high-dose nitrous oxide use. BMJ Case Rep. 2022;15(5).

2. Seners P, Turc G, Maïer B, Mas J-L, Oppenheim C, Baron J-C. Incidence and predictors of early recanalization after intravenous thrombolysis: a systematic review and meta-analysis. Stroke. 2016;47(9):2409-12.

3. Saver JL, Goyal M, Bonafe A, Diener H-C, Levy EI, Pereira VM, et al. Stent-retriever thrombectomy after intravenous t-PA vs. t-PA alone in stroke. New England Journal of Medicine. 2015;372(24):2285-95.

4. Jankowitz B, Grandhi R, Horev A, Aghaebrahim A, Jadhav A, Linares G, et al. Primary manual aspiration thrombectomy (MAT) for acute ischemic stroke: safety, feasibility and outcomes in 112 consecutive patients. Journal of NeuroInterventional Surgery. 2015;7(1):27-31.

5. Kim YS, Kwak HS, Chung GH, Hwang SB. Manual aspiration thrombectomy using the Penumbra catheter in patients with acute M1 occlusion: A single-center study. Interv Neuroradiol. 2015;21(6):694-9.

6. Deshaies EM. Tri-axial system using the Solitaire-FR and Penumbra Aspiration Microcatheter for acute mechanical thrombectomy. Journal of Clinical Neuroscience. 2013;20(9):1303-5.

7. Hussain SI, Zaidat OO, Fitzsimmons B-FM. The Penumbra system for mechanical thrombectomy in endovascular acute ischemic stroke therapy. Neurology. 2012;79(13 Supplement 1):S135-S41.

8. Park JS, Kwak HS. Manual aspiration thrombectomy using penumbra catheter in patients with acute M2 occlusion: a single-center analysis. Journal of Korean Neurosurgical Society. 2016;59(4):352-6.

9. Fujimoto M, Tateshima S, Ali L, Raychev R, Vinuela F. Direct thrombus aspiration using the Penumbra system for the treatment of pediatric intracranial dissection. Journal of neurointerventional surgery. 2013;5(6):e43-e.

10. Byon JH, Kwak HS, Chung GH, Jang KY. Acute stroke from tumor embolus in a patient with cardiac sarcoma: Aspiration thrombectomy with Penumbra catheter. Interventional Neuroradiology. 2016;22(1):88-90.

11. Gilchrist IC, Jr., Fordham MJ, Pyo R, Reilly JP, Chen O. Mechanical Aspiration Thrombectomy Using the Penumbra CAT RX System for Patients Presenting With Acute Coronary Syndrome. Cardiovasc Revasc Med. 2022;40s:316-21.

12. Turk AS, Frei D, Fiorella D, Mocco J, Baxter B, Siddiqui A, et al. ADAPT FAST study: a direct aspiration first pass technique for acute stroke thrombectomy. Journal of neurointerventional surgery. 2018;10(Suppl 1):i4-i7.

13. Swaye P.S., Fisher L.D., Litwin P., et al. Aneurysmal coronary artery disease. Circulation. 1983;67(1):134–138.

14. Hartnell G.G., Parnell B.M., Pridie R.B. Coronary artery ectasia. Its prevalence and clinical significance in 4993 patients. Br. Heart J. 1985;54(4):392–395.

15. Markis J.E., Joffe C.D., Cohn P.F., Feen D.J., Herman M.V., Gorlin R. Clinical significance of coronary arterial ectasia. Am. J. Cardiol. 1976;37(2):217–222.

16. Elahi M.M., Dhannapuneni R.V., Keal R. Giant left main coronary artery aneurysm with mitral regurgitation. Heart. 2004;90(12):1430.

17. Gilchrist IC, Fordham MJ, Pyo R, Reilly JP, Chen O. Mechanical Aspiration Thrombectomy Using the Penumbra CAT RX System for Patients Presenting With Acute Coronary Syndrome. Cardiovascular Revascularization Medicine. 2022;40:316-21.

18. Turk AS, Siddiqui A, Fifi JT, De Leacy RA, Fiorella DJ, Gu E, et al. Aspiration thrombectomy versus stent retriever thrombectomy as first-line approach for large vessel occlusion (COMPASS): a multicentre, randomised, open label, blinded outcome, non-inferiority trial. The Lancet. 2019;393(10175):998-1008.

 19. Elgendy IY, Huo T, Bhatt DL, Bavry AA. Is aspiration thrombectomy beneficial in patients undergoing primary percutaneous coronary intervention? Meta-analysis of randomized trials. Circulation: Cardiovascular Interventions. 2015;8(7):e002258.

20. Sagheer S, Prejean S, Litovsky S, Watts T, Von Mering G, Eudailey K, et al. Successful Mechanical Aspiration of Embolized Vessel Fragment During TAVR With Penumbra Indigo Cat Rx Catheter. The Journal of Invasive Cardiology. 2021;33(4):E315-E.

21. Oklu R, Ghasemi-Rad M, Irani Z, Brinegar KN, Toner E, Hirsch JA. Aspiration thrombectomy using the penumbra catheter. Journal of Vascular and Interventional Radiology. 2015;26(3):454-5.

22. Kim Y-W, Hwang Y-H, Kim Y-S, Kang D-H. Frontline contact aspiration thrombectomy using Sofia catheter for acute ischemic stroke: period-to-period comparison with penumbra catheter. Acta Neurochirurgica. 2019;161:1197-204.

23. Yoo AJ, Frei D, Tateshima S, Turk AS, Hui FK, Brook AL, et al. The penumbra stroke system: a technical review. Journal of neurointerventional surgery. 2012;4(3):199-205.

24. Sandhaus M, Hiltner E, Shukla A, Sethi A. A NOVEL APPROACH TO AN ACUTE WATCHMAN DEVICE RELATED THROMBUS WITH PENUMBRA ASPIRATION CATHETER. Journal of the American College of Cardiology. 2023;81(8_Supplement)

 

 

Figure 1

Figure 2

Figure 3

Figure 4

Figure 5

Figure 6

Figure 7

antarmuka fokus mahjong daya pengguna aktifaws grid serasi mahjong dasar tahapan terjagaaws jejak mekanisme mahjong arah fase lanjutanaws kajian wild berantai mahjong interaktif analitisaws kesesuaian persentase layanan mahjong seluler lanceraws pendalaman persentase mahjong gerak wild mutakhircorak langka mahjong tumbuh perlahan berubahgerak mahjong adaptasi mekanisme pemakai sekarangnalar scatter mahjong malam putaran ekstratempo mahjong kaitan mekanisme keadaan terkinialur permainan mahjong cepat scatter wilddalam hitungan detik scatter wild mahjongmenyatukan naluri pola scatter hitam mahjongmomen mahjong permainan berbalik arahmomen singkat mahjong dinamika permainanperpaduan insting pola scatter hitam momentperubahan drastis mahjong ways scatter wildscatter wild mahjong datang polasekejap berubah scatter wild mahjong wayssensasi baru mahjong lebih scatter wildenergi scatter emas irama reel mahjongevolusi reel mahjong balutan mistisintervensi cepat emas momentum lamakemunculan mendadak naga emas mahjongketika scatter naga emas aktif mahjongnaga emas muncul arah spin mahjongnaga emas ritme mahjong ways berubahrahasia rtp tinggi balik scatter hitamsaat scatter naga emas alih irama reelscatter hitam kunci lonjakan rtp mahjonge5 scatter wild memberikan sentuhan baru di setiap spin mahjong ways 2e5 scatter wild menghidupkan suasana permainan mahjong ways 2e5 scatter wild mengubah pola permainan mahjong ways 2 secara signifikane5 setiap putaran mahjong ways 2 terasa berbeda dengan scatter wilde5 strategi adaptif berbasis analisis rtp hariane5 strategi berbasis data dan algoritma untuk analisis momentume5 strategi berkembang berkat data rtp hariane5 strategi memahami algoritma untuk mengidentifikasi momentum ideale5 strategi membaca pola algoritma demi menangkap momentum optimale5 strategi modern mengandalkan evaluasi rtp hariane5 strategi responsif dengan dukungan evaluasi rtp hariane5 strategi terukur dengan analisis rtp hariane5 struktur scatter dan wild terlihat jelas berkat analisis sistem moderne5 tanpa disadari kombinasi ini sering mengarah ke scatter di mahjong wins 3e5 teknik evaluasi algoritma untuk mendapatkan momentum yang tepate5 teknik observasi sistem untuk analisis momentum yang lebih presisie5 terungkap formasi ini sering jadi awal munculnya scatter di mahjong wins 3e5 transformasi digital rtp live berkat artificial intelligence inovatife5 transformasi ritme mahjong ways 2 dipicu oleh kekuatan scatter wilde5 wajib tahu pola tersembunyi ini sering menghasilkan scattere5 applee5 bananae5 candye5 doge5 eaglee5 falcone5 geminie5 horsee5 indiae5 japananalisa pola mahjong ways rutinanalisis kinerja heuristik variansi gameanalisis pola mahjong ways hariananalisis pola mahjong ways kebiasaanera baru mahjong wins bonus optimalgebrakan bonus mahjong wins mekanisme efisieninsight pola mahjong ways rutinkajian pola mahjong ways rutinkomparasi heuristik variansi game digitalledakan bonus mahjong wins sistem efektifmahjong wins bonus sistem generasi baruobservasi pola mahjong ways harianpendekatan algoritma heuristik variansi gameperbandingan model heuristik variansi gamerahasia bonus mahjong wins sistem cerdasrangkuman pola mahjong ways harianringkasan pola mahjong ways harianstudi pola mahjong ways hariantinjauan heuristik variansi game digitaltinjauan pola mahjong ways harianalur sombol mahjong kemunculan scatterdari rtp mahjong bermain lebih efektifjejak scatter mahjong putaran tenangkejutan scatter wild simbol mahjong arahkemunculan simbol ganda membuat mahjongketika grid mahjong scatter semakin dekatketika rtp mahjong pola mulai lebih jelasketika scatter wild ritme simbol mahjongketika scatter wild titik sesi mahjong waysketika susunan simbol mahjong ritme scattermemahami rtp mahjong cara bermain lebihpergerakan simbol mahjong scatter wildpergeseran mahjong ketika scatter hadirsaat rtp mahjong terbaca baik strategisaat scatter hadir simbol mahjong bergeserscatter wild dinamika simbol mahjongstabilitas putaran mahjong pola scattersusunan baru reel mahjong scatter emassusunan mahjong wins mengandung scattersusunan simbol mahjong diam pola scatterrm menguak keunikan mahjong wins sudut pandang teknisrm cara memahami pergerakan mahjong ways tenaga ekstrarm mahjong wins standar baru industri hiburan digitalrm rahasia ketahanan mahjong ways eksis gempuran gamerm pentingnya memahami transisi level mahjong wins mendalamrm strategi mengatur tempo mahjong ways kendali permainanrm peran kecerdasan buatan mekanisme mahjong wins adilrm alasan keberhasilan mahjong ways mencuri perhatian analisrm mempelajari struktur dasar mahjong wins efisiensi putaranrm inovasi desain mahjong ways kesan bermain responsifrm teknik observasi mahjong wins jarang dibahas dampakrm cara mempertahankan fokus dinamika mahjong ways cepatrm eksplorasi fitur tersembunyi mahjong wins ritme terbaikrm mahjong ways integrasi teknologi modern keamanan nyamanrm analisis faktor pendukung mahjong wins digemari generasirm langkah efektif menyesuaikan perubahan sistem mahjong waysrm mengintip proses pengembangan mahjong wins kualitas penggunarm analisis data membantu membaca arah mahjong waysrm menemukan titik temu insting logika mahjong winsrm transformasi besar mahjong ways menghadirkan tantangan menarikmengungkap simbol langka nasib drastismisteri besar kombinasi simbol langkamisteri simbol langka keberuntungan besarsimbol langka misterius ubah hiduprahasia simbol langka nasib cepattransformasi bonus mahjong wins sistem efektifmahjong wins suguhkan bonus sistem modernsuguhan bonus efisien mahjong winsefektivitas sistem bonus mahjong winsmahjong wins hadirkan bonus sistem optimaloke76cincinbetaqua365slot gacorstc76samurai76TOBA1131samurai76 login