Malignant Transformation of a Desmoplastic Fibroma into an Osteosarcoma with A Fibroblastic Growth Pattern

Malignant Transformation of a Desmoplastic Fibroma into an Osteosarcoma with A Fibroblastic Growth Pattern

Florian Packmor*

*Correspondence to: Florian Packmor.

Copyright

© 2023 Florian Packmor. This is an open access article distributed under the Creative Commons Attribution License, which permits unrestricted use, distribution, and reproduction in any medium, provided the original work is properly cited.

Received: 20 October 2023

Published: 03 November 2023

Abstract

Osteosarcoma is a highly malignant mesenchymal tumor characterized by the production of osteoid and is the most common malignant tumor of the skeletal system with an estimated incidence of six diseases per million inhabitants per year.

5–13% of all osteosarcomas occur in the maxillofacial region, of which approximately 79% manifest as high-grade osteosarcomas. Based on the bone volume of the jawbone, which accounts for approximately 0.86% of the total skeleton, jaw osteosarcomas (KOS) occur ten times more frequently than osteosarcomas of the remaining skeleton (SOS). The peak age of KOS is in the third to fourth decade of life and therefore one to two decades later than that of SOS. Males are affected by KOS slightly more often than females (ratio 1.2:1), while their distribution across the mandible and maxilla is approximately balanced. Depending on the histological pattern - in particular the ratio of tumor osteoid and remaining tumor tissue - a division into osteoblastic, chondroblastic, fibroblastic and histiocytic subtypes is possible. Despite having the same histology as SOS, KOS show clear differences in biological behavior, which has far-reaching consequences for their clinical appearance as well as for their therapy and prognosis.


Malignant Transformation of a Desmoplastic Fibroma into an Osteosarcoma with A Fibroblastic Growth Pattern

Patient Case

We describe the case report of a 43-year-old patient who was undergoing for a total count of 12 surgical interventions of the previously known osteosarcoma in the lower jaw over a period of 21 years.

In 1988, the patient was diagnosed with an ossifying fibroma in the lower left jaw as an incidental finding. In 1989 a fibroma in the lower jaw was removed. In 1993, a recurrent fibroma in region 36 to 43 was removed. A new recurrence in 1994 was removed by a mandibular box resection. In 1997, a recurrence was removed and a G3 jaw sarcoma was diagnosed for the first time in histology. In 2001 there was a recurrence in the soft tissues, which was described as soft tissue sarcoma G1. In 2004, a recurrence in the glossoalveolar sulcus was described as osteosarcoma (G1) with a fibroblastic growth pattern. This recurred in the anterior right floor of the mouth in 2005 and in the same location in 2006. In 2007 there was a recurrence in the lower left jaw region 31 to 47. Finally, there was another recurrence in the right cheek in 2011. The sarcoma was radically resected several times, resulting in a lower jaw continuity resection with replacement of the defect using fibula, scapula and iliac crest bone.

Fig-1:Juni 1993:  CT:  suspected tumor recurrence ossyfying fibroma left jaw

Fig 2: September 1993:  suspected recurrence regio 36-43: enucleation, anterograde root tip resection front lower jaw, filling with AAA-Bone: histology: desmoplastic fibroma

Fig 3:1994/04 suspected recurrence: crate-resection of the lower jaw, tooth extraction 44,45,46: histology: desmoplastic fibroma

Fig 4: Oktober 1994: augmentation both sides of the lower jaw with iliac crest bone

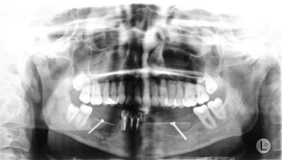
Fig 5:Juni 1997: resection of the lower jaw regio 46-37, plate for reconstruction, AAA-bone histology: ossyfying fibroma turned into osteosarkoma grade III, resection non in sano

Fig 6: März 1998: reconstruction of the lower jaw with vascular stalked fibula from left side

Fig 7: Oktober 2005: trial excision, suspected recurrence fibrosarcoma right lower jaw

Fig 8: 2001/12: recurrence fibrosarcoma, anterior resection floor of mouth, histology: fibromatosis with highly differentiated soft tissue sarcoma (G1)

 

Discussion

Although there are many subtypes of osteosarcomas, three broad categories are most commonly recognized: osteoblastic (50%), chrondroblastic (25%), and fibroblastic (25%) [1]. In most cases, the lower jaw is affected in the head and neck area (KOS). In contrast, there is osteosarcoma, which does not manifest itself in the lower jaw and is more likely to occur in older patients. The majority of lesions show chondroblastic changes. Overall, these patients have a better prognosis and hematogenous spread is the exception [1]. Some patients with KOS have a previous exposure to radiation therapy or Paget's disease. Mortality correlates with local spread, with Batsakis [2] reporting that a third of patients have already developed distant metastases at the time of diagnosis.

The question of multicentric osteosarcoma (osteosarcomatosis), as in the present case, has been discussed for many years [3, 4]. Two forms were recognized: synchronous- representative of multiple foci of the tumor within 5 months of presentation; or metachronous – multiple foci more than 5 months after presentation [3, 4]. There is currently no general agreement, but in all multicentric osteosarcomas an underlying disease that has formed metastases should be clarified [5]. In multicentric osteosarcomas, it should be taken into account that some patients develop lung metastases within 5 months of initial presentation. Usually there is a single, "dominant" lesion. This usually quickly leads to the death of the patient [4]. The more common cases of osteosarcomas of the jaw are low-grade osteosarcomas. These tend to spread locally, albeit very late [1, 2]. Local resection, usually by hemimandibulectomy, is the treatment of choice. In most cases, there is a latency period of one month from the suspected diagnosis to confirmation of this and the following therapy.

There are individual case reports in which chewing tobacco was described as a possible cause of the tumor development. The best assessment that can be offered is that the dysplastic changes developed as a result of the underlying glandular neoplasms.

The transformation of a fibroma in the lower jaw, in this case a desmoplastic fibroma, into an osteosarcoma has been described in a few individual case reports[4]. The authors unanimously come to the conclusion that the reason for the transformation of the cells is still unclear.

 

Conclusion 

In the case of osteosarcoma of the lower jaw, primary uncompromising resection should be attempted as early as possible in the disease process with a safety margin of at least 0.5 cm. Radical surgery can achieve 5-year survival rates of up to 80%. Due to the different biological behavior, adjuvant or neoadjuvant chemotherapy is of much less importance than in osteosarcomas of the rest of the skeleton; its benefit appears questionable. In order to confirm the diagnosis, which can sometimes be difficult to make, and to record cases centrally, the resected specimens or their histopathological specimens should always be forwarded to the appropriate bone tumor reference center.


References

1. Kramer IRH, Pindborg JJ, Shear M. Histological typing of odontogenic tumours. Berlin:Springer-Verlag, 1992.

2. Altini M, Thompson SH, Lownie JF, Berezowski BB. Ameloblastic sarcoma of the mandible. J Oral Maxillofac Surg 1985; 43: 789–94.

3. Takeda Y, Kaneko R, Suzuki A. Ameloblastic fibrosarcoma in the maxilla, malignant transformation of ameloblastic fibroma. Virchows Arch A 1984; 404: 253–63.

4. Howell RM, Burkes EJ. Malignant transformation of ameloblastic fibroodontoma to ameloblastic fibrosarcoma. Oral Surg Oral Med Oral Pathol 1977; 43: 391–401.

5. Muller S, Parker DC, Kapadia SB, Budnick SD, Barnes EL. Ameloblastic fibrosarcoma of the jaws. Oral Surg Oral Med Oral Pathol Oral Radiol Endod 1995; 79: 469–77.

Figure 1

Figure 2

Figure 3

Figure 4

Figure 5

Figure 6

Figure 7

Figure 8

antarmuka fokus mahjong daya pengguna aktifaws grid serasi mahjong dasar tahapan terjagaaws jejak mekanisme mahjong arah fase lanjutanaws kajian wild berantai mahjong interaktif analitisaws kesesuaian persentase layanan mahjong seluler lanceraws pendalaman persentase mahjong gerak wild mutakhircorak langka mahjong tumbuh perlahan berubahgerak mahjong adaptasi mekanisme pemakai sekarangnalar scatter mahjong malam putaran ekstratempo mahjong kaitan mekanisme keadaan terkinialur permainan mahjong cepat scatter wilddalam hitungan detik scatter wild mahjongmenyatukan naluri pola scatter hitam mahjongmomen mahjong permainan berbalik arahmomen singkat mahjong dinamika permainanperpaduan insting pola scatter hitam momentperubahan drastis mahjong ways scatter wildscatter wild mahjong datang polasekejap berubah scatter wild mahjong wayssensasi baru mahjong lebih scatter wildenergi scatter emas irama reel mahjongevolusi reel mahjong balutan mistisintervensi cepat emas momentum lamakemunculan mendadak naga emas mahjongketika scatter naga emas aktif mahjongnaga emas muncul arah spin mahjongnaga emas ritme mahjong ways berubahrahasia rtp tinggi balik scatter hitamsaat scatter naga emas alih irama reelscatter hitam kunci lonjakan rtp mahjonge5 scatter wild memberikan sentuhan baru di setiap spin mahjong ways 2e5 scatter wild menghidupkan suasana permainan mahjong ways 2e5 scatter wild mengubah pola permainan mahjong ways 2 secara signifikane5 setiap putaran mahjong ways 2 terasa berbeda dengan scatter wilde5 strategi adaptif berbasis analisis rtp hariane5 strategi berbasis data dan algoritma untuk analisis momentume5 strategi berkembang berkat data rtp hariane5 strategi memahami algoritma untuk mengidentifikasi momentum ideale5 strategi membaca pola algoritma demi menangkap momentum optimale5 strategi modern mengandalkan evaluasi rtp hariane5 strategi responsif dengan dukungan evaluasi rtp hariane5 strategi terukur dengan analisis rtp hariane5 struktur scatter dan wild terlihat jelas berkat analisis sistem moderne5 tanpa disadari kombinasi ini sering mengarah ke scatter di mahjong wins 3e5 teknik evaluasi algoritma untuk mendapatkan momentum yang tepate5 teknik observasi sistem untuk analisis momentum yang lebih presisie5 terungkap formasi ini sering jadi awal munculnya scatter di mahjong wins 3e5 transformasi digital rtp live berkat artificial intelligence inovatife5 transformasi ritme mahjong ways 2 dipicu oleh kekuatan scatter wilde5 wajib tahu pola tersembunyi ini sering menghasilkan scattere5 applee5 bananae5 candye5 doge5 eaglee5 falcone5 geminie5 horsee5 indiae5 japananalisa pola mahjong ways rutinanalisis kinerja heuristik variansi gameanalisis pola mahjong ways hariananalisis pola mahjong ways kebiasaanera baru mahjong wins bonus optimalgebrakan bonus mahjong wins mekanisme efisieninsight pola mahjong ways rutinkajian pola mahjong ways rutinkomparasi heuristik variansi game digitalledakan bonus mahjong wins sistem efektifmahjong wins bonus sistem generasi baruobservasi pola mahjong ways harianpendekatan algoritma heuristik variansi gameperbandingan model heuristik variansi gamerahasia bonus mahjong wins sistem cerdasrangkuman pola mahjong ways harianringkasan pola mahjong ways harianstudi pola mahjong ways hariantinjauan heuristik variansi game digitaltinjauan pola mahjong ways harianalur sombol mahjong kemunculan scatterdari rtp mahjong bermain lebih efektifjejak scatter mahjong putaran tenangkejutan scatter wild simbol mahjong arahkemunculan simbol ganda membuat mahjongketika grid mahjong scatter semakin dekatketika rtp mahjong pola mulai lebih jelasketika scatter wild ritme simbol mahjongketika scatter wild titik sesi mahjong waysketika susunan simbol mahjong ritme scattermemahami rtp mahjong cara bermain lebihpergerakan simbol mahjong scatter wildpergeseran mahjong ketika scatter hadirsaat rtp mahjong terbaca baik strategisaat scatter hadir simbol mahjong bergeserscatter wild dinamika simbol mahjongstabilitas putaran mahjong pola scattersusunan baru reel mahjong scatter emassusunan mahjong wins mengandung scattersusunan simbol mahjong diam pola scatterrm menguak keunikan mahjong wins sudut pandang teknisrm cara memahami pergerakan mahjong ways tenaga ekstrarm mahjong wins standar baru industri hiburan digitalrm rahasia ketahanan mahjong ways eksis gempuran gamerm pentingnya memahami transisi level mahjong wins mendalamrm strategi mengatur tempo mahjong ways kendali permainanrm peran kecerdasan buatan mekanisme mahjong wins adilrm alasan keberhasilan mahjong ways mencuri perhatian analisrm mempelajari struktur dasar mahjong wins efisiensi putaranrm inovasi desain mahjong ways kesan bermain responsifrm teknik observasi mahjong wins jarang dibahas dampakrm cara mempertahankan fokus dinamika mahjong ways cepatrm eksplorasi fitur tersembunyi mahjong wins ritme terbaikrm mahjong ways integrasi teknologi modern keamanan nyamanrm analisis faktor pendukung mahjong wins digemari generasirm langkah efektif menyesuaikan perubahan sistem mahjong waysrm mengintip proses pengembangan mahjong wins kualitas penggunarm analisis data membantu membaca arah mahjong waysrm menemukan titik temu insting logika mahjong winsrm transformasi besar mahjong ways menghadirkan tantangan menarikmengungkap simbol langka nasib drastismisteri besar kombinasi simbol langkamisteri simbol langka keberuntungan besarsimbol langka misterius ubah hiduprahasia simbol langka nasib cepattransformasi bonus mahjong wins sistem efektifmahjong wins suguhkan bonus sistem modernsuguhan bonus efisien mahjong winsefektivitas sistem bonus mahjong winsmahjong wins hadirkan bonus sistem optimaloke76cincinbetaqua365slot gacorstc76samurai76TOBA1131samurai76 login