Pediatric Oral Malignancies of Mesenchymal Origin: Report of Two Cases and Literature Review

Pediatric Oral Malignancies of Mesenchymal Origin: Report of Two Cases and Literature Review

Dr. Hirkani Attarde MDS 1,Dr. Harshal Suryavanshi MDS 2 , Dr. Gokul Sridharan MDS *3

1. Professor, Dept of Oral and Maxillofacial Surgery, Dr. G. D. Pol Foundation YMT Dental College and Hospital, Kharghar, Navi Mumbai-410210, India.

2. Associate  Professor, Dept of Oral and Maxillofacial Surgery, Dr. G. D. Pol Foundation YMT Dental College and Hospital, Kharghar, Navi Mumbai-410210, India.

3. Professor, Dept. of Oral Pathology and Microbiology, Dr. G. D. Pol Foundation YMT Dental College and Hospital, Kharghar, Navi Mumbai-410210, India.

*Correspondence to: Dr. Gokul Sridharan MDS, PhD, PGD (Medical Law and Ethics) Professor, Dept. of Oral Pathology and Microbiology, Dr. G. D. Pol Foundation YMT Dental College and Hospital, Kharghar, Navi Mumbai-410210, India.

Copyright

© 2023 Dr. Gokul Sridharan. This is an open access article distributed under the Creative Commons Attribution License, which permits unrestricted use, distribution, and reproduction in any medium, provided the original work is properly cited.

Received: 20 November 2023

Published: 30 November 2023


Abstract

Oral pediatric malignancies are associated with diagnostic dilemmas and difficulties with respect to treatment and local control measures. Early detection and treatment are a pre-requisite to avoid significant morbidity and also improve the quality of life. The aim of this presentation is to report 2 cases of oral malignancies in a pediatric population which required a comprehensive clinical, imaging and microscopic assessment for accurate diagnosis and subsequent management.

Keywords: Pediatric malignancies, Oral cavity, Sarcoma.


Pediatric Oral Malignancies of Mesenchymal Origin: Report of Two Cases and Literature Review

Introduction

Pediatric neoplasms of oral and maxillofacial region constitute a minor proportion of head and neck tumors but are associated with diagnostic dilemmas and difficulties with respect to treatment and local control measures. While cysts and tumors of odontogenic origin generally account for most of these lesions, emphasis should also be given to the non-odontogenic lesions that may affect the various parts of oral mucosa. Pediatric neoplasms could either be congenital or develop later in course of life and may include hamartomas, benign neoplasms and malignancies such as sarcomas. These neoplasms, especially if malignant pose difficulties in diagnosis and subsequent management thereby needing a comprehensive clinical, imaging and histopathological assessment for accurate diagnosis.

Cancer in children and adolescents represents a group of diseases considered rare, with an incidence of 0.01% in the age range of 0–19 years in developed countries and when compared to adult malignancies, it corresponds to 2–3% of all malignant tumors.1 Malignant lesions of the oral cavity constitute a small proportion of all oral lesions in children and mainly include lymphomas (especially Burkitt) and sarcomas such as rhabdomyosarcoma, osteosarcoma and fibrosarcoma.2 In addition, mucoepidermoid carcinomas of the oral cavity have rarely been reported in the pediatric and adolescent age groups. Generally most tumors have a low or intermediate grade and are often cured with surgery alone.3

Early detection and treatment are a pre-requisite to avoid significant morbidity and also improve the quality of life. The dynamic growth and development that is seen through the adolescence period should also be taken in consideration while determining the treatment plan. The aim of this presentation is to report 2 cases of oral malignancies in a pediatric population which required a comprehensive clinical, imaging and microscopic assessment for accurate diagnosis and subsequent management.


Case Report

Fig 1: Aggressive soft tissue growth in the posterior mandibular region with displacement of involved teeth.

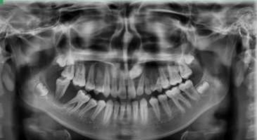
Fig 2: OPG showing large ill-defined expansile osteolytic lesion in relation to 46-48 region

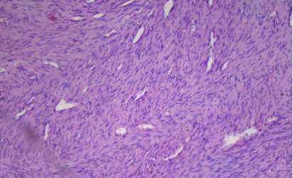
Figure 3: Photomicrograph (10x) showing spindle shaped neoplastic cells in interlacing fascicular arrangement

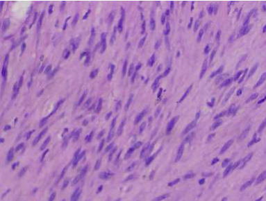
Figure 4: Photomicrograph (40x) showing spindle shaped malignant cells and elongated nuclei with round ends.

Figure 5: ulcerative lesion of the right posterior region of the jaw

Figure 6: solitary large ill-defined expansile osteolytic lesion of mixed density in the right body and ramus of the mandible

Figure 7: Sheets of malignant tumor cells separated by fibrous connective tissue septae and eosinophilic areas resembling tumor osteoid surrounded by malignant osteoblasts.

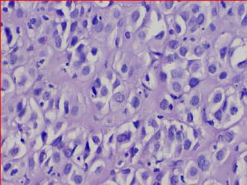
Figure 8: Clear cells- round to oval in shape with vesicular nuclei and clear cytoplasm with some binucleation resembling chondroid like areas

 

Case 1:

A 13- year old male patient presented with a painless rapidly enlarging growth of the right posterior region of jaw since 2 months. Intra-oral examination revealed a firm, non-tender reddish soft tissue mass in the right posterior mandibular region extending anteriorly from 45 to retromolar region posteriorly involving the buccal and lingual mandibular gingiva. Inferiorly the lesion extended till the floor of the mouth causing displacement of the tongue along with displacement of the associated teeth (Fig 1). Radiographically, an ill-defined osteolytic lesion of the right posterior mandible with buccal and lingual cortical plate expansion was noted (Fig 2).

Incisional biopsy was performed which revealed a highly cellular connective tissue stroma composed of atypical spindle shaped cells arranged in streaming and interlacing fascicles interspersed with hypocellular and myxoid areas. The tumor cells were characterized by elongated spindle shaped nuclei with rounded ends and indistinct cytoplasm (Fig 3 & 4). Malignant spindle cell tumor was considered as the diagnosis with differential diagnosis of leiomyosarcoma and malignant peripheral nerve sheath tumor. Immunohistochemical analysis of the lesional tissue showed positive staining for α- SMA and vimentin while being negative for S-100 and neuron specific enolase. Based on the findings, the final diagnosis was leiomyosarcoma. The patient was advised surgical management of hemimandibulectomy and referred to higher centre for further treatment.

Case 2:

A 14-year old female patient reported with an ulcerative lesion of the right posterior region of the jaw associated with mobility of teeth 46 and 47 since 1 month (Fig 5). The patient was apparently normal 1 month back after which the lesion was noted. CBCT shows a solitary large ill-defined expansile osteolytic lesion of mixed density in the region extending from 46 to the right body and ramus of the mandible (Fig 6). A provisional diagnosis of aggressive neoplastic lesion such as odontogenic myxoma and osteosarcoma was considered. Incisional biopsy was performed and the H and E stained sections shows sheets of malignant tumor cells separated by fibrous connective tissue septae. The malignant cells displayed atypical features such as cellular and nuclear pleomorphism, nuclear hyperchromatism and few bizarre shaped cells. Presence of eosinophilic areas resembling tumor osteoid surrounded by malignant osteoblasts was evident. In addition, the sections also showed a sub-population of clear cells which were round to oval in shape with vesicular nuclei and clear cytoplasm with some binucleation resembling chondroid like areas (Fig 7 & 8). Special staining for PAS and mucicarmine to rule out clear cell odontogenic carcinoma and intra-osseous mucoepidermoid carcinoma was negative. Based on these findings the final diagnosis was chondroblastic variant of osteosarcoma. Hemimandibulectomy was performed and the final diagnosis of the excised specimen was high grade osteosarcoma. Six month follow-up was uneventful.


Discussion

Leiomyosarcoma is a malignant mesenchymal neoplasm of smooth muscle origin accounting for 6 to 7% of all soft tissue sarcomas.4 This neoplasm is rare in the oral cavity accounting for less than 0.06% of all oral malignancies with mandible being an unusual location owing to the paucity of smooth muscle in that region.5 Intra-oral leiomyosarcoma occurs predominantly in males around the 4th decade of life with less occurrence in the younger age group.6 Clinically, the lesion tends to appear as a painless, non-ulcerated mass of the soft tissues with rapid growth and devoid of any characteristic features and may resemble any oral malignancy (Izumi et al, 1995).7 Microscopically, leiomyosarcoma is characterized by interlacing fascicles of atypical spindle shaped cells with abundant eosinophilic cytoplasm and indistinct cytoplasmic borders. The nucleus is centrally located with blunt cigar shaped ends (Lo Mozio, 2000).8 Definitive microscopic diagnosis of the lesion is difficult owing to its similarity to other spindle cell malignancies and requires positive immunohistochemical findings for the confirmation of diagnosis. As per the existing literature the ideal treatment option for leiomyosarcoma includes surgical resection (hemimandibulectomy /hemimaxillectomy) with adjuvant radiotherapy and chemotherapy with regular follow up. Overall, the 5-year survival rate for primary LMS in the oral cavity is around 55% and the local recurrence is seen in 34% of cases (Ethunandan et al, 2007).9

Osteosarcomas (OS) is the most common primary malignant tumor of bone, nearly 6% of which occurs in the jaw mainly the mandible.10 The most common histopathologic type is chondroblastic type in head and neck group and osteoblastic in extremity group.10. The varied radiographic appearance of this lesion highlights the importance of histopathologic analysis in the diagnosis of osteosarcomas. The diagnosis of osteosarcoma is based on recognition of osteoid production by tumor cells and depending upon the predominant type of extracellular matrix present, osteosarcomas are categorized histopathologically into osteoblastic, chondroblastic and fibroblastic subtypes. 11 Mardinger et al reported the highest prevalence for chondroblastic osteosarcoma (42%) followed by osteoblastic osteosarcoma (33%).12 Histologic diversity of osteosarcomas points to the fact that histology alone is insufficient for the diagnosis of osteosarcoma. Therefore, combined clinical, radiographic and histopathologic analysis before definitive diagnosis is necessary. Wide radical resection is the treatment of choice for osteosarcoma of jaws with clearance margins of 1.5–2 cm. Surgery and adjuvant chemotherapy and radiotherapy may be required sometimes. The presence of micrometastases decides the need of adjuvant therapy. In mandible, hemimandibulectomy is commonly preferred.13

In general, the treatment options for childhood oral cavity cancer include surgery, chemotherapy and radiation therapy either alone or in combination. The management of malignant tumors of the oral cavity depends on histopathology.14 Multidisciplinary and multimodal approach to management and local control as well as preservation of the function should be the goal of any therapy.


Conclusion

Pediatric jaw malignancies are an uncommon occurrence that requires a comprehensive multidisciplinary and multimodal approach to achieve the long-term goals which includes tumor surveillance, maintaining normal facial skeletal and dental growth which may not cease until 18-21 years of age, preservation of normal speech and swallowing function and replacement of the missing dentition. Early diagnosis and treatment are a pre-requisite to avoid significant morbidity and also improve the quality of life. It is imperative that a thorough diagnostic work-up be carried out for pediatric oral neoplasms to aid in appropriate management and better prognosis.

 

References

1. Katanoda K, Shibata A, Matsuda T, Hori M, Nakata K, Narita Y, et al. Childhood, adolescent and young adult cancer incidence in Japan in 2009–2011. Jpn J Clin Oncol 2017; 24:1–10.

2.Tanaka N, Murata A, Yamaguchi A, et al.: Clinical features and management of oral and maxillofacial tumors in children. Oral Surg Oral Med Oral Pathol Oral Radiol Endod 1999; 88 (1):11-5, 1999.

3.Perez DE, Pires FR, Alves Fde A, et al.: Juvenile intraoral mucoepidermoid carcinoma. J Oral Maxillofac Surg 2008; 66 (2):308-11.

4.Pinheiro, J.J.V., Alves, S.M., Okuda, E., Jorge, W.A., Jaeger, R.G., Araújo, N.S. Primary leiomyosarcoma of the mandible. A case report. Med Oral Patol Oral Cir Bucal 2007; 12:E56-9.

5.Yan, B., Li, Y., Pan, J., Xia, H., Li, L. J. Primary oral leiomyosarcoma: a retrospective clinical analysis of 20 cases. Oral Dis 2010; 16; 198–203.

6.Mesquita, R.A., Migliari, D.A., Sousa, S.D., Alves, M.R. Leiomayosarcoma of the buccal mucosa: a case report. Oral Maxillofac Surg 1998; 56:507–9.

7.Izumi, K., Maeda, T., Cheng, J., Saku, T. Primary leiomyosarcoma of the maxilla with regional lymph node metastasis: Report of a case and review of the literature. Oral Surg Oral Med Oral Pathol Oral Radiol Endod 1995; 80:310-9.

8.Lo Muzio, L., Favia, G., Mignogna, M. D., Piattelli, A., Maiorano, E. Primary intraoral leiomyosarcoma of the tongue: An immunohistochemical study and review of the literature. Oral Oncol 2000; 36:519-24.

9.Ethunandan, M., Stokes, C., Higgins, B., Spedding, A., Way, C., Brennan, P. Primary oral leiomyosarcoma:a clinico-pathologic study and analysis of prognostic factors. J Oral Maxillofac Surg 2007; 36:409–16

10.Durnali A, Alkis N, Cangur S, et al. Prognostic factors for teenage and adult patients with high-grade osteosarcoma: an analysis of 240 patients. Med Oncol 2013; 30:624.

11.Schajowicz F. Histological typing of bone tumours. 2nd ed. Berlin: Springer-Verlag; 1993.

12.Mardinger O, Givol N, Talmi YP, Taicher S. Osteosarcoma of the jaw- The Chaim Sheba Medical Center Experience. Oral Surg Oral Med Oral Path Oral Radiol Endod 2001;91: 445-51.

13.Chaudhary M, Chaudhary SD. Osteosarcoma of jaws. J Oral Maxillofac Pathol 2012; 16:233-8.

14.Sturgis EM, Moore BA, Glisson BS, et al.: Neoadjuvant chemotherapy for squamous cell carcinoma of the oral tongue in young adults: a case series. Head Neck 2005; 27 (9):748-56

Figure 1

Figure 2

Figure 3

Figure 4

Figure 5

Figure 6

Figure 7

Figure 8

antarmuka fokus mahjong daya pengguna aktifaws grid serasi mahjong dasar tahapan terjagaaws jejak mekanisme mahjong arah fase lanjutanaws kajian wild berantai mahjong interaktif analitisaws kesesuaian persentase layanan mahjong seluler lanceraws pendalaman persentase mahjong gerak wild mutakhircorak langka mahjong tumbuh perlahan berubahgerak mahjong adaptasi mekanisme pemakai sekarangnalar scatter mahjong malam putaran ekstratempo mahjong kaitan mekanisme keadaan terkinialur permainan mahjong cepat scatter wilddalam hitungan detik scatter wild mahjongmenyatukan naluri pola scatter hitam mahjongmomen mahjong permainan berbalik arahmomen singkat mahjong dinamika permainanperpaduan insting pola scatter hitam momentperubahan drastis mahjong ways scatter wildscatter wild mahjong datang polasekejap berubah scatter wild mahjong wayssensasi baru mahjong lebih scatter wildenergi scatter emas irama reel mahjongevolusi reel mahjong balutan mistisintervensi cepat emas momentum lamakemunculan mendadak naga emas mahjongketika scatter naga emas aktif mahjongnaga emas muncul arah spin mahjongnaga emas ritme mahjong ways berubahrahasia rtp tinggi balik scatter hitamsaat scatter naga emas alih irama reelscatter hitam kunci lonjakan rtp mahjonge5 scatter wild memberikan sentuhan baru di setiap spin mahjong ways 2e5 scatter wild menghidupkan suasana permainan mahjong ways 2e5 scatter wild mengubah pola permainan mahjong ways 2 secara signifikane5 setiap putaran mahjong ways 2 terasa berbeda dengan scatter wilde5 strategi adaptif berbasis analisis rtp hariane5 strategi berbasis data dan algoritma untuk analisis momentume5 strategi berkembang berkat data rtp hariane5 strategi memahami algoritma untuk mengidentifikasi momentum ideale5 strategi membaca pola algoritma demi menangkap momentum optimale5 strategi modern mengandalkan evaluasi rtp hariane5 strategi responsif dengan dukungan evaluasi rtp hariane5 strategi terukur dengan analisis rtp hariane5 struktur scatter dan wild terlihat jelas berkat analisis sistem moderne5 tanpa disadari kombinasi ini sering mengarah ke scatter di mahjong wins 3e5 teknik evaluasi algoritma untuk mendapatkan momentum yang tepate5 teknik observasi sistem untuk analisis momentum yang lebih presisie5 terungkap formasi ini sering jadi awal munculnya scatter di mahjong wins 3e5 transformasi digital rtp live berkat artificial intelligence inovatife5 transformasi ritme mahjong ways 2 dipicu oleh kekuatan scatter wilde5 wajib tahu pola tersembunyi ini sering menghasilkan scattere5 applee5 bananae5 candye5 doge5 eaglee5 falcone5 geminie5 horsee5 indiae5 japananalisa pola mahjong ways rutinanalisis kinerja heuristik variansi gameanalisis pola mahjong ways hariananalisis pola mahjong ways kebiasaanera baru mahjong wins bonus optimalgebrakan bonus mahjong wins mekanisme efisieninsight pola mahjong ways rutinkajian pola mahjong ways rutinkomparasi heuristik variansi game digitalledakan bonus mahjong wins sistem efektifmahjong wins bonus sistem generasi baruobservasi pola mahjong ways harianpendekatan algoritma heuristik variansi gameperbandingan model heuristik variansi gamerahasia bonus mahjong wins sistem cerdasrangkuman pola mahjong ways harianringkasan pola mahjong ways harianstudi pola mahjong ways hariantinjauan heuristik variansi game digitaltinjauan pola mahjong ways harianalur sombol mahjong kemunculan scatterdari rtp mahjong bermain lebih efektifjejak scatter mahjong putaran tenangkejutan scatter wild simbol mahjong arahkemunculan simbol ganda membuat mahjongketika grid mahjong scatter semakin dekatketika rtp mahjong pola mulai lebih jelasketika scatter wild ritme simbol mahjongketika scatter wild titik sesi mahjong waysketika susunan simbol mahjong ritme scattermemahami rtp mahjong cara bermain lebihpergerakan simbol mahjong scatter wildpergeseran mahjong ketika scatter hadirsaat rtp mahjong terbaca baik strategisaat scatter hadir simbol mahjong bergeserscatter wild dinamika simbol mahjongstabilitas putaran mahjong pola scattersusunan baru reel mahjong scatter emassusunan mahjong wins mengandung scattersusunan simbol mahjong diam pola scatterrm menguak keunikan mahjong wins sudut pandang teknisrm cara memahami pergerakan mahjong ways tenaga ekstrarm mahjong wins standar baru industri hiburan digitalrm rahasia ketahanan mahjong ways eksis gempuran gamerm pentingnya memahami transisi level mahjong wins mendalamrm strategi mengatur tempo mahjong ways kendali permainanrm peran kecerdasan buatan mekanisme mahjong wins adilrm alasan keberhasilan mahjong ways mencuri perhatian analisrm mempelajari struktur dasar mahjong wins efisiensi putaranrm inovasi desain mahjong ways kesan bermain responsifrm teknik observasi mahjong wins jarang dibahas dampakrm cara mempertahankan fokus dinamika mahjong ways cepatrm eksplorasi fitur tersembunyi mahjong wins ritme terbaikrm mahjong ways integrasi teknologi modern keamanan nyamanrm analisis faktor pendukung mahjong wins digemari generasirm langkah efektif menyesuaikan perubahan sistem mahjong waysrm mengintip proses pengembangan mahjong wins kualitas penggunarm analisis data membantu membaca arah mahjong waysrm menemukan titik temu insting logika mahjong winsrm transformasi besar mahjong ways menghadirkan tantangan menarikmengungkap simbol langka nasib drastismisteri besar kombinasi simbol langkamisteri simbol langka keberuntungan besarsimbol langka misterius ubah hiduprahasia simbol langka nasib cepattransformasi bonus mahjong wins sistem efektifmahjong wins suguhkan bonus sistem modernsuguhan bonus efisien mahjong winsefektivitas sistem bonus mahjong winsmahjong wins hadirkan bonus sistem optimaloke76cincinbetaqua365slot gacorstc76samurai76TOBA1131samurai76 login