A Rare Case of Primary Neuroendocrine Cancer of the Breast

A Rare Case of Primary Neuroendocrine Cancer of the Breast

Dr Suraga Belakawadi1*, Dr Jyotsana Goyal1, Dr Bharat Bhusan Sarpathy2, Prof(Dr) Padmalaya Devi

1. MCh Resident, Department of surgical oncology, AHRCC, Cuttack.

2. Assistant Professor, Department of Surgical Oncology, AHRCC, Cuttack

3. Professor and Dean, AHRCC, Cuttack.

*Correspondence to: Dr Suraga Belakawadi; suraga.b@gmail.com.

Copyright

© 2023 Dr Suraga Belakawadi. This is an open access article distributed under the Creative Commons Attribution License, which permits unrestricted use, distribution, and reproduction in any medium, provided the original work is properly cited.

Received: 19 December 2023

Published: 05 January 2024

Abstract

Primary neuroendocrine tumors of breast previously known as argyrophilic breast carcinoma or breast carcinoid tumors first described by Cubilla and woodruff are now known as PNEC of breast. These tumors are rare accounting for less than 0.1% of all the breast cancer and less than 1% of neuroendocrine tumors. There are very few literatures available with respect to management and treatment of these tumors. We report a case of 46-year women diagnosed to have Primary neuroendocrine cancer (PNEC) of left breast of size 7×6cm involving left upper inner and lower quadrants extending to nipple areola complex. Diagnosis was confirmed by IHC. Patient received 6 cycles of Neoadjuvant chemotherapy (NACT) followed by modified radical mastectomy was done with clearance of level I, II, III axillary nodes. Postoperative period was uneventful and the patient is asymptomatic till date. The management of this case was similar to as that of other conventional types of invasive breast carcinomas.

Keywords- PNEC Breast, Neuroendocrine tumours, Breast.


A Rare Case of Primary Neuroendocrine Cancer of the Breast

Introduction

Neuroendocrine cells are specialized cells, that receive input from nervous system and respond by synthesizing and releasing hormones into the blood. They are widely distributed in the body. The tumors arising from the neuroendocrine cells are known as Neuroendocrine tumors (NET). They commonly arise from the bronchopulmonary system and Gastrointestinal tract. Primary Neuroendocrine cancers (PNEC) of the breast are rare, accounting for less than 0.1% of all breast cancers and less than 1% of all neuroendocrine tumors. Here we report a case of PNEC of the breast.

 

Case Report

A 46yr old peri-menopausal women presented with lump in the left breast since 4 months. On examination a single lump was palpated in left breast, measuring 7×6cm involving left upper inner and lower quadrants extending to nipple areola complex, hard in consistency, restricted mobility, fixed to the skin. The lump was not fixed to chest wall or pectoralis major muscle. Multiple mobile lymph nodes were palpated in left axilla.

Mammography suggested of BIRADS 4B lesion. Core needle biopsy showed poorly differentiated tumor. IHC was positive for CK (cytokeratin), Synaptophysin, Chromogranin and CD56. MIB 1 index was 80%. Tumor cells were negative for LCA, CD99 and GATA-3. Therefore, the diagnosis of primary neuroendocrine tumor was made. No distant metastatic foci found on CECT abdomen, pelvis, thorax and bone scan.

Routine laboratory investigations- complete blood counts, liver and kidney functions were normal and serological tests for HIV, Hepatitis B surface antigen and hepatitis C were negative.

In view of locally advanced disease patient was referred to medical oncology department for Neo adjuvant chemotherapy (NACT) where patient received combination of Cisplatin (40 mg/m2) and Etoposide (150 mg/m2). She was evaluated after 2 cycles of chemotherapy and showed complete clinical response with no palpable residual mass. Case was discussed in Institutional Tumor Board meeting and decision to complete 6 cycles of chemotherapy was taken.

Patient underwent Modified Radical Mastectomy (MRM) with clearance of level I, II and III axillary nodes two weeks after completion of NACT. On gross examination, the left MRM specimen measured 14×10×7cm. Cut section showed irregular growth of 4.5×4×3 cm, involving the inner lower quadrant. On microscopy, residual tumor was noted in small foci along with post NACT changes. Focal areas of necrosis were seen. There was no LVSI or PNI. Base, overlying skin and NAC were free of tumor. 13 lymph nodes were identified and were all free of tumor.

 

Fig 1. Tumor of size 7×6cm, involving left upper inner and lower quadrants, extending into nipple areola complex, hard in consistency, restricted mobility and fixed to skin.

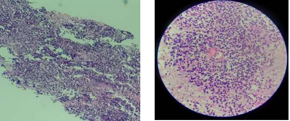
Fig 2. Microscopy

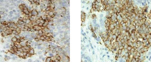
Fig 3- IHC for Synaptophysin

 

Discussion

Cubilla and woodruff first described the Primary Neuroendocrine tumors in the breast [1]. These tumors were initially known by various names like argyrophilic breast carcinoma, breast carcinoid tumour or endocrine carcinoma.

Following definitive criteria laid by WHO, these tumors are now known as Primary Neuroendocrine cancers (PNEC) of the breast. PNEC of the breast are rare tumors, accounting for less than 0.1% of all breast cancer and less than 1% of all neuroendocrine tumors [2].

Wang Et al in a retrospective study, reported 142 cases of PNEC of the breast out of 381,786 cases of invasive breast carcinoma recorded from 2003 to 2009 in surveillance, epidemiology and end results database (SEER). The incidence rate in their study was <0.1% of all mammary carcinomas with most patients presenting in sixth decade of life [3].

WHO, in 2012 classified breast neuroendocrine tumours into 3 categories:

  • Well differentiated neuroendocrine tumour.
  • poorly differentiated/small cell carcinoma.
  • invasive breast carcinoma with neuroendocrine differentiation.

 PNEC of breast is defined as the tumour where more than 50% of population are found to express neuroendocrine markers like synaptophysin and chromogranin.

Two more criteria required for diagnosis are:

  • metastatic neuroendocrine carcinoma must be ruled out clinically and demonstration of in situ component histologically. 
  • Neuroendocrine differentiation, seen in up to 30% of invasive breast carcinomas, is most commonly associated with mucinous and solid papillary carcinomas [4].

Histologically, WHO defines PNEC of the breast as tumors consisting of cellular solid expansile nests and trabeculae.[5] Other uncommon architectural patterns include ribbons, cords and rosettes.

The tumour cells are separated by thin fibrovascular septae and cells can be spindled, plamacytoid or polygonal.[4] The cells may have abundant granular or clear vacuolated cytoplasm.[6]

The nuclear features of NETs of the breast vary from the classic smooth nuclear borders to salt and pepper chromatin seen in carcinoids of other sites. Nuclei are often pleomorphic with irregular nuclear membranes, and chromatin ranges from evenly distributed with inconspicuous nucleoli to hyperchromatic or vesicular with prominent nucleoli.[6]

Morphology might suggest neuroendocrine differentiation. For the diagnosis, expression of neuroendocrine markers is required. Synaptophysin and chromogranin A are the most sensitive and specific IHC markers [7]. Other less sensitive and specific markers include Neuron specific enolase (NSE) and CD56 [7].

Electron microscopy can also demonstrate Neuroendocrine differentiation ultra-structurally. Dense core granules correspond to chromogranin expression and clear presynaptic vesicles corresponds to synaptophysin expression under electron microscopy [5].

 Very less number of cases of PNEC breast have been described in literature, hence there are no established treatment protocols. These tumours are treated similarly as that of other conventional types of invasive breast carcinoma and there is variable prognosis.[8]

In the present case, the initial presentation was a locally advanced breast carcinoma, following 2 cycles of NACT, response was assessed. The patient showed complete clinical response therefore decision of completion of 6 cycles of NACT was taken at institutional tumour board meeting. Patient underwent Modified Radical Mastectomy 2 weeks after completion of NACT. Post-operative period was uneventful and patient is symptom free till last follow-up.

 

Conclusion

The prognosis of primary neuroendocrine tumours of breast are similar to other invasive breast carcinomas. These are rare tumours and are classified as type of invasive breast carcinoma with distinctive histopathological features. The most important prognostic factor is grade of the tumour. Treatment of these tumours are not standardized and are treated similarly as the patients with invasive ductal carcinoma, NOS which depends on the size of the tumour, grade, clinical stage, and status of hormonal receptor.

 

Competing Interests

The authors declare that there are no competing interests regarding the publication of this paper.


References

1.Cubilla AL, Woodruff JM. Primary carcinoid tumor of the breast: A report of 8 patients. Am J Surg Pathol. 1977;1:283–92

2. Ogawa H, Nishio A, Satake H, Naganawa S, Imai T, Sawaki M, et al. Neuroendocrine tumor in the breast. Radiat Med. 2008;26:28–32.

3.Wang J., Wei B., Albarracin C., Hu J., Abraham S., Wu Y. Invasive neuroendocrine carcinoma of the breast: a population-based study from the surveillance, epidemiology and end results (SEER) database. Biomedcentral Cancer. 2014;14:147.

4. Lauren Elizabeth Rosen, Paolo Gattuso; Neuroendocrine Tumors of the Breast. Arch Pathol Lab Med 1 November 2017; 141 (11): 1577–1581. doi: https://doi.org/10.5858/arpa.2016-0364-RS

5. Bussolati, G., and S. Badve. "Carcinomas with neuroendocrine features." WHO Classification of Tumours of the Breast 4 (2012): 62e63.

6. Tang, F., Wei, B., Tian, Z., Gilcrease, M.Z., Huo, L., Albarracin, C.T., Resetkova, E., Zhang, H., Sahin, A., Chen, J., Bu, H., Abraham, S. and Wu, Y. (2011), Invasive mammary carcinoma with neuroendocrine differentiation: histological features and diagnostic challenges. Histopathology, 59: 106-115.

7.Inno, Alessandro, et al. "Neuroendocrine carcinoma of the breast: current evidence and future perspectives." The oncologist 21.1 (2016): 28.

8. Singh, Sunita, et al. "Primary neuroendocrine carcinoma of breast." Journal of Cytology/Indian Academy of Cytologists 28.2 (2011): 91.

Figure 1

Figure 2

Figure 3

antarmuka fokus mahjong daya pengguna aktifaws grid serasi mahjong dasar tahapan terjagaaws jejak mekanisme mahjong arah fase lanjutanaws kajian wild berantai mahjong interaktif analitisaws kesesuaian persentase layanan mahjong seluler lanceraws pendalaman persentase mahjong gerak wild mutakhircorak langka mahjong tumbuh perlahan berubahgerak mahjong adaptasi mekanisme pemakai sekarangnalar scatter mahjong malam putaran ekstratempo mahjong kaitan mekanisme keadaan terkinialur permainan mahjong cepat scatter wilddalam hitungan detik scatter wild mahjongmenyatukan naluri pola scatter hitam mahjongmomen mahjong permainan berbalik arahmomen singkat mahjong dinamika permainanperpaduan insting pola scatter hitam momentperubahan drastis mahjong ways scatter wildscatter wild mahjong datang polasekejap berubah scatter wild mahjong wayssensasi baru mahjong lebih scatter wildenergi scatter emas irama reel mahjongevolusi reel mahjong balutan mistisintervensi cepat emas momentum lamakemunculan mendadak naga emas mahjongketika scatter naga emas aktif mahjongnaga emas muncul arah spin mahjongnaga emas ritme mahjong ways berubahrahasia rtp tinggi balik scatter hitamsaat scatter naga emas alih irama reelscatter hitam kunci lonjakan rtp mahjonge5 scatter wild memberikan sentuhan baru di setiap spin mahjong ways 2e5 scatter wild menghidupkan suasana permainan mahjong ways 2e5 scatter wild mengubah pola permainan mahjong ways 2 secara signifikane5 setiap putaran mahjong ways 2 terasa berbeda dengan scatter wilde5 strategi adaptif berbasis analisis rtp hariane5 strategi berbasis data dan algoritma untuk analisis momentume5 strategi berkembang berkat data rtp hariane5 strategi memahami algoritma untuk mengidentifikasi momentum ideale5 strategi membaca pola algoritma demi menangkap momentum optimale5 strategi modern mengandalkan evaluasi rtp hariane5 strategi responsif dengan dukungan evaluasi rtp hariane5 strategi terukur dengan analisis rtp hariane5 struktur scatter dan wild terlihat jelas berkat analisis sistem moderne5 tanpa disadari kombinasi ini sering mengarah ke scatter di mahjong wins 3e5 teknik evaluasi algoritma untuk mendapatkan momentum yang tepate5 teknik observasi sistem untuk analisis momentum yang lebih presisie5 terungkap formasi ini sering jadi awal munculnya scatter di mahjong wins 3e5 transformasi digital rtp live berkat artificial intelligence inovatife5 transformasi ritme mahjong ways 2 dipicu oleh kekuatan scatter wilde5 wajib tahu pola tersembunyi ini sering menghasilkan scattere5 applee5 bananae5 candye5 doge5 eaglee5 falcone5 geminie5 horsee5 indiae5 japananalisa pola mahjong ways rutinanalisis kinerja heuristik variansi gameanalisis pola mahjong ways hariananalisis pola mahjong ways kebiasaanera baru mahjong wins bonus optimalgebrakan bonus mahjong wins mekanisme efisieninsight pola mahjong ways rutinkajian pola mahjong ways rutinkomparasi heuristik variansi game digitalledakan bonus mahjong wins sistem efektifmahjong wins bonus sistem generasi baruobservasi pola mahjong ways harianpendekatan algoritma heuristik variansi gameperbandingan model heuristik variansi gamerahasia bonus mahjong wins sistem cerdasrangkuman pola mahjong ways harianringkasan pola mahjong ways harianstudi pola mahjong ways hariantinjauan heuristik variansi game digitaltinjauan pola mahjong ways harianalur sombol mahjong kemunculan scatterdari rtp mahjong bermain lebih efektifjejak scatter mahjong putaran tenangkejutan scatter wild simbol mahjong arahkemunculan simbol ganda membuat mahjongketika grid mahjong scatter semakin dekatketika rtp mahjong pola mulai lebih jelasketika scatter wild ritme simbol mahjongketika scatter wild titik sesi mahjong waysketika susunan simbol mahjong ritme scattermemahami rtp mahjong cara bermain lebihpergerakan simbol mahjong scatter wildpergeseran mahjong ketika scatter hadirsaat rtp mahjong terbaca baik strategisaat scatter hadir simbol mahjong bergeserscatter wild dinamika simbol mahjongstabilitas putaran mahjong pola scattersusunan baru reel mahjong scatter emassusunan mahjong wins mengandung scattersusunan simbol mahjong diam pola scatterrm menguak keunikan mahjong wins sudut pandang teknisrm cara memahami pergerakan mahjong ways tenaga ekstrarm mahjong wins standar baru industri hiburan digitalrm rahasia ketahanan mahjong ways eksis gempuran gamerm pentingnya memahami transisi level mahjong wins mendalamrm strategi mengatur tempo mahjong ways kendali permainanrm peran kecerdasan buatan mekanisme mahjong wins adilrm alasan keberhasilan mahjong ways mencuri perhatian analisrm mempelajari struktur dasar mahjong wins efisiensi putaranrm inovasi desain mahjong ways kesan bermain responsifrm teknik observasi mahjong wins jarang dibahas dampakrm cara mempertahankan fokus dinamika mahjong ways cepatrm eksplorasi fitur tersembunyi mahjong wins ritme terbaikrm mahjong ways integrasi teknologi modern keamanan nyamanrm analisis faktor pendukung mahjong wins digemari generasirm langkah efektif menyesuaikan perubahan sistem mahjong waysrm mengintip proses pengembangan mahjong wins kualitas penggunarm analisis data membantu membaca arah mahjong waysrm menemukan titik temu insting logika mahjong winsrm transformasi besar mahjong ways menghadirkan tantangan menarikmengungkap simbol langka nasib drastismisteri besar kombinasi simbol langkamisteri simbol langka keberuntungan besarsimbol langka misterius ubah hiduprahasia simbol langka nasib cepattransformasi bonus mahjong wins sistem efektifmahjong wins suguhkan bonus sistem modernsuguhan bonus efisien mahjong winsefektivitas sistem bonus mahjong winsmahjong wins hadirkan bonus sistem optimaloke76cincinbetaqua365slot gacorstc76samurai76TOBA1131samurai76 login