Cranial Meningiomas Plans and Guidelines of Management
Abubakr Darrag Salim Ahmed MD *1, Mohammed Awad Elzain Ahmed .MD 2,
Moaz Ibrahim Abdallah Mohamed MBBS.MSc1
1.National Center of Neurological Sciences, Federal ministry of health, Nile Street Khartoum, Sudan.
2.Department of Neurosurgery, King Abdullah Hospital, Bisha, Saudi Arabia.
*Correspondence to: Abubakr Darrag Salim Ahmed MD, National Center of Neurological Sciences, Federal ministry of health, Nile Street Khartoum, Sudan.
Copyright
© 2024 Abubakr Darrag Salim Ahmed. This is an open access article distributed under the Creative Commons Attribution License, which permits unrestricted use, distribution, and reproduction in any medium, provided the original work is properly cited.
Received: 01 December 2023
Published: 03 January 2024
DOI: https://doi.org/10.5281/zenodo.10487012
Abstract
Introduction: Cranial meningiomas represent the commonest tumors of the central nervous system in adults. They are mostly seen in the brain, but spinal meningiomas are also known. Sometimes meningiomas affect the peripheral nerves as well.
Methodology: This was a prospective observational study conducted in the period between 2010-2017. It included all cases operated in the National Centre for Neurological Sciences during this given time frame. All cases operated before or beyond this period and all cases operated outside the National Centre were excluded from the study.
Results: During this period 95 patients were operated. The age ranged from 16-77 years (the mean was 47.47 Years). Almost 2 thirds were female (n= 68/95, 71.6%). The main presentation was headache (n=78/95, 82.1%), followed by convulsions (n=51/95, 53.7%), weakness (n=49/95, 51.6%) and blurring of vision (n=43/95, 45.3%). In most cases the duration of symptoms was ranging between 1 month to 1 year (n=66/95, 69.5%). All patients were diagnosed with brain MRI ± CT. CT was performed in 60 patients (63.1%). Surgical intervention was the prime method of management using the different surgical approaches based on the location of the tumor. 11% were cured, 80% and 8.4% died.
Conclusions: Brain meningiomas are very common. They are mostly benign. Complete surgical resection remains the main modality of treatment, but sometimes radiosurgery may be helpful. Long term follow up is mandatory to check for any recurrences, especially for grade 2 and 3 which need more aggressive treatment and close follow up.
Keywords: meningiomas, surgical treatment, outcome.
Introduction
Meningiomas are common extra-axial central nervous system tumors, mostly benign, originating from the arachnoid cap cells. They represent 13-26% of all intracranial tumors [1]. Intraventricular meningiomas are rare special type of meningiomas that comprise 0.5%-3% of all intracranial meningiomas [2, 3]
Meningiomas have a female predominance and usually affect those in middle-to-late adult age zone [4]. The incidence of meningiomas is approximately estimated to be 2-7/100,000/year for women and 1-5/100,000/year for men, while the overall incidence for all population on the world is around 3.634/100,000/year [5]. The incidence of meningioma is increasing over time, particularly in the elderly, and this may be attributed to the increased requests of cranial imaging, better imaging facilities, and aging of population [6, 7].
Meningiomas are classified in 2016 by the World Health Organization (WHO) into grade I (benign), grade II (atypical), and grade III (anaplastic) [8]. Most meningiomas (90%) are benign, 6% are of atypical type and a small proportion (2%) are malignant [4].
One to ten percent of meningioma patients present with multiple meningiomas [9-11]. This can either occur sporadically or as a part of familial syndromes like neurofibromatosis (NF) type 2 or familial multiple meningiomas syndrome [12].
Benign meningiomas has been further subdivided into several histopathological subtypes depending on the predominant histological features identified. These subtypes include: meningotheliomatous, transitional, psammomatous, angioblastic, fibroblastic, and transitional with the former 2 being the most frequent subtypes [13, 14].
The clinical presentation of patients with meningioma is either related to the increase in the intracranial pressure or to its specific location within the cranial cavity. In some situations, the symptoms of the patient may help the neurosurgeon to predict the precise location of the meningioma e.g: foramen magnum meningioma may produce nuchal and suboccipital pain; tuberculum sellae meningioma may cause progressive visual impairment with ipsilateral optic atrophy and bitemporal hemianopia “chiasmal syndrome”, olfactory groove meningioma may cause a triad of optic atrophy, contralateral papilledema, and anosmia " Foster Kennedy syndrome". On the other hand, the symptoms of patient maybe quite non-specific like in cases where the meningioma extends into the optic canal and displaces the anterior cerebral arteries and the pituitary stalk; causing dysfunction of these structures or in cases of cavernous sinus meningiomas which can produce proptosis, diplopia, peri-orbital pain and numbness due to intracavernous cranial nerves compression. [15].
MRI with contrast represents the main imaging modality for diagnosing of meningiomas [16] The main imaging features of meningioma are the presence of dural base, dural tail that extends away from the lesion and the homogeneous enhancement of the tumor [17].
Other various MRI features were described in the literature such as predicting the histopathological subtype of meningioma based on the signal intensity of the tumor in the MRI (e.g: hyperintense T2WI signal indicates the soft consistency of the tumor and microhypervascularity which are more often seen in aggressive angioblastic or meningothelial meningiomas). MRI is also useful in demonstrating the possibility of dural venous sinuses invasion [16].
Complete surgical resection is the gold standard treatment of choice. Radiotherapy is currently used as an adjuvant therapy in atypical, malignant or recurrent meningiomas [1]. The advocacy of stereo-tactic radiotherapy has also been suggested as a new treatment option. This therapy may replace surgical intervention particularly in high-risk patients, those with meningiomas in eloquent or surgically inaccessible areas, and in elderly patients. When the meningioma is unresectable or when all other treatment options (surgery and radiotherapy) have failed, hormonal therapy or chemotherapy might be considered [18].
The five-years survival for patients with typical meningiomas exceeds 80% but is poor in malignant and atypical meningiomas (5-years survival <60%) [1]. The poor prognostic factors also include Papillary and haemangiopericytic morphology, large tumor size, high mitotic index, absence of progesterone receptors, deletions and loss of heterozygosity [1].
Methodology and Aims of the Study
This was an observational prospective study that was conducted in the period between February 2009 to July 2017.
The main of the study was to collect the epidemiological data of the patients who presented to the National Center for Neurological Sciences with the disease during the given time frame. The data collected include the age, occupations, presenting symptoms, radiological diagnosis, surgical procedures performed, complications encountered and the general outcome.
All patients were admitted and operated by the primary author. Patients who presented before or after the given time frame and those who were operated by other surgeons or operated outside the centre and those with missing data were all excluded from the study.
All the patients were clinically assessed by the authors and full history and clinical data were recorded in a special SPSS designed especially for the purpose of the study.
Data was then analyzed using SPSS program version 20 and the data were then interpreted by the research team.
Results
The total number of the patients operated were 95 patients who are basically diagnosed as cranial meningiomas. The youngest patient was 17 years old, while the oldest was 77 years old, with an average age of 47.5 ± 13.6 years at presentation.
Age Distibution:
More than half of the patients were in the age group of 31 to 50 years (n=52/95, 54.7%) followed with those between 51 to 70 years (n=27/95, 28.4%). (Table 1, Fig.1).
Sex Distribution:
Almost more than two thirds of the patients were females (n=68/95,71.6%) while males are constituting 28.4% of the patients. (Table 2, Fig.2)
Table (2): sex distribution.
Figure (2): Sex distribution.
Residence:
Most of patients were from the Khartoum (the capital of Sudan) (n=39/95, 41.1%) while the rest were distributed on the different regions of Sudan mainly Al-Gazeera state and west of Sudan. (Fig.3)
Figure (3): Regional distribution of the patients.
Occupation:
As most of the patients in this study were females most of them were housewives (n=58/95, 61.1%) followed by the workers (n=15/95, 15.8%). (Fig.4)
Figure (4): Occupational background.
Clinical Presentation
The patients presented mainly with headache (the major presenting symptom n=78/95,82.1%), followed by convulsions (n=51/95, 53.7%), weakness (n=49/95, 51.6%) and blurring of vision (n=43/95, 45.3%). (Fig.5)
Figure (5): Presenting symptoms.
Duration of symptoms:
For the ease of description, the duration of symptoms was subdivided into small groups. The majority of patients were having symptoms ranging between 1 month to 1 year (n=66/95, 69.5%). (Fig.6)
Figure (6): Duration of symptoms.
History of trauma:
Most patients denied had no past history of head trauma (n=84/95, 88.4%) while history of trauma was only found in 11 patients (11.7%). (Fig.7)
Figure (7): Association of head trauma.
Clinical Findings:
1. Level of Consciousness:
Most of the patients presented fully conscious with Glasgow Coma Scale 15/15 (n=81/95, 85.3%). (Table 3, Fig.8).
Table (3): Glasgow Coma Scale in presented patients.
Figure (8): Glasgow Coma Scale in presented patients.
2. Neurological deficit:
Almost half of the patients had preoperative focal neurological deficit (n=46/95, 48.4%) involving different sites, but mostly in the left upper and lower extremities (n=19/95, 20%). The other half of the patients presented without any neurological deficit. (Table 4, Fig.9)
Table (4): Focal neurological deficits in studied patients.
Figure (9): Focal neurological deficits in studied patients.
3. Motor power grading:
Those who had neurological deficit, most had mild weakness MRC Grade 4 (n=36/95, 37.9%). (Table 5, Fig.10)
Table (5): Power grading in patients with neurological deficits according to the medical research council scale (MRC scale).
Figure (10): Power grading in patients with neurological deficits according to the medical research council scale (MRC scale).
Investigations
All patients were diagnosed through brain MRI ± CT, while CT brain alone was performed in 60 patients (63.1%).
Management
Surgical intervention was the prime method of management for all patients in this series using different neurosurgical approaches based on the tumor location. (Table 6, Fig.11)
1.Surgical approaches:
All patients were operated using different types of craniotomies the most common one was parietal craniotomy (n=27/95, 28%) followed by pterional craniotomy (n=24/95, 25%). The surgical approach was pre—operatively planned based on the site and the size of the tumor (Table 6, Fig.11).
Table (6): surgical approach used in patients in the current study.
Figure (11): surgical approach used in patients in the current study
Diagnosis:
The preoperative radiological diagnosis was as accurate as postoperative diagnosis although the exact type and nature of the meningioma could not be identify on radiological grounds alone, but we were able to set the diagnosis based on the tumor location. Parietal convexity meningioma represented 22%, sphenoid wing meningioma 21%, frontal convexity meningioma 10.6%, parasagittal meningioma 9.5% and olfactory groove meningioma 8.4%. (Table 7, Figure 12).
Table (7): Radiological Diagnosis.
Figure (12): Radiological diagnosis.
Histopathology and WHO grading of the tumor:
Grade 1 meningioma represented about 86% of the tumors while grade 2 represented about 10%. On the other hand, grade 3 meningioma represented about 3 % of the tumors and no tumors of grade 4 were encountered (Table 8, Figure 13).
Table (8): Histopathology (WHO grading).
Figure (13): Histopathology (WHO grading).
Postoperative complications:
in this study, the complication mostly encountered was tumor recurrence (n=7/95, 7%) followed by postoperative seizures (n=6/95, 6%). While postoperative transient limb weakness was encountered in 6 patients 6% and postoperative visual problems like impaired vision and visual loss was encountered in 5 patients 5%. The other sporadic complications like CSF leak DVT, dysphasia, wound dehiscence and sunken bone flap worth no mentioning (Table 8, Figure 14).
Table (8): Postoperative complications
Figure (14): Postoperative complications.
The Final Outcome:
The majority of the patients were either improved 80% or fully cured 11%. Eight patients died due to different causes mostly aspiration pneumonia in 3 patients and other causes of death were also encountered like cerebral edema, surgical site infection, and cerebral infraction (Table 9 & 10, Figure 15 & 16).
Table (9): The final outcome.
Figure (15): Final outcome.
Table (10): The causes of death.
Figure (15): The causes of death.
Illustrative cases
Case no (1)
Fifty years old housewife, presented with convulsions, difficult walking, headache, neck pain, vertigo and defective memory for the last 5 years.
On examination she was well generally with no gross deficits.
MRI and CT Brain showed lest sphenoid wing tumor.
Resected totally Histo. Grade 1 meningioma utilizing left pterional approach.
Image (A) preoperative MRI showing left temporal tumor in T1 axial cut with some sorrowing edema, Image (B) is operative view after total resection of the tumor
Image (C) one year postoperative axial MRI showing no evidence of the tumor, Image (D) is the patient after full recovery one year later. 
Case No (2)
Fifty years old female worker, presented complaining of pain in the left eye and ear, sensation of collapse, fatigue, vertigo and headache for the last one year which was progressive in nature.
On examination she looked well, conscious and oriented, had only mild weakness of the right upper extremity power grade 4. CT scan and MRI of the brain showed left frontal brain tumor with ventricular compression and midline shift.
CT scan (A) and MRI (B) of the brain showed left frontal brain tumor with ventricular compression and midline shift. Total surgical resection was done through left frontal craniotomy.
Histopathology revealed fibrous and meningiothelial meningioma.
Image (C) is an operative image after total resection of the tumor, Image (D) is post-operative MRI showing no evidence of a residual tumor, Image (E) is the patient after full recovery one year post-operative.
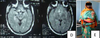
Case No (3)
Sixty years old housewife, presented complaining of amnesia, disorientation, right side heaviness and headache for one month, which was of progressive course.
On examination she looked ill and confused with grade 4 right sided weakness. MRI of the brain showed left frontal Brain tumor. The tumor was totally resected through left frontal craniotomy ,histopathology result was grade one meningioma, the patient showed full recovery one year post-operative.
Image (A) Preoperative MRI showing the left frontal brain tumor
Image (B) is an operative image after total resection of the tumor, Image (C) is post-operative MRI showing no evidence of residual tumor, Image (D) is the patient after full recovery one year post-operative.
Case no (4)
Sixty years old housewife, presented complaining of headache, vertigo pain and impairment vision in both eyes, amnesia and loss of smell all for 4 months duration.
On examination she looked ill and confused, had weakness of all extremities power grade 4. CT and MRI showed big olfactory groove tumor. The tumor was totally resected through bifrontal craniotomy. Histopathology revealed meningiothelial meningioma, the patient showed gradual recovery postoperatively
Image(A) is the CT scan of case no(4) and image(B) is his MRI showing midline olfactory groove tumor with surrounding cerebral edema , Image (C) is the patient postoperative MRI 6 months postoperatively showing no evidence of tumor residual
Case no (5)
Thirty two years old house wife, from eastern region of the Sudan, presented complaining of headache and impaired vision of the right eye, which is gradually progressive over 10 years duration.
On examination she looked well generally, fully conscious, oriented, had finger clubbing, normal left eye but diminished vision of the right eye with no motor deficits.
MRI of the brain showed right tuberculum sellae tumor she was operated through right subfrontal craniotomy. The tumor was totally resected, the patient showed gradual post-operative improvement till full recovery of the vision of the right eye within 6 months.
Histopathology revealed grade1 meninigioma.
Image (A)and (B) are the preoperative MRI of case no(5) showing the tumor, Image (C) is an operative image showing tumor resction cavity
Image (D) is post-operative MRI showing complete resection of the tumor, Image (E) is the patient after complete recovery 3 months post-operatively.
Discussion:
Cerebral meningioma is a common brain tumor that affects a quite significant portion of the community. These tumors have bizarre behavior. Sometimes they behave mostly as totally benign tumors, however on the other side they may behave sometimes so aggressive as if they are malignant tumors. In between these 2 extremes lie different tumors with different behaviors. These different behaviors may dictate different surgical procedures (Simpson’s grades of resection) and or the different post-operative approaches including radio and chemotherapy ([19-21].
The general epidemiology of the patients in this study show that females are the mainly affected representing more than two thirds of the patients, with relative age distribution affecting mainly middle and older aged females and hence most of them were housewives as in our country most of the females are working. On the other hand, the regional distribution was related to populations and health services distribution.
The presenting symptoms were headache on the top of the list of symptoms followed by convulsions , extremities weakness and visual blurring, these are a combination of symptoms of increased ICP and dural or cerebral irritation or pressure. In most of the patients, these symptoms were lasting for less than one year, indicating the slow progression of the tumor. The other symptoms like dysphasia , blindness and cognitive symptoms are less encountered.(fig 5,6)
The motor power for the cases in this study were relatively good for most of the patients (either grade 5 or 4) indicating relatively early presentation and the possibility or hope of good recovery after the operation fig (9,10).
MRI was the main investigation utilized in diagnosis and it was diagnostic for all patients although some patients were diagnosed initially by CT scans. However, in our institution we do not operate on patients with cerebral meningiomas without doing preoperative MRI with contrast. In some patients with certain locations of the tumor especially those with medial sphenoid wing and petroclival meningiomas MRA was also requested. Most types or locations were parasagittal. Other sites like frontal, sphenoid wing, olfactory groove and other locations were rarely encountered (table 7). The anatomical locations dictate the surgical approaches.
The surgical approach for resection of meningiomas should include preoperative planning to facilitate and maximize operative tumor resection. This planning should enable the surgeon to have full information about the tumor extent, size, site and its relation to the vital eloquent neurological areas and vascular structures so as to be so careful in dealing with those structures. In this regards CT scan and angiography whether arterial or venous are of vital importance[22, 23]. The planning should also avoid leaving any residual tumor in the surgical site as much as possible. The tumor attached to the overlying bone or to the meninges should be removed to achieve the best resection ( Simpsons grading) as these pathological anatomical structures may cause recurrence of the tumor within the next few months or years. Therefore, it is usually inevitable to maximize the surgical resection to include dura and bone to avoid recurrences. The planning should also include adequate approach to reach and resect all tumor tissue. Recently utilization of the 3D-printed cranio-cerebral model in simulated surgery for complex intracranial lesions may help to address some of these previously mentioned difficulties that might face the surgeon during surgery and the surgeon should be prepared to face them [24].
The traditional approach to meningioma resection includes the Five Ds (Dedressing, Devasculariztion, Dissection, Debulking and Decompression)[25, 26]. This approach is so valid and should be used for most meningiomas. However, in certain types of the meningiomas like intraventricular meningioma or deeply situated meningiomas (like cavernous sinus and petroclival meningiomas), the application of this principle may be partially difficult to apply in its full extent [27].
Cerebral retraction using fixed retractors should be avoided or minimized as much as possible as this might cause cerebral or vascular damage which may not be noticed by the operating surgeon intra-operatively, and because of this retracted brain, the patient maybe highly vulnerable to develop cortical and subcortical contusions in the future[28]. Dynamic retraction will allow ventilation and maintain adequate vascularization of the jeopardized brain. It also has beneficial effect on the surrounding brain tissue and can give good cerebral recovery post-operatively [29]
Preservation of delicate neural structures like cranial nerves and vascular structures weather arteries or veins is the key to success of the surgery, so any vessel that is found around in the surgical field should not be coagulated or sacrificed unless the surgeon is sure that it is a feeder to the tumor and not to the normal brain tissue. This is the reason that preoperative study of the vasculature around the tumor is of extreme importance to know the exact location of the feeding vessels and to pay attention to all normal vessels supplying the normal brain which may be displaced or encased by the tumor. Preservation of these vessels during the surgery is vital for reducing the intraoperative bleeding and obtaining a good post-operative recovery as well [30-32].
The utilization of modern medical and surgical equipments like neuronavigator, surgical microscope, neuroendoscopy, ultrasonic aspirator, surgical ultrasonography, brain pulse oximeter and brain mapping equipments by skilled professionals may allow achieving adequate and save surgical resection of the tumor. The use of microsurgical principles and equipments is mandatory and crucial to improve post-operative surgical outcome [33-35].
Blood transfusion during the operations of meningiomas may be inevitable. The indication for blood transfusions in meningioma patients is usually to replace the lost amount of blood during surgery. This amount can be estimated as follows: one pint of blood for the ordinary craniotomy plus an extra amount according to the tumor size and the amount of bleeding during surgery. This can be an average of one pint of blood for each ten cubic cm of the tumor. An extra amount of blood should be standby if the tumor is closely related to the vascular structures of the brain like dural sinuses, carotid artery or other major blood vessels. The patients of meningiomas might have excessive bleeding during surgical intervention[36], this might be underestimated because it is usually of small amount, but for prolonged duration. This may result in hypohemoglobinemia with the associated risk of brain dysfunction and possibility of producing cerebral edema especially if the amount lost was corrected with crystalloid fluids. Special attention should be paid during replacing the blood, keep an eye on any blood mismatch reaction like change in urine color to dark one, skin reaction and persistent hypotension besides the adequate replacement. The patient should be observed clinically and hematologically postoperatively to check for any decrease in hemoglobin amount and prompt replacement should be started immediately preferably with packed red blood cells (RBS)[37].see table (11).
Postoperative careful observation of the patient in the intensive care unit is needed to insure adequate brain tissue perfusion and oxygenation. The use of intracerebral pulse oximetry and monitoring of the intracranial pressure should be kept on mind as edema at and around the site of the surgery is expected to occur and so one should not wait till these serious complications will occur to interfere. The use of osmotic diuretics like Mannitol as a prophylactic measure may also be considered.
Also prophylactic use of anticonvulsant especially if the tumor or the surgical maneuver disturbed the arachnoid of the normal brain tissue [38, 39]. Other types of drugs like prophylactic broad-spectrum antibiotics to guard against surgical site infection are also indicated. Some experts prefer single dose antibiotics before or at the time of induction of anesthesia. Others prefer to continue the antibiotics for some days after the operation.
Performing daily hematological and biochemical tests for the patient is of important role to avoid any non surgical complications that may lead to the worsening of the patient’s condition and if detected, it should be corrected immediately.
Early mobilization of the patient postoperatively if there are no contraindications is highly recommended. The need for physiotherapy should be advocated and tailored according to the individual patient’s need.
The histological diagnosis in our patients showed that most of them were of lower grades either grade I or II while only few of them had grade 3 meningioma abolishing the need for adjuvant radio or chemotherapy for most of the cases.
The role of postoperative radiotherapy is still a matter of controversy among meningioma experts. Some authors advice postoperative radiotherapy for higher grades of meningiomas while others advocate wide tumor and tumor base resection and think this is enough to control tumor re-growth and they criticize that exposure of meningioma cells to radiation through radiotherapy sessions which in turn may change the behavior of meningioma and encourage its dedifferentiation into higher more aggressive types. In this way, the use of radiosurgery for the control of small or residual meningiomas specially in eloquent areas or after partial resection may be associated with high rate of recurrence or new growth [42, 43]
Upon reviewing Simpson grading one should notice that, in benign meningioma, the recurrence rate in Simpson grades 0/I group is 2.9%, while in Simpson grades II–IV group, the recurrence rate may reach 31% or even more. Furthermore, the pathological grading is also important for predicting recurrence rate. In atypical meningioma, the overall recurrence rate in Simpson grades I/II resection is 31%. In grades III/IV, the overall recurrence rate is 73%. This high recurrence rates in these groups was detected within the first 5 years of tumor resection. [40]
The recurrence may be due to incomplete first resection or persistence of some meningioma cells in the bones or meninges. This can explain the re-growth of meningioma on the other side of the falx in cases of transfalcine meningioma due to the penetration of the cells to the other side especially when the bed of the meningioma in the falx has not been excised during surgery. Many cases with multiple meningiomas and cases with new growth on other sites after removing the primary tumor were reported in the literature. However, it is not well known that meningioma cells can implant in the surgical corridor or the meninges facing the surgical site. Familial meningomatosis is another example of new growth of meningiomas on other sites which may be seen in cases of neurofibromatosis type 2[41].
Table (11) the different steps involved of management of cerebral meningiomas and the degree of their importance.
Conclusion
Brain meningiomas are well known brain tumors that mostly have benign nature.
Complete surgical resection of the tumor remains the standard treatment option with the need to maximize the resection to include the dura and adjacent bone, but sometimes radiosurgery may be inevitable.
The use of modern equipments like surgical microscope, ultrasonic aspirator, microsurgical technique and neuronavigation can grantee maximal tumor resection with preservation of the normal vascular and neural structures.
Long term follows up is mandatory to check for any recurrences.
Higher meningiomas grades like grade 2 and 3 may need more aggressive treatment which may include post-operative radiotherapy.
please click here to view complete article
Figure 1
Figure 2
Figure 3
Figure 4
Figure 5