Rare Case Report on Multifocal Extra Nodal Rosai-Dorfman Disease in a Treated Patient of Medulloblastoma.

Rare Case Report on Multifocal Extra Nodal Rosai-Dorfman Disease in a Treated Patient of Medulloblastoma.

Dr. Narendra Singh Butola1*, Dr Pramod S Chinder2, Dr Yogarakshith A.R3

 

1,3.  Fellow in musculoskeletal oncology, HCG Cancer Centre, Bengaluru.

 2. Head of Dept. Musculoskeletal Oncolgy, HCG Cancer Centre, Bengaluru.

 

*Correspondence to: Dr. Narendra Singh Butola, Fellow in musculoskeletal oncology, HCG Cancer Centre, Bengaluru. narendrabuola00@gmail.com

Copyright.

© 2024 Dr. Narendra Singh Butola. This is an open access article distributed under the Creative Commons Attribution License, which permits unrestricted use, distribution, and reproduction in any medium, provided the original work is properly cited.

Received: 11 January 2024

Published: 27 January 2024

DOI: https://doi.org/10.5281/zenodo.14185278


ABSTRACT

Rationale- Rosai-Dorfman disease (RDD) is a rare histiocytic disorder typically presenting as painless cervical lymphadenopathy. Extranodal involvement is common and may also affect bones. Here we present an old treated patient of medulloblastoma, now presented with multifocal bone manifestations involving vertebral body, neck of left femur and right ischium with risk of impending fracture in the region of neck of left femur. Multifocal bone involvement is exceedingly rare and heterogeneous. Clinical outcome in terms of mortality seems to be favorable in most cases. Currently, therapy strategies include surgical and immunosuppressive treatments, but the optimal treatment of osseous RDD remains to be defined.

Patient concerns- A 31 year old female presented with complaints of generalized bony pains with pain in left hip region.

Intervention- Cemented modular bipolar hemiarthroplasty for left hip.

Lessons- This case suggests that RDD can present with multiple skeletal lesions with risk of impending fracture which needs early prophylactic intervention.

Abbreviation- RDD = Rosai-Dorfman disease.


Rare Case Report on Multifocal Extra Nodal Rosai-Dorfman Disease in a Treated Patient of Medulloblastoma.

Introduction

RDD is a rare ailment with an unknown pathophysiology that is characterised by the growth of giant histiocytes with distinct intact intracytoplasmic leukocytes (emperipolesis) and a variable mixed inflammatory infiltrate (1). Rosai-Dorfman disease (RDD), also known as sinus histiocytosis with massive lymphadenopathy, is a rare lymphocytic condition that usually manifests as painless cervical lymphadenopathy in teenagers and young adults (2).  Although RDD may develop primarily in a number of extranodal sites, including skin, subcutaneous tissue, deep soft tissue, bone, head and neck, visceral organs, central nervous system, breast, thyroid, salivary glands, mesentery, and retroperitoneum, it typically manifests in lymph nodes, which are involved in most patients. 43% of cases of RDD are extranodal (3). Fever, leukocytosis, anaemia, weight loss, and polyclonal hypergammaglobulinemia are a few examples of systemic symptoms that might occur in patients of RDD (4). In less than 10% of patients with RDD, there is bone involvement. Because osseous RDD is so uncommon and has a strong inflammatory component, diagnosing it can be challenging because it is frequently mistaken for other lesions like lymphoma, Langerhans cell histiocytosis (LCH), osteomyelitis, storage disorders, and sarcoma. It may be difficult to diagnose extranodal forms or situations where there is considerable fibrosis or little emperipolesis (5). RDD has recently been recommended as a separate category ("R group") in a revised classification of histiocytic disorders and neoplasms of the macrophage-dendritic cell lineage due to its distinct features. RDD histiocytes can be distinguished from Langerhans histiocytosis by their immunohistochemical staining, which is positive for CD68, CD14, HLA-DR, fascin, CD163, and S100 and typically negative for CD1a (6).

 

Case Report

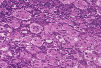
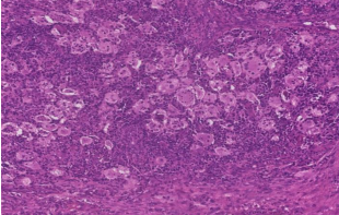
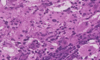
31 year old female presented to us with complaints of limp while walking from past few months. No history of fever, loss of appetite, weight loss or any other constitutional symptoms. Patient is a post operated case of Medulloblastoma brain and occipital craniotomy with VP shunting was done in May 2018 in London for the same along with adjuvant chemo-radiation. Patient received craniospinal radiotherapy (35Gy/21fractions) + (20Gy/12 fractions) for approx. 6 weeks in Aug-Sep 2018. Patient received 6 cycles of Cisplatin, Vincristine and Lomustine, during Sep 2018-Dec 2018. Patient was on regular follow up and regular MRI Brain was done during follow up and patient was asymptomatic during the time period of last 4 years, until last month when she developed sudden onset right lower limb limp while walking. Patient was evaluated for above mentioned complaints and relevant scans were done. On X ray (Fig. 1),   MRI (Fig. 2) and PET scan (Fig. 3) multiple lytic lesion were seen involving D7 vertebra, right ischium and left proximal femur. Left proximal femur lesion was measuring 5.5 x 3.8 x 3.2 cm with a cortical breach. CT guided biopsy from D7 vertebra was done which showed typical emperipolesis (Fig. 4) S/O Rosai Dorfman Disease. IHC was done and was positive for S100 and CD68 suggestive and negative for CD1a suggestive of Rosai Dorfman Disease. High risk of pathological fracture of left proximal femur (Mirel’s Score – 11) was explained to the patient and cemented bipolar hemiarthroplasty was done for left hip. Post op patient was mobilized on Day 1 and dressing was changed at Day 5 and patient was discharged at Day 6. Final histopathology impression was s/o Extranodal Rosai Dorfman disease.

 Fig. 1(a) Pre op X ray                                   (b) Post op X ray

Fig. 2 (a) MRI Coronal section                   (b) Axial Section

 Fig. 4 Histopathological images showing emperipolesis in RDD

 

Discussion

Massive bilateral painless cervical lymphadenopathy with a fever, weight loss, and night sweats are the hallmark symptoms of classic RDD (7). Infectious factors, such as the herpes virus, parvovirus B19, Epstein Barr virus, or even bacterial infections, immunodeficiency or autoimmune illnesses, are being considered as potential causes of RDD (idiopathic disease), however the specific cause is yet unknown (8). Skin (10%), nasal cavity (11%), bone (5%–10%), orbital tissue (11%) and the central nervous system (5%), among other extra-nodal locations, are frequently affected. The cranial and facial bones, as well as the long bones, are the most commonly affected areas in osseous lesions (9). Due to the heterogeneous chronic inflammatory infiltration and associated fibrosis and focal osteonecrosis, RDD was most frequently mistaken for granulomatous disease or osteomyelitis. The diagnosis cannot be guided by radiological imaging such as a CT scan or an MRI because they lack specificity (10). RDD diagnosis is never an easy task. Because our patient's medulloblastoma had already been detected and treated with chemotherapy and radiation, our case was more difficult. The diagnosis must be made through histological analysis since emperipolesis is a defining but variable feature. Immunohistochemical staining is also crucial because RDD is characterised by the expression of S-100. A fraction of patients with RDD has been found to contain BRAF, NRAS, KRAS, MAP2K1, or ARAF mutations, according to recent investigations. This could be interpreted as supporting the idea that RDD is a heterogeneous entity with both immunological and malignant manifestations. Treatment guidelines for RDD are still not delineated and patients are managed symptomatically or according to clinical manifestation (11). 20 to 50 % cases of   RDD with asymptomatic cutaneous manifestation can be managed with observation alone and show spontaneous remission (12). Surgical excision is effective in unifocal disease. Surgical resection in multifocal disease is only advisable for the lesions with neurologic or end organ dysfunction. Role of steroids, chemotherapy, immunotherapy and radiation in RDD is still under research with variable efficacy depending upon the subtype (11). Prognosis in RDD is variable, cutaneous RDD usually shows favorable prognosis whereas prognosis in RDD with multifocal lesions or multisystem involvement is usually poor.

This case is worth notifying because of two reasons first there is a prior history of chemoradiation for a brain medulloblastoma and as there is no literature review accessible in this area, further discussion regarding the relationship between medulloblastoma and RDD is needed, second reason is multifocal nature of our case. In our case skeletal lesions are seen involving femur, pelvis and vertebrae which is very rarely seen in RDD.

 

Conclusion

RDD is a rare disorder that can present as multiple skeletal lesions in patients with a history of malignancy. The diagnosis is made based on histopathology and immunohistochemistry, and treatment depends on the extent and severity of the disease. Our case highlights the importance of considering RDD in the differential diagnosis of patients with multiple skeletal lesions and a history of malignancy.

 

References

1.Adam R, Harsovescu T, Tudorache S, Moldovan C, Pogarasteanu M, Dumitru A, Orban C. Primary Bone Lesions in Rosai-Dorfman Disease, a Rare Case and Diagnostic Challenge-Case Report and Literature Review. Diagnostics (Basel). 2022 Mar 23;12(4):783. doi: 10.3390/diagnostics12040783. PMID: 35453831; PMCID: PMC9032234.

2.Jiang H, Song J, Lin W, Yi M, Yao M, Ding L. Rosai-Dorfman disease with spine involvement: A case report. Medicine (Baltimore). 2022 Feb 25;101(8):e28413. doi: 10.1097/MD.0000000000028413. PMID: 35212270; PMCID: PMC8878865.

3.Sassi F, M'rad H, Kacem LB, Sassi B, Hannachi S, Rammeh S. A lesion of the patella: An unexpected location of Rosai-Dorfman disease: A case report. Int J Surg Case Rep. 2022 Sep;98:107510. doi: 10.1016/j.ijscr.2022.107510. Epub 2022 Aug 13. PMID: 35985119; PMCID: PMC9411659.

4.Garcia RA, DiCarlo EF. Rosai-Dorfman Disease of Bone and Soft Tissue. Arch Pathol Lab Med. 2022 Jan 1;146(1):40-46. doi: 10.5858/arpa.2021-0116-RA. PMID: 34965285.

5.Demicco EG, Rosenberg AE, Björnsson J, Rybak LD, Unni KK, Nielsen GP. Primary Rosai-Dorfman disease of bone: a clinicopathologic study of 15 cases. Am J Surg Pathol. 2010 Sep;34(9):1324-33. doi: 10.1097/PAS.0b013e3181ea50b2. PMID: 20679880.

6.Mosheimer BA, Oppl B, Zandieh S, Fillitz M, Keil F, Klaushofer K, Weiss G, Zwerina J. Bone Involvement in Rosai-Dorfman Disease (RDD): a Case Report and Systematic Literature Review. Curr Rheumatol Rep. 2017 May;19(5):29. doi: 10.1007/s11926-017-0656-6. PMID: 28401384; PMCID: PMC5388731.

7.Bruce-Brand C, Schneider JW, Schubert P. Rosai-Dorfman disease: an overview. J Clin Pathol. 2020 Nov;73(11):697-705. doi: 10.1136/jclinpath-2020-206733. Epub 2020 Jun 26. PMID: 32591351.

8.Delacre taz F, Meuge -Moraw C, Anwar D, Borisch B, Chave JP. Sinus histiocytosis with massive lymphadenopathy (Rosai Dorfman disease) in an HIV-positive patient. Virchows Arch A Pathol Anat Histopathol. 1991;419(3) : 251-254.

9.Cohen Aubart F, Idbaih A, Emile JF, Amoura Z, Abdel-Wahab O, Durham BH, Haroche J, Diamond EL. Histiocytosis and the nervous system: from diagnosis to targeted therapies. Neuro Oncol. 2021 Sep 1;23(9):1433-1446. doi: 10.1093/neuonc/noab107. PMID: 33993305; PMCID: PMC8408883.

10.Patel MH, Jambhekar KR, Pandey T, Ram R. A rare case of extra nodal Rosai-Dorfman disease with isolated multifocal osseous manifestation. Indian J Radiol Imaging. 2015 Jul-Sep;25(3):284-7. doi: 10.4103/0971-3026.161459. PMID: 26288524; PMCID: PMC4531454.

11.Abla O, Jacobsen E, Picarsic J, Krenova Z, Jaffe R, Emile JF, Durham BH, Braier J, Charlotte F, Donadieu J, Cohen-Aubart F, Rodriguez-Galindo C, Allen C, Whitlock JA, Weitzman S, McClain KL, Haroche J, Diamond EL. Consensus recommendations for the diagnosis and clinical management of Rosai-Dorfman-Destombes disease. Blood. 2018 Jun 28;131(26):2877-2890. doi: 10.1182/blood-2018-03-839753. Epub 2018 May 2. PMID: 29720485; PMCID: PMC6024636.

12.Pulsoni A, Anghel G, Falcucci P, et al. Treatment of sinus histiocytosis with massive lymphadenopathy (Rosai-Dorfman disease) : report of a case and literature review. Am J Hematol. 2002;69(1):67-71

Figure 1

Figure 2

Figure 3

Figure 4

Figure 5

Figure 6

Figure 7

Figure 8

analisis kuantitatif permainan pola hasilanalisis momentum strategi observasi algoritmikanalisis statistik permainan pola hasildinamika rtp pola keputusan pemaineksplorasi data game digital strategifluktuasi rtp strategi dinamika kasinogame jadi cerdas algoritma ai pgsoftketika rtp strategi adaptif kasino onlinememahami ritme spin mahjong waysmemahami rtp sebagai dasar bermain onlinemembaca pergerakan rtp faktor penentu kasinomenggali data game digital strategimodel strategis berbasis algoritma akuratoptimalisasi algoritma permainan ai pgsoftoptimalisasi interaksi digital data gameoptimalisasi observasi algoritma titikpendekatan algoritma optimasi analisispendekatan data pola hasil permainanperan data game digital strategiperubahan ritme spin mahjong waysritme spin mahjong ways dinamisstrategi berbasis ketepatan analisis momentumstudi analisis data permainan polateknik analisis statistik pola permainantransformasi strategi interaksi digitaldinamika baru mahjong ways scatter wilddinamika baru mahjong wins pola scatterharmoni visual simbol mahjong bersinarjejak halus scatter hitam rantai mahjong winsjejak rahasia mahjong wins scatter disadarijejak scatter hitam kombinasi tak terdugakeindahan perkalian besar mahjong wayskejutan kombinasi mahjong wins scatterketika scatter hadir alur tak terdugaketika scatter hitam peluang besar mahjong winsmengungkap hubungan scatter hitam panjangmenyelaraskan insting pola scatter hitammomen terduga scatter wild mahjongnuansa baru pola mahjong ways scatterpola kombinasi mahjong ways dinamispola muncul scatter hitam kombinasi mahjongscatter wild gerbang kombinasi mahjongscatter wild pemicu lonjakan kombinasiscatter wild pemicu paling setiap putaransekejap berubah scatter wild mahjongsentuhan baru scatter wild ritme mahjongtitik balik mahjong besar scatter wildtransformasi pola spin mahjong scatterdari hening pola mahjong wins tak terdugadari sunyi awal pola scatter hitam mahjonggerakan reel mahjong wins scatter hitamketika rtp mahjong wins strategi bermainketika scatter wild alur mahjong drastisketika susunan grid mahjong berubahmembaca alur permainan scatter hitammembaca reel mahjong mengarah scattermengamati tempo mahjong scatter hitammunculnya scatter wild mahjong wayspergeseran pola mahjong scatter wildperubahan pola mahjong ways scatterperubahan tempo mahjong scatter wildpola aktivitas reel mahjong kerap scatterputaran mahjong menyimpan kejutan besarreel mahjong wins mulai datang scatterrtp mahjong kompas pola permainanrtp mahjong membaca peluang putaranrtp mahjong wins menyusun pola bermainsaat tempo spin mahjong wins scatteraktivitas reel mahjong jalan scatter hitamalur pola mahjong wins scatter hitamdaya pikat mahjong rangkaian kombinasidinamika reel mahjong pola kombinasifenomena langka scatter wild mahjongfenomena pergantian pola mahjong scatterformasi simbol mahjong pola mudah ditebakaksi mendadak naga emas ritme mahjongfragmen simbol kunci pola mahjongintervensi naga emas ritme mahjongjejak balik pecahan simbol mahjong winsjejak energi pecahan scatter hitamjejak energi pecahan scatter hitam mahjongjejak rtp tinggi terbentuk kombinasi scatterjejak tersembunyi balik pecahan simbolketika rtp kompas setiap putaran mahjongketika scatter menari reel mahjong peluangkilauan emas reel mengubah segalanyakombinasi scatter hitam scatter wild mahjongmahjong ways prediksi pecah selayarmembaca arah rtp mahjong wins awalmenyelaraskan insting rtp reel akuratmisteri rtp tinggi kemunculan scatter hitammomen epik reel mahjong ways scattermomen langka naga emas mahjongmomen naga emas mendominasi mahjongpergeseran mendadak stabil scatter emasrahasia jejak pola scatter hitam mahjongrahasia rtp tinggi dalam scatter hitamrtp membentuk pola mahjong scatter hitamsaat reel mahjong kendali scatter emastransformasi reel mahjong energi emase5 dampak data rtp live terhadap adaptasi dan presisi ai kasino digitale5 data rtp harian jadi dasar pengembangan strategi moderne5 data rtp harian membentuk strategi bermain yang lebih adaptife5 data rtp harian mendorong evolusi strategi permainane5 era baru rtp live berkat teknologi artificial intelligence canggihe5 evolusi rtp live menuju era artificial intelligence moderne5 evolusi strategi permainan dimulai dari data rtp hariane5 formasi favorit pemain pro awal mula scatter di mahjong wins 3e5 formula strategis analisis momentum berbasis sistem data moderne5 fungsi scatter wild kian dominan di setiap sesi mahjong ways 2e5 hubungan rtp live dengan optimalisasi sistem ai di industri kasino moderne5 inovasi rtp live melalui sistem artificial intelligence generasi terbarue5 inovasi scatter wild hadirkan nuansa berbeda di mahjong ways 2e5 integrasi data dan algoritma dalam strategi membaca momentume5 jangan lewatkan pola ini disebut paling sering hasilkan scattere5 keberadaan scatter wild menentukan dinamika putaran mahjong ways 2e5 kehadiran scatter wild ubah ritme permainan mahjong ways 2 secara signifikane5 mahjong ways 2 makin menarik berkat sentuhan scatter wild di tiap putarane5 mahjong ways 2 mengandalkan scatter wild sebagai elemen strategise5 mahjong ways 2 tunjukkan pentingnya scatter wild di setiap putarane5 mengembangkan strategi momentum dengan dukungan data dan algoritmae5 mengkaji peran rtp live dalam pengembangan ai kasino generasi barue5 metode analisis momentum berbasis data dan perhitungan algoritmae5 optimalisasi momentum lewat strategi berbasis data akurate5 optimalisasi rtp live lewat teknologi artificial intelligence inovatifrm mengintip inovasi terbaru mahjong ways tantangan fairrm pengaruh ketelitian membaca peluang mahjong winsrm dampak positif analisis data akurasi mahjong waysrm analisis pergerakan dinamis gates of olympus pengalamanrm mengasah ketajaman insting latihan pengamatan mahjong waysrm menelaah cara kerja algoritma mahjong ways sistemrm mengenal mekanisme jatuhnya simbol gates of olympusrm strategi menghadapi tekanan level sulit mahjong winsrm langkah taktis mengambil keputusan cepat mahjong waysrm mahjong wins berhasil menciptakan ekosistem permainan dinamisrm mahjong ways tolok ukur keberhasilan game modernrm pentingnya memahami urutan karakter mahjong wins maksimalrm fakta kecepatan server mahjong ways jamin kelancaranrm mengukur efektivitas teknik fokus menghadapi mahjong winsrm tips mengatur emosi konsentrasi dinamika mahjong waysrm rahasia sistem keamanan mahjong wins kenyamanan penggunarm cara mengenali karakteristik unik putaran mahjong waysrm alasan mahjong ways posisi teratas klasemen digitalrm cara meningkatkan kualitas analisis putaran mahjong winsrm menemukan celah efisiensi pengamatan rutin mahjong waysrm analisis mendalam mahjong ways merespon input pemainrm perkembangan teknologi visual mahjong ways sensasi nyatarm mahjong wins bahan diskusi praktisi teknologi digitalrm strategi memanfaatkan momentum tepat mahjong waysrm memahami logika dasar transisi fitur mahjong waysoke76cincinbetaqua365slot gacorstc76samurai76TOBA1131samurai76 login