Bethesda Category III Thyroid Lesion (Aus/Flus) Profile in an Oncology Set Up of Eastern India

Bethesda Category III Thyroid Lesion (Aus/Flus) Profile in an Oncology Set Up of Eastern India

Dr. Kaushambi Chakraborty1, Dr. Ishita Sen*2

 

1,2. Chittaranjan National Cancer Institute, Kolkata, India.

*Correspondence to: Dr. Ishita Sen, Chittaranjan National Cancer Institute, Kolkata, India.

Copyright.

© 2024 Dr. Ishita Sen. This is an open access article distributed under the Creative Commons Attribution  License, which permits unrestricted use, distribution, and reproduction in any medium, provided the original work is properly cited.

Received: 30 January 2024

Published: 07 February 2024

DOI: https://doi.org/10.5281/zenodo.14185448


ABSTRACT

Background:

This study conducted in a tertiary care oncological set up of Eastern India emphasizes on Bethesda III (AUS/FLUS) positivity on initial FNAC of all palpable thyroid SOLs and incidentalomas. Also, how these cases evolve eventually on subsequent cytology or histopathology has been depicted with detailed categorization.

Results:

18.5% of all the Bethesda III cases were papillary carcinoma, 44.4% were Non invasive follicular thyroid neoplasm with papillary like nuclear features and 19% cases were follicular adenoma on final histopathology. The Risk of Malignancy amongst all the patients with Bethesda III nodules who underwent surgery was 23.8%.

Conclusion:

Clinicoradiological correlation with Fine needle aspiration findings and ultrasound guided aspiration whenever repeat aspiration is recommended are the key to precision in diagnosis and planning for surgical intervention.

Keywords:

Fine needle aspiration cytology (FNAC), Papillary thyroid carcinoma, Bethesda III, Non Invasive follicular thyroid neoplasm with papillary like nuclear features (NIFTP), Risk of Malignancy (ROM)


Bethesda Category III Thyroid Lesion (Aus/Flus) Profile in an Oncology Set Up of Eastern India

Background

Thyroid swelling remains a problem of enormous problems all over the world. According to GLOBOCAN 2018 data, thyroid cancer is ranked 9th according to the incidence, accounting for 3.1% of global cancer incidence. Females are affected three times more than men, by thyroid disorders with global incidence of 10.2 per 100, 000 population1. FNAC is accepted as a simple, cost-effective, minimally invasive, low complication diagnostic tool for thyroid lesions used extensively. It can also be used to categorize these lesions into operative group and non-operative groups. According to a recent study, palpable thyroid nodules have been found to be prevalent in only 12.2% of the study population2. These could be benign hyperplastic nodules or true neoplasms with the later being 5-20% of these 3. Also, good yield FNACs have drastically reduced the incidences of unnecessary surgeries in benign cases and increased the rate of surgeries in malignant cases. Hence over the decades FNAC has become a very important in the influencing the therapeutic decisions. The Bethesda system which  has been time tested for reporting thyroid cytopathology (TBSRTC) has minimized the interobserver variability and increased the accuracy of diagnosis . Though readily available and time saving with high accuracy, sensitivity and specificity, FNAC has been posing diagnostic challenges for pathologists. For Bethesda III category FNAC specimen findings largely are affected by interobserver variation with findings varying as prominent population of microfollicles to hurthle cells predominance in pauci- cellular aspirate4. Hence, repeated evaluation is being required for this category and whenever a follicular carcinoma is being suspected, a biopsy or an operative procedure may have to be considered5. Correlation radiologically has role in better aspiration, also molecular testing is being advocated for Bethesda III category.

Thus, we wanted to conduct a study and analyze the co-relation between the clinical, cytological, histomorphological diagnosis in our setup where the number of cases of thyroid is voluminous. We also have evaluated the short comings and the neoplasms of undetermined significance (Bethesda category III) and their final diagnosis and management.

 

Methods

We conducted a prospective study in a tertiary care oncological set up in Eastern India at CNCI Hazra, Kolkata. A total number of 309 cases very taken into consideration over a period of 3 years. Our clinical data includes age, gender, clinical features and ultrasound findings. FNAC procedure was done after explaining to the patients and aspiration was done after taking their consent for the procedure and subsequent publication with complete anonymity. FNAC was performed with 25mm long 23 gauge needle attaching a 5cc or a 10cc disposable syringe (minimal aspiration technique) keeping the patient in a supine position. In a few cases ultrasound guided FNAC was done. One to four passes were done in each case and the stains used were diff-quik, hematloxyline and eosin and Papanicolauo.  A minimum of two pathologists have screened the slides and Bethesda system for Reporting Thyroid Cytopathology was followed to subcategorize each them6,7. The Risk of Malignancy (ROM) was estimated using the formula used by HO et al8.

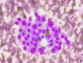
Fig. 1: Cytology of Bethesda III

 

Results

In this 3 year study we found out that 27 cases were subcategorized as Bethesda category III (Fig.1). Patients were mostly between the age group of 31-40 followed by 21-30 years in the AUS/FLUS category. 11(40.7%) cases were in the age group of 31-40 years, 9 cases (33.3%) were in the age group of 21-30 years, 4 cases (14.8%) were in the age group of 41-50 years, 2 cases (7.5%) were in the group of 51-60 years, 1 case (3.7%) was in the group of 61-70 years (Fig. 2). Out of these 27 cases, histopathology examination was available for 21 cases. Out of these,6 cases for whom histopathology was not available, 5 patients had an incidental finding of thyroid SOL or an incidentaloma of thyroid on Whole body positron emission tomography scan and underwent USG and FNAC to rule out suspicion, the other one had a small thyroid SOL in a parotid malignancy patient. All of these patients had USG findings of TIRADS 1/2 and were subjected to follow up after 3months and subsequent repeat FNAC which turned out to be Bethesda II in 4 patients while 2 patients were lost to follow up.18 out of the 21 cases were subjected to hemithyroidectomy as 10 of them had TIRADS 3 on USG neck and the other 8 who previously had TIRADS 2 on USG, on repeat FNAC after 3 months had Bethesda III report again.12 of these patients were diagnosed as NIFTP, 2 showed features of papillary thyroid carcinoma(Fig. 3) and 4 cases

 

Fig. 2: Age distribution of Bethesda III patients

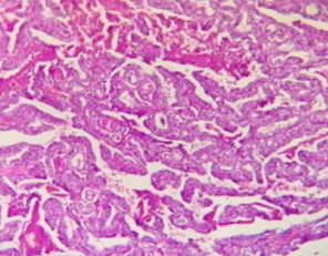
Fig. 3: Histopathology of Papillary  Thyroid Carcinoma

 

were diagnosed as Follicular adenoma. Only 3 cases were subjected to total thyroidectomy as the USG findings were suspicious (TIRADS III/TIRADS IV) and the tumour size was > 4 cm with 1patient being male . The final HPE was papillary thyroid carcinoma though FNAC revealed follicular adenoma (Fig. 4). The 2 cases of PTC that were reported as Category III and underwent hemithyroidectomy had undergone cystic degeneration and hence underwent a completion thyroidectomy later.  The cases of follicular adenoma that were subjected to total thyroidectomy had very poor cellularity and US guided repeat aspiration was advised to the patients, but the patient opted for surgery instead. Thus, 5 out of 27 cases (18.5%) were papillary thyroid carcinoma (Fig. 4), 44.4% of all Bethesda III cases revealed NIFTP and 19% cases were follicular adenoma on final HPE (Fig 5). The ROM for all patients with Bethesda III(AUS/FLUS) nodules was calculated to be 18.5% and the ROM among patients with Bethesda III(AUS/FLUS) nodules who were subjected to surgery was 23.8% (Table 1).

Fig. 4: Flow Chart depicting Bethesda category III profile in our institutional study

Fig. 5: Pie Chart showing Final HPE of initially Bethesda III patients

 Table 1: Risk of Malignancy for Bethesda category III

RISK OF MALIGNANCY(ROM)

 

Risk of Malignancy among all patients with Besthesda III(AUS/FLUS) nodules

18.5%

Risk of malignancy among patients with Bethesda III(AUS/FLUS) who were subjected to surgery

23.8%

 

 

 

 

 

 

 

Discussion

Thyroid malignancies have variable incidence around the globe. According to the Global cancer statistic 2018, it is seen to have over 10 fold difference in incidence across the entire world among both males and females9. There was a high percentage of malignant cases in our study as it was carried out in a oncology centre as opposed to the other studies which were undertaken in medical colleges and general hospitals. FNAC is popularly used as a primary diagnostic modality in thyroid lesion which helps in triaging them as benign and malignant. With the introduction of TBSRTC uniformity in the cytopathology reporting across the world and reduce the interobserver variability.  The most heterogeneous category is III AUS/FLUS which has be to be evaluated with proper cytomorphology and ancillary studies. The use of Category III should be limited to <10% of the total thyroid aspirates. In our study the cases in this category accounted for 8.7%. It is recommended by TBSRTC that the Category III lesions should go for repeat of US guided FNAC as there is 16% possibility of cancer for the indeterminate or the Bethesda 3 category10. An AUS/FLUS nodule after resection is either a benign or a malignant entity. In the recent edition of TBSRTC the ROM (risk of malignancy) has revised to10-30% if NIFTP is considered malignant and if NIFTP is excluded from the malignant group then its 6-18%. NIFTP was considered to be malignant in our study. 2 out of 9 Bethesda 3 category patients had papillary carcinoma of thyroid while 3 had NIFTP in final histopathological examination.

 

Conclusion

FNAC is a time saving cost effective and minimally invasive modality for triaging thyroid lesions. We have concluded in our study that TBSRTC has effectively reduced the ambiguity in treatment and follow up in thyroid malignancies which in turn increases the overall survival rate in the patients. Clinicoradiological correlation with FNAC findings that is routinely practiced in our setup helped us negate error. Also acquiring samples from different portions of the nodule helped us getting to an accurate diagnosis for most of our cases. Sampling errors and misinterpretation of cytology (FNAC) results in false negative results which ranges from 6.6 to 25%. Hence, USG guided aspiration is recommended for repeat FNAC, for smaller SOLs and also whenever suspicion arises11.

 

Abbreviations:

FNAC- Fine needle aspiration cytology.

NIFTP: Non invasive follicular thyroid neoplasm with papillary like nuclear features

ROM: Risk of malignancy

USG:  Ultrasonography

TIRADS: Thyroid imaging and reporting Data system

HPE: Histopathological Examination

 

Declarations:

Ethics Approval and Consent to participate: Ethical committee approval was not attained as no study on any animal was performed and no experimentation done.

Proper written consent for participation was taken.

Consent for publication: Verbal individual patient consent was taken.

Availability of data and materials:

All data generated or analysed during this study are included in this published article.

Competing Interests: The authors declare that they have no competing interests.

Funding: None

 

References

1. Bongiovanni M, Crippa S, Baloch Z, Piana S, Spitale A, Pagni F, Mazzucchelli L, Di Bella C, Faquin W. Comparison of 5-tiered and 6-tiered diagnostic systems for the reporting of thyroid cytopathology: a multi-institutional study. Cancer Cytopathol. 2012;120(2):117–25.

2. Usha Menon V, Sundaram KR, Unnikrishnan AG, Jayakumar RV, Nair V, Kumar H. High prevalence of undetected thyroid disorders in an iodine sufficient adult south Indian population. J Indian Med Assoc. 2009 Feb;107(2):72-7. PMID: 19585813.

3. Bhattarai, Mamata & Bhattarai, Madhura & Karki, Buddha & Bajracharya, M.R. (2020). Sonographic features of Thyroid nodule for predicting risk of malignancy.

4. Edmund S. Cibas, MD,1 and Syed Z. Ali, MD. The Bethesda System for Reporting Thyroid Cytopathology. Am J Clin Pathol 2009;132:658-665 DOI: 10.1309/AJCPPHLWMI3JV4LA

5. Yaprak Bayrak, B., Eruyar, A.T. Malignancy rates for Bethesda III and IV thyroid nodules: a retrospective study of the correlation between fine-needle aspiration cytology and histopathology. BMC Endocr Disord 20, 48 (2020). https://doi.org/10.1186/s12902-020-0530-9

6. Cibas ES, Ali SZ. The Bethesda system for reporting thyroid cytopathology. Thyroid 2009;19:1159-65.

7. Cibas ES, Ali SZ. The 2017 Bethesda system for reporting thyroid cytopathology. J Am Soc Cytopathol 2017;6:217-22.

8. Ho AS, Sarti EE, Jain KS, Wang H, Nixon IJ, Shaha AR, et al. Malignancy rate in thyroid nodules classified as Bethesda category III (AUS/FLUS). Thyroid 2014;24:832-9.

9. Bray F, Ferlay J, Soerjomataram I, Siegel RL, Torre LA, Jemal A. Global cancer statistics 2018: GLOBOCAN estimates of incidence and mortality worldwide for 36 cancers in 185 countries. CA Cancer J Clin 2018;68:394-424.

10. Clinical thyroidology for patients. Volume 6, issue 3, 2013. http://www.thyroid.org/?page_id=11263

11. Sujatha R.1, Gayathri J.2,*, H.T. Jayaprakash3Thyroid FNAC: Practice and Pitfalls.. Indian Journal of Pathology and Oncology, April-June 2017;4(2):203-206.

Figure 1

Figure 2

Figure 3

Figure 4

Figure 5

antarmuka fokus mahjong daya pengguna aktifaws grid serasi mahjong dasar tahapan terjagaaws jejak mekanisme mahjong arah fase lanjutanaws kajian wild berantai mahjong interaktif analitisaws kesesuaian persentase layanan mahjong seluler lanceraws pendalaman persentase mahjong gerak wild mutakhircorak langka mahjong tumbuh perlahan berubahgerak mahjong adaptasi mekanisme pemakai sekarangnalar scatter mahjong malam putaran ekstratempo mahjong kaitan mekanisme keadaan terkinialur permainan mahjong cepat scatter wilddalam hitungan detik scatter wild mahjongmenyatukan naluri pola scatter hitam mahjongmomen mahjong permainan berbalik arahmomen singkat mahjong dinamika permainanperpaduan insting pola scatter hitam momentperubahan drastis mahjong ways scatter wildscatter wild mahjong datang polasekejap berubah scatter wild mahjong wayssensasi baru mahjong lebih scatter wildenergi scatter emas irama reel mahjongevolusi reel mahjong balutan mistisintervensi cepat emas momentum lamakemunculan mendadak naga emas mahjongketika scatter naga emas aktif mahjongnaga emas muncul arah spin mahjongnaga emas ritme mahjong ways berubahrahasia rtp tinggi balik scatter hitamsaat scatter naga emas alih irama reelscatter hitam kunci lonjakan rtp mahjonge5 scatter wild memberikan sentuhan baru di setiap spin mahjong ways 2e5 scatter wild menghidupkan suasana permainan mahjong ways 2e5 scatter wild mengubah pola permainan mahjong ways 2 secara signifikane5 setiap putaran mahjong ways 2 terasa berbeda dengan scatter wilde5 strategi adaptif berbasis analisis rtp hariane5 strategi berbasis data dan algoritma untuk analisis momentume5 strategi berkembang berkat data rtp hariane5 strategi memahami algoritma untuk mengidentifikasi momentum ideale5 strategi membaca pola algoritma demi menangkap momentum optimale5 strategi modern mengandalkan evaluasi rtp hariane5 strategi responsif dengan dukungan evaluasi rtp hariane5 strategi terukur dengan analisis rtp hariane5 struktur scatter dan wild terlihat jelas berkat analisis sistem moderne5 tanpa disadari kombinasi ini sering mengarah ke scatter di mahjong wins 3e5 teknik evaluasi algoritma untuk mendapatkan momentum yang tepate5 teknik observasi sistem untuk analisis momentum yang lebih presisie5 terungkap formasi ini sering jadi awal munculnya scatter di mahjong wins 3e5 transformasi digital rtp live berkat artificial intelligence inovatife5 transformasi ritme mahjong ways 2 dipicu oleh kekuatan scatter wilde5 wajib tahu pola tersembunyi ini sering menghasilkan scattere5 applee5 bananae5 candye5 doge5 eaglee5 falcone5 geminie5 horsee5 indiae5 japananalisa pola mahjong ways rutinanalisis kinerja heuristik variansi gameanalisis pola mahjong ways hariananalisis pola mahjong ways kebiasaanera baru mahjong wins bonus optimalgebrakan bonus mahjong wins mekanisme efisieninsight pola mahjong ways rutinkajian pola mahjong ways rutinkomparasi heuristik variansi game digitalledakan bonus mahjong wins sistem efektifmahjong wins bonus sistem generasi baruobservasi pola mahjong ways harianpendekatan algoritma heuristik variansi gameperbandingan model heuristik variansi gamerahasia bonus mahjong wins sistem cerdasrangkuman pola mahjong ways harianringkasan pola mahjong ways harianstudi pola mahjong ways hariantinjauan heuristik variansi game digitaltinjauan pola mahjong ways harianalur sombol mahjong kemunculan scatterdari rtp mahjong bermain lebih efektifjejak scatter mahjong putaran tenangkejutan scatter wild simbol mahjong arahkemunculan simbol ganda membuat mahjongketika grid mahjong scatter semakin dekatketika rtp mahjong pola mulai lebih jelasketika scatter wild ritme simbol mahjongketika scatter wild titik sesi mahjong waysketika susunan simbol mahjong ritme scattermemahami rtp mahjong cara bermain lebihpergerakan simbol mahjong scatter wildpergeseran mahjong ketika scatter hadirsaat rtp mahjong terbaca baik strategisaat scatter hadir simbol mahjong bergeserscatter wild dinamika simbol mahjongstabilitas putaran mahjong pola scattersusunan baru reel mahjong scatter emassusunan mahjong wins mengandung scattersusunan simbol mahjong diam pola scatterrm menguak keunikan mahjong wins sudut pandang teknisrm cara memahami pergerakan mahjong ways tenaga ekstrarm mahjong wins standar baru industri hiburan digitalrm rahasia ketahanan mahjong ways eksis gempuran gamerm pentingnya memahami transisi level mahjong wins mendalamrm strategi mengatur tempo mahjong ways kendali permainanrm peran kecerdasan buatan mekanisme mahjong wins adilrm alasan keberhasilan mahjong ways mencuri perhatian analisrm mempelajari struktur dasar mahjong wins efisiensi putaranrm inovasi desain mahjong ways kesan bermain responsifrm teknik observasi mahjong wins jarang dibahas dampakrm cara mempertahankan fokus dinamika mahjong ways cepatrm eksplorasi fitur tersembunyi mahjong wins ritme terbaikrm mahjong ways integrasi teknologi modern keamanan nyamanrm analisis faktor pendukung mahjong wins digemari generasirm langkah efektif menyesuaikan perubahan sistem mahjong waysrm mengintip proses pengembangan mahjong wins kualitas penggunarm analisis data membantu membaca arah mahjong waysrm menemukan titik temu insting logika mahjong winsrm transformasi besar mahjong ways menghadirkan tantangan menarikmengungkap simbol langka nasib drastismisteri besar kombinasi simbol langkamisteri simbol langka keberuntungan besarsimbol langka misterius ubah hiduprahasia simbol langka nasib cepattransformasi bonus mahjong wins sistem efektifmahjong wins suguhkan bonus sistem modernsuguhan bonus efisien mahjong winsefektivitas sistem bonus mahjong winsmahjong wins hadirkan bonus sistem optimaloke76cincinbetaqua365slot gacorstc76samurai76TOBA1131samurai76 login