Physiological Interactions between the Cardiovascular and Endocrine Systems: Hyperthyroidism and Pulmonary Hypertension

Physiological Interactions between the Cardiovascular and Endocrine Systems: Hyperthyroidism and Pulmonary Hypertension

Avani Vinodbhai Mendpara*

Correspondence to: Avani Vinodbhai Mendpara, Consultant Physician (Internal Medicine), J Doshi Hospital, Rajkot (Gujarat), India.


Copyright

© 2024 Avani Vinodbhai Mendpara. This is an open access article distributed under the Creative Commons Attribution License, which permits unrestricted use, distribution, and reproduction in any medium, provided the original work is properly cited.

Received: 10 Dec 2024

Published: 21 Dec 2024


Abstract:

Pulmonary hypertension is defined as the mean arterial pressure greater than 20 mmHg. Thyroid disorders may induce systemic manifestations of pulmonary hypertension (PH), physiological causes of which are not well understood. PH can be caused by a number of conditions, including HIV, connective tissue disorders, hypoxic chronic lung diseases, chronic thromboembolism, and left heart problems. Pulmonary hypertension secondary to Thyroid disorder is rare. Here we report a case of pulmonary hypertension caused by grave’s disease which emphasize the fact that physicians considering thyroid disorders causing pulmonary hypertension plays a pivotal role in reducing mortality and morbidity.


Physiological Interactions between the Cardiovascular and Endocrine Systems: Hyperthyroidism and Pulmonary Hypertension

Introduction

Pulmonary hypertension (PH) is defined as the mean pulmonary arterial pressure greater than 20 mmHg1; it requires a high degree of suspicion for diagnosis because of no specific signs and symptoms and low prevalence. Dyspnea on exertion, lower limb edema, hepatomegaly and syncope are commonly associated signs and symptoms of pulmonary hypertension2. Various conditions like left heart diseases, hypoxic chronic lung diseases, chronic thromboembolism, connective tissue diseases, hereditary diseases, HIV can cause PH1. Thyroid diseases causing pulmonary hypertension is a result of systemic manifestations of which the physiological mechanisms are unclear3.

Thyroid hormone effects the cardiovascular system due to 1) interactions with autonomic nervous system, 2) effect on vascular bed and endothelial function, 3) direct effect on cardiac tissues4. Hyper or Hypo thyroid levels exacerbate these effects. Thyroid hormone modulates the peripheral vascular tone by interfering in the biochemical cascade of the beta-adrenergic biochemical pathways. It has positive chronotropic and ionotropic effect on myocardial contraction.

Thyroid functional status influences the vascular tone by interfering with the alpha 1 adrenergic stimulation, it also alters the vascular wall morphology. Pulmonary vascular bed can be considered as a possible final target of these cardiac and vascular alterations. We present a case of Pulmonary hypertension caused by graves’ disease.

 

Case Details                     

A 57-year-old female presented to the hospital with chief complaints of breathlessness which was grade III MMRC since 1 week. Patient had no other significant clinical history. On examination patient’s vitals were stable and normal systemic examination. Routine blood investigations were normal.

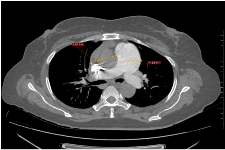
2D ECHO was done and it showed normal Left ventricle systolic function, ejection fraction 60%with moderate pulmonary hypertension (RVSP = 51mmhg). CT Thorax was done and it showed prominent main pulmonary artery and its branches with diffuse mosaic attenuation in bilateral lung fields, mild cardiomegaly and bilateral pleural effusion. Evaluation for pulmonary hypertension was done. D-dimer was 1.46 micro gram /ml. CT pulmonary angiogram was done and it showed no evidence of pulmonary thromboembolism. Anti-nuclear antibody (immunofluorescence) was negative. Thyroid profile was done and it showed TSH < 0.01 m IU/L free T3 11.6 pg/mL freeT4 4.7 ng/dL and anti-thyroid peroxidase >1000 IU/ml. Ultrasound of thyroid showed bilateral lobes of thyroid appearing bulky, heterogenous with increased with vascularity. Patient was diagnosed to have Grave’s disease and patient was started on oral carbimazole 5 mg twice a day.

Fig 1: Ct Chest Showing Dilated Main Pulmonary Artery With Reversal Of Aorta Pulmonary Ratio

 

Discussion

Pulmonary Hypertension is classified based on etiological  and pathophysiological mechanisms into 5 groups. Group 1) idiopathic pulmonary artery hypertension, Group 2) because of left heart diseases, Group 3) due to hypoxia and chronic lung disease, Group 4) CTEPH, Group 5) due to unknown mechanisms5. The possibilities of group 2, group3, group 4 in this case were ruled out with normal CTPA, normal left ventricular function and no prior history of lung conditions hypoxia. Due to hyperthyroidism in our patient, we classified it as group 5 which is associated with metabolic disorders.

Majority of the hyperthyroid cases up to 80% are due to graves’ disease. The cardiovascular effect  of thyrotoxicosis has been well documented in many studies. The association between PH and hyperthyroidism can be either etiological or incidental. No clear pathogenetic mechanisms have been described. Few hypotheses have been proposed of which the main one is the autoimmune hypothesis6. It describes the possible indirect influence of thyroid stimulating hormone receptor antibodies in inducing an immune mediated damage of the vascular endothelium which promotes endothelial dysfunction and develops PH. All patients with graves’ disease do not develop PH so few other mechanisms also have been described which are not in the scope of our discussion.

Few studies describing the prevalence of hyperthyroidism and pulmonary hypertension are SUE et al described 47% of pulmonary hypertension in the study population of 75 patients with hyperthyroidism7. Marvisi et al reported 35% mild PH in patients suffering with grave’s disease and multinodular goiter8. A study by Trapp et al found that the combination of PH hyperthyroidism might induce acute cardiopulmonary decompensation decreasing the patient’s survival, this also signifies the importance of aggressive treatment of hyperthyroidism either pharmacologically or surgically to improve patient’s  survival9. Hypothroidism also causes pulmonary hypertension and the prevalence have been reported at 24% in few studies10.

There are no prospective studies for the treatment of PH due to hyperthyroidism. Few studies and case reports showed significant reduction in pulmonary artery pressure with thyroid suppression drugs suggesting their role in improving the hemodynamic status of patients11.Our case responded well to anti thyroid suppression drugs and clinal symptoms came down.


Conclusion
Pulmonary hypertension group 5 needs extensive evaluation due to its wide range of etiological factors and so rong suspicion is needed. As both hyper and hypo thyroid levels are known to cause pulmonary hypertension a routine thyroid investigation is a mandatory part of pulmonary hypertension evaluation

 

References  

1.  Simonneau G, Montani D, Celermajer DS, Denton CP, Gatzoulis MA, Krowka M, et al. Haemodynamic Definitions and Updated Clinical Classification of Pulmonary Hypertension. Eur Respir J (2018) 53 (1):1801913. doi: 10.1183/13993003.01913-2018

2: Domenighetti G. Prognosis, Screening, Early Detection and Differentiation of Arterial Pulmonary Hypertension. Swiss Med Wkly (2007) 137(23–24):331–6.

3: Scicchitano P, Dentamaro I, Tunzi F, Ricci G, Carbonara S, Devito F, et al. Pulmonary Hypertension in Thyroid Diseases. Endocrine (2016) 54(3):578– 87. doi: 10.1007/s12020-016-0923-8

4: H. Vargas-Uricoechea, A. Bonelo-Perdomo, C.H. Sierra-Torres, Effects of thyroid hormones on the heart. Clin. Investig. Arterioscler. 26, 296–309 (2014)

5: Guidelines for the treatment of pulmonary hypertension (JCS 2017/JPCPHS 2017) Fukuda K, Date H, Doi S, et al. Circ J. 2019;83:842–945.

6: T. Sugiura, S. Yamanaka, H. Takeuchi, N. Morimoto, M. Kamioka, Y. Matsumura, Autoimmunity and pulmonary hypertension in patients with Graves’ disease. Heart Vessel. 30, 642–646 (2015)

7: C.W. Siu, X.H. Zhang, C. Yung, A.W. Kung, C.P. Lau, H.F. Tse, Hemodynamic changes in hyperthyroidism-related pulmonary hypertension: a prospective echocardiographic study. J. Clin. Endocrinol. Metab. 92, 1736–1742 (2007)

8: M. Marvisi, P. Zambrelli, M. Brianti, G. Civardi, R. Lampugnani, R. Delsignore, Pulmonary hypertension is frequent in hyperthyroidism and normalizes after therapy. Eur. J. Intern. Med. 17, 267–271 (2006)

9: C.M. Trapp, R.W. Elder, A.T. Gerken, A.B. Sopher, S. Lerner, G.S. Aranoff, E.B. Rosenzweig, Pediatric pulmonary arterial hypertension and hyperthyroidism: a potentially fatal combination. J. Clin. Endocrinol. Metab. 97, 2217–2222 (2012)

10. A.L. Curnock, R.A. Dweik, B.H. Higgins, H.F. Saadi, A.C. Arroliga, High prevalence of hypothyroidism in patients with primary pulmonary hypertension. Am. J. Med. Sci. 318, 289–292 (1999)

11. R. Thurnheer, R. Jenni, E.W. Russi, P. Greminger, R. Speich, Hyperthyroidism and pulmonary hypertension. J. Intern. Med. 242, 185–188 (1997).  

Figure 1

antarmuka fokus mahjong daya pengguna aktifaws grid serasi mahjong dasar tahapan terjagaaws jejak mekanisme mahjong arah fase lanjutanaws kajian wild berantai mahjong interaktif analitisaws kesesuaian persentase layanan mahjong seluler lanceraws pendalaman persentase mahjong gerak wild mutakhircorak langka mahjong tumbuh perlahan berubahgerak mahjong adaptasi mekanisme pemakai sekarangnalar scatter mahjong malam putaran ekstratempo mahjong kaitan mekanisme keadaan terkinialur permainan mahjong cepat scatter wilddalam hitungan detik scatter wild mahjongmenyatukan naluri pola scatter hitam mahjongmomen mahjong permainan berbalik arahmomen singkat mahjong dinamika permainanperpaduan insting pola scatter hitam momentperubahan drastis mahjong ways scatter wildscatter wild mahjong datang polasekejap berubah scatter wild mahjong wayssensasi baru mahjong lebih scatter wildenergi scatter emas irama reel mahjongevolusi reel mahjong balutan mistisintervensi cepat emas momentum lamakemunculan mendadak naga emas mahjongketika scatter naga emas aktif mahjongnaga emas muncul arah spin mahjongnaga emas ritme mahjong ways berubahrahasia rtp tinggi balik scatter hitamsaat scatter naga emas alih irama reelscatter hitam kunci lonjakan rtp mahjonge5 scatter wild memberikan sentuhan baru di setiap spin mahjong ways 2e5 scatter wild menghidupkan suasana permainan mahjong ways 2e5 scatter wild mengubah pola permainan mahjong ways 2 secara signifikane5 setiap putaran mahjong ways 2 terasa berbeda dengan scatter wilde5 strategi adaptif berbasis analisis rtp hariane5 strategi berbasis data dan algoritma untuk analisis momentume5 strategi berkembang berkat data rtp hariane5 strategi memahami algoritma untuk mengidentifikasi momentum ideale5 strategi membaca pola algoritma demi menangkap momentum optimale5 strategi modern mengandalkan evaluasi rtp hariane5 strategi responsif dengan dukungan evaluasi rtp hariane5 strategi terukur dengan analisis rtp hariane5 struktur scatter dan wild terlihat jelas berkat analisis sistem moderne5 tanpa disadari kombinasi ini sering mengarah ke scatter di mahjong wins 3e5 teknik evaluasi algoritma untuk mendapatkan momentum yang tepate5 teknik observasi sistem untuk analisis momentum yang lebih presisie5 terungkap formasi ini sering jadi awal munculnya scatter di mahjong wins 3e5 transformasi digital rtp live berkat artificial intelligence inovatife5 transformasi ritme mahjong ways 2 dipicu oleh kekuatan scatter wilde5 wajib tahu pola tersembunyi ini sering menghasilkan scattere5 applee5 bananae5 candye5 doge5 eaglee5 falcone5 geminie5 horsee5 indiae5 japananalisa pola mahjong ways rutinanalisis kinerja heuristik variansi gameanalisis pola mahjong ways hariananalisis pola mahjong ways kebiasaanera baru mahjong wins bonus optimalgebrakan bonus mahjong wins mekanisme efisieninsight pola mahjong ways rutinkajian pola mahjong ways rutinkomparasi heuristik variansi game digitalledakan bonus mahjong wins sistem efektifmahjong wins bonus sistem generasi baruobservasi pola mahjong ways harianpendekatan algoritma heuristik variansi gameperbandingan model heuristik variansi gamerahasia bonus mahjong wins sistem cerdasrangkuman pola mahjong ways harianringkasan pola mahjong ways harianstudi pola mahjong ways hariantinjauan heuristik variansi game digitaltinjauan pola mahjong ways harianalur sombol mahjong kemunculan scatterdari rtp mahjong bermain lebih efektifjejak scatter mahjong putaran tenangkejutan scatter wild simbol mahjong arahkemunculan simbol ganda membuat mahjongketika grid mahjong scatter semakin dekatketika rtp mahjong pola mulai lebih jelasketika scatter wild ritme simbol mahjongketika scatter wild titik sesi mahjong waysketika susunan simbol mahjong ritme scattermemahami rtp mahjong cara bermain lebihpergerakan simbol mahjong scatter wildpergeseran mahjong ketika scatter hadirsaat rtp mahjong terbaca baik strategisaat scatter hadir simbol mahjong bergeserscatter wild dinamika simbol mahjongstabilitas putaran mahjong pola scattersusunan baru reel mahjong scatter emassusunan mahjong wins mengandung scattersusunan simbol mahjong diam pola scatterrm menguak keunikan mahjong wins sudut pandang teknisrm cara memahami pergerakan mahjong ways tenaga ekstrarm mahjong wins standar baru industri hiburan digitalrm rahasia ketahanan mahjong ways eksis gempuran gamerm pentingnya memahami transisi level mahjong wins mendalamrm strategi mengatur tempo mahjong ways kendali permainanrm peran kecerdasan buatan mekanisme mahjong wins adilrm alasan keberhasilan mahjong ways mencuri perhatian analisrm mempelajari struktur dasar mahjong wins efisiensi putaranrm inovasi desain mahjong ways kesan bermain responsifrm teknik observasi mahjong wins jarang dibahas dampakrm cara mempertahankan fokus dinamika mahjong ways cepatrm eksplorasi fitur tersembunyi mahjong wins ritme terbaikrm mahjong ways integrasi teknologi modern keamanan nyamanrm analisis faktor pendukung mahjong wins digemari generasirm langkah efektif menyesuaikan perubahan sistem mahjong waysrm mengintip proses pengembangan mahjong wins kualitas penggunarm analisis data membantu membaca arah mahjong waysrm menemukan titik temu insting logika mahjong winsrm transformasi besar mahjong ways menghadirkan tantangan menarikmengungkap simbol langka nasib drastismisteri besar kombinasi simbol langkamisteri simbol langka keberuntungan besarsimbol langka misterius ubah hiduprahasia simbol langka nasib cepattransformasi bonus mahjong wins sistem efektifmahjong wins suguhkan bonus sistem modernsuguhan bonus efisien mahjong winsefektivitas sistem bonus mahjong winsmahjong wins hadirkan bonus sistem optimaloke76cincinbetaqua365slot gacorstc76samurai76TOBA1131samurai76 login