Detachable Cheek Plumpers with Magnetic Attachments for Improving Esthetics in an Edentulous Patient with Dentures: A Clinical Report

Detachable Cheek Plumpers with Magnetic Attachments for Improving Esthetics in an Edentulous Patient with Dentures: A Clinical Report

Dr. Sauptik Ray *1, Dhanasekar Balakrishnan2

1,2. Department of Prosthodontics and Crown and Bridge, Manipal College of Dental Sciences Manipal, Karnataka, India.


*Correspondence to: Dr Sauptik Ray; Department of Prosthodontics and Crown and Bridge, Manipal College of Dental Sciences Manipal, Karnataka, India.


Copyright.

© 2025 Dr. Sauptik Ray. This is an open access article distributed under the Creative Commons Attribution License, which permits unrestricted use, distribution, and reproduction in any medium, provided the original work is properly cited.

Received: 25 Jan 2025

Published: 03 Feb 2025

DOI: https://doi.org/10.5281/zenodo.14880769

ABSTRACT

In today’s world, facial esthetics play a vital role in social and professional life. Prosthodontic rehabilitation deals not only with the replacement of missing teeth but also with enhancing facial aesthetics. Aging brings a lot of changes to the face, the most common being sunken cheeks. This clinical report describes a simple, low-cost and non-invasive technique to improve support for sunken cheeks using magnet retained detachable acrylic cheek plumpers. The new generation of magnets with improved technology provides sufficient denture retention for clinical application. However, further follow-up may be necessary to ascertain the long-term usefulness of the magnet-retained prosthesis, because of corrosion and further loss of magnetism. The two-in-one prosthesis not only replaces the missing teeth but also improves facial aesthetics.

Key Words: Aging; Esthetics; Magnets.


Detachable Cheek Plumpers with Magnetic Attachments for Improving Esthetics in an Edentulous Patient with Dentures: A Clinical Report

Introduction

Facial esthetics plays a pivotal role in a person’s professional and social life. Cheeks are an important part of facial esthetics. The support provided by the teeth, ridges, dentures determine the form of the cheeks.1 Factors like extraction of molars, aging, weight loss can lead to concavities or hollowing of the cheeks. Aging is associated with loss of teeth, resorption of the alveolar process, and reduced tonicity of the facial muscles, leading to sunken cheeks and an unesthetic appearance. Esthetics in patients in need of complete dentures can be improved with the help of cheek plumpers to support the cheeks. Prosthodontic rehabilitation not only replaces the missing teeth but also restores the facial support and facial esthetics.2 

Conventional complete dentures adequately support the overlying lips and cheeks. However, in individuals with marked resorption of the alveolar process and hollow cheeks an additional support for the cheek is often required. Cheek plumpers or cheek lifting appliances are used to improve facial esthetics and facial contours. It is used in patients with maxillofacial defects and facial paralysis.2,3 Addition of an extra quantity of denture base resin to plump the cheek may increase the weight of the denture. Even the construction of single piece prosthesis may cause the same problem that may lead to discomfort for the patient.  A detachable plumper prosthesis; where plumper can be detached easily and conveniently from the complete denture can overcome these flaws. Small compact size and strong attraction forces of magnets make them a good option to retain detachable plumpers to the basic prosthesis.4 

This case report illustrates the use of magnets to retain a detachable cheek plumper prosthesis in a partially edentulous patient with sunken cheeks. 

 

Fig 1, 2, 3, 4, 5, 6, 7, 8, 9, 10, 11, 12, 13 

Please click here to view all images

 

 Case Report 

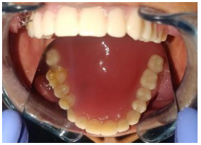
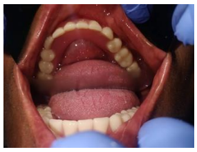
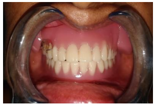
A 49 years old female patient reported to the department of prosthodontics with multiple missing teeth and sunken cheeks. Intra oral examination revealed that the mandibular was completely edentulous and the maxillary arch had three upper right posterior teeth. The patient had moderately resorbed maxillary and severely resorbed mandibular edentulous ridges. The patient was conscious about her sunken cheeks and desired a prosthesis that would make her face look fuller and healthier. 

Treatment plan was formulated, keeping the patient’s demand in mind. It was decided to give the patient mandibular complete denture and maxillary dentures with magnet retained cheek plumpers. 

Primary impressions of maxillary and mandibular arches were made using impression material (Y Dents, MDM Corporation, Delhi). Custom trays were made using autopolymerizing acrylic resin. Border molding was done using low fusing impression compound (DPI Pinnacle, The Bombay Burmah Trading Corporation Limited, Mumbai, India) and wash impression was made with medium body addition silicone impression material (Aquasil, Dentsply). Jaw relations were recorded. For the try-in appointment waxed denture was first tried for occlusion and esthetics. At the same appointment, cheek plumpers were made in wax and were attached to the upper waxed-up denture. Then it was evaluated to give the patient a fuller appearance. A dramatic change in the appearance with and without wax-up cheek plumper was observed and it was immediately accepted by the patient. The waxed plumper was separated from the waxed-up denture. After that flasking and dewaxing procedures were completed separately for the final prosthesis and cheek plumpers. The mold space was packed with heat-polymerizing acrylic material (DPI, Mumbai, India) and curing procedures were performed according to the manufacturer’s instructions. After deflasking, the cured final prosthesis and plumpers were retrieved. Trimming, finishing, and polishing procedures were performed. Then a pair of commercially available magnets (cobaltsamarium, Ambika Corporation, New Delhi, India), 5 mm in diameter and 2 mm in thickness was employed to retain the cheek plumper with final prosthesis. Provision for placement of magnets in the flange of the final prosthesis and in the cheek plumper was made and positioned with the help of autopolymerizing resin. Complete polymerization was ensured by placing in a pressure pot and finishing and polishing was then carried out. The attachment of plumper to the prosthesis was first checked outside the patient’s mouth. The prosthesis along with the plumper was then checked in the patient’s mouth. for comfort, function and esthetics . The patient was educated about the positioning of the plumper to the prosthesis. The patient’s demands were fulfilled.  She was called form follow up to evaluate any soreness or looseness of dentures. 

 

Discussion

Denture esthetics is more about a harmonious relationship between the artificial and natural tissues.5,6  

In an edentulous patient, this can be achieved by correct contours and extensions of denture flange. Sunken cheeks may require additional support to lift the cheek to an adequate level. Cheek plumper prosthesis can be an amazing solution for such patients. Cheek plumper can be of detachable and non-detachable types. In detachable cheek plumper, the plumper is made separately and attached to the dentures with various attachments like magnets, die pin, snap button, and customized attachments.7 

Some authors have even reported arranging the second row of teeth only for esthetic reasons. Adjustment of the occlusal rim should be precise for anterior and posterior placement of the teeth and esthetics should be evaluated at rest and function. To restore physiological muscle length and to eliminate pseudoprognathic appearance, proper and correct vertical dimension is necessary .8 

In this case magnets were used, magnets have the benefit of being small, facilitating automatic reseating because of their magnetic forces, and being easy to remove and clean, simplicity of the clinical and laboratory procedures, and constant retentive force with the consecutive number of insertion-removal cycles.9 

 

However, cheek plumpers have a few drawbacks, including the accumulation of food, patient discomfort resulting from the additional weight and bulk of the dentures, the requirement of manual dexterity of patients to ensure accurate attachment, and the susceptibility of magnetic attachments to corrosion and loss of magnetism and of the press stud fasteners to breakage. Therefore, periodic patient recall is necessary to assess and, when required, replace the attachments.10 

However, the long term durability of the magnets remains a problem. The cobalt-samarium magnet used in this case provided an essential retention and was cost effective for the patient. The patient was informed about the procedure and the materials used, and informed consent was procured. The patient also accepted the need for frequent review calls after insertion of the prostheses. A constant follow-up on a longitudinal basis is necessary, and further research on the magnetic field of commercially available magnets is needed.11 

 

Conclusion

The magnet retained cheek plumper prosthesis is a simple and non invasive treatment option. It  successfully restores cheek contour, improves the facial esthetics and psychological well being of the patient. Magnetic retention for sunken cheek patients is advantageous due to its compact size and strong attractive forces; however, over a period of time the magnets used intraorally require replacement due to lack of long-term durability in oral conditions. 

 

References

1. Bains JW, Elia JP. The role of facial skeletal augmentation and dental restoration in facial rejuvenation. Aesthet Plast Surg 1994;18:243-6.

2.Lazzari JB. Intraoral splints for support of lips in Bells palsy. J Prosthet Dent. 1995;5(4):579-8134. Larsen SJ, Carter JF, Abrahamian HA. Prosthetic support for unilateral facial paralysis. J Prosthet Dent 1976;35:192-201.

3.Lazzari JB. Intraoral splint for support of the lip in Bell’s palsy. J Prosthet Dent 1955;5:579-81.

4.Riley MA, Walmsley AD, Harris IR. Magnets in prosthetic dentistry. J Prosthet Dent. 2001 Aug;86(2):137-42.

5.Clair F, Picard Jr. Complete denture esthetics. J Prosthet Dent. 1958 Mar;8(2):252-9. 

6. Waliszewski M. Restoring dentate appearance: a literature review for modern complete denture esthetics. J Prosthet Dent. 2005 Apr;93(4):386-94

7. Virdiya NM, Palaskar JN, Wankhade J, Joshi N: Detachable cheek plumpers with different attachments for improving esthetics in a conventional complete denture: A clinical report. J Prosthet Dent. 2017, 117:592-6. 10.1016/j.prosdent.2016.08.02

8. Lombardi RE. The principle of visual perception and their clinical application to denture esthetics. J Prosthet Dent. 1973 Apr;29(4):358-82

9. Kamakshi V, Anehosur GV, Nadiger RK. Magnet retained cheek plumper to enhance denture esthetics: case reports. J Indian Prosthodont Soc 2013;13: 378-81

10. Punia V, Mishra R, Khandelwal M, Verma N, Handa M. Magnet retained detachable cheek plumper: innovation personified-a case report. Int J Prosthet Dent 2013;4:16-20.

11.Deogade SC. Magnet retained cheek plumper in complete denture esthetics: a case report. J Dent (Tehran). 2014 Jan;11(1):100-5. Epub 2014 Jan 31.

Figure 1

Figure 2

Figure 3

Figure 4

Figure 5

Figure 6

Figure 7

Figure 8

Figure 9

Figure 10

Figure 11

Figure 12

Figure 13

antarmuka fokus mahjong daya pengguna aktifaws grid serasi mahjong dasar tahapan terjagaaws jejak mekanisme mahjong arah fase lanjutanaws kajian wild berantai mahjong interaktif analitisaws kesesuaian persentase layanan mahjong seluler lanceraws pendalaman persentase mahjong gerak wild mutakhircorak langka mahjong tumbuh perlahan berubahgerak mahjong adaptasi mekanisme pemakai sekarangnalar scatter mahjong malam putaran ekstratempo mahjong kaitan mekanisme keadaan terkinialur permainan mahjong cepat scatter wilddalam hitungan detik scatter wild mahjongmenyatukan naluri pola scatter hitam mahjongmomen mahjong permainan berbalik arahmomen singkat mahjong dinamika permainanperpaduan insting pola scatter hitam momentperubahan drastis mahjong ways scatter wildscatter wild mahjong datang polasekejap berubah scatter wild mahjong wayssensasi baru mahjong lebih scatter wildenergi scatter emas irama reel mahjongevolusi reel mahjong balutan mistisintervensi cepat emas momentum lamakemunculan mendadak naga emas mahjongketika scatter naga emas aktif mahjongnaga emas muncul arah spin mahjongnaga emas ritme mahjong ways berubahrahasia rtp tinggi balik scatter hitamsaat scatter naga emas alih irama reelscatter hitam kunci lonjakan rtp mahjonge5 scatter wild memberikan sentuhan baru di setiap spin mahjong ways 2e5 scatter wild menghidupkan suasana permainan mahjong ways 2e5 scatter wild mengubah pola permainan mahjong ways 2 secara signifikane5 setiap putaran mahjong ways 2 terasa berbeda dengan scatter wilde5 strategi adaptif berbasis analisis rtp hariane5 strategi berbasis data dan algoritma untuk analisis momentume5 strategi berkembang berkat data rtp hariane5 strategi memahami algoritma untuk mengidentifikasi momentum ideale5 strategi membaca pola algoritma demi menangkap momentum optimale5 strategi modern mengandalkan evaluasi rtp hariane5 strategi responsif dengan dukungan evaluasi rtp hariane5 strategi terukur dengan analisis rtp hariane5 struktur scatter dan wild terlihat jelas berkat analisis sistem moderne5 tanpa disadari kombinasi ini sering mengarah ke scatter di mahjong wins 3e5 teknik evaluasi algoritma untuk mendapatkan momentum yang tepate5 teknik observasi sistem untuk analisis momentum yang lebih presisie5 terungkap formasi ini sering jadi awal munculnya scatter di mahjong wins 3e5 transformasi digital rtp live berkat artificial intelligence inovatife5 transformasi ritme mahjong ways 2 dipicu oleh kekuatan scatter wilde5 wajib tahu pola tersembunyi ini sering menghasilkan scattere5 applee5 bananae5 candye5 doge5 eaglee5 falcone5 geminie5 horsee5 indiae5 japananalisa pola mahjong ways rutinanalisis kinerja heuristik variansi gameanalisis pola mahjong ways hariananalisis pola mahjong ways kebiasaanera baru mahjong wins bonus optimalgebrakan bonus mahjong wins mekanisme efisieninsight pola mahjong ways rutinkajian pola mahjong ways rutinkomparasi heuristik variansi game digitalledakan bonus mahjong wins sistem efektifmahjong wins bonus sistem generasi baruobservasi pola mahjong ways harianpendekatan algoritma heuristik variansi gameperbandingan model heuristik variansi gamerahasia bonus mahjong wins sistem cerdasrangkuman pola mahjong ways harianringkasan pola mahjong ways harianstudi pola mahjong ways hariantinjauan heuristik variansi game digitaltinjauan pola mahjong ways harianalur sombol mahjong kemunculan scatterdari rtp mahjong bermain lebih efektifjejak scatter mahjong putaran tenangkejutan scatter wild simbol mahjong arahkemunculan simbol ganda membuat mahjongketika grid mahjong scatter semakin dekatketika rtp mahjong pola mulai lebih jelasketika scatter wild ritme simbol mahjongketika scatter wild titik sesi mahjong waysketika susunan simbol mahjong ritme scattermemahami rtp mahjong cara bermain lebihpergerakan simbol mahjong scatter wildpergeseran mahjong ketika scatter hadirsaat rtp mahjong terbaca baik strategisaat scatter hadir simbol mahjong bergeserscatter wild dinamika simbol mahjongstabilitas putaran mahjong pola scattersusunan baru reel mahjong scatter emassusunan mahjong wins mengandung scattersusunan simbol mahjong diam pola scatterrm menguak keunikan mahjong wins sudut pandang teknisrm cara memahami pergerakan mahjong ways tenaga ekstrarm mahjong wins standar baru industri hiburan digitalrm rahasia ketahanan mahjong ways eksis gempuran gamerm pentingnya memahami transisi level mahjong wins mendalamrm strategi mengatur tempo mahjong ways kendali permainanrm peran kecerdasan buatan mekanisme mahjong wins adilrm alasan keberhasilan mahjong ways mencuri perhatian analisrm mempelajari struktur dasar mahjong wins efisiensi putaranrm inovasi desain mahjong ways kesan bermain responsifrm teknik observasi mahjong wins jarang dibahas dampakrm cara mempertahankan fokus dinamika mahjong ways cepatrm eksplorasi fitur tersembunyi mahjong wins ritme terbaikrm mahjong ways integrasi teknologi modern keamanan nyamanrm analisis faktor pendukung mahjong wins digemari generasirm langkah efektif menyesuaikan perubahan sistem mahjong waysrm mengintip proses pengembangan mahjong wins kualitas penggunarm analisis data membantu membaca arah mahjong waysrm menemukan titik temu insting logika mahjong winsrm transformasi besar mahjong ways menghadirkan tantangan menarikmengungkap simbol langka nasib drastismisteri besar kombinasi simbol langkamisteri simbol langka keberuntungan besarsimbol langka misterius ubah hiduprahasia simbol langka nasib cepattransformasi bonus mahjong wins sistem efektifmahjong wins suguhkan bonus sistem modernsuguhan bonus efisien mahjong winsefektivitas sistem bonus mahjong winsmahjong wins hadirkan bonus sistem optimaloke76cincinbetaqua365slot gacorstc76samurai76TOBA1131samurai76 login