Case Report: Removal of a Fractured Nickel-Titanium Instrument from a Left Lower Molar.

Case Report: Removal of a Fractured Nickel-Titanium Instrument from a Left Lower Molar.

Jacopo Geronutti, DDS*, Enrico Marcon, DDS2


*Correspondence to: Jacopo Geronutti, Italy.

              
Copyright.

© 2025 Jacopo Geronutti This is an open access article distributed under the Creative Commons Attribution License, which permits unrestricted use, distribution, and reproduction in any medium, provided the original work is properly cited.

Received: 26 Mar 2025

Published: 03 Apr 2025


ABSTRACT

This case report details the successful removal of a fractured nickel-titanium (NiTi) endodontic instrument from the root canal of a left lower molar in a 30-year-old female patient. The patient presented with mild, intermittent paresthesia in the lower lip, which intensified in the morning. This report highlights the challenges associated with the procedure and the use of an operating microscope for enhanced visualization.

Keywords: fractured instrument, nickel-titanium, endodontic treatment, operating microscope, case report.


Case Report: Removal of a Fractured Nickel-Titanium Instrument from a Left Lower Molar.

Introduction

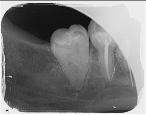
Fractured endodontic instruments are a common complication in root canal therapy, often leading to treatment failure and ongoing patient discomfort. This case involves a patient referred by a colleague approximately four months after the initial incident of instrument fracture during endodontic therapy. The fractured instrument was located in the mesiobuccal canal of a left lower molar, extending 8 mm beyond the apex.


Case Presentation

The patient, a 30-year-old woman, was referred to our clinic due to persistent symptoms following her previous endodontic treatment. She reported sporadic tingling sensations in her lower lip, primarily exacerbated in the morning. Upon examination, the patient's medical history was unremarkable, and she was otherwise healthy.

To assess the extent of the fracture and plan for removal, we obtained periapical radiographs and a cone-beam computed tomography (CBCT) scan. The imaging revealed the fractured NiTi instrument lodged deep within the canal system, complicating its retrieval due to its position approximately 8 mm beyond the apical foramen.

 

Fig 1, Fig 2, Fig 3, Fig 4, Fig 5, Fig 6, Fig 7


Surgical Procedure

After obtaining informed consent, we proceeded with the surgical intervention under local anesthesia. Utilizing an operating microscope, we aimed to enhance our visibility and precision during the procedure.

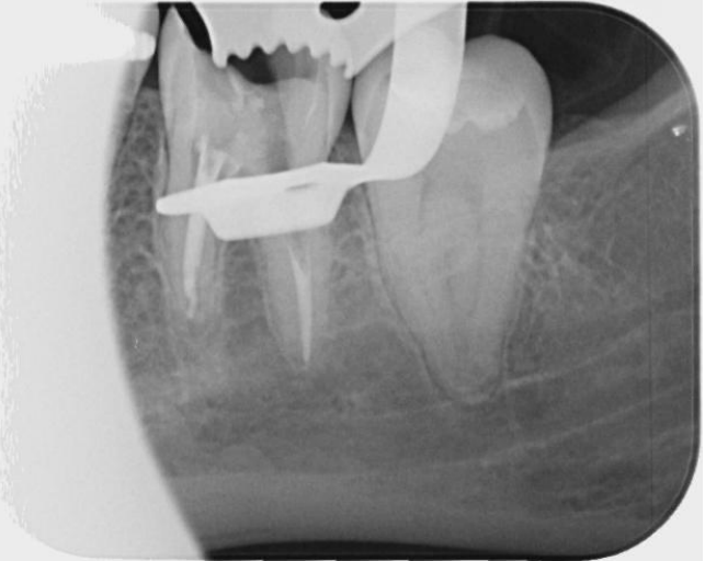
A rubber dam was placed to isolate the tooth, and the access cavity was refined to facilitate our approach to the fractured instrument. Using ultrasonic tips designed for endodontic retrieval, we carefully navigated the canal to engage the fractured piece.


Despite the challenging anatomy and the depth of the fracture, we successfully retrieved the instrument without any complications. The use of the microscope was invaluable in providing a clear view of the canal system and the surrounding structures.


Postoperative Care and Follow-Up

The patient was prescribed analgesics and instructed on postoperative care. A follow-up appointment was scheduled for one week later, during which she reported a significant reduction in paresthesia and overall discomfort. Radiographic evaluation confirmed the successful retrieval of the fractured instrument and the integrity of the root structure.


Discussion
The successful removal of fractured endodontic instruments requires careful planning, appropriate imaging, and advanced techniques. In this case, the use of CBCT provided critical three-dimensional insights into the complex anatomy of the tooth, allowing for a more strategic approach to the retrieval process.

Operating microscopes enhance visualization and precision, significantly improving the likelihood of successful outcomes in such challenging cases. The combination of thorough imaging and magnified visualization facilitates accurate navigation of the intricate canal system, reducing the risk of further complications.

Conclusion
This case demonstrates the importance of thorough diagnostic imaging and the benefits of using an operating microscope in the removal of fractured endodontic instruments. Successful intervention not only alleviated the patient's symptoms but also restored her confidence in dental care.

Figure 1

Figure 2

Figure 3

Figure 4

Figure 5

Figure 6

Figure 7

antarmuka fokus mahjong daya pengguna aktifaws grid serasi mahjong dasar tahapan terjagaaws jejak mekanisme mahjong arah fase lanjutanaws kajian wild berantai mahjong interaktif analitisaws kesesuaian persentase layanan mahjong seluler lanceraws pendalaman persentase mahjong gerak wild mutakhircorak langka mahjong tumbuh perlahan berubahgerak mahjong adaptasi mekanisme pemakai sekarangnalar scatter mahjong malam putaran ekstratempo mahjong kaitan mekanisme keadaan terkinialur permainan mahjong cepat scatter wilddalam hitungan detik scatter wild mahjongmenyatukan naluri pola scatter hitam mahjongmomen mahjong permainan berbalik arahmomen singkat mahjong dinamika permainanperpaduan insting pola scatter hitam momentperubahan drastis mahjong ways scatter wildscatter wild mahjong datang polasekejap berubah scatter wild mahjong wayssensasi baru mahjong lebih scatter wildenergi scatter emas irama reel mahjongevolusi reel mahjong balutan mistisintervensi cepat emas momentum lamakemunculan mendadak naga emas mahjongketika scatter naga emas aktif mahjongnaga emas muncul arah spin mahjongnaga emas ritme mahjong ways berubahrahasia rtp tinggi balik scatter hitamsaat scatter naga emas alih irama reelscatter hitam kunci lonjakan rtp mahjonge5 scatter wild memberikan sentuhan baru di setiap spin mahjong ways 2e5 scatter wild menghidupkan suasana permainan mahjong ways 2e5 scatter wild mengubah pola permainan mahjong ways 2 secara signifikane5 setiap putaran mahjong ways 2 terasa berbeda dengan scatter wilde5 strategi adaptif berbasis analisis rtp hariane5 strategi berbasis data dan algoritma untuk analisis momentume5 strategi berkembang berkat data rtp hariane5 strategi memahami algoritma untuk mengidentifikasi momentum ideale5 strategi membaca pola algoritma demi menangkap momentum optimale5 strategi modern mengandalkan evaluasi rtp hariane5 strategi responsif dengan dukungan evaluasi rtp hariane5 strategi terukur dengan analisis rtp hariane5 struktur scatter dan wild terlihat jelas berkat analisis sistem moderne5 tanpa disadari kombinasi ini sering mengarah ke scatter di mahjong wins 3e5 teknik evaluasi algoritma untuk mendapatkan momentum yang tepate5 teknik observasi sistem untuk analisis momentum yang lebih presisie5 terungkap formasi ini sering jadi awal munculnya scatter di mahjong wins 3e5 transformasi digital rtp live berkat artificial intelligence inovatife5 transformasi ritme mahjong ways 2 dipicu oleh kekuatan scatter wilde5 wajib tahu pola tersembunyi ini sering menghasilkan scattere5 applee5 bananae5 candye5 doge5 eaglee5 falcone5 geminie5 horsee5 indiae5 japananalisa pola mahjong ways rutinanalisis kinerja heuristik variansi gameanalisis pola mahjong ways hariananalisis pola mahjong ways kebiasaanera baru mahjong wins bonus optimalgebrakan bonus mahjong wins mekanisme efisieninsight pola mahjong ways rutinkajian pola mahjong ways rutinkomparasi heuristik variansi game digitalledakan bonus mahjong wins sistem efektifmahjong wins bonus sistem generasi baruobservasi pola mahjong ways harianpendekatan algoritma heuristik variansi gameperbandingan model heuristik variansi gamerahasia bonus mahjong wins sistem cerdasrangkuman pola mahjong ways harianringkasan pola mahjong ways harianstudi pola mahjong ways hariantinjauan heuristik variansi game digitaltinjauan pola mahjong ways harianalur sombol mahjong kemunculan scatterdari rtp mahjong bermain lebih efektifjejak scatter mahjong putaran tenangkejutan scatter wild simbol mahjong arahkemunculan simbol ganda membuat mahjongketika grid mahjong scatter semakin dekatketika rtp mahjong pola mulai lebih jelasketika scatter wild ritme simbol mahjongketika scatter wild titik sesi mahjong waysketika susunan simbol mahjong ritme scattermemahami rtp mahjong cara bermain lebihpergerakan simbol mahjong scatter wildpergeseran mahjong ketika scatter hadirsaat rtp mahjong terbaca baik strategisaat scatter hadir simbol mahjong bergeserscatter wild dinamika simbol mahjongstabilitas putaran mahjong pola scattersusunan baru reel mahjong scatter emassusunan mahjong wins mengandung scattersusunan simbol mahjong diam pola scatterrm menguak keunikan mahjong wins sudut pandang teknisrm cara memahami pergerakan mahjong ways tenaga ekstrarm mahjong wins standar baru industri hiburan digitalrm rahasia ketahanan mahjong ways eksis gempuran gamerm pentingnya memahami transisi level mahjong wins mendalamrm strategi mengatur tempo mahjong ways kendali permainanrm peran kecerdasan buatan mekanisme mahjong wins adilrm alasan keberhasilan mahjong ways mencuri perhatian analisrm mempelajari struktur dasar mahjong wins efisiensi putaranrm inovasi desain mahjong ways kesan bermain responsifrm teknik observasi mahjong wins jarang dibahas dampakrm cara mempertahankan fokus dinamika mahjong ways cepatrm eksplorasi fitur tersembunyi mahjong wins ritme terbaikrm mahjong ways integrasi teknologi modern keamanan nyamanrm analisis faktor pendukung mahjong wins digemari generasirm langkah efektif menyesuaikan perubahan sistem mahjong waysrm mengintip proses pengembangan mahjong wins kualitas penggunarm analisis data membantu membaca arah mahjong waysrm menemukan titik temu insting logika mahjong winsrm transformasi besar mahjong ways menghadirkan tantangan menarikmengungkap simbol langka nasib drastismisteri besar kombinasi simbol langkamisteri simbol langka keberuntungan besarsimbol langka misterius ubah hiduprahasia simbol langka nasib cepattransformasi bonus mahjong wins sistem efektifmahjong wins suguhkan bonus sistem modernsuguhan bonus efisien mahjong winsefektivitas sistem bonus mahjong winsmahjong wins hadirkan bonus sistem optimaloke76cincinbetaqua365slot gacorstc76samurai76TOBA1131samurai76 login