Off Pump Coronary Artery Bypass Grafting in a Patient with Dextrocardia and Situs Inversus

Off Pump Coronary Artery Bypass Grafting in a Patient with Dextrocardia and Situs Inversus

Dr Arsalan Ahmed Farooqui 1, Dr Fakeha Qureshi 2, Dr Ahsan Waqar 3, Dr Hafeezullah Bughio4

 

1. Postgraduate resident cardiology, Indus Hospital Karachi.

2. Postgraduate resident cardiac surgery, NICVD Karachi.

3. Postgraduate resident cardiac surgery, Tabba heart institute Karachi.

4. Consultant cardiac surgeon, Program director fellowship, Tabba heart institute Karachi.


*Correspondence to: Dr Hafeezullah Bughio, nsultant cardiac surgeon, Program director fellowship, Tabba heart institute Karachi.

              
Copyright.

© 2025 Dr Hafeezullah Bughio This is an open access article distributed under the Creative Commons Attribution License, which permits unrestricted use, distribution, and reproduction in any medium, provided the original work is properly cited.

Received: 07 Apr 2025

Published: 16 Apr 2025

Abstract

Dextrocardia with situs inversus is a rare congenital anomaly occurring in approximately 1 in 10,000 individuals(1) . While the prevalence of coronary artery disease (CAD) in these patients is similar to that of the general population(2), the unique anatomical configuration presents technical challenges in both diagnosis and surgical management. We present  the first reported in Pakistan of a 55-year-old male with dextrocardia and severe three-vessel coronary artery disease (3VCAD) who successfully underwent coronary artery bypass grafting (CABG). This report highlights the diagnostic findings, perioperative considerations, and surgical approach tailored to this rare anatomical variant. Specifically, the choice of the right internal mammary artery (RIMA) over the left internal mammary artery (LIMA) and the advantages of off-pump CABG are discussed.


Off Pump Coronary Artery Bypass Grafting in a Patient with Dextrocardia and Situs Inversus

Introduction

Dextrocardia is a congenital condition in which the heart is positioned on the right side of the chest instead of the left, often associated with situs inversus, a complete mirror-image arrangement of thoracic and abdominal organs. It  does not inherently predispose individuals to coronary artery disease (CAD); however, when CAD is present, it poses unique challenges in surgical intervention due to the mirrored anatomical landmarks.

The diagnosis of CAD in dextrocardia patients requires careful interpretation of electrocardiograms (ECG), and imaging, as conventional findings may appear reversed. Similarly, surgical revascularization strategies must be modified to accommodate the mirror-image anatomy. This case report which is the first reported case of a patient with dextrocardia with situs inversus who underwent off pump coronary artery bypass grafting details the patients presentation, workup, and successful surgical management .The discussion highlights key surgical considerations, including the preferred grafting approach and the advantages of off-pump CABG in this unique subset of patients.

 

Case Presentation

55 year old male known case of Hypertension presented to the Cardiology Clinic at Tabba Heart Institute with complains of chest pain that was central, aggravated on exertion and relieved at rest, initially CCS 2 in intensity but worsened to CCS 3 over the past 10 days. The ECG done showed Extreme right Axis Deviation, with upright P wave R wave in aVR. It also showed prominent R wave in lead V1 with poor R wave progression. All findings suggestive of dextrocardia.


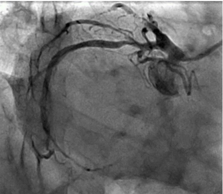
Figure 1

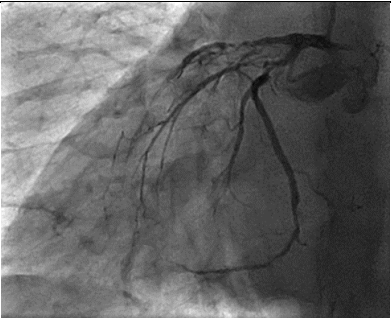
The patient then underwent elective coronary angiography which showed a Normal Left Main,  100% occluded Left Anterior Descending Artery, filling from right sided collaterals, a proximal 80% in the left circumflex with a 99% occluded OM1. The RCA had a proximal 80% lesion with a diffusely diseased acute marginal branch.

 

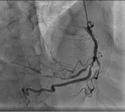
Figure 2 LAO Caudal View showing disease in the proximal LCX as wel disease in the proximal OM

Figure 3 RAO caudal view showing disease in the proximal and distal LCX as well in the proximal OM

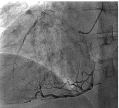
Figure 4 LAO cranial view showi ng 100% occluded LAD

Figure 5 Tubular tight lesion prese nt in the RCA

Figure 6 The LAD being fed from collaterals from the RCA

 

The patient had severe 3VCAD, so Cardiothoracic review was done and CABG was advised.

Induction was done as per the standard protocol for CABG patients. After median sternotomy, right internal mammary artery (RIMA) was harvested. RIMA was anastomosed to morphological LAD and saphenous venous graft was anastomosed to the Obtuse Marginal branch and the posterior descending artery to achieve complete Revascularization. The operating surgeon was on the left side of the patient while operating. After surgery, the patient was shifted to postoperative intensive care unit, extubated after 4 h of mechanical ventilation.

 

Figure 7: SVG is being anastomosed with PDA and the surgeon is standing on the right side.

Figure 8: This is RIMA to LAD with the surgeon standing on the right side

Figure 9: SVG is being anastomosed with PDA and the surgeon is standing on the right side.

 

Discussion

Dextrocardia along with situs inversus being a rare congenital disease has a frequency of 1:10,000. The frequency of coronary artery disease is equal to the general population among these patients. The first case of dextrocardia was reported back in 1606 by Fabricius et al and Irvin et al performed the first CABG in a patient with dextrocardia in 1980. (3,4)    The first case of off pump CABG in a patient with dextrocardia by Tabry Et Al in 2001.(5)   This is the first such reported case of a patient in Pakistan of patient with dextrocardia and situs inversus, undergoing off pump Coronary Artery Bypass Grafting,

 

Off pump CABG appears to be a reasonable option among these subset of patients if the surgeon has adequate experience with the procedure. Off- pump CABG has the advantage of less bleeding/less requirement for transfusion, less renal failure, less respiratory complications, and probably less stroke as aortic manipulation is limited.(6,7)

RIMA is usually harvested instead of the left internal mammary artery (LIMA) in these cases.

 

The LIMA since it’s length will not be enough to anastomose to the LAD and will lead to inadequate flow due to stretch of the graft. The LIMA also will have to cross the midline exposing it to high chances of injury during redo surgery. This is avoided by harvesting the Right Internal Mammary Aretry and anastomosing it to the LAD to provide adequate perfusion to the myocardium as was done in our patient.

 

 

References

1. Zhigalov K, Ponomarev D, Sozkov A, Kadyraliev B, Easo J, Weymann A. Coronary artery bypass grafting in a patient with situs inversus totalis. Am J Case Rep. 2019;20:806–9.

2. Hynes KM, Gau GT, Titus JL. Coronary heart disease in situs inversus totalis. Am J Cardiol. 1973;31(5):666–9.

3.Grey DP, Cooley DA. Dextrocardia with situs inversus totalis: Cardiovascular surgery in three patients with concomitant coronary artery disease. Cardiovasc Dis. 1981;8(4):527–30.

4. Irvin RG, Ballenger JF. Coronary artery bypass surgery in a patient with situs inversus. Chest. 1982;81(3):380–1.

5. Tabry IF, Calabrese J, Zammar H, Abou-Kasem K, Akeilan H, Gharbieh N, et al. Case report: off-pump total myocardial revascularization for dextrocardia and situs inversus. Heart Surg Forum. 2001;4(3):251–3.

6. Lamy A, Devereaux PJ, Prabhakaran D, et al. Off- pump or on- pump coronary- artery bypass grafting at 30 days. N Engl J Med 2012; 366: 1489–97

7. Hannan EL, Wu C, Smith CR, et al. Off- pump versus on- pump coronary artery bypass graft surgery: differences in long- term outcomes and in long- term mortality and need for subsequent revascularization. Circulation 2007; 116: 1145–52.  

Figure 1

Figure 2

Figure 3

Figure 4

Figure 5

Figure 6

Figure 7

Figure 8

Figure 9

antarmuka fokus mahjong daya pengguna aktifaws grid serasi mahjong dasar tahapan terjagaaws jejak mekanisme mahjong arah fase lanjutanaws kajian wild berantai mahjong interaktif analitisaws kesesuaian persentase layanan mahjong seluler lanceraws pendalaman persentase mahjong gerak wild mutakhircorak langka mahjong tumbuh perlahan berubahgerak mahjong adaptasi mekanisme pemakai sekarangnalar scatter mahjong malam putaran ekstratempo mahjong kaitan mekanisme keadaan terkinialur permainan mahjong cepat scatter wilddalam hitungan detik scatter wild mahjongmenyatukan naluri pola scatter hitam mahjongmomen mahjong permainan berbalik arahmomen singkat mahjong dinamika permainanperpaduan insting pola scatter hitam momentperubahan drastis mahjong ways scatter wildscatter wild mahjong datang polasekejap berubah scatter wild mahjong wayssensasi baru mahjong lebih scatter wildenergi scatter emas irama reel mahjongevolusi reel mahjong balutan mistisintervensi cepat emas momentum lamakemunculan mendadak naga emas mahjongketika scatter naga emas aktif mahjongnaga emas muncul arah spin mahjongnaga emas ritme mahjong ways berubahrahasia rtp tinggi balik scatter hitamsaat scatter naga emas alih irama reelscatter hitam kunci lonjakan rtp mahjonge5 scatter wild memberikan sentuhan baru di setiap spin mahjong ways 2e5 scatter wild menghidupkan suasana permainan mahjong ways 2e5 scatter wild mengubah pola permainan mahjong ways 2 secara signifikane5 setiap putaran mahjong ways 2 terasa berbeda dengan scatter wilde5 strategi adaptif berbasis analisis rtp hariane5 strategi berbasis data dan algoritma untuk analisis momentume5 strategi berkembang berkat data rtp hariane5 strategi memahami algoritma untuk mengidentifikasi momentum ideale5 strategi membaca pola algoritma demi menangkap momentum optimale5 strategi modern mengandalkan evaluasi rtp hariane5 strategi responsif dengan dukungan evaluasi rtp hariane5 strategi terukur dengan analisis rtp hariane5 struktur scatter dan wild terlihat jelas berkat analisis sistem moderne5 tanpa disadari kombinasi ini sering mengarah ke scatter di mahjong wins 3e5 teknik evaluasi algoritma untuk mendapatkan momentum yang tepate5 teknik observasi sistem untuk analisis momentum yang lebih presisie5 terungkap formasi ini sering jadi awal munculnya scatter di mahjong wins 3e5 transformasi digital rtp live berkat artificial intelligence inovatife5 transformasi ritme mahjong ways 2 dipicu oleh kekuatan scatter wilde5 wajib tahu pola tersembunyi ini sering menghasilkan scattere5 applee5 bananae5 candye5 doge5 eaglee5 falcone5 geminie5 horsee5 indiae5 japananalisa pola mahjong ways rutinanalisis kinerja heuristik variansi gameanalisis pola mahjong ways hariananalisis pola mahjong ways kebiasaanera baru mahjong wins bonus optimalgebrakan bonus mahjong wins mekanisme efisieninsight pola mahjong ways rutinkajian pola mahjong ways rutinkomparasi heuristik variansi game digitalledakan bonus mahjong wins sistem efektifmahjong wins bonus sistem generasi baruobservasi pola mahjong ways harianpendekatan algoritma heuristik variansi gameperbandingan model heuristik variansi gamerahasia bonus mahjong wins sistem cerdasrangkuman pola mahjong ways harianringkasan pola mahjong ways harianstudi pola mahjong ways hariantinjauan heuristik variansi game digitaltinjauan pola mahjong ways harianalur sombol mahjong kemunculan scatterdari rtp mahjong bermain lebih efektifjejak scatter mahjong putaran tenangkejutan scatter wild simbol mahjong arahkemunculan simbol ganda membuat mahjongketika grid mahjong scatter semakin dekatketika rtp mahjong pola mulai lebih jelasketika scatter wild ritme simbol mahjongketika scatter wild titik sesi mahjong waysketika susunan simbol mahjong ritme scattermemahami rtp mahjong cara bermain lebihpergerakan simbol mahjong scatter wildpergeseran mahjong ketika scatter hadirsaat rtp mahjong terbaca baik strategisaat scatter hadir simbol mahjong bergeserscatter wild dinamika simbol mahjongstabilitas putaran mahjong pola scattersusunan baru reel mahjong scatter emassusunan mahjong wins mengandung scattersusunan simbol mahjong diam pola scatterrm menguak keunikan mahjong wins sudut pandang teknisrm cara memahami pergerakan mahjong ways tenaga ekstrarm mahjong wins standar baru industri hiburan digitalrm rahasia ketahanan mahjong ways eksis gempuran gamerm pentingnya memahami transisi level mahjong wins mendalamrm strategi mengatur tempo mahjong ways kendali permainanrm peran kecerdasan buatan mekanisme mahjong wins adilrm alasan keberhasilan mahjong ways mencuri perhatian analisrm mempelajari struktur dasar mahjong wins efisiensi putaranrm inovasi desain mahjong ways kesan bermain responsifrm teknik observasi mahjong wins jarang dibahas dampakrm cara mempertahankan fokus dinamika mahjong ways cepatrm eksplorasi fitur tersembunyi mahjong wins ritme terbaikrm mahjong ways integrasi teknologi modern keamanan nyamanrm analisis faktor pendukung mahjong wins digemari generasirm langkah efektif menyesuaikan perubahan sistem mahjong waysrm mengintip proses pengembangan mahjong wins kualitas penggunarm analisis data membantu membaca arah mahjong waysrm menemukan titik temu insting logika mahjong winsrm transformasi besar mahjong ways menghadirkan tantangan menarikmengungkap simbol langka nasib drastismisteri besar kombinasi simbol langkamisteri simbol langka keberuntungan besarsimbol langka misterius ubah hiduprahasia simbol langka nasib cepattransformasi bonus mahjong wins sistem efektifmahjong wins suguhkan bonus sistem modernsuguhan bonus efisien mahjong winsefektivitas sistem bonus mahjong winsmahjong wins hadirkan bonus sistem optimaloke76cincinbetaqua365slot gacorstc76samurai76TOBA1131samurai76 login