Metastasizing Pleomorphic Adenoma of the Salivary Gland Involving the Sternum: A Case Report

Metastasizing Pleomorphic Adenoma of the Salivary Gland Involving the Sternum: A Case Report

Dr Shripal Jani1, Dr Shehnaz Kantharia2, Dr Aditya Shah3, Dr Hetal Parikh4, Dr Rajesh Kantharia *


1- Dr Shripal Jani, MDS, Fellowship Oral Oncosurgery, Consultant Oral oncosurgeon, Bankers Superspeciality Hospital, Manjalpur, Baroda 390011.

2- Dr Shehnaz Kantharia, MS ( ENT ), PGDCR, MBA, ENT and Head and Neck Surgeon, Head of Clinical Research, Bankers Superspeciality Hospital, Manjalpur, Baroda 390011.

3- Dr Aditya Shah, MDS ( Oral and Maxillofacial surgery ), Clinical Observer, Dept of Head and Neck Oncosurgery, Bankers Superspeciality Hospital, Manjalpur, Baroda, 390011.

4- Dr Hetal Parikh, MD, FRCPath (Histopathology), Consultant Histopathologist, Unipath Laboratory, Baroda.

*Correspondence to: Dr Rajesh Kantharia, MS, Fellowship Head And Neck Oncosurgery (Tata Memorial Hospital), Program Director Oncology Services, Head and Neck Oncosurgeon, Bankers Superspeciality Hospital, Manjalpur, Baroda 390011.


Copyright.

© 2025 Dr Rajesh Kantharia This is an open access article distributed under the Creative Commons Attribution   License, which permits unrestricted use, distribution, and reproduction in any medium, provided the original work is properly cited.

Received: 15 April 2025

Published: 21 April 2025

DOI:https://doi.org/10.5281/zenodo.15622012

Abstract:  

BACKGROUND: The acinar-ductal units of the three pairs of main salivary glands (submandibular, sublingual, and parotid) and small salivary glands are encircled by myoepithelial cells, which are functionally altered epithelial cells that produce extracellular matrix. The majority of salivary gland tumors are benign; large glands account for 70% of cases, while small glands account for 25%. Salivary gland tumors make up 2 to 6.5% of all head and neck neoplasms. Tumors in the salivary glands can be cancerous at different rates—most often in the sublingual gland, less so in the submandibular gland, and least commonly in the parotid gland. Among adults, pleomorphic adenoma is the most commonly diagnosed salivary gland tumor, which is often a benign with a well-defined circumference and a modest growth rate. Despite being malignant, metastatic pleomorphic adenoma (MPA) shares identical histological features with benign pleomorphic adenoma (PA). This report details a case of pleomorphic adenoma of the salivary gland exhibiting metastasis to the sternum in an geriatric patient.


Metastasizing Pleomorphic Adenoma of the Salivary Gland Involving the Sternum: A Case Report

Introduction

There are three major pairs of salivary glands in the human body: parotid, submandibular, and sublingual. Minor salivary glands are found along the lateral borders of the tongue, palate, lips, and buccal mucosa. There are notable histological similarities between minor salivary glands and seromucous glands of the respiratory tract, including those in the nasal cavity, larynx, and bronchi.(1)

The acinar-ductal unit is the basic anatomy of all salivary glands. Either mucous cells, serous cells, or both make up acin. The excretory, intercalated, and striated ducts make up the ductal unit. Myoepithelial cells around acini and intercalated ducts. Despite having a dual epithelium and smooth muscle phenotype and producing extracellular matrix, myoepithelial cells are functionally modified epithelial cells.(1)

Benign tumors of the salivary glands are found in 25% of minor salivary glands and 70% of major salivary glands. Salivary glands account for 2–6.5% of all head and neck neoplasms, with 70 to 90% of sublingual glands, 41 to 45% of submandibular, and 15 to 35% of parotid gland tumors being malignant.(2)

The most prevalent salivary gland tumor in adults is called pleomorphic adenoma (PA). They can occur anywhere throughout the upper aerodigestive tract, although most of them start in the parotid gland.(3) It is often a benign tumor that grows slowly and is well-circumscribed.(5) PA can metastasize without malignant transformation, but it can also malignantly change into ex-pleomorphic adenoma.(4)

The three histologic variants of malignant mixed tumors of the salivary glands include metastasizing pleomorphic adenoma, carcinoma ex pleomorphic adenoma, carcinosarcoma.(5)

The rare malignant tumor known as metastatic pleomorphic adenoma (MPA) is histologically distinct from PA but produces secondary tumors in other locations. (4) MPAs are a type of PA that differs genetically from the standard PLAG1/HMGA2 fusions and is more likely to exhibit malignant behavior. (3)

Here, we present a case of pleomorphic adenoma of the salivary gland with a sternal mass confirming metastasizing pleomorphic adenoma on biopsy.

 

Case Report

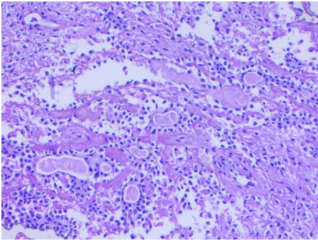
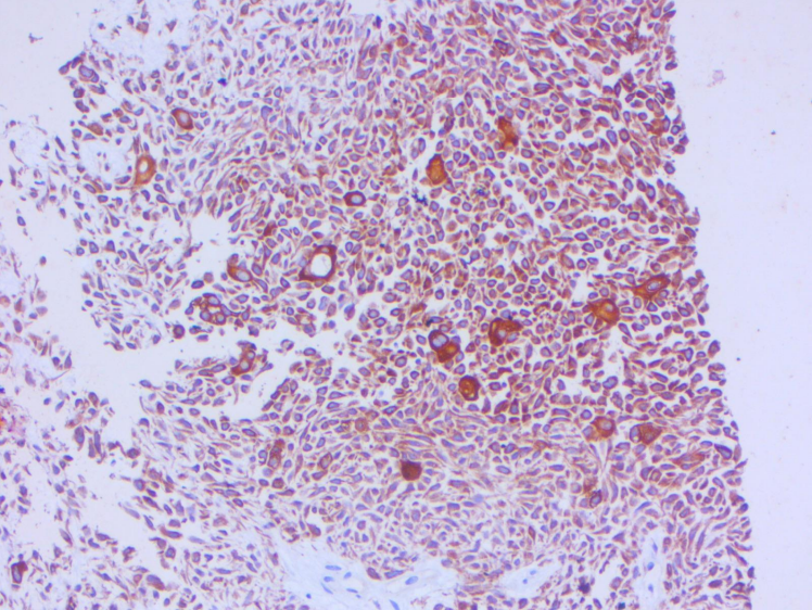
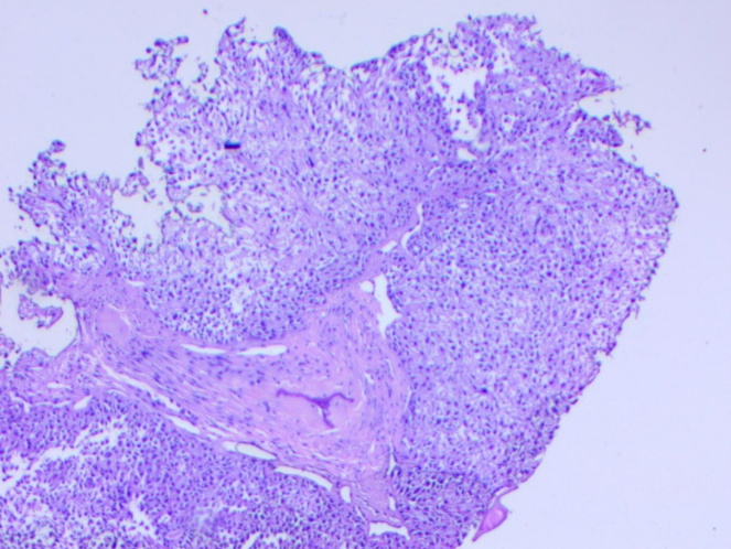
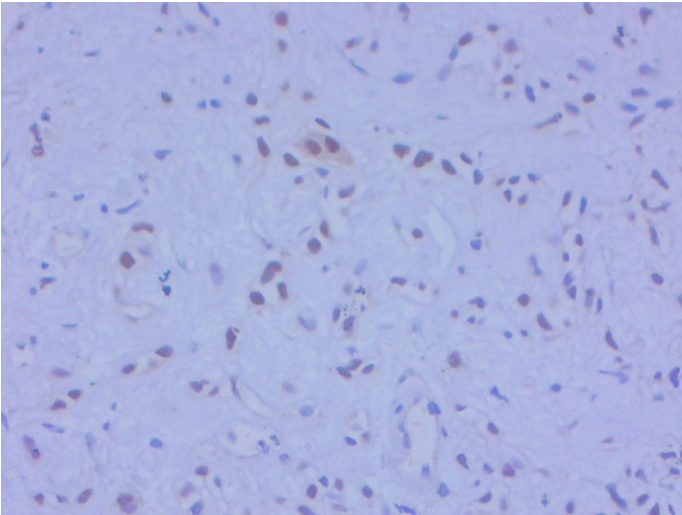
A 71-year-old female presented at Bankers Superspeciality Hospital complaining of swelling over the right side of the face and upper neck region, with localised swelling over the sternum. She was asymptomatic 5 months back as she gradually noticed swelling over her right side of her face and upper neck region, which gradually increased in size. In the past (2018), she had surgery at a local hospital, query for parotid surgery; no documents were available ( surgery note and histopathological report). On inspection and palpation, 8*7cm hard proliferative, lobulated growth present over the right side upper neck region, not fixed to underlying structures, crossing midline of the face with no ulceration present over skin (Image 1). No neck nodes were palpable. No sign of facial palsy present. Localised mass of 6*5cm was present over the right side sternum, which was fixed to the underlying bone (Image 2). No skin ulceration was present over sternum region and no axillary nodes were palpable. The performance status of the patient was ECOG 1. Computed tomography of Neck and chest (Plain + Contrast) suggestive of large heterogeneously enhancing lobulated solid cystic lesion seen in right submandibular and upper internal jugular regions and right submental region anterior to right sternocleidomastoid muscle, size of 94(W)*76(AP)*79.6(CC)mm, with mild compression on right IJV. Approx 78*75*92mm soft tissue lesion involving sternum causing osteolytic destruction extending into the anterior mediastinum displacing heart and other structures posteriorly. A few variable-sized soft tissue density nodules scattered throughout both lungs (Image 3 & Image 4). Trucut Biopsy from Right submandibular region s/o pleomorphic adenoma ( composed of epithelial tubules and myoepithelial cells in abundant chondromyxoid stroma) (Image 5 & Image 6). Trucut Biopsy from sternal mass suggestive of malignant tumor, likely to be sarcoma, chondrosarcoma is a possibility. Further Immunohistochemistry was done which suggestive of lesional cells with chondroid type appearance and matrix with positive for AE1/3, CK7 and S100 with KI-67 2-3% favouring Benign metastasizing pleomorphic adenoma (Image 7 & Image 8). PETCT scan was done, which suggestive of FDG avid heterogenously enhancing lobulated soft tissue mass involving right submandibular and submental region 8.6(AP)*7.3(TS)*8.9(CC) ; SUV max 8.6. Medially involving the Right submandibular gland Indenting onto right SCM and strap muscles, Superioly lesion is infiltrating inferior lobe of right parotid gland, overlying skin is involved with no obvious erosion. FDG avid lytic destructive lesion are noted involving sternum, left fifth rib, D12 and L3 vertebrae. Sternal lytic destructive lesion is present with soft tissue compenent with calcification of 8.2*7.2*10.5cm; SUV max 5.9. Soft tissue component is extending into anterior mediastinum and is seen infiltrating right middle lobe lung parenchyma. Left fifth rib is assosciated with  FDG avid enhancing soft tissue component 2.6*2.3cm; SUVmax 6.5 (Figure 9). On PETCT Scan report with skeletal metastasis, in multidisciplinary tumor board discussion, the case was discussed and decided to give palliative chemotherapy.

 

Figure 1: Pleomorphic Adenoma

Figure 2: Sternal Mass

Figure 3: Computed Tomography with contrast of Head and Neck

Figure 4: Computed Tomography with contrast of Chest

Figure 5: Ductal elements and background chondromyxoid stroma and myoepithelial cells

Figure 6: Bone with background PA

Figure 7: P63 Immunohistochemistry myoepithelial cells

Figure 8: AE1&3 highlights epithelial cell closure

Figure 9: Positon Emission Tomography- Computed Tomography

(please go through attached pdf to  view all images)

 

Discussion

The most common noncancerous tumor affecting the salivary glands is pleomorphic adenoma, also known as a mixed tumor, and it is most often treated with surgery aimed at complete cure. Patients between the ages of 30 and 50 most frequently present with a painless lump. Three types of cancer can develop from PA: metastasizing pleomorphic adenoma (MPA), carcinosarcoma, and carcinoma ex-pleomorphic adenoma (CEPA). MPA makes up 1% of all malignant PA, making the later two extremely uncommon.(4)

MPA is a very uncommon type of tumor. The death rate linked to MPA may reach 22%, despite its apparent benign nature. Based on a study of case reports by Nouraei and colleagues, the 5-year disease-specific survival rate for patients with MPA is 58%, while the disease-free survival rate is 50%. Before distant metastases were identified, the majority of MPA patients (81%) had experienced at least one local PA recurrence.(8) As our case of local recurrence of PA from parotid to distant metastasis at the sternum.

Local recurrence and distant metastasis were significantly linked to incomplete surgical excision of the main PA and tumor seeding into the bloodstream during surgical resection.(4) Our patient also gives similar history of previous surgery followed by recurrence and distant metastasis.

The cornerstone of MPA treatment is metastasectomy, where possible. According to log-rank analysis, it provided a notable survival advantage over nonoperative treatment.(8) But our patient had skeletal metastasis with anterior mediastinum involvement which was a factor for contraindicating surgery.

The tumor's melanocytic or myoepithelial origin is indicated by the glial cella's S100 marker for melanocytes and the AE1/3 marker for epithelial cells' pancytokeratin. When it comes to salivary gland cancer, Ki-67's high proliferative activity is the most reliable indicator of a poor prognosis. Compared to patients with a Ki-67 score more than 15%, those with a value of 15% or less had higher survival rates.(5) In our case sternal mass biopsy with IHC shows positive for AE1/3 and S100 cells and also Ki-67 was 2-3% suggestive of Metastasizing pleomorphic adenoma.

In their case report, Seo Young Choi et al. recommended a right upper lobe lobectomy due to a single metastasizing pulmonary pleomorphic adenoma.(6) In their study, Tetsuji Yamaguchi et al. described a case of submandibular gland pleomorphic adenoma that had spread to the lung and bone. They managed the perihilar and bone lesions using chemotherapy (2400 mg of 5-fluorouracil and 340 mg of nedaplatin) combined with external-beam radiation therapy at a dose of 45 Gy. Four months later, they performed a left-complete pneumonectomy and resection of the sternum.(7) As per TBC discussion we started chemotherapy of Inj Doxurubicin 60mg + Inj cisplatin 60mg and it is to be given for 6 cycles.

 

Conclusion

The exact Etiology of Metastasizing Pleomorphic Adenoma is not known. Literature review says that most cases occurred after surgery or invasive procedures. It is hypothesized that surgical manipulation can lead to tumor cell migration to blood vessels and this hematogenous spread can lead to metastasis. In our case too, local recurrence and sternal metastasis occurred after initial surgical excision of the Pleomorphic Adenoma of the Parotid. We can assume that there may have been cellular migration from the index tumor into the blood vessels or lymphatics.

 

Conflict of Interest

None

Ethical Approval

None required

 

References

1)         Ghannam MG, Singh P. Anatomy, head and neck, salivary glands. In: StatPearls. Treasure Island (FL): StatPearls Publishing; 2025.

2)         Alsanie I, Rajab S, Cottom H, Adegun O, Agarwal R, Jay A, et al. Distribution and frequency of salivary gland tumours: An international multicenter study. Head Neck Pathol [Internet]. 2022;16(4):1043–54. Available from: http://dx.doi.org/10.1007/s12105-022-01459-0

3)         Wasserman, J. K., Dickson, B. C., Smith, A., Swanson, D., Purgina, B. M., & Weinreb, I. (2019). Metastasizing pleomorphic adenoma: Recurrent PLAG1/HMGA2 rearrangements and identification of a novel HMGA2-TMTC2 fusion. The American Journal of Surgical Pathology, 43(8), 1145–1151. https://doi.org/10.1097/PAS.0000000000001280

4)         Knight, J., & Ratnasingham, K. (2015). Metastasising pleomorphic adenoma: Systematic review. International Journal of Surgery (London, England), 19, 137–145. https://doi.org/10.1016/j.ijsu.2015.04.084

5)         Nagao T, Sato E, Inoue R, Oshiro H, H Takahashi R, Nagai T, et al. Immunohistochemical analysis of salivary gland tumors: application for surgical pathology practice. Acta Histochem Cytochem [Internet]. 2012;45(5):269–82. Available from: http://dx.doi.org/10.1267/ahc.12019

6)         Choi, S. Y., Kwon, W., Hong, I. S., & Jung, S. H. (2016). Multimodality imaging of metastasizing pleomorphic adenoma presenting as a solitary pulmonary nodule without local tumor recurrence: A case report. Journal of the Korean Society of Radiology, 74(3), 204. https://doi.org/10.3348/jksr.2016.74.3.204

7)         Yamaguchi, T., Ashizawa, K., Nagaoki, K., Abiru, H., Uetani, M., Tagawa, T., Nagayasu, T., & Hayashi, T. (2009). Metastasizing pleomorphic adenoma of the submandibular gland with metastasis to the lung and sternum: CT and MR imaging findings. European Journal of Radiology Extra, 72(2), e69–e72. https://doi.org/10.1016/j.ejrex.2009.07.004.

8)         Santaliz-Ruiz LE Iv, Morales G, Santini H, Sánchez-Santiago M, Arroyo A. Metastasizing pleomorphic adenoma: a fascinating enigma. Case Rep Med [Internet]. 2012;2012:148103. Available from: http://dx.doi.org/10.1155/2012/148103

Figure 1

Figure 2

Figure 3

Figure 4

Figure 5

Figure 6

Figure 7

Figure 8

Figure 9

antarmuka fokus mahjong daya pengguna aktifaws grid serasi mahjong dasar tahapan terjagaaws jejak mekanisme mahjong arah fase lanjutanaws kajian wild berantai mahjong interaktif analitisaws kesesuaian persentase layanan mahjong seluler lanceraws pendalaman persentase mahjong gerak wild mutakhircorak langka mahjong tumbuh perlahan berubahgerak mahjong adaptasi mekanisme pemakai sekarangnalar scatter mahjong malam putaran ekstratempo mahjong kaitan mekanisme keadaan terkinialur permainan mahjong cepat scatter wilddalam hitungan detik scatter wild mahjongmenyatukan naluri pola scatter hitam mahjongmomen mahjong permainan berbalik arahmomen singkat mahjong dinamika permainanperpaduan insting pola scatter hitam momentperubahan drastis mahjong ways scatter wildscatter wild mahjong datang polasekejap berubah scatter wild mahjong wayssensasi baru mahjong lebih scatter wildenergi scatter emas irama reel mahjongevolusi reel mahjong balutan mistisintervensi cepat emas momentum lamakemunculan mendadak naga emas mahjongketika scatter naga emas aktif mahjongnaga emas muncul arah spin mahjongnaga emas ritme mahjong ways berubahrahasia rtp tinggi balik scatter hitamsaat scatter naga emas alih irama reelscatter hitam kunci lonjakan rtp mahjonge5 scatter wild memberikan sentuhan baru di setiap spin mahjong ways 2e5 scatter wild menghidupkan suasana permainan mahjong ways 2e5 scatter wild mengubah pola permainan mahjong ways 2 secara signifikane5 setiap putaran mahjong ways 2 terasa berbeda dengan scatter wilde5 strategi adaptif berbasis analisis rtp hariane5 strategi berbasis data dan algoritma untuk analisis momentume5 strategi berkembang berkat data rtp hariane5 strategi memahami algoritma untuk mengidentifikasi momentum ideale5 strategi membaca pola algoritma demi menangkap momentum optimale5 strategi modern mengandalkan evaluasi rtp hariane5 strategi responsif dengan dukungan evaluasi rtp hariane5 strategi terukur dengan analisis rtp hariane5 struktur scatter dan wild terlihat jelas berkat analisis sistem moderne5 tanpa disadari kombinasi ini sering mengarah ke scatter di mahjong wins 3e5 teknik evaluasi algoritma untuk mendapatkan momentum yang tepate5 teknik observasi sistem untuk analisis momentum yang lebih presisie5 terungkap formasi ini sering jadi awal munculnya scatter di mahjong wins 3e5 transformasi digital rtp live berkat artificial intelligence inovatife5 transformasi ritme mahjong ways 2 dipicu oleh kekuatan scatter wilde5 wajib tahu pola tersembunyi ini sering menghasilkan scattere5 applee5 bananae5 candye5 doge5 eaglee5 falcone5 geminie5 horsee5 indiae5 japananalisa pola mahjong ways rutinanalisis kinerja heuristik variansi gameanalisis pola mahjong ways hariananalisis pola mahjong ways kebiasaanera baru mahjong wins bonus optimalgebrakan bonus mahjong wins mekanisme efisieninsight pola mahjong ways rutinkajian pola mahjong ways rutinkomparasi heuristik variansi game digitalledakan bonus mahjong wins sistem efektifmahjong wins bonus sistem generasi baruobservasi pola mahjong ways harianpendekatan algoritma heuristik variansi gameperbandingan model heuristik variansi gamerahasia bonus mahjong wins sistem cerdasrangkuman pola mahjong ways harianringkasan pola mahjong ways harianstudi pola mahjong ways hariantinjauan heuristik variansi game digitaltinjauan pola mahjong ways harianalur sombol mahjong kemunculan scatterdari rtp mahjong bermain lebih efektifjejak scatter mahjong putaran tenangkejutan scatter wild simbol mahjong arahkemunculan simbol ganda membuat mahjongketika grid mahjong scatter semakin dekatketika rtp mahjong pola mulai lebih jelasketika scatter wild ritme simbol mahjongketika scatter wild titik sesi mahjong waysketika susunan simbol mahjong ritme scattermemahami rtp mahjong cara bermain lebihpergerakan simbol mahjong scatter wildpergeseran mahjong ketika scatter hadirsaat rtp mahjong terbaca baik strategisaat scatter hadir simbol mahjong bergeserscatter wild dinamika simbol mahjongstabilitas putaran mahjong pola scattersusunan baru reel mahjong scatter emassusunan mahjong wins mengandung scattersusunan simbol mahjong diam pola scatterrm menguak keunikan mahjong wins sudut pandang teknisrm cara memahami pergerakan mahjong ways tenaga ekstrarm mahjong wins standar baru industri hiburan digitalrm rahasia ketahanan mahjong ways eksis gempuran gamerm pentingnya memahami transisi level mahjong wins mendalamrm strategi mengatur tempo mahjong ways kendali permainanrm peran kecerdasan buatan mekanisme mahjong wins adilrm alasan keberhasilan mahjong ways mencuri perhatian analisrm mempelajari struktur dasar mahjong wins efisiensi putaranrm inovasi desain mahjong ways kesan bermain responsifrm teknik observasi mahjong wins jarang dibahas dampakrm cara mempertahankan fokus dinamika mahjong ways cepatrm eksplorasi fitur tersembunyi mahjong wins ritme terbaikrm mahjong ways integrasi teknologi modern keamanan nyamanrm analisis faktor pendukung mahjong wins digemari generasirm langkah efektif menyesuaikan perubahan sistem mahjong waysrm mengintip proses pengembangan mahjong wins kualitas penggunarm analisis data membantu membaca arah mahjong waysrm menemukan titik temu insting logika mahjong winsrm transformasi besar mahjong ways menghadirkan tantangan menarikmengungkap simbol langka nasib drastismisteri besar kombinasi simbol langkamisteri simbol langka keberuntungan besarsimbol langka misterius ubah hiduprahasia simbol langka nasib cepattransformasi bonus mahjong wins sistem efektifmahjong wins suguhkan bonus sistem modernsuguhan bonus efisien mahjong winsefektivitas sistem bonus mahjong winsmahjong wins hadirkan bonus sistem optimaloke76cincinbetaqua365slot gacorstc76samurai76TOBA1131samurai76 login