A Rare Case of Pectineus Muscle Abscess after Transurethral Resection of the Prostate

A Rare Case of Pectineus Muscle Abscess after Transurethral Resection of the Prostate

   Ramazan Demirci*1, Stephan von Padberg2, Robert R.V. Hefty3

 

*Correspondence to: Ramazan Demirci, Germany.


Copyright

© 2025 Ramazan Demirci. This is an open access article distributed under the Creative Commons Attribution License, which permits unrestricted use, distribution, and reproduction in any medium, provided the original work is properly cited.

Received: 03 April 2025

Published: 26 April 2025

DOI: https://doi.org/10.5281/zenodo.15274542

Abstract

The isolated pectineal abscess is a very rare urologic pathology and has never been published to date. We present a 74-year-old Caucasian man, who recently undergoes an transurethral resection of the prostate in November 2022. A CT examination showed a perforation of the prostatic capsule and a fluid collection in the pectineus muscle. As treatment, a Foley catheter was implied and the patient healed up without complication.

Although adductor muscle abscesses are not expected as a complication after TUR-P, it should be considered in patients presenting with pain on adduction.


A Rare Case of Pectineus Muscle Abscess after Transurethral Resection of the Prostate

Introduction

In fact, pectineus muscle abscesses are very unusual anomalies. Up to the present there are no case reports in the literature.

 

I the literature review, it has been shown that the most common complications after transurethral resection of the prostate are bleeding, clot retention and urinary tract infections.(1) Owing to the lack of literature, in this study a case of pectineus muscle abscess after transurethral resection of the prostate(TUR-P) is presented. As far as known, this is the first case report and that attends to a rare clinical situation in urologic surgery.

 

Case Presentation

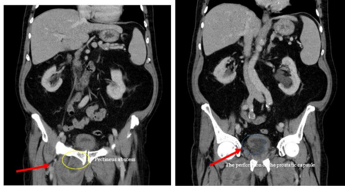
A 74-year-old Caucasian man came to the emergency department with pain in adduction on the inner side of the right thigh and on the fever of 38,2° C. In its medical history has shown that ventricular extrasystole, high-grade aortic valve stenosis and transurethral prostate resection 2 weeks ago. He had neither immunosuppressive disease nor medication. He does not smoke, nor did his family history contribute. On physical examination, he had no symptoms except pain on palpation and adduction in the upper right inner thigh. Laboratory has demonstrated that a high leukocyte count of 13.41 x 109/l. The patient's C-reactive protein was elevated at 95.87 mg/l, the culture of the urine was sterile. A computer tomography was performed, which revealed that an inflammation of the pectineus muscle adjacent to approximately 2,5 cm abscess (Figure 1). This abscess area was also found to be associated with the prostatic capsule (Figure 2).

 

FIGURE 1:     Abdominopelvic CT scan revealed that a 2,5 cm pectineus abscess area [(a) yellow circle] and a perforation of the prostatic capsule [(b) blue circle].

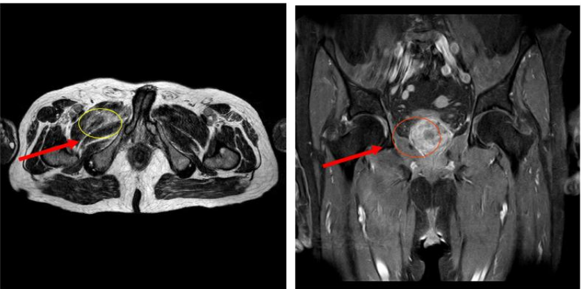
FIGURE 2:     In the T1 and T2 sequences of MR imaging, it was found that the abscess area [(a) yellow circle] decreased significantly and there was no perforation of the prostate capsule [(b) red circle].

 

As a result of a diagnosis of septicemia secondary to a pectineus abscess, a 18-French 2-way Foley catheter was inserted as a drainage and the patient underwent intravenous ampicillin sulbactam treatment for 4 days. Following treatment, the infection parameters declined to acceptable levels and the patient was hemodynamically stable. The patient was discharged with an additional 2 weeks of oral antibiotic therapy.

 

Four weeks after the treatment the MRI demonstrated that prostatic capsule was intact and there was a significant reduction in the abscess area. He also denied any pain or symptoms.

 

Discussion

The most common complications following TUR-P are intraoperative and post-operative hemorrhages with clot retention, prolonged urinary retention and urinary tract infections (1).

 

The pectineus muscle, one of the adductor muscles of the thigh, begins between the ilium and pubis bones and ends in the tuberculum pubicum (2). Although an isolated pectineal abscess has not been observed in the literature up to date, adductor abscesses have been rarely published along with pectineus muscle in the region. In the international Urogynecology, one case was reported(3). The patient was 65 year-old-female, who described with pain involved with dermal inflammation signs of the right thigh. This patient had been operated with sub-urethral sling surgery for stress urinary incontinence.

 

Contrary to the previous patient, our patient was experiencing adduction pain. Female and male urogenital system distinctions and different surgical methods may account for this difference.

 

In another case, a bilateral abscess of the adductor muscle was reported with chronic osteomyelitis of the pubic symphysis 10 years after TUR-P (4). Two years before the operation, this patient was treated brachytherapy for prostate cancer. In contrast to that patient, our patient was in an acute state.

 

Although contrast-enhanced tomography is used in the diagnosis, MRI is the imaging method in deep abscesses (5). Since the size of the abscess in our case was small, it is preferred to stay conservative in the treatment.

 


Conclusion

According to the available data, the pathophysiological mechanism of the pectineus abscess is not clear. Based on evidence from other abscesses, the treatment of Pectineus abscesses may be appropriate through incision, drainage and antibiotics.

 

Although they are very rare, adductor muscle group abscesses should be considered in patients presenting with pain in adduction after any pelvic surgery.

 

Consent

No written consent has been obtained from the patients as there is no patient identifiable data included in this case report.

 

Conflicts of Interest

The authors declare that they have no conflicts of interests.

 

References

1.         Rassweiler J, Teber D, Kuntz R, Hofmann R. Complications of transurethral resection of the prostate (TURP)--incidence, management, and prevention. Eur Urol. November 2006;50(5):969– 79; discussion 980.

2.         Standring S, Ellis H, Healy J, Johnson D, Williams A, Collins P, u. a. Gray’s anatomy: the anatomical basis of clinical practice. Am J Neuroradiol. 2005;26(10):2703.

3.         Deffieux X, Donnadieu AC, Mordefroid M, Levante S, Frydman R, Fernandez H. Prepubic and thigh abscess after successive placement of two suburethral slings. Int Urogynecology J. 2007;18(5):571–4.

4.         Trubiano JA, Yang N, Mahony AA. Bilateral thigh pain after treatment for prostate cancer. BMJ Case Rep. 4. März 2013;2013:bcr2013008784.

5.         Kickuth R, Adams S, Kirchner J, Pastor J, Simon S, Liermann D. Magnetic resonance imaging in the diagnosis of Fournier’s gangrene. Eur Radiol. 2001;11(5):787–90.

Figure 1

Figure 2

antarmuka fokus mahjong daya pengguna aktifaws grid serasi mahjong dasar tahapan terjagaaws jejak mekanisme mahjong arah fase lanjutanaws kajian wild berantai mahjong interaktif analitisaws kesesuaian persentase layanan mahjong seluler lanceraws pendalaman persentase mahjong gerak wild mutakhircorak langka mahjong tumbuh perlahan berubahgerak mahjong adaptasi mekanisme pemakai sekarangnalar scatter mahjong malam putaran ekstratempo mahjong kaitan mekanisme keadaan terkinialur permainan mahjong cepat scatter wilddalam hitungan detik scatter wild mahjongmenyatukan naluri pola scatter hitam mahjongmomen mahjong permainan berbalik arahmomen singkat mahjong dinamika permainanperpaduan insting pola scatter hitam momentperubahan drastis mahjong ways scatter wildscatter wild mahjong datang polasekejap berubah scatter wild mahjong wayssensasi baru mahjong lebih scatter wildenergi scatter emas irama reel mahjongevolusi reel mahjong balutan mistisintervensi cepat emas momentum lamakemunculan mendadak naga emas mahjongketika scatter naga emas aktif mahjongnaga emas muncul arah spin mahjongnaga emas ritme mahjong ways berubahrahasia rtp tinggi balik scatter hitamsaat scatter naga emas alih irama reelscatter hitam kunci lonjakan rtp mahjonge5 scatter wild memberikan sentuhan baru di setiap spin mahjong ways 2e5 scatter wild menghidupkan suasana permainan mahjong ways 2e5 scatter wild mengubah pola permainan mahjong ways 2 secara signifikane5 setiap putaran mahjong ways 2 terasa berbeda dengan scatter wilde5 strategi adaptif berbasis analisis rtp hariane5 strategi berbasis data dan algoritma untuk analisis momentume5 strategi berkembang berkat data rtp hariane5 strategi memahami algoritma untuk mengidentifikasi momentum ideale5 strategi membaca pola algoritma demi menangkap momentum optimale5 strategi modern mengandalkan evaluasi rtp hariane5 strategi responsif dengan dukungan evaluasi rtp hariane5 strategi terukur dengan analisis rtp hariane5 struktur scatter dan wild terlihat jelas berkat analisis sistem moderne5 tanpa disadari kombinasi ini sering mengarah ke scatter di mahjong wins 3e5 teknik evaluasi algoritma untuk mendapatkan momentum yang tepate5 teknik observasi sistem untuk analisis momentum yang lebih presisie5 terungkap formasi ini sering jadi awal munculnya scatter di mahjong wins 3e5 transformasi digital rtp live berkat artificial intelligence inovatife5 transformasi ritme mahjong ways 2 dipicu oleh kekuatan scatter wilde5 wajib tahu pola tersembunyi ini sering menghasilkan scattere5 applee5 bananae5 candye5 doge5 eaglee5 falcone5 geminie5 horsee5 indiae5 japananalisa pola mahjong ways rutinanalisis kinerja heuristik variansi gameanalisis pola mahjong ways hariananalisis pola mahjong ways kebiasaanera baru mahjong wins bonus optimalgebrakan bonus mahjong wins mekanisme efisieninsight pola mahjong ways rutinkajian pola mahjong ways rutinkomparasi heuristik variansi game digitalledakan bonus mahjong wins sistem efektifmahjong wins bonus sistem generasi baruobservasi pola mahjong ways harianpendekatan algoritma heuristik variansi gameperbandingan model heuristik variansi gamerahasia bonus mahjong wins sistem cerdasrangkuman pola mahjong ways harianringkasan pola mahjong ways harianstudi pola mahjong ways hariantinjauan heuristik variansi game digitaltinjauan pola mahjong ways harianalur sombol mahjong kemunculan scatterdari rtp mahjong bermain lebih efektifjejak scatter mahjong putaran tenangkejutan scatter wild simbol mahjong arahkemunculan simbol ganda membuat mahjongketika grid mahjong scatter semakin dekatketika rtp mahjong pola mulai lebih jelasketika scatter wild ritme simbol mahjongketika scatter wild titik sesi mahjong waysketika susunan simbol mahjong ritme scattermemahami rtp mahjong cara bermain lebihpergerakan simbol mahjong scatter wildpergeseran mahjong ketika scatter hadirsaat rtp mahjong terbaca baik strategisaat scatter hadir simbol mahjong bergeserscatter wild dinamika simbol mahjongstabilitas putaran mahjong pola scattersusunan baru reel mahjong scatter emassusunan mahjong wins mengandung scattersusunan simbol mahjong diam pola scatterrm menguak keunikan mahjong wins sudut pandang teknisrm cara memahami pergerakan mahjong ways tenaga ekstrarm mahjong wins standar baru industri hiburan digitalrm rahasia ketahanan mahjong ways eksis gempuran gamerm pentingnya memahami transisi level mahjong wins mendalamrm strategi mengatur tempo mahjong ways kendali permainanrm peran kecerdasan buatan mekanisme mahjong wins adilrm alasan keberhasilan mahjong ways mencuri perhatian analisrm mempelajari struktur dasar mahjong wins efisiensi putaranrm inovasi desain mahjong ways kesan bermain responsifrm teknik observasi mahjong wins jarang dibahas dampakrm cara mempertahankan fokus dinamika mahjong ways cepatrm eksplorasi fitur tersembunyi mahjong wins ritme terbaikrm mahjong ways integrasi teknologi modern keamanan nyamanrm analisis faktor pendukung mahjong wins digemari generasirm langkah efektif menyesuaikan perubahan sistem mahjong waysrm mengintip proses pengembangan mahjong wins kualitas penggunarm analisis data membantu membaca arah mahjong waysrm menemukan titik temu insting logika mahjong winsrm transformasi besar mahjong ways menghadirkan tantangan menarikmengungkap simbol langka nasib drastismisteri besar kombinasi simbol langkamisteri simbol langka keberuntungan besarsimbol langka misterius ubah hiduprahasia simbol langka nasib cepattransformasi bonus mahjong wins sistem efektifmahjong wins suguhkan bonus sistem modernsuguhan bonus efisien mahjong winsefektivitas sistem bonus mahjong winsmahjong wins hadirkan bonus sistem optimaloke76cincinbetaqua365slot gacorstc76samurai76TOBA1131samurai76 login