Pancreatic Heterotopia in the Gallbladder: A Rare Case Report

Pancreatic Heterotopia in the Gallbladder: A Rare Case Report

Dr. Murtaza Makasarwala *

 

*Correspondence to: Dr. Murtaza Makasarwala, Consultant Robotic Advanced Laparoscopic GI and Laser surgeon, Shalby Hospital, Adajan, near navyug college, Surat-395009, India.


Copyright

© 2025 Dr. Murtaza Makasarwala. This is an open access article distributed under the Creative Commons Attribution License, which permits unrestricted use, distribution, and reproduction in any medium, provided the original work is properly cited

Received: 12 May 2025

Published: 19 May 2025

DOI:https://doi.org/10.5281/zenodo.15686606

Abstract

Introduction: Pancreatic heterotopia is an uncommon congenital anomaly wherein pancreatic tissue is present outside its normal anatomical location and without vascular or ductal continuity. While heterotopic pancreatic tissue is often identified incidentally within the gastrointestinal tract, its presence in the gallbladder is extremely rare.

Case Presentation: We report the case of a 51-year-old Arab woman with recurrent biliary colic and chronic right upper quadrant pain.

Investigations: Laboratory analysis was largely unremarkable, except for elevated gamma-glutamyl transferase (GGT). Imaging confirmed cholelithiasis without biliary obstruction.

Intervention: Laparoscopic cholecystectomy was performed.

Results: Histopathological analysis revealed Heinrich Type II pancreatic heterotopia near the cystic duct margin.

Conclusion: Due to its asymptomatic nature, pancreatic heterotopia is frequently an incidental finding diagnosed only postoperatively via histopathology. Nevertheless, awareness of this anomaly is essential for pathologists and surgeons to ensure complete excision and rule out malignant potential.


Pancreatic Heterotopia in the Gallbladder: A Rare Case Report

Introduction

Pancreatic heterotopia is defined as the presence of pancreatic tissue in ectopic sites, isolated from the orthotopic pancreas and lacking anatomical or vascular continuity. Although rare, it has been identified in various parts of the gastrointestinal tract, most notably the stomach, duodenum, and jejunum. Its occurrence in the gallbladder is exceedingly uncommon, with fewer than 40 cases documented globally since its first report by Otschkin in 1916.

The condition is predominantly asymptomatic and is often discovered incidentally during histopathological evaluation following cholecystectomy. When symptomatic, it may mimic biliary colic, presenting with epigastric or right upper quadrant pain—often leading to a misdiagnosis of cholelithiasis or cholecystitis.

Embryologically, pancreatic heterotopia is considered a migration anomaly. During the 7th to 8th weeks of gestation, abnormal rotation of the foregut can result in pancreatic tissue embedding into ectopic regions. The misplacement theory—suggesting displacement of pancreatic tissue during embryogenesis—is the most widely accepted explanation.

Histologically, heterotopic pancreas has been classified by Heinrich into three types:

• Type I: Contains acini, ducts, and islets of Langerhans (resembling normal pancreas).

• Type II: Composed of acini and ducts, without islets.

• Type III: Contains predominantly ducts with few or absent acini and no islets.

The present case highlights a rare presentation of Heinrich Type II pancreatic heterotopia in the gallbladder of a middle-aged woman, diagnosed only postoperatively. The aim of this report is to contribute to the limited pool of literature and reinforce the importance of histopathological evaluation in cases of cholelithiasis.


Case Presentation

Patient Profile and Clinical History

A 51-year-old medically free Arab woman presented with a four-year history of chronic intermittent epigastric pain, which progressively localized to the right upper quadrant and radiated to the right subscapular area. Her symptoms were consistent with biliary colic.

Clinical Findings

Physical examination revealed no significant abnormalities. There were no signs of jaundice or peritonitis. The patient was otherwise healthy.

Investigations

Laboratory Tests

Routine blood work including complete blood count and differential were within normal limits. Liver function tests were also unremarkable except for an elevated gamma-glutamyl transferase (GGT) at 144 IU/L (normal: 5–39 IU/L).

Imaging

An abdominal ultrasound revealed multiple tiny gallstones within the gallbladder without any evidence of intrahepatic or extrahepatic biliary dilation. The liver was normal in size and echotexture, and no ascites were noted.

 

Figure 1: Ultrasound of 51-year-old female with pancreatic heterotopia in the gallbladder demonstrates innumerable tiny stones within the gallbladder but no intrahepatic or extrahepatic biliary tree dilation.

Intervention

The patient underwent an uncomplicated laparoscopic cholecystectomy. No intraoperative complications were noted.

Histopathological Findings

The resected gallbladder demonstrated multiple small pigmented stones and a whitish nodule measuring 1.3 cm near the cystic duct margin. Histological examination of the nodule confirmed heterotopic pancreatic tissue composed of acini and ducts but lacking islets of Langerhans, consistent with Heinrich Type II heterotopia.

Other findings included:

·Serosal congestion

·Denuded mucosa

·Wall thickness: 0.3 cm

 

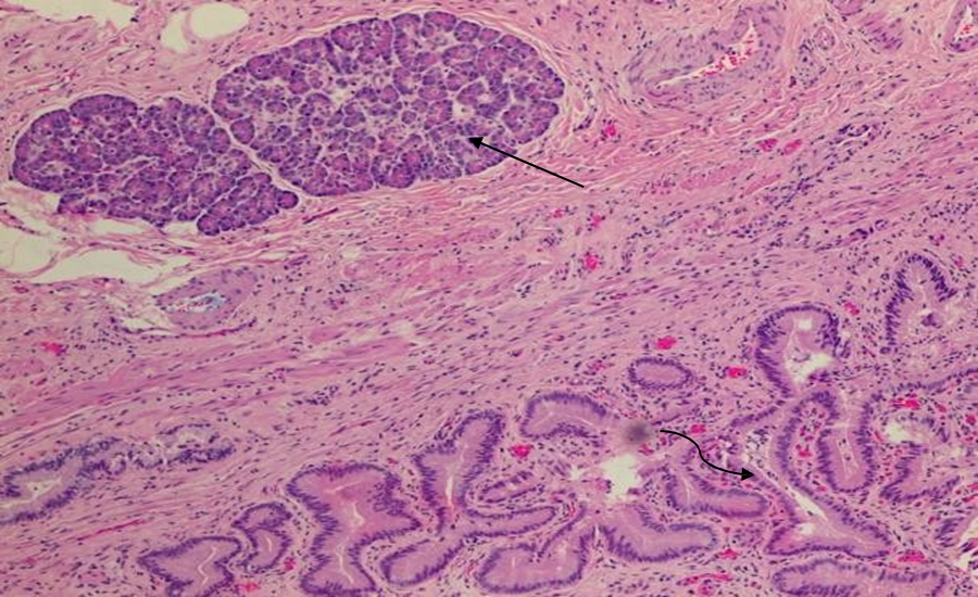
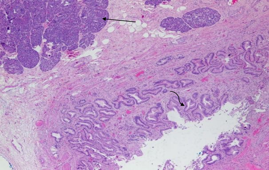
Figure 2 Histopathology of pancreatic heterotopia in the gallbladder of a 51-year-old woman using a hematoxylin and eosin stain demonstrates mucin secreting columnar epithelium lining the cystic duct (curved arrow) and pancreatic tissue (straight arrow). [100x view]

Figure 3 Histopathology of pancreatic heterotopia in the gallbladder of a 51-year-old woman using a hematoxylin and eosin stain demonstrates mucin secreting columnar epithelium lining the cystic duct (curved arrow) and pancreatic tissue (straight arrow). [100x view]

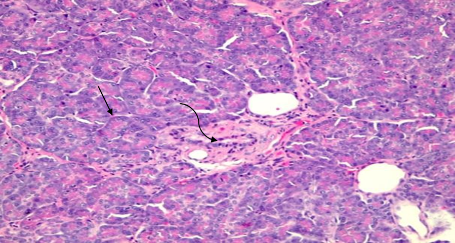
Figure 4 Histopathology of pancreatic heterotopia in the gallbladder of a 51-year-old woman using a hematoxylin and eosin stain demonstrates benign pancreatic tissue with acini (straight arrow) and ducts (curved arrow). No Langerhans islets are identified. [400x view]


Discussion

Pancreatic heterotopia, particularly in the gallbladder, remains a rare and poorly understood entity within gastrointestinal pathology. The clinical significance of this anomaly extends beyond its rarity; it presents a unique diagnostic challenge due to its asymptomatic or non-specific nature, and its potential for pathological complications. While the condition is typically benign, its presentation can closely mimic more common gallbladder diseases, leading to misdiagnosis or underreporting.


Epidemiology and Gender Disparity

Pancreatic heterotopia is reported in 0.55–13.7% of autopsy cases, with the most common ectopic sites being the stomach (especially the antrum), duodenum, and jejunum. However, its prevalence in the gallbladder is extremely rare, with less than 40 documented cases in the literature. Interestingly, although pancreatic heterotopia in general is slightly more frequent in males, heterotopia involving the gallbladder demonstrates a female predominance. This gender discrepancy may be attributable to the higher incidence of cholelithiasis and biliary diseases in women, which increases the likelihood of undergoing cholecystectomy, thereby raising the chance of incidental histopathologic detection.


Embryological Considerations

The pathogenesis of pancreatic heterotopia is rooted in embryological maldevelopment. During the 7th and 8th weeks of gestation, the pancreas forms from two separate buds—the dorsal and ventral buds. Improper rotation, migration, or sequestration of these pancreatic buds during gastrointestinal organogenesis can lead to ectopic implantation of pancreatic tissue. The misplacement theory, as proposed by Gaspar Fuentes and others, suggests that fragments of pancreatic tissue may be displaced during embryogenesis, especially in the vicinity of the biliary system, leading to anomalies like heterotopia.

 

Clinical Presentation and Diagnostic Challenges

Clinically, most cases of gallbladder pancreatic heterotopia are silent and discovered only upon histological examination of cholecystectomy specimens. When symptoms are present, they are indistinguishable from those of cholelithiasis or chronic cholecystitis. Patients may present with epigastric discomfort, right upper quadrant pain, nausea, or vomiting. In rare instances, complications such as cystic duct obstruction, acute pancreatitis within the heterotopic tissue, or even carcinoma arising in the ectopic site have been reported.

Our patient exhibited classical biliary colic symptoms without any signs suggestive of a heterotopic lesion. Laboratory parameters were largely unremarkable, with the exception of elevated GGT—a finding more likely associated with biliary stasis due to cholelithiasis rather than heterotopic tissue itself. Similar findings have been reported in the literature, including a case by Inceoglu et al. (2002), where a patient with heterotopic pancreas in the gallbladder neck developed acute hydrops due to ductal obstruction. Thus, while heterotopia is usually clinically silent, it may become symptomatic if it interferes with biliary dynamics.


Histopathological Classification and Implications

The diagnosis is histopathological and follows Heinrich’s classification:

·Type I: Consists of ducts, acini, and islets of Langerhans—replicating full pancreatic architecture.

·Type II: Contains only ducts and acini, without islets (as in our case).

·Type III: Comprises only pancreatic ducts.

Our case demonstrated Type II heterotopia, localized near the cystic duct, suggesting embryonic displacement during early foregut development. The absence of islets is noteworthy since it explains the lack of endocrine-related symptoms such as hypoglycemia or insulin-related manifestations. However, acinar tissue can still secrete digestive enzymes, which, if activated locally, may lead to inflammation or contribute to atypical symptoms like mucosal erosion or gallbladder wall thickening.


Potential for Malignancy

Although rare, there have been reports of malignant transformation in heterotopic pancreatic tissue, especially adenocarcinoma arising from the ductal epithelium. This potential warrants the complete excision of any ectopic pancreatic nodules encountered during surgery. Vigilant histopathological assessment is critical for distinguishing benign from potentially premalignant lesions. In this context, our case contributes to the ongoing discussion about the neoplastic potential of such tissues, albeit no atypia or malignant changes were identified in this instance.


Review of Literature and Clinical Correlation

A comprehensive review by Zhang et al. (2010), encompassing 184 cases of heterotopic pancreas, identified only one gallbladder instance—highlighting the extreme rarity. Similarly, Makhlouf et al. (1999) described five gallbladder cases in their series, all diagnosed retrospectively. These studies reinforce the importance of meticulous pathological evaluation of cholecystectomy specimens, particularly when mucosal nodularity or wall thickening is observed intraoperatively.

In our patient, the heterotopic nodule was small (1.3 cm), firm, and whitish, and would have been easily overlooked without histological scrutiny. This further underscores the need for a high index of suspicion, especially in patients presenting with chronic biliary symptoms and no identifiable intraoperative complications.


Summary of Key Points

·Pancreatic heterotopia in the gallbladder is rare and usually asymptomatic.

·Its diagnosis depends solely on histopathological examination post-cholecystectomy.

·Awareness among surgeons and pathologists is critical to avoid misdiagnosis.

·Potential complications include inflammation, obstruction, and rare malignant transformation.


Conclusion

Pancreatic heterotopia of the gallbladder is a rare congenital anomaly that poses diagnostic challenges due to its asymptomatic nature and non-specific presentation. While typically benign and discovered incidentally post-surgery, it can present with complications if left unrecognized. Surgeons and pathologists should maintain an awareness of this entity, especially in cholecystectomy specimens, to ensure accurate diagnosis and appropriate management.


References

1. Pendharkar D, Khetrapal S, Jairajpuri Z, Rana S, Jetley S. Pancreatic and gastric heterotopia in the gallbladder: A rare incidental finding. Int J Appl Basic Med Res. 2019;9(2):115. doi:10.4103/ijabmr.ijabmr_109_18

2. Pilloni L, Cois A, Uccheddu A, Ambu R, Coni P, Faa G. Complete pancreatic heterotopia of gallbladder with hypertrophic duct simulating an adenomyoma. World J Gastroenterol. 2006;12(11):1786-1787. doi:10.3748/wjg.v12.i11.1786

3. Basrur GB, Utture SK, Deshpande AA. Heterotopic Pancreas in the Gallbladder. Indian J Surg. 2016;78(5):429-430. doi:10.1007/s12262-016-1561-3

4. Elhence P, Bansal R, Agrawal N. Heterotopic pancreas in gall bladder associated with chronic cholecystolithiasis. Int J Appl Basic Med Res. 2012;2(2):142. doi:10.4103/2229- 516x.106360

5. Rezvani M, Menias C, Sandrasegaran K, Olpin JD, Elsayes KM, Shaaban AM. Heterotopic pancreas: Histopathologic features, imaging findings, and complications. Radiographics. 2017;37(2):484-499. doi:10.1148/rg.2017160091

6. Jiang K, Stephen FO, Jeong D, Pimiento JM. Pancreatic and gastric heterotopia with associated submucosal lipoma presenting as a 7-cm obstructive tumor of the ileum: Resection with double balloon enteroscopy. Case Rep Gastroenterol. 2015;9(2):233-240. doi:10.1159/000437047

7. Ferhatoglu MF, Kivilcim T, Kartal A, Filiz AI. A Rare Pathology Mimicking the Gallstone: Heterotopic Pancreas in the Gallbladder. Cureus. 2018;10(5):e2659. doi:10.7759/cureus.2659

8. Koukourakis IM, Perente Memet MS, Kouroupi M, Simopoulos K. Ectopic Pancreatic Tissue Adherent to the External Gallbladder Wall. Case Rep Gastroenterol. 2018;12(1):170-175. doi:10.1159/000488445

9. Sharma SP, Sohail SK, Makkawi S, Abdalla E. Heterotopic pancreatic tissue in the  gallbladder. Saudi Med J. 2018;39(8):834-837. doi:10.15537/smj.2018.8.22602

10. Arora A, Singh P, Anand N, Husain N. Heterotopic pancreatic tissue associated with type 1 choledochal cyst, cystolithiasis and gall bladder stones: a rare entity with review of literature. BMJ Case Rep. 2017;2017:bcr-2016-218329. doi:10.1136/bcr-2016-218329

11. Inceoglu R, Dosluoglu HH, Kullu S, Ahiskali R, Doslu FA. An unusual cause of hydropic gallbladder and biliary colic - Heterotopic pancreatic tissue in the cystic duct: Report of a case and review of the literature. Surg Today. 1993;23(6):532-534. doi:10.1007/BF00730630

12. Elpek GÖ, Bozova S, Küpesiz GY, Ö?ü? M. An unusual cause of cholecystitis: Heterotopic pancreatic tissue in the gallbladder. World J Gastroenterol. 2007;13(2):313-315. doi:10.3748/wjg.v13.i2.313.

Figure 1

Figure 2

Figure 3

Figure 4

antarmuka fokus mahjong daya pengguna aktifaws grid serasi mahjong dasar tahapan terjagaaws jejak mekanisme mahjong arah fase lanjutanaws kajian wild berantai mahjong interaktif analitisaws kesesuaian persentase layanan mahjong seluler lanceraws pendalaman persentase mahjong gerak wild mutakhircorak langka mahjong tumbuh perlahan berubahgerak mahjong adaptasi mekanisme pemakai sekarangnalar scatter mahjong malam putaran ekstratempo mahjong kaitan mekanisme keadaan terkinialur permainan mahjong cepat scatter wilddalam hitungan detik scatter wild mahjongmenyatukan naluri pola scatter hitam mahjongmomen mahjong permainan berbalik arahmomen singkat mahjong dinamika permainanperpaduan insting pola scatter hitam momentperubahan drastis mahjong ways scatter wildscatter wild mahjong datang polasekejap berubah scatter wild mahjong wayssensasi baru mahjong lebih scatter wildenergi scatter emas irama reel mahjongevolusi reel mahjong balutan mistisintervensi cepat emas momentum lamakemunculan mendadak naga emas mahjongketika scatter naga emas aktif mahjongnaga emas muncul arah spin mahjongnaga emas ritme mahjong ways berubahrahasia rtp tinggi balik scatter hitamsaat scatter naga emas alih irama reelscatter hitam kunci lonjakan rtp mahjonge5 scatter wild memberikan sentuhan baru di setiap spin mahjong ways 2e5 scatter wild menghidupkan suasana permainan mahjong ways 2e5 scatter wild mengubah pola permainan mahjong ways 2 secara signifikane5 setiap putaran mahjong ways 2 terasa berbeda dengan scatter wilde5 strategi adaptif berbasis analisis rtp hariane5 strategi berbasis data dan algoritma untuk analisis momentume5 strategi berkembang berkat data rtp hariane5 strategi memahami algoritma untuk mengidentifikasi momentum ideale5 strategi membaca pola algoritma demi menangkap momentum optimale5 strategi modern mengandalkan evaluasi rtp hariane5 strategi responsif dengan dukungan evaluasi rtp hariane5 strategi terukur dengan analisis rtp hariane5 struktur scatter dan wild terlihat jelas berkat analisis sistem moderne5 tanpa disadari kombinasi ini sering mengarah ke scatter di mahjong wins 3e5 teknik evaluasi algoritma untuk mendapatkan momentum yang tepate5 teknik observasi sistem untuk analisis momentum yang lebih presisie5 terungkap formasi ini sering jadi awal munculnya scatter di mahjong wins 3e5 transformasi digital rtp live berkat artificial intelligence inovatife5 transformasi ritme mahjong ways 2 dipicu oleh kekuatan scatter wilde5 wajib tahu pola tersembunyi ini sering menghasilkan scattere5 applee5 bananae5 candye5 doge5 eaglee5 falcone5 geminie5 horsee5 indiae5 japananalisa pola mahjong ways rutinanalisis kinerja heuristik variansi gameanalisis pola mahjong ways hariananalisis pola mahjong ways kebiasaanera baru mahjong wins bonus optimalgebrakan bonus mahjong wins mekanisme efisieninsight pola mahjong ways rutinkajian pola mahjong ways rutinkomparasi heuristik variansi game digitalledakan bonus mahjong wins sistem efektifmahjong wins bonus sistem generasi baruobservasi pola mahjong ways harianpendekatan algoritma heuristik variansi gameperbandingan model heuristik variansi gamerahasia bonus mahjong wins sistem cerdasrangkuman pola mahjong ways harianringkasan pola mahjong ways harianstudi pola mahjong ways hariantinjauan heuristik variansi game digitaltinjauan pola mahjong ways harianalur sombol mahjong kemunculan scatterdari rtp mahjong bermain lebih efektifjejak scatter mahjong putaran tenangkejutan scatter wild simbol mahjong arahkemunculan simbol ganda membuat mahjongketika grid mahjong scatter semakin dekatketika rtp mahjong pola mulai lebih jelasketika scatter wild ritme simbol mahjongketika scatter wild titik sesi mahjong waysketika susunan simbol mahjong ritme scattermemahami rtp mahjong cara bermain lebihpergerakan simbol mahjong scatter wildpergeseran mahjong ketika scatter hadirsaat rtp mahjong terbaca baik strategisaat scatter hadir simbol mahjong bergeserscatter wild dinamika simbol mahjongstabilitas putaran mahjong pola scattersusunan baru reel mahjong scatter emassusunan mahjong wins mengandung scattersusunan simbol mahjong diam pola scatterrm menguak keunikan mahjong wins sudut pandang teknisrm cara memahami pergerakan mahjong ways tenaga ekstrarm mahjong wins standar baru industri hiburan digitalrm rahasia ketahanan mahjong ways eksis gempuran gamerm pentingnya memahami transisi level mahjong wins mendalamrm strategi mengatur tempo mahjong ways kendali permainanrm peran kecerdasan buatan mekanisme mahjong wins adilrm alasan keberhasilan mahjong ways mencuri perhatian analisrm mempelajari struktur dasar mahjong wins efisiensi putaranrm inovasi desain mahjong ways kesan bermain responsifrm teknik observasi mahjong wins jarang dibahas dampakrm cara mempertahankan fokus dinamika mahjong ways cepatrm eksplorasi fitur tersembunyi mahjong wins ritme terbaikrm mahjong ways integrasi teknologi modern keamanan nyamanrm analisis faktor pendukung mahjong wins digemari generasirm langkah efektif menyesuaikan perubahan sistem mahjong waysrm mengintip proses pengembangan mahjong wins kualitas penggunarm analisis data membantu membaca arah mahjong waysrm menemukan titik temu insting logika mahjong winsrm transformasi besar mahjong ways menghadirkan tantangan menarikmengungkap simbol langka nasib drastismisteri besar kombinasi simbol langkamisteri simbol langka keberuntungan besarsimbol langka misterius ubah hiduprahasia simbol langka nasib cepattransformasi bonus mahjong wins sistem efektifmahjong wins suguhkan bonus sistem modernsuguhan bonus efisien mahjong winsefektivitas sistem bonus mahjong winsmahjong wins hadirkan bonus sistem optimaloke76cincinbetaqua365slot gacorstc76samurai76TOBA1131samurai76 login