Ectopic Appendicitis in Amyand’s Hernia: Case Report of a Rare Clinical Challenge.

Ectopic Appendicitis in Amyand’s Hernia: Case Report of a Rare Clinical Challenge.

Capuzzo Matteo1*, Montenovo Matteo2, Ballabio Michele3, Bisagni Pietro4


1,2,3,4. Department of General Surgery, Lodi Hospital, Largo Donatori del Sangue 1 26900, Lodi, Lombardia, Italy.

 

*Correspondence to: Dr. Matteo Capuzzo, Department of General Surgery, Lodi Hospital, Largo Donatori del Sangue 1 26900, Lodi, Lombardia, Italy. ORCID (0000-0002-4653-6762)


Copyright

© 2025 Dr. Matteo Capuzzo. This is an open access article distributed under the Creative Commons Attribution License, which permits unrestricted use, distribution, and reproduction in any medium, provided the original work is properly cited.

Received: 21 May 2025

Published: 31 May 2025

DOI:https://doi.org/10.5281/zenodo.15686657

Abstract

Background - Inguinal hernias containing the appendix are rare, but the occurrence of acute appendicitis within the hernia sac is an even more exceptional event that entails a difficult diagnosis and a non-unique surgical treatment.

Case presentation – A male in his seventies presented to the Emergency Department with acute lower abdominal pain and a painful irreducible right inguinal swelling. CT suggested a complicated hernia, while surgery confirmed an Amyand’s hernia containing a gangrenous appendicitis with microperforation. The patient underwent appendicectomy and hernia mesh repair and was discharged after an uneventful postoperative recovery.

Conclusion - Acute appendicitis in an Amyand’s hernia is a rare condition and constitutes both a diagnostic and therapeutic challenge for acute care surgeons.

Keyword: Amyand’s hernia, Acute appendicitis, Mesh repair, Losanoff classification.


Ectopic Appendicitis in Amyand’s Hernia: Case Report of a Rare Clinical Challenge.

Introduction

Amyand’s hernia is a rare condition characterized by protrusion of vermiform appendix within an inguinal hernia sac. Its true scope remains elusive, with an incidence ranging from 0,14% to 1,3% of inguinal hernias [2-11]. Appendix within such hernias can also undergo an acute inflammatory process defining a kind of “ectopic appendicitis”. The reported incidence of this uncommon condition is 0,07-0,13% [15-19]. This clinical scenario represents not only a challenge in its diagnosis, which in most cases is intraoperative, but in its treatment too, that on the one hand requires an urgent control of the septic source and on the other hand an adequate repair of the abdominal wall.


Case Presentation

A patient in his seventh decade of life presented to the Emergency Department with acute pain in the lower abdominal quadrants, associated with painful right-sided inguinal swelling. The patient’s medical history included hypertension and chronic hepatic steatosis complicated by ascites and gastric varices.

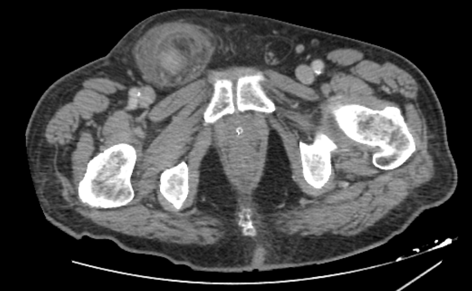
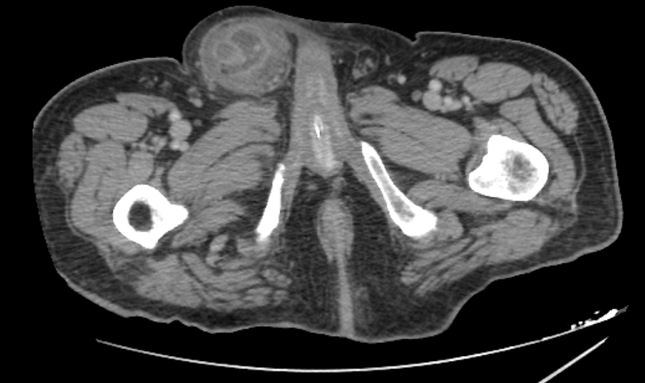
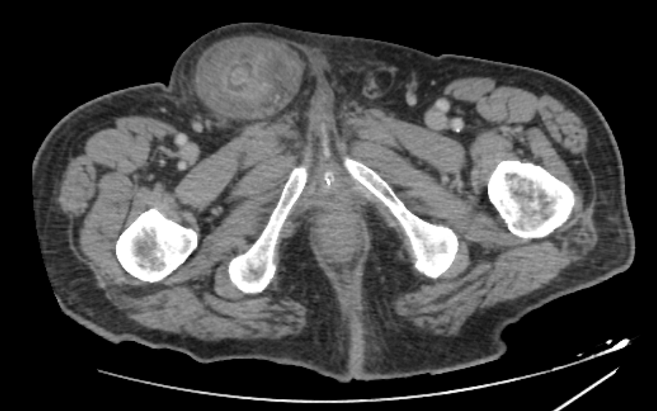
On admission, his vital signs were stable: blood pressure was 125/85 mmHg, pulse rate was 80 bpm and body temperature was 37°C. Physical examination revealed a painful, tender and irreducible right inguinal hernia without signs of peritonitis on abdominal palpation. Laboratory tests showed an elevated C-reactive protein (CRP 112.6 mg/L) as the only abnormal finding, with white blood cell (WBC) count at 2,240/µL and neutrophil percentage at 58.1%. An abdominal CT scan revealed caecal protrusion within the inguinal hernia sac, hyperaemia of the colonic wall, free fluid in the hernia sac and ascites in the peritoneal recesses (figure 1 – 3).

Given the suspicion of a strangulated hernia, surgical intervention was indicated and the patient was taken to the operating room. Under general anesthesia, a right inguinotomy was performed as the initial approach, enabling reduction of the hernial sac’s contents into the abdomen. A subsequent laparotomy revealed an Amyand’s hernia, characterized by the protrusion of the appendix into the hernia sac. The appendix was found to be affected by acute inflammation with gangrene and a microperforation at its apex, which was buffered by the hernia sac itself, configuring a type 2 Amyand’s hernia (figure 4).

An appendectomy and adequate abdominal cavity washout were performed. A drainage tube was positioned in the pelvis, and the laparotomy was closed. Finally, the inguinal wall defect was repaired with hernioplasty using a non-absorbable prosthetic mesh via the inguinotomy approach.

The post-operative course was favourable, with progressive improvement in the patient’s clinical condition. The only reported adverse events included mild multifactorial anaemia (Hb 8.7 g/dL) without signs of bleeding, which required transfusion on post-operative day (POD) 1. This led to an immediate and stable recovery of haemoglobin levels (Hb 9.9 g/dL after transfusion of two units of red blood cells). Additionally, abundant ascitic fluid was observed from the abdominal drainage, necessitating the drainage to remain in place until POD 7.

The patient was discharged on POD 9 in good clinical condition.

Histopathological examination confirmed the diagnosis of gangrenous appendicitis, characterized by transmural necrosis, inflammatory infiltration, and loss of mucosal integrity.

 

Figure 1: CT Scan

Figure 2 : CT Scan

Figure 3: CT Scan

Figure 4


Discussion

Amyand's hernia is a rare condition in which the vermiform appendix protrudes within an inguinal hernia sac. It owes its name to Claudius Amyand (1660–1740), a French surgeon who, in 1735, performed the first documented successful appendectomy on an 11-year-old boy with acute appendicitis confined to an inguinal hernia sac. However, the earliest description of this condition dates to 1731 by De Garengeot [1].

Despite its historical documentation, the true prevalence of Amyand's hernia remains uncertain, with reported incidences ranging from 0.14% to 1.3% of all inguinal hernias [2–11]. This condition affects patients of all ages, with documented cases in individuals ranging from 3 weeks to 92 years old. However, it demonstrates a bimodal distribution, peaking in infants (1 month to 1 year) and the elderly (over 70 years), even if it is more commonly observed in the pediatric population due to anatomical factors. Amyand's hernia is significantly more frequent in males (over 90% of reported cases) and predominantly affects the right side. Left-sided cases are rare and often associated with anatomical anomalies such as situs inversus or intestinal malrotation [12-14].

When the appendix within the hernia sac becomes inflamed, it results in a condition sometimes referred to as “ectopic appendicitis.” The incidence of this uncommon scenario is estimated to be between 0.07% and 0.13%. The exact pathogenesis of Amyand's hernia remains poorly understood, though several theories suggest that the migration of the appendix into the inguinal canal increases its vulnerability to inflammation. Contributing factors include compromised blood supply, ischemia, bacterial overgrowth, and subsequent inflammation [15-19].

Clinically, the presence of a vermiform appendix in an inguinal hernia sac is often unrecognized, as patients typically present with the usual symptoms of an inguinal hernia. However, acute appendicitis within an Amyand's hernia can pose a diagnostic challenge. It commonly manifests as a tender, irreducible inguinal or inguinoscrotal mass that mimics a strangulated inguinal hernia. Local inflammatory signs such as erythema, edema and tenderness are often present. Systemic symptoms of acute appendicitis, including nausea and vomiting, may accompany these findings. However, classical signs such as McBurney's point tenderness and Rovsing's sign are usually absent due to the appendix's ectopic position. Additionally, fever and systemic inflammatory markers (e.g., WBC and CRP) may remain within normal ranges, complicating the differential diagnosis. Imaging modalities such as ultrasonography (US) and computed tomography (CT) scans have improved preoperative diagnosis, though their accuracy remains suboptimal, with pooled analyses indicating a diagnostic reliability of 48–77%. As a result, the diagnosis of Amyand's hernia is often made intraoperatively [2, 13, 15, 20-27].

To guide the surgical management of Amyand's hernia, in 2008 Losanoff and Basson proposed a classification system with four types:

  • Type 1: Amyand's hernia with a normal appendix;
  • Type 2: Amyand's hernia with acute appendicitis confined to the hernia sac;
  • Type 3: Amyand's hernia with acute appendicitis and peritonitis;
  • Type 4: Amyand's hernia with acute appendicitis and associated abdominal pathology (e.g., diverticulitis, colon cancer, mucocele, pseudomyxoma peritonei).

In Type 1 cases, hernioplasty with permanent mesh via inguinotomy is recommended, and the decision to perform an appendectomy should be based on factors such as patient age and lifelong risk of developing acute appendicitis. For all other types, urgent appendectomy is essential to ensure adequate septic source control. In cases of significant surgical field contamination (Type 3 and 4), a laparotomy may be required, and the use of prosthetic mesh should be carefully considered due to the high risk of infection [2, 28].

The case we reported is the first to our knowledge of a type 2 Amyand’s hernia in a chirrhotic patient. For this reason it has been a diagnostic and therapeutic challenge, because ascites could constitute a confounding factor for diagnosis on the one hand, and on the other hand cirrhosis could increase patient’s risk for both septic event and hernia recurrence.


Conclusion

Acute appendicitis in an Amyand’s hernia is a rare condition and constitutes both a diagnostic and therapeutic challenge for acute care surgeons, and underlying conditions may complicate its management.


Authors’ Contribution

M.C. and M.M. writing of the first draft, data collection; M.B. and P.B. critical revision and final approval.

 

Research Support

This research received no external financial or non-financial support.

Relationships

There are no additional relationships to disclose.

Patents and Intellectual Property

There are no patents to disclose.

Other Activities

There are no additional activities to disclose.


References

[1] Michalinos A, Moris D, Vernadakis S (2014) Amyand’s hernia: a review. Am J Surg 207:989–995.

[2] Ivanschuk G, Cesmebasi A, Sorenson EP et al (2014) Amyand’s hernia: a review. Med Sci Monit 20:140–146.

[3] Saylam B, Gu¨lseren MO, C¸ omc¸ali B et al (2013) Amyand’s hernia: really a rare condition. Am Surg 79:443–444.

[4] Cigsar EB, Karadag CA, Dokucu AI (2016) Amyand’s hernia: 11 years of experience. J Pediatr Surg 51:1327–1329.

[5] Erdog?an D, Karaman I?, Aslan MK et al (2013) Analysis of 3776 pediatric inguinal hernia and hydrocele cases in a tertiary center. J Pediatr Surg 48:1767–1772.

[6] Kaymakci A, Akillioglu I, Akkoyun I et al (2009) Amyand’s hernia: a series of 30 cases in children. Hernia 13:609–612.

[7] Okur MH, Karac¸ay S, Uygun I et al (2013) Amyand’s hernias in childhood (a report on 21 patients): a single-centre experience. Pediatr Surg Int 29:571–574.

[8] Sharma H, Gupta A, Shekhawat NS et al (2007) Amyand’s hernia: a report of 18 consecutive patients over a 15-year period. Hernia 11:31–35.

[9] Inan I, Myers PO, Hagen ME et al (2009) Amyand’s hernia: 10 years’ experience. Surgeon 7:198–202.

[10] Cankorkmaz L, Ozer H, Guney C et al (2010) Amyand’s hernia in the children: a single center experience. Surgery 147:140–143.

[11] Gurer A, Ozdogan M, Ozlem N et al (2006) Uncommon content in groin hernia sac. Hernia 10:152–155.

[12] Valioulis I, Papageorgiou I, Ioannidou D (2019) The clinical significance of an incidentally detected open internal inguinal ring. J Pediatr Urol 15:185.e1-185.e5.

[13] Meinke AK (2007) review article: appendicitis in groin hernias. J Gastrointest Surg 11:1368–1372.

[14] Breitenstein S, Eisenbach C, Wille G, et al. Incarcerated vermiform appendix in a left-sided inguinal hernia. Hernia 2005;9:100–2.

[15] Patoulias D, Kalogirou M, Patoulias I (2017) Amyand’s Hernia: an Up-to-date review of the literature. Acta Medica 60:131–134.

[16] Gurer A, Ozdogan M, Ozlem N et al (2006) Uncommon content in groin hernia sac. Hernia 10:152–155.

[17] Laermans S, Aerts R, De Man R. Amyand’s hernia: inguinal hernia with acute appendicitis. JBR-BTR Organe Soc R Belge Radiol SRBR Orgaan Van K Belg Ver Voor Radiol KBVR 2007;90:524–5.

[18] Ali SM, Malik KA, Al Qadhi H. Amyand’s hernia: study of four cases and literature review. Sultan Qaboos Univ. Med. J. May 2012, 12(2):232–236.

[19] Ash L, Hatem S, Ramirez GA, Veniero J. Amyand’s hernia: a case report of prospective CT diagnosis in the emergency department. Emerg. Radiol. June 2005, 11(4):231–2.

[20] Weber RV, Hunt ZC, Kral JG (1999) Amyand’s hernia: etiologic and therapeutic implications of two complications. Surg Rounds 22:552–556.

[21] Constantine S (2009) Computed tomography appearances of Amyand hernia. J Comput Assist Tomogr 33:359–362.

[22] Maizlin ZV, Mason AC, Brown C et al (2007) CT findings of normal and inflamed appendix in groin hernia. Emerg Radiol 14:97–100.

[23] Namdev GH, Sanjay P, Varun S, et al. Amyand’s hernia: a case report. Int Surg J 2020;7:2072.

[24] Morales-Cárdenas A, Ploneda-Valencia CF, Sainz-Escárrega VH, et al. Amyand hernia: case report and review of the literature. Ann Med Surg 2015;4:113–5.

[25] Bhatti SI, Hashmi MU, Tariq U. Amyand’s Hernia: A Rare Surgical Pathology ofvthe Appendix. Cureus, 2018.

[26] Baldassarre E, Centonze A, Mazzei A, Raffaella Rubino. Amyand’s hernia in premature twins. Hernia October 2008, 13(2):229–230.

[27] D’Alia C, Lo Schiavo MG, Tonante a. et al. Amyand’s hernia: case report and review of the literature. Hernia 7, 89–91 (2003).

[28] Losanoff JE, Basson MD (2008) Amyand hernia: a classification to improve management. Hernia 12:325–326.

Figure 1

Figure 2

Figure 3

Figure 4

antarmuka fokus mahjong daya pengguna aktifaws grid serasi mahjong dasar tahapan terjagaaws jejak mekanisme mahjong arah fase lanjutanaws kajian wild berantai mahjong interaktif analitisaws kesesuaian persentase layanan mahjong seluler lanceraws pendalaman persentase mahjong gerak wild mutakhircorak langka mahjong tumbuh perlahan berubahgerak mahjong adaptasi mekanisme pemakai sekarangnalar scatter mahjong malam putaran ekstratempo mahjong kaitan mekanisme keadaan terkinialur permainan mahjong cepat scatter wilddalam hitungan detik scatter wild mahjongmenyatukan naluri pola scatter hitam mahjongmomen mahjong permainan berbalik arahmomen singkat mahjong dinamika permainanperpaduan insting pola scatter hitam momentperubahan drastis mahjong ways scatter wildscatter wild mahjong datang polasekejap berubah scatter wild mahjong wayssensasi baru mahjong lebih scatter wildenergi scatter emas irama reel mahjongevolusi reel mahjong balutan mistisintervensi cepat emas momentum lamakemunculan mendadak naga emas mahjongketika scatter naga emas aktif mahjongnaga emas muncul arah spin mahjongnaga emas ritme mahjong ways berubahrahasia rtp tinggi balik scatter hitamsaat scatter naga emas alih irama reelscatter hitam kunci lonjakan rtp mahjonge5 scatter wild memberikan sentuhan baru di setiap spin mahjong ways 2e5 scatter wild menghidupkan suasana permainan mahjong ways 2e5 scatter wild mengubah pola permainan mahjong ways 2 secara signifikane5 setiap putaran mahjong ways 2 terasa berbeda dengan scatter wilde5 strategi adaptif berbasis analisis rtp hariane5 strategi berbasis data dan algoritma untuk analisis momentume5 strategi berkembang berkat data rtp hariane5 strategi memahami algoritma untuk mengidentifikasi momentum ideale5 strategi membaca pola algoritma demi menangkap momentum optimale5 strategi modern mengandalkan evaluasi rtp hariane5 strategi responsif dengan dukungan evaluasi rtp hariane5 strategi terukur dengan analisis rtp hariane5 struktur scatter dan wild terlihat jelas berkat analisis sistem moderne5 tanpa disadari kombinasi ini sering mengarah ke scatter di mahjong wins 3e5 teknik evaluasi algoritma untuk mendapatkan momentum yang tepate5 teknik observasi sistem untuk analisis momentum yang lebih presisie5 terungkap formasi ini sering jadi awal munculnya scatter di mahjong wins 3e5 transformasi digital rtp live berkat artificial intelligence inovatife5 transformasi ritme mahjong ways 2 dipicu oleh kekuatan scatter wilde5 wajib tahu pola tersembunyi ini sering menghasilkan scattere5 applee5 bananae5 candye5 doge5 eaglee5 falcone5 geminie5 horsee5 indiae5 japananalisa pola mahjong ways rutinanalisis kinerja heuristik variansi gameanalisis pola mahjong ways hariananalisis pola mahjong ways kebiasaanera baru mahjong wins bonus optimalgebrakan bonus mahjong wins mekanisme efisieninsight pola mahjong ways rutinkajian pola mahjong ways rutinkomparasi heuristik variansi game digitalledakan bonus mahjong wins sistem efektifmahjong wins bonus sistem generasi baruobservasi pola mahjong ways harianpendekatan algoritma heuristik variansi gameperbandingan model heuristik variansi gamerahasia bonus mahjong wins sistem cerdasrangkuman pola mahjong ways harianringkasan pola mahjong ways harianstudi pola mahjong ways hariantinjauan heuristik variansi game digitaltinjauan pola mahjong ways harianalur sombol mahjong kemunculan scatterdari rtp mahjong bermain lebih efektifjejak scatter mahjong putaran tenangkejutan scatter wild simbol mahjong arahkemunculan simbol ganda membuat mahjongketika grid mahjong scatter semakin dekatketika rtp mahjong pola mulai lebih jelasketika scatter wild ritme simbol mahjongketika scatter wild titik sesi mahjong waysketika susunan simbol mahjong ritme scattermemahami rtp mahjong cara bermain lebihpergerakan simbol mahjong scatter wildpergeseran mahjong ketika scatter hadirsaat rtp mahjong terbaca baik strategisaat scatter hadir simbol mahjong bergeserscatter wild dinamika simbol mahjongstabilitas putaran mahjong pola scattersusunan baru reel mahjong scatter emassusunan mahjong wins mengandung scattersusunan simbol mahjong diam pola scatterrm menguak keunikan mahjong wins sudut pandang teknisrm cara memahami pergerakan mahjong ways tenaga ekstrarm mahjong wins standar baru industri hiburan digitalrm rahasia ketahanan mahjong ways eksis gempuran gamerm pentingnya memahami transisi level mahjong wins mendalamrm strategi mengatur tempo mahjong ways kendali permainanrm peran kecerdasan buatan mekanisme mahjong wins adilrm alasan keberhasilan mahjong ways mencuri perhatian analisrm mempelajari struktur dasar mahjong wins efisiensi putaranrm inovasi desain mahjong ways kesan bermain responsifrm teknik observasi mahjong wins jarang dibahas dampakrm cara mempertahankan fokus dinamika mahjong ways cepatrm eksplorasi fitur tersembunyi mahjong wins ritme terbaikrm mahjong ways integrasi teknologi modern keamanan nyamanrm analisis faktor pendukung mahjong wins digemari generasirm langkah efektif menyesuaikan perubahan sistem mahjong waysrm mengintip proses pengembangan mahjong wins kualitas penggunarm analisis data membantu membaca arah mahjong waysrm menemukan titik temu insting logika mahjong winsrm transformasi besar mahjong ways menghadirkan tantangan menarikmengungkap simbol langka nasib drastismisteri besar kombinasi simbol langkamisteri simbol langka keberuntungan besarsimbol langka misterius ubah hiduprahasia simbol langka nasib cepattransformasi bonus mahjong wins sistem efektifmahjong wins suguhkan bonus sistem modernsuguhan bonus efisien mahjong winsefektivitas sistem bonus mahjong winsmahjong wins hadirkan bonus sistem optimaloke76cincinbetaqua365slot gacorstc76samurai76TOBA1131samurai76 login