Endometriosis of the Sigmoid Colon Presenting as Colitis or Malignancy with Bowel Obstruction: Two Surgical Case Reports.

Endometriosis of the Sigmoid Colon Presenting as Colitis or Malignancy with Bowel Obstruction: Two Surgical Case Reports.

Valeriia Skurtol 1*, Giovanni D. Giannotti 2, Timothy J. Heilizer 3, Omid Rouhi 4, Zaria Giannotti Frye5


1. Valeriia Skurtol, MD, Resident of Family Medicine Program, Prime Health St. Mary, Chicago, IL

2. Giovanni D. Giannotti, MD, FACS, FSSO, General Surgeon and Fellowship-Trained Surgical Oncologist, St. Mary Hospital, Chicago, IL

3. Timothy J. Heilizer, MD, Colon & Rectal Surgeon, Chicago, IL

4. Omid Rouhi, MD, PhD, Medical Director of Pathology, Prime Health St. Mary, Chicago, IL

5. Zaria Giannotti Frye, Medical Student at The University of Illinois Urbana-Champaign.

 

*Correspondence to: Valeriia Skurtol, MD, Resident of Family Medicine Program, Prime Health St. Mary, Chicago, IL.


Copyright

© 2025 Valeriia Skurtol. This is an open access article distributed under the Creative Commons Attribution License, which permits unrestricted use, distribution, and reproduction in any medium, provided the original work is properly cited

Received: 20 May 2025

Published: 02 June 2025

DOI:https://doi.org/10.5281/zenodo.15686651


Endometriosis of the Sigmoid Colon Presenting as Colitis or Malignancy with Bowel Obstruction: Two Surgical Case Reports.

Background

Endometriosis is a chronic gynecological condition characterized by the presence of endometrial-like tissue outside the uterus, often causing pain, infertility, and gastrointestinal symptoms like constipation. While intestinal involvement is less common, it can, in rare cases, lead to bowel obstruction. The prevalence of intestinal endometriosis ranges from 3% to 37% of all cases, with bowel obstruction due to endometriosis being particularly rare, occurring in 0.1% to 0.7% of cases. The most common sites of intestinal involvement include the ileum 38.3%, rectosigmoid 34.5%, ileocecal junction and appendix 14.9%, and rectum 10.2%. (1)

We present two cases whose endometriosis involved the sigmoid colon, mimicking as a colitis or malignancy with primary bowel obstruction, required surgival interventions and histopathology confirmation to the origin of tissue.


Case Presentation

Case 1

A 44-year-old woman presented to the emergency department with diffuse abdominal pain for four days, accompanied by vomiting. She had a limited gynecological history but a significant history of chronic constipation, previously managed with Miralax.

An initial CT scan showed an irregular soft tissue mass with luminal narrowing in the sigmoid colon, causing, raising concern for colonic obstruction, possibly due to malignancy.

An initial colonoscopy demonstrated a non-traversable extrinsic stenosis at the sigmoid colon. A laparoscopic procedure was performed, including lysis of extensive adhesions and creation of a loop transverse colostomy. A follow-up colonoscopy via the ostomy confirmed severe extrinsic stenosis (4 mm internal diameter), and abnormal mucosa was noted.

Definitive surgery included laparoscopic sigmoid and rectal resection with mobilization of the splenic flexure. Final pathology revealed endometriosis involving the rectosigmoid colon with no malignancy. The mass measured 4.2 × 1.6 × 1.5 cm, involving the submucosa and muscularis propria. The patient was discharged after recovery with complete resolution of symptoms.A second case:

Case 2

A 35-year-old woman presented to the emergency department presented with acute abdominal pain for 2 days and bright red blood per rectum to ED. Has history of dysmenorrhea and chronic constipation managed with OTC medication and alpha thalassemia. She previously used a NuvaRing and recently had a Paragard IUD placed.

CT imaging showed sigmoid colon wall thickening, a 2.0 × 1.6 × 1.0 cm intramural abscess, and free adnexal fluid, raising suspicion for colitis or inflammatory bowel disease with possible gynecologic etiology.

A robotic-assisted sigmoid colectomy, appendectomy, and lysis of adhesions were performed using the da Vinci® system. Intraoperatively, extensive adhesions and black speck-like endometrial implants were visualized throughout the pelvis. The sigmoid colon was indurated and adherent to the uterus and adnexa. The appendix also appeared indurated and was removed.

Histopathology confirmed endometriosis in both the sigmoid colon and appendix. The patient recovered well postoperatively and was discharged on postoperative day five, with complete resolution of her symptoms. She was referred for further gynecologic management of endometriosis.


Conclusions

Endometriosis involving the large bowel is exceedingly rare, and diagnosing bowel obstruction due to endometriosis preoperatively is challenging. Although, bowel obstruction due to endometriosis should be considered in reproductive-aged women presenting with gastrointestinal symptoms, especially in those with a history of dysmenorrhea or cyclic worsening of constipation.


Background

Endometrial tissue typically occurs in the peritoneum, ovaries, fallopian tubes, and other pelvic organs. Large bowel occlusion due to endometriosis is rare, with a prevalence of 0.1% to 0.7%. In this report, we describe a case where endometrial tissue infiltrated the sigmoid colon and appendix, presenting as bowel colitis with sympoms and radiographic findings of obstruction.

Case Report

A 35-year-old woman with a history of dysmenorrhea and chronic constipation presented with acute abdominal pain to ED . Her symptoms on presentation diffuse abdominal pain, nausea, vomiting, diarrhea, chills, and bright red blood per rectum. She had a history of alpha thalassemia, dysmenorrhea fo that she was initially on NuvaRing since 2018, later switching to ParagardIUD placed 2024. Patient was complaining for consitpaiton with mild relief from magnesium citrate and prune juice and other OTC medications.  A CT scan of abodmen with conatrast revealed sigmoid colonic wall thickening with small intramural abscess measuring up to 2.0 x 1.6 x1.0 cm., concerning for colitis of infectious or inflammatory origin and  adnexal free fluid, raising the possibility of gynecological pathology. CBC remarkable for mildly low white count of 13.4, CMP was normal.

A robotic sigmoid colon resection, appendectomy, and lysis of adhesions were performed using the da Vinci® system. Extensive adhesions were noted throughout the abdominal wall. During surgery, endometriosis was identified macroscopically, by OB-GYN, descirbe as black specks. There was evidence of endometriosis throughout the pelvis. The sigmoid colon found to be indurated and adherent to the uterus and adnexa, afther adheiolysis the colon resected  and sent to pathology. Appendix apearred also indurated.

Histopathological examination revealed endometrial tissue in both the appendix and sigmoid colon. The patient was discharged five days postoperatively without complications, and her bowel symptoms resolved. Follow-up was recommended for ongoing management of endometriosis.

Fig. 1 Abdominal computed tomography showed irregularly enhanced wall thickening with suspected intrmural abcess measuring up to 2.0 cm of the sigmoid colon (white-black arrow). tranverse view

 

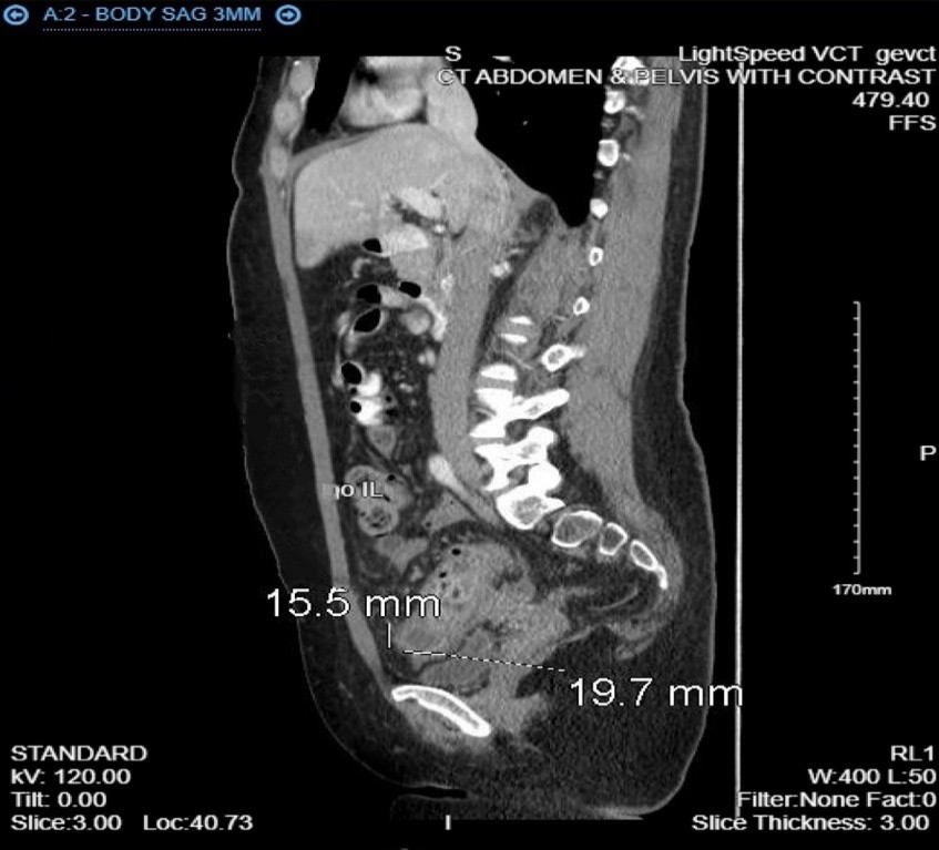
Fig. 2 Abdominal computed tomography showed irregularly enhanced wall thickening of mass in the sigmoid colon (white-black arrow). Sagital view

 

Fig. 3 Resected specimen of sigmoid colon with black peaks (black arrow)

 

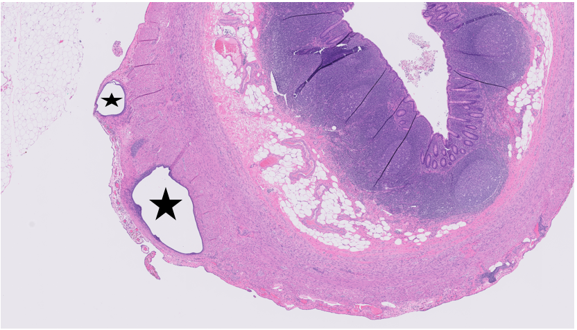
Fig. 4 Histopathological examination showed endometrial glands in the middle of muscle layer of sigmoid colon (×100) (Stars pointed)

 

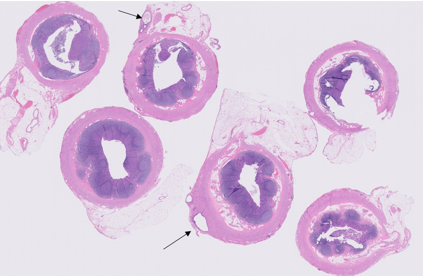
Fig. 5 Histopathological examination showed endometrial gland in the middle of muscle layer of sigmoid colon in diffrent slides (×100) (arroows pointed)


Discussion

Endometriosis is a chronic condition defined by the presence of functional endometrial tissue consisting of glands and stroma outside the uterus. It affects 4 to 17% of women of reproductive age (7), or roughly 10% (190 million) of women and girls globally (8). Gastrointestinal involvement occurs in 3%-37% of cases (9). Common clinical presentations include pelvic pain, infertility, and dyspareunia, but it may also be nonspecific (5).

The term endometriosis was first introduced by John Sampson in 1927, who described the presence of endometrial glands and stroma within ovarian cysts, commonly referred to as “chocolate cysts” or ovarian endometriomas (11). His foundational work laid the basis for understanding the ectopic behavior of endometrial tissue and remains central to the modern conceptualization of the disease.

The most widely accepted pathophysiological explanation is Sampson’s theory of retrograde menstruation (1940), which proposes that endometrial tissue refluxes through the fallopian tubes during menstruation, subsequently implanting on pelvic organs. (4).

In our last case, patient had a longstanding history of dysmenorrhea and constipation that worsened with her menstrual cycle. She had never been pregnant and had used hormonal contraception for extended periods to manage her symptoms. The cyclical nature of her gastrointestinal complaints—particularly the recurrence of pain with menstruation—served as a key diagnostic clue. However, involvement with large bowel occlusion is remains rare, with a prevalence of 0.1-0.7% (1, 9). In rare instances, transmural endometriosis can lead to intestinal perforation (10), involving sites such as the colon and appendix.

Preoperative diagnosis is challenging due to overlapping clinical presentations with other GI conditions, including inflammatory bowel disease, neoplasms, and colitis. Imaging workup may be inconclusive and may sometimes mimicking infectious or inflammatory colitis. Gastrointestinal endometriosis is usually found as an incidental finding during abdominal exploration. Diagnostic laparoscopy is considered the gold standard for diagnosing endometriosis, with or without histologic verification (2).

In our case, robotic surgery allowed for the effective resection of concerning lesions and removal of the source of inflammation (6), with the tissue sent to histopathology for confirmation of the diagnosis. Intraoperatively, the OB-GYN was able to confirm the diagnosis by identified classic endometriotic implants—described as "black specks" in the pelvic area (Fig. 3). It is now also called pigmented endometrial plaques due to the accumulation of old blood, which typically appears as black or dark-colored spots. These are referred to as "powder-burn lesions," containing hemosiderin-laden tissue embedded with inactive endometriotic glands and fibrous stroma (3).

The diagnosis was confirmed with histopathology (Fig. 4-5), showing endometrial glands within the muscular layer of the sigmoid colon. Postoperatively, the patient made a full recovery, reporting no further abdominal symptoms. Ongoing postoperative management of endometriosis includes hormonal therapy with an IUD which was placed in 2023. The patient continues follow-up visits with her OB-GYN for further care and symptom control.


Conclusions

These cases underscore the rare but significant occurrence of endometriosis involving the sigmoid colon, presenting with symptoms and imaging findings that can closely mimic colitis or colorectal malignancy. Accurate diagnosis requires a high level of suspicion, especially in women with a history of dysmenorrhea or chronic gastrointestinal symptoms. A combination of clinical evaluation, imaging, and definitive histopathological confirmation is essential. While surgical resection may be necessary for diagnosis or when conservative management fails, long-term gynecologic follow-up is crucial to address underlying endometriosis and reduce the risk of recurrence.

 

References

1. Mu?at F, P?duraru DN, Bolocan A, Constantinescu A, Ion D, Andronic O. Endometriosis as an Uncommon Cause of Intestinal Obstruction-A Comprehensive Literature Review. J Clin Med. 2023 Oct 6;12(19):6376. doi: 10.3390/jcm12196376. PMID: 37835020; PMCID: PMC10573381. 

2. Agarwal, Sanjay K. et al. Clinical diagnosis of endometriosis: a call to action. American Journal of Obstetrics & Gynecology, Volume 220, Issue 4, 354.e1 - 354.e12

3. Freddy J. Cornillie, Didier Oosterlynck, Joseph M. Lauweryns, Philippe R. Koninckx, Deeply infiltrating pelvic endometriosis: histology and clinical significance, Fertility     and Sterility; Volume 53, Issue 6, 1990, Pages 978-983, ISSN 0015-0282

4. Quinn M. Endometriosis: the consequence of neurological dysfunction? Med Hypotheses. 2004;63(4):602-8. doi: 10.1016/j.mehy.2004.03.032. PMID: 15325003.

5. Lin YH, Kuo LJ, Chuang AY, Cheng TI, Hung CF. Extrapelvic endometriosis complicated with colonic obstruction. J Chin Med Assoc. 2006 Jan;69(1):47-50. doi: 10.1016/S1726-4901(09)70111-X. PMID: 16447927.

6. Lin YH, Kuo LJ, Chuang AY, Cheng TI, Hung CF. Extrapelvic endometriosis complicated with colonic obstruction. J Chin Med Assoc. 2006 Jan;69(1):47-50. doi: 10.1016/S1726-4901(09)70111-X. PMID: 16447927.

7. Bianchi A, Pulido L, Espín F, Hidalgo LA, Heredia A, Fantova MJ, Muns R, Suñol J. Endometriosis intestinal. Estado actual [Intestinal endometriosis. Current status]. Cir Esp. 2007 Apr;81(4):170-6. Spanish. doi: 10.1016/s0009-739x(07)71296-4. PMID: 17403352.

8. WHO. Endomentriosis. 24 March 2023

9. Revised American Society for Reproductive Medicine classification of endometriosis: 1996. Fertil Steril. 1997 May;67(5):817-21. doi: 10.1016/s0015-0282(97)81391-x. PMID: 9130884.

10. Floberg J, Bäckdahl M, Silferswärd C, Thomassen PA. Postpartum perforation of the colon due to endometriosis. Acta Obstet Gynecol Scand. 1984;63(2):183-4. doi: 10.3109/00016348409154658. PMID: 6730932.

11. Edited by Liselotte Mettler, Ibrahim Alkatout, Jörg Kecksteinc and Ivo Meinhold-Heerleind. Endometriosis: A concise practical guide to current diagnosis and treatment. 2018, Journal of the Turkish-German Gynecological Association.

Figure 1

Figure 2

Figure 3

Figure 4

Figure 5

antarmuka fokus mahjong daya pengguna aktifaws grid serasi mahjong dasar tahapan terjagaaws jejak mekanisme mahjong arah fase lanjutanaws kajian wild berantai mahjong interaktif analitisaws kesesuaian persentase layanan mahjong seluler lanceraws pendalaman persentase mahjong gerak wild mutakhircorak langka mahjong tumbuh perlahan berubahgerak mahjong adaptasi mekanisme pemakai sekarangnalar scatter mahjong malam putaran ekstratempo mahjong kaitan mekanisme keadaan terkinialur permainan mahjong cepat scatter wilddalam hitungan detik scatter wild mahjongmenyatukan naluri pola scatter hitam mahjongmomen mahjong permainan berbalik arahmomen singkat mahjong dinamika permainanperpaduan insting pola scatter hitam momentperubahan drastis mahjong ways scatter wildscatter wild mahjong datang polasekejap berubah scatter wild mahjong wayssensasi baru mahjong lebih scatter wildenergi scatter emas irama reel mahjongevolusi reel mahjong balutan mistisintervensi cepat emas momentum lamakemunculan mendadak naga emas mahjongketika scatter naga emas aktif mahjongnaga emas muncul arah spin mahjongnaga emas ritme mahjong ways berubahrahasia rtp tinggi balik scatter hitamsaat scatter naga emas alih irama reelscatter hitam kunci lonjakan rtp mahjonge5 scatter wild memberikan sentuhan baru di setiap spin mahjong ways 2e5 scatter wild menghidupkan suasana permainan mahjong ways 2e5 scatter wild mengubah pola permainan mahjong ways 2 secara signifikane5 setiap putaran mahjong ways 2 terasa berbeda dengan scatter wilde5 strategi adaptif berbasis analisis rtp hariane5 strategi berbasis data dan algoritma untuk analisis momentume5 strategi berkembang berkat data rtp hariane5 strategi memahami algoritma untuk mengidentifikasi momentum ideale5 strategi membaca pola algoritma demi menangkap momentum optimale5 strategi modern mengandalkan evaluasi rtp hariane5 strategi responsif dengan dukungan evaluasi rtp hariane5 strategi terukur dengan analisis rtp hariane5 struktur scatter dan wild terlihat jelas berkat analisis sistem moderne5 tanpa disadari kombinasi ini sering mengarah ke scatter di mahjong wins 3e5 teknik evaluasi algoritma untuk mendapatkan momentum yang tepate5 teknik observasi sistem untuk analisis momentum yang lebih presisie5 terungkap formasi ini sering jadi awal munculnya scatter di mahjong wins 3e5 transformasi digital rtp live berkat artificial intelligence inovatife5 transformasi ritme mahjong ways 2 dipicu oleh kekuatan scatter wilde5 wajib tahu pola tersembunyi ini sering menghasilkan scattere5 applee5 bananae5 candye5 doge5 eaglee5 falcone5 geminie5 horsee5 indiae5 japananalisa pola mahjong ways rutinanalisis kinerja heuristik variansi gameanalisis pola mahjong ways hariananalisis pola mahjong ways kebiasaanera baru mahjong wins bonus optimalgebrakan bonus mahjong wins mekanisme efisieninsight pola mahjong ways rutinkajian pola mahjong ways rutinkomparasi heuristik variansi game digitalledakan bonus mahjong wins sistem efektifmahjong wins bonus sistem generasi baruobservasi pola mahjong ways harianpendekatan algoritma heuristik variansi gameperbandingan model heuristik variansi gamerahasia bonus mahjong wins sistem cerdasrangkuman pola mahjong ways harianringkasan pola mahjong ways harianstudi pola mahjong ways hariantinjauan heuristik variansi game digitaltinjauan pola mahjong ways harianalur sombol mahjong kemunculan scatterdari rtp mahjong bermain lebih efektifjejak scatter mahjong putaran tenangkejutan scatter wild simbol mahjong arahkemunculan simbol ganda membuat mahjongketika grid mahjong scatter semakin dekatketika rtp mahjong pola mulai lebih jelasketika scatter wild ritme simbol mahjongketika scatter wild titik sesi mahjong waysketika susunan simbol mahjong ritme scattermemahami rtp mahjong cara bermain lebihpergerakan simbol mahjong scatter wildpergeseran mahjong ketika scatter hadirsaat rtp mahjong terbaca baik strategisaat scatter hadir simbol mahjong bergeserscatter wild dinamika simbol mahjongstabilitas putaran mahjong pola scattersusunan baru reel mahjong scatter emassusunan mahjong wins mengandung scattersusunan simbol mahjong diam pola scatterrm menguak keunikan mahjong wins sudut pandang teknisrm cara memahami pergerakan mahjong ways tenaga ekstrarm mahjong wins standar baru industri hiburan digitalrm rahasia ketahanan mahjong ways eksis gempuran gamerm pentingnya memahami transisi level mahjong wins mendalamrm strategi mengatur tempo mahjong ways kendali permainanrm peran kecerdasan buatan mekanisme mahjong wins adilrm alasan keberhasilan mahjong ways mencuri perhatian analisrm mempelajari struktur dasar mahjong wins efisiensi putaranrm inovasi desain mahjong ways kesan bermain responsifrm teknik observasi mahjong wins jarang dibahas dampakrm cara mempertahankan fokus dinamika mahjong ways cepatrm eksplorasi fitur tersembunyi mahjong wins ritme terbaikrm mahjong ways integrasi teknologi modern keamanan nyamanrm analisis faktor pendukung mahjong wins digemari generasirm langkah efektif menyesuaikan perubahan sistem mahjong waysrm mengintip proses pengembangan mahjong wins kualitas penggunarm analisis data membantu membaca arah mahjong waysrm menemukan titik temu insting logika mahjong winsrm transformasi besar mahjong ways menghadirkan tantangan menarikmengungkap simbol langka nasib drastismisteri besar kombinasi simbol langkamisteri simbol langka keberuntungan besarsimbol langka misterius ubah hiduprahasia simbol langka nasib cepattransformasi bonus mahjong wins sistem efektifmahjong wins suguhkan bonus sistem modernsuguhan bonus efisien mahjong winsefektivitas sistem bonus mahjong winsmahjong wins hadirkan bonus sistem optimaloke76cincinbetaqua365slot gacorstc76samurai76TOBA1131samurai76 login