Complex Rehab Distraction of a Free Fibula Flap for Implant-Supported Maxillary Reconstruction.

Complex Rehab Distraction of a Free Fibula Flap for Implant-Supported Maxillary Reconstruction.

Jose Bruno*

 

*Correspondence to: Jose Bruno Pannirselvam, Specialist oral and maxillofacial surgeon, Sheikh shakbout medical city, Abudhabi, UAE.

Member ITI Switzerland, Member AO trauma, Dci Member, AOMSI MEMVER


Copyright

© 2025 Jose Bruno.  This is an open access article distributed under the Creative Commons Attribution License, which permits unrestricted use, distribution, and reproduction in any medium, provided the original work is properly cited.

Received: 16 June 2025

Published: 19 June 2025

DOI:https://doi.org/10.5281/zenodo.15797765

Abstract

Rehabilitation of complex maxillary defects following oncologic resection presents a significant surgical and prosthetic challenge. Vascularized fibula free flap (FFF) reconstruction is a widely accepted method, yet vertical height discrepancy remains a key limitation, especially for implant placement. This case report documents a successful approach using distraction osteogenesis on a previously placed fibula graft, followed by dental implants and prosthetic rehabilitation. A 36-year-old female with post-ameloblastoma maxillary resection underwent staged reconstruction including distraction for vertical augmentation. Three months post-distraction, implants were placed and subsequently restored with a fixed prosthesis. Radiographic and clinical outcomes demonstrate excellent osseointegration, occlusal alignment, and esthetics.


Complex Rehab Distraction of a Free Fibula Flap for Implant-Supported Maxillary Reconstruction.

Introduction

Reconstructive maxillofacial surgery represents a cornerstone in the management of patients undergoing ablative procedures for benign or malignant tumors. Among these, ameloblastoma is a benign yet locally aggressive odontogenic tumor that often necessitates extensive resection of the maxilla or mandible to achieve disease-free margins. Such resections lead to significant orofacial defects, not only compromising esthetics and function but also causing profound psychological distress and social limitations (1).

Reconstructive options have evolved with advancements in microvascular free tissue transfer, among which the fibula free flap (FFF) has emerged as a gold standard due to its excellent bone stock, long pedicle, and reliable vascularity (2). The fibula provides sufficient bone length for spanning large maxillary or mandibular defects and allows incorporation of a skin paddle if required. However, despite its numerous advantages, the vertical height of the fibula is often insufficient for ideal prosthodontic rehabilitation—especially in the maxillary region where the native bone is taller, and the occlusal plane is higher.

This vertical deficiency limits the placement of dental implants in a prosthetically driven position, often resulting in a compromised esthetic zone or mechanical overload on short abutments. In such cases, distraction osteogenesis (DO) offers a biologically favorable method for enhancing bone height by stimulating in-situ osteogenesis through controlled mechanical stretching of the bone and surrounding soft tissue envelope (3). Unlike onlay grafting, distraction allows the simultaneous development of bone and soft tissue without the need for donor sites or graft resorption concerns.

Although the technique has been well established in native bone, its application to vascularized bone grafts like the fibula flap is less commonly reported, particularly in the maxilla(4). This case report illustrates a multi-stage, interdisciplinary approach to complex rehabilitation involving fibula flap reconstruction, distraction osteogenesis, implant placement, and prosthodontic restoration in a young female patient post-maxillectomy. The case underscores the role of DO in transforming a previously non-ideal bone structure into a predictable foundation for long-term implant-supported prosthesis, restoring both function and facial harmony (5).


Case Summary

A 36-year-old female presented with a history of left-sided maxillary ameloblastoma for which partial maxillectomy had been performed. Reconstruction was carried out using a vascularized fibula free flap. Initial healing was uneventful, but the vertical bone height was insufficient for prosthetic implant rehabilitation.

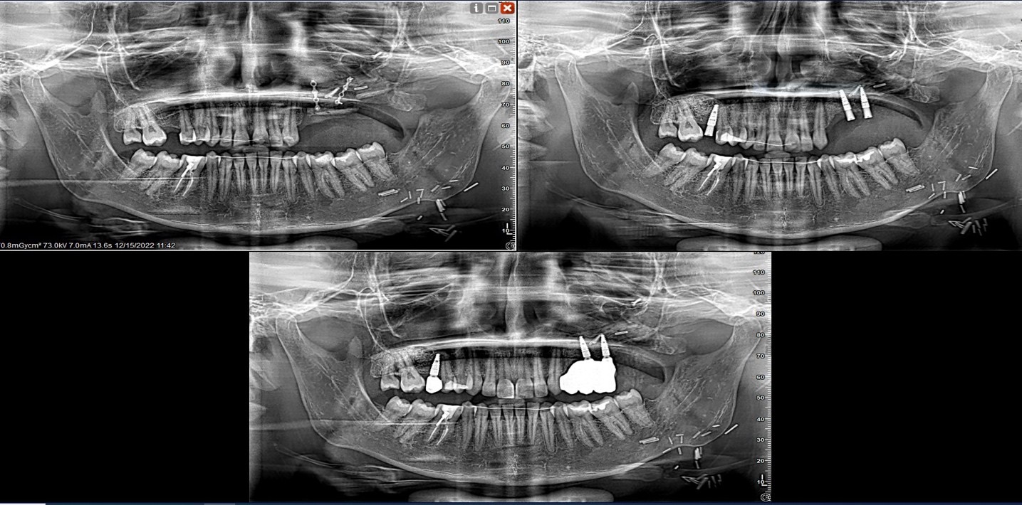
A distraction device was placed after a latency period of 7 days. The fibula graft underwent vertical distraction over a 6-week period at a rate of 0.5 mm twice daily, achieving approximately 12 mm of vertical bone gain. Radiographic evaluation (Image 1 and 2) showed successful osteogenesis without complications. After a 3-month consolidation period, dental implants were placed into the distracted fibula segment.

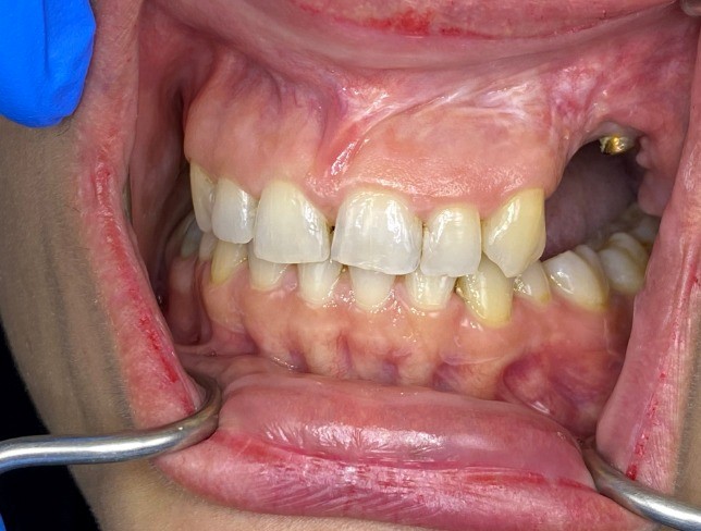
Post-operative imaging (Image 3) confirmed stable implant integration, and the patient underwent prosthetic rehabilitation with a fixed implant-supported prosthesis (Images 4, 5, and 6). Follow-up assessments showed optimal occlusion, favorable gingival adaptation, and high patient satisfaction.


Results
Clinical and radiographic images comprehensively demonstrate the sequential stages of surgical reconstruction and prosthetic rehabilitation. The newly added distraction phase X-ray (Image 2a) illustrates the fibula graft with an attached vertical distraction device in situ. This image confirms the mechanical application of distraction osteogenesis, clearly showing the distractor's position and alignment with the maxillary segment. It follows the initial pre-distraction radiograph (Image 1), where the fibula graft is secured with titanium plates after maxillary resection.

Following distraction, the post-distraction radiograph (Image 2b) reveals successful vertical bone elongation. The post-implant and prosthesis image (Image 3) further demonstrates ideal implant placement and successful prosthetic integration. Intraoral photographs (Images 4 and 5) depict the final fixed prosthesis with harmonious gingival contours and alignment, while the frontal occlusion view (Image 6) confirms esthetic and functional restoration. The entire workflow from device installation to final rehabilitation is supported by radiographic and clinical validation.

 

Fig 1: Pre-distraction Radiograph: Initial placement of the fibula free flap post maxillary resection.

Fig 2

1.Post-distraction Radiograph: Evident vertical bone gain following distraction osteogenesis.

2. Post-implant Radiograph: Stable implant integration with prosthetic adaptation.

3. Occlusal Intraoral Image: Final prosthesis aligned with natural dentition.

Fig 3: Panoramic radiograph showing vertical distraction device in situ over fibula free flap. The distractor is clearly visualized, demonstrating its alignment and integration with the grafted segment for vertical osteogenesis.

Fig 4: 1. Frontal Intraoral Image: Healthy gingival margins and anterior occlusion.

2. Lateral Intraoral Image: Right lateral view showing restored esthetics and function.

 

Discussion

The complexity of reconstructing maxillary defects goes beyond bone replacement; it encompasses the restoration of vertical dimension, dental arch continuity, functional occlusion, and soft tissue support necessary for successful long-term prosthetic rehabilitation. In the presented case, the fibula free flap (FFF) served as the reconstructive workhorse. However, due to its limited vertical height in the maxillary zone, it required vertical augmentation via distraction osteogenesis (DO) to accommodate ideal implant placement.

Distraction osteogenesis, applied here through a vertical distraction device (Image 2a), offered a biologically driven and mechanically predictable method to enhance bone height. The presence of the distractor on radiograph confirms both the feasibility and proper alignment during the active distraction phase. The gradual stretching allowed for simultaneous generation of new bone and soft tissue expansion, circumventing the complications associated with traditional grafting methods, such as donor site morbidity or graft resorption.

While the fibula flap was selected for its reliable vascular supply, bicortical structure, and sufficient bone length, it's important to acknowledge alternative osteocutaneous flaps that could have also been considered—namely, the Deep Circumflex Iliac Artery (DCIA) flap and the scapular free flap.

The DCIA flap, harvested from the iliac crest, provides a natural curvature of bone and greater vertical height, which can be advantageous in reconstructing the maxilla. It also includes corticocancellous bone with a thick marrow component, offering rich osteogenic potential. However, limitations include a shorter pedicle, greater donor site morbidity, and post-operative gait disturbances due to interference with the pelvic ring.

The scapular free flap, on the other hand, provides an excellent soft tissue component and a versatile bone segment, which is beneficial in composite defects involving both hard and soft tissue. Its long pedicle and ease of patient positioning during harvest are advantages. However, the bone is generally flatter and thinner, making it less ideal for vertical distraction or implant anchorage compared to the fibula.

In contrast, the fibula flap offers a long segment of cortical bone, predictable vascularity, and adaptability for segmentation and shaping. Though its vertical dimension is limited in maxillary reconstruction, this shortcoming can be overcome using distraction osteogenesis, as successfully demonstrated in this case.

Following the vertical distraction and a 3-month consolidation period, endosseous implants were placed with excellent primary stability. Radiographic and clinical follow-up demonstrated successful osseointegration, and the final prosthesis restored both masticatory function and facial esthetics. The intraoral and occlusal images further confirmed prosthetic success, showcasing harmonious gingival adaptation, proper vertical alignment, and stable occlusion.

This case reiterates the importance of strategic, multidisciplinary planning—beginning from flap selection and distraction to final implant-supported prosthetic restoration. It also demonstrates that distraction osteogenesis is not just a salvage tool but a planned, functional component of staged maxillofacial reconstruction, especially when applied to vascularized grafts like the fibula.


Conclusion
Distraction osteogenesis of a fibula graft is an effective strategy for vertical augmentation in maxillary reconstruction. It enables ideal implant positioning and stable prosthetic outcomes. This case demonstrates a comprehensive and staged reconstructive pathway culminating in high esthetic and functional success. Such interdisciplinary protocols significantly enhance quality of life in patients undergoing complex craniofacial reconstruction.


References

1. Hidalgo DA. Fibula free flap: a new method of mandible reconstruction. Plast Reconstr Surg. 1989;84(1):71–79.

2. Chiapasco M, Romeo E, Vogel G. Vertical distraction osteogenesis of edentulous ridges for improvement of oral implant positioning: a clinical report of 20 cases. Int J Oral Maxillofac Implants. 2001;16(1):43–51.

3. ML, Weinberg H, Vickery C, et al. Oromandibular reconstruction using microvascular composite flaps: report of 210 cases. Arch Otolaryngol Head Neck Surg. 1998;124(1):46–55.

4. Kanno T, Mitsugi M, Sukegawa S, et al. Vertical alveolar distraction osteogenesis using alveolar distractors for dental implant treatment: a retrospective observational study. Int J Oral Maxillofac Implants. 2007;22(2):296–304.

5. Marx RE, Morales MJ. Morbidity from bone harvest in major jaw reconstruction: a randomized trial comparing the anterior iliac crest, posterior iliac crest, and calvarium. J Oral Maxillofac Surg. 1988;46(3):196–203.

6. Cordeiro PG, Disa JJ, Hidalgo DA, Hu QY. Reconstruction of the mandible with osseous free flaps: a 10-year experience with 150 consecutive patients. Plast Reconstr Surg. 1999;104(5):1314–1320.

7. Schliephake H. Distraction osteogenesis of the alveolar process: a review of the literature. Int J Oral Maxillofac Surg. 2002;31(4):295–305.

8. van Gemert JT, van Es RJ, Rosenberg AJ, Koole R. Reconstruction of the maxilla using a free vascularised fibula flap. Br J Oral Maxillofac Surg. 2009;47(7):515–520.

9. Shpitzer T, Neligan P, Boyd BJ, Gullane PJ, Gur E, Freeman J. Osteoradionecrosis of the mandible: a 10-year review. Am J Otolaryngol. 1997;18(5):305–310.

10. Foster RD, Anthony JP, Sharma A, Pogrel MA. Vascularized bone flaps versus nonvascularized bone grafts for mandibular reconstruction: an outcome analysis of primary bony union and bone resorption. Plast Reconstr Surg. 1999;104(2):395–402..

Figure 1

Figure 2

Figure 3

Figure 4

antarmuka fokus mahjong daya pengguna aktifaws grid serasi mahjong dasar tahapan terjagaaws jejak mekanisme mahjong arah fase lanjutanaws kajian wild berantai mahjong interaktif analitisaws kesesuaian persentase layanan mahjong seluler lanceraws pendalaman persentase mahjong gerak wild mutakhircorak langka mahjong tumbuh perlahan berubahgerak mahjong adaptasi mekanisme pemakai sekarangnalar scatter mahjong malam putaran ekstratempo mahjong kaitan mekanisme keadaan terkinialur permainan mahjong cepat scatter wilddalam hitungan detik scatter wild mahjongmenyatukan naluri pola scatter hitam mahjongmomen mahjong permainan berbalik arahmomen singkat mahjong dinamika permainanperpaduan insting pola scatter hitam momentperubahan drastis mahjong ways scatter wildscatter wild mahjong datang polasekejap berubah scatter wild mahjong wayssensasi baru mahjong lebih scatter wildenergi scatter emas irama reel mahjongevolusi reel mahjong balutan mistisintervensi cepat emas momentum lamakemunculan mendadak naga emas mahjongketika scatter naga emas aktif mahjongnaga emas muncul arah spin mahjongnaga emas ritme mahjong ways berubahrahasia rtp tinggi balik scatter hitamsaat scatter naga emas alih irama reelscatter hitam kunci lonjakan rtp mahjonge5 scatter wild memberikan sentuhan baru di setiap spin mahjong ways 2e5 scatter wild menghidupkan suasana permainan mahjong ways 2e5 scatter wild mengubah pola permainan mahjong ways 2 secara signifikane5 setiap putaran mahjong ways 2 terasa berbeda dengan scatter wilde5 strategi adaptif berbasis analisis rtp hariane5 strategi berbasis data dan algoritma untuk analisis momentume5 strategi berkembang berkat data rtp hariane5 strategi memahami algoritma untuk mengidentifikasi momentum ideale5 strategi membaca pola algoritma demi menangkap momentum optimale5 strategi modern mengandalkan evaluasi rtp hariane5 strategi responsif dengan dukungan evaluasi rtp hariane5 strategi terukur dengan analisis rtp hariane5 struktur scatter dan wild terlihat jelas berkat analisis sistem moderne5 tanpa disadari kombinasi ini sering mengarah ke scatter di mahjong wins 3e5 teknik evaluasi algoritma untuk mendapatkan momentum yang tepate5 teknik observasi sistem untuk analisis momentum yang lebih presisie5 terungkap formasi ini sering jadi awal munculnya scatter di mahjong wins 3e5 transformasi digital rtp live berkat artificial intelligence inovatife5 transformasi ritme mahjong ways 2 dipicu oleh kekuatan scatter wilde5 wajib tahu pola tersembunyi ini sering menghasilkan scattere5 applee5 bananae5 candye5 doge5 eaglee5 falcone5 geminie5 horsee5 indiae5 japananalisa pola mahjong ways rutinanalisis kinerja heuristik variansi gameanalisis pola mahjong ways hariananalisis pola mahjong ways kebiasaanera baru mahjong wins bonus optimalgebrakan bonus mahjong wins mekanisme efisieninsight pola mahjong ways rutinkajian pola mahjong ways rutinkomparasi heuristik variansi game digitalledakan bonus mahjong wins sistem efektifmahjong wins bonus sistem generasi baruobservasi pola mahjong ways harianpendekatan algoritma heuristik variansi gameperbandingan model heuristik variansi gamerahasia bonus mahjong wins sistem cerdasrangkuman pola mahjong ways harianringkasan pola mahjong ways harianstudi pola mahjong ways hariantinjauan heuristik variansi game digitaltinjauan pola mahjong ways harianalur sombol mahjong kemunculan scatterdari rtp mahjong bermain lebih efektifjejak scatter mahjong putaran tenangkejutan scatter wild simbol mahjong arahkemunculan simbol ganda membuat mahjongketika grid mahjong scatter semakin dekatketika rtp mahjong pola mulai lebih jelasketika scatter wild ritme simbol mahjongketika scatter wild titik sesi mahjong waysketika susunan simbol mahjong ritme scattermemahami rtp mahjong cara bermain lebihpergerakan simbol mahjong scatter wildpergeseran mahjong ketika scatter hadirsaat rtp mahjong terbaca baik strategisaat scatter hadir simbol mahjong bergeserscatter wild dinamika simbol mahjongstabilitas putaran mahjong pola scattersusunan baru reel mahjong scatter emassusunan mahjong wins mengandung scattersusunan simbol mahjong diam pola scatterrm menguak keunikan mahjong wins sudut pandang teknisrm cara memahami pergerakan mahjong ways tenaga ekstrarm mahjong wins standar baru industri hiburan digitalrm rahasia ketahanan mahjong ways eksis gempuran gamerm pentingnya memahami transisi level mahjong wins mendalamrm strategi mengatur tempo mahjong ways kendali permainanrm peran kecerdasan buatan mekanisme mahjong wins adilrm alasan keberhasilan mahjong ways mencuri perhatian analisrm mempelajari struktur dasar mahjong wins efisiensi putaranrm inovasi desain mahjong ways kesan bermain responsifrm teknik observasi mahjong wins jarang dibahas dampakrm cara mempertahankan fokus dinamika mahjong ways cepatrm eksplorasi fitur tersembunyi mahjong wins ritme terbaikrm mahjong ways integrasi teknologi modern keamanan nyamanrm analisis faktor pendukung mahjong wins digemari generasirm langkah efektif menyesuaikan perubahan sistem mahjong waysrm mengintip proses pengembangan mahjong wins kualitas penggunarm analisis data membantu membaca arah mahjong waysrm menemukan titik temu insting logika mahjong winsrm transformasi besar mahjong ways menghadirkan tantangan menarikmengungkap simbol langka nasib drastismisteri besar kombinasi simbol langkamisteri simbol langka keberuntungan besarsimbol langka misterius ubah hiduprahasia simbol langka nasib cepattransformasi bonus mahjong wins sistem efektifmahjong wins suguhkan bonus sistem modernsuguhan bonus efisien mahjong winsefektivitas sistem bonus mahjong winsmahjong wins hadirkan bonus sistem optimaloke76cincinbetaqua365slot gacorstc76samurai76TOBA1131samurai76 login