Exploring Vidian Nerve Schwannomas, A Case Report and Literature Review

Exploring Vidian Nerve Schwannomas, A Case Report and Literature Review

Maryam Aljawi, MD 1*, Maryam Aljneibi2, MD, Mohamed Elhammady, MD3,  Florian Roser, MD4, Mahdi A. Shkoukani, MD5

 

1,2,5: Otolaryngology head and neck surgery, Cleveland Clinic Abu Dhabi, UAE .

3: Neurosurgery, Cleveland Clinic Abu Dhabi, UAE.

4: Florian Roser, MD – Neurosurgery, Cleveland Clinic Abu Dhabi, UAE

 

*Correspondence to: Maryam Aljawi, Otolaryngology head and neck surgery, Cleveland Clinic Abu Dhabi, UAE.


Copyright

© 2025 Maryam Aljawi, This is an open access article distributed under the Creative Commons Attribution   License, which permits unrestricted use, distribution, and reproduction in any medium, provided the original work is properly cited.

Received: 16 June 2025

Published: 30 June 2025

Abstract

Vidian nerve schwannomas are extremely rare enteties with a handful of cases reported in the literature. Diagnosis can be challenging due to the paucity of cases and the wide differential diagnosis of anterior skull base lesions. Vidian nerve schwannomas can present with symptoms such as headaches, decreased sensation over V2 distribution, decreased lacrimation or nasal dryness. These symptoms are not specific since any sphenoid or skull base lesion can cause a mass effect on the Vidian or Trigemenal nerve. 

Surgical approaches to Vidian schwannomas are particularly challenging due to the difficult access to the lateral recess of the sphenoid sinus. Extended endoscopic skull base approaches have largely replaced the open approaches through the pterygopalatine fossa and have become the gold standard with good exposure and lower morbidity and complications. Although these tumors are benign, they can cause significant morbidity due to mass effect on the surrounding structures such as the optic nerve.

We present a case of a 45-year-old woman who presented with vision changes and dryness of the eye. MRI showed a large homogenous contrast enhancing mass in the sphenoid sinus with bone remodeling of the skull base. She underwent transsphenoidal endonasal excision of the mass by the otolaryngology and neurosurgery team. Intraoperatively, the mass in the lateral recess of the sphenoid was difficult to access and a transptyregoid approach was used for better exposure. Complete resection of the tumor was achieved. Final surgical pathology came back as schwannoma. Further review of the preoperative MRI concluded the mass to be of a Vidian nerve origin. She was evaluated by ophthalmology at 1 month and 6 months postoperatively and had stable optic neuropathy with no progression in symptoms.


Exploring Vidian Nerve Schwannomas, A Case Report and Literature Review

Introduction

Vidian nerve schwannomas are exceedingly rare, with only a limited number of cases documented in the medical literature. Diagnosing these tumors can be particularly challenging due to their paucity and the broad differential diagnosis associated with anterior skull base lesions. Symptoms of Vidian nerve schwannomas may include headaches, reduced sensation in the V2 distribution, hypolacrimation, or nasal dryness. However, these symptoms are nonspecific, as any lesion within the sphenoid sinus or anterior skull base can exert a mass effect on the Vidian or trigeminal nerves, leading to similar clinical manifestations.

The surgical management of Vidian nerve schwannomas is further complicated by the challenging anatomical location of the tumor, which is often situated in the lateral recess of the sphenoid sinus. Historically, open approaches through the pterygopalatine fossa were employed; however, these have largely been replaced by extended endoscopic skull base techniques. Endoscopic approaches are now considered the gold standard for their ability to provide excellent exposure while minimizing patient morbidity and surgical complications.

Although Vidian nerve schwannomas are benign in nature, their growth can result in significant morbidity due to the mass effect they exert on surrounding critical structures, such as the optic nerve. Early diagnosis and appropriate surgical intervention are essential to prevent long-term complications and preserve patient quality of life.


Case Presentation

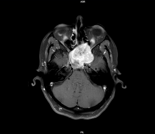
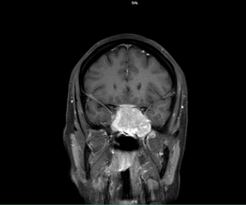
We report the case of a 45-year-old woman who presented with complaints of vision changes and dryness in her eye. Magnetic resonance imaging (MRI) revealed a large, homogeneously contrast-enhancing mass located in the sphenoid sinus, accompanied by evidence of bone remodeling at the skull base (Figure 1,2).

The patient underwent a transsphenoidal endonasal excision of the mass, performed collaboratively by the otolaryngology and neurosurgery teams. Intraoperatively, the tumor was found to be located in the lateral recess of the sphenoid sinus, a region that posed significant challenges for access. To overcome this, a transpterygoid approach was employed, providing better surgical exposure. Complete resection of the tumor was successfully achieved.

Final histopathological analysis of the excised tissue confirmed the diagnosis of schwannoma. Subsequent detailed review of the preoperative MRI suggested that the mass originated from the Vidian nerve.

Postoperatively, the patient was closely monitored by ophthalmology. At follow-ups conducted one month and six months after surgery, she demonstrated stable optic neuropathy without any progression of her symptoms (Figure 4).

 

Cases

Author

Age

Gender

Tumor size

Clinical presentation

Management

Outcome

1

Cheong et al., 2006

13

F

12mmx10mm

Headache and unilateral facial palsy

EES

N.A

2

Honda et al., 2008

49

F

N.A

Unilateral hearing loss and serous otitis media

Maxillary swing with endoscopic assistance

No recurrence in 1 month

3

Hackman et al.,
2011

49

M

10mmx14mm

Occipital headache

Observation

N.A

4

Hackman et al.,
2011

58

M

N.A

Unilateral palate pain and lip numbness

EES

N.A

5

Wu et al., 2012

78

F

N.A

Unilateral oculomotor palsy and CSF leak

EES

No recurrence in 24 months

6

Hong et al., 2014

41

M

28mmx16mm

Occipital headache

EES

N.A

7

Yamasaki et
al., 2015

49

F

20mmx14mm

Asymptomatic

Radiation thearpy

N.A

8

Fortes et al., 2019

60

F

N.A

Unilateral facial hypostheisa

EES

No recurrence in 3 months

9

Masroor et al., 2018

54

F

41mmx36mm

Periorbital pressure and oculomotor plasy, visual field defect

EES

No recurrence in 28 months

10

Tanaka et al., 2021

21

F

44mmx36mm

Hypolacrimination

EES

No recurrence in 5 months

11

Bang et al., 2024

58

F

N.A

Headache and left eye dryness

EES

No recurrence in 8 months

 

Figure 1: T1 MRI Axial view of the lesion

Figure 2: T1 MRI coronal view of the lesion

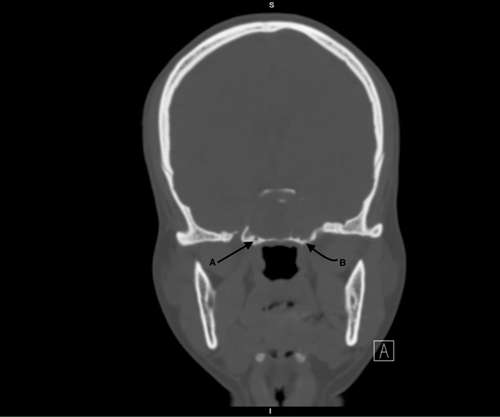
Figure 3: CT coronal view bone window showing bilateral vidian canals

Figure 4: T1 MRI axial view post resection

 

Discussion

Head and neck schwannomas are not uncommon. They most commonly arise from the vestibular nerve, acounting to around 51%7. Followed by the trigeminal nerve accounting for 8%7.  The diagnosis of schwannomas is typically made histologically. However, this could be predetected on preoperative imaging with certain charactarisitcs including iso or hypointensity on T1 images, hyperintensity on T2 images and enhancement with contrast.  The MRI scan is also helpful in determining the origin of these tumors with features such as bone remodeling and enlargement of ther bony canals of the affected nerve. Vidian nerve schwannomas are a rare entity with only previous 11 cases reported in the literature to our knowledge summarized in table 1(1-10).

All previously reported cases of vidian nerve schwannoma presented with unspecific symptoms including headaches. Or symptoms from compression of other cranial nerves including hyposthesia, vision changes or hearing loss. There are no evident abnormalities, such as decreased lacrimation or nasal mucosal dryness, that have led to the investigation and diagnosis of vidian nerve tumors.

The standard treatment is surgical resection, which is also the gold standard for diagnosis to obtain histopathologic confirmation. Previously, open approaches were utilized for surgical access due to the difficulty in reaching areas such as the lateral recess of the sphenoid and the pterygopalatine fossa, as well as the potential challenges associated with the need to ligate internal maxillary artery branches in those regions.

Historically, approaches such as the maxillary swing or a combination of a Caldwell-Luc or Denker’s approach were the standard treatment. However, the endoscopic endonasal approach has now largely replaced open procedures in experienced hands, minimizing morbidity and shortening hospital length of stay.

 

Conclusion

Vidian nerve schwannomas are difficult to diagnosis due to the unspecific presenting symptoms. Radiologic charactaristics can presume the diagnosis of a schwannoma. Surgical resection is the mainstay of treatment. Endoscopic endonasal approach has improved visualization of different regions of the anterior skull base and have allowed full resection with minimal morbidity and short hospital stay. 

 

References

1. Cheong, J. H., Kim, J. M., Bak, K. H., Kim, C. H., Oh, Y. H., & Park, D. W. (2006). Bilateral vidian nerve schwannomas associated with facial palsy. Case report and review of the literature. Journal of neurosurgery, 104(5), 835–839. https://doi.org/10.3171/jns.2006.104.5.835

2. Honda, K., Asato, R., Tanaka, S., Endo, T., Nishimura, K., & Ito, J. (2008). Vidian nerve schwannoma with middle cranial fossa extension resected via a maxillary swing approach. Head & neck, 30(10), 1389–1393. https://doi.org/10.1002/hed.20793

3. Hackman, T., Rickert, C. G., Getz, A. E., & Uppaluri, R. (2011). Endoscopic surgical management of vidian nerve schwannoma. The Laryngoscope, 121(2), 241–244. https://doi.org/10.1002/lary.21285

4. Wu, S. W., Chen, W. L., Chen, W. L., & Chen, M. K. (2012). Transnasal endoscopic resection of vidian nerve schwannoma accompanied by sphenoid mucopyocele and oculomotor palsy: a case report. B-ENT, 8(3), 207–211.

5. Hong, H. P., Yoon, S. W., Park, M. J., & Jung, S.-C. (2014). A case of vidian nerve schwannoma: Resection by endoscopic sinus surgery. Korean Journal of Otorhinolaryngology-Head and Neck Surgery, 57(1), 50. https://doi.org/10.3342/kjorl-hns.2014.57.1.50

6. Yamasaki, A., Sedaghat, A. R., Lin, G. C., Curry, W. T., Shih, H. A., & Gray, S. T. (2015). A Rare Finding of Schwannoma of the Vidian Canal: A Case Report. Journal of neurological surgery reports, 76(1), e48–e51. https://doi.org/10.1055/s-0034-1544112

7. Fortes, B., Beer-Furlan, A., Balsalobre, L., Vellutini, E., & Stamm, A. (2019). Endoscopic endonasal access for the treatment of Vidian nerve schwannoma: a case report. Brazilian journal of otorhinolaryngology, 85(5), 670–672. https://doi.org/10.1016/j.bjorl.2016.04.015

8. Masroor, F. A., Gilde, J., & Liang, J. (2018). Vidian Nerve Schwannoma: A Rare Skull-Base Neoplasm Presenting with Ocular Manifestations: A Case Report and Literature Review. The Permanente journal, 22, 18–021. https://doi.org/10.7812/TPP/18-021

9. Tanaka, C., Kikuchi, M., Matsunaga, M., Omori, K., & Nakagawa, T. (2021). Endoscopic Endonasal Surgery of a Large Vidian Nerve Schwannoma With Preparation for Avoiding Major Vascular Injury. Cureus, 13(3), e14230. https://doi.org/10.7759/cureus.14230

10. Bang, J. H., Jin, S. H., Kim, S. J., & Lee, K. H. (2024). Vidian Nerve Schwannoma Extending Into the Foramen Rotundum in a Female Patient: A Case Report. Journal of rhinology : official journal of the Korean Rhinologic Society, 31(3), 184–188. https://doi.org/10.18787/jr.2024.00028.

Figure 1

Figure 2

Figure 3

Figure 4

antarmuka fokus mahjong daya pengguna aktifaws grid serasi mahjong dasar tahapan terjagaaws jejak mekanisme mahjong arah fase lanjutanaws kajian wild berantai mahjong interaktif analitisaws kesesuaian persentase layanan mahjong seluler lanceraws pendalaman persentase mahjong gerak wild mutakhircorak langka mahjong tumbuh perlahan berubahgerak mahjong adaptasi mekanisme pemakai sekarangnalar scatter mahjong malam putaran ekstratempo mahjong kaitan mekanisme keadaan terkinialur permainan mahjong cepat scatter wilddalam hitungan detik scatter wild mahjongmenyatukan naluri pola scatter hitam mahjongmomen mahjong permainan berbalik arahmomen singkat mahjong dinamika permainanperpaduan insting pola scatter hitam momentperubahan drastis mahjong ways scatter wildscatter wild mahjong datang polasekejap berubah scatter wild mahjong wayssensasi baru mahjong lebih scatter wildenergi scatter emas irama reel mahjongevolusi reel mahjong balutan mistisintervensi cepat emas momentum lamakemunculan mendadak naga emas mahjongketika scatter naga emas aktif mahjongnaga emas muncul arah spin mahjongnaga emas ritme mahjong ways berubahrahasia rtp tinggi balik scatter hitamsaat scatter naga emas alih irama reelscatter hitam kunci lonjakan rtp mahjonge5 scatter wild memberikan sentuhan baru di setiap spin mahjong ways 2e5 scatter wild menghidupkan suasana permainan mahjong ways 2e5 scatter wild mengubah pola permainan mahjong ways 2 secara signifikane5 setiap putaran mahjong ways 2 terasa berbeda dengan scatter wilde5 strategi adaptif berbasis analisis rtp hariane5 strategi berbasis data dan algoritma untuk analisis momentume5 strategi berkembang berkat data rtp hariane5 strategi memahami algoritma untuk mengidentifikasi momentum ideale5 strategi membaca pola algoritma demi menangkap momentum optimale5 strategi modern mengandalkan evaluasi rtp hariane5 strategi responsif dengan dukungan evaluasi rtp hariane5 strategi terukur dengan analisis rtp hariane5 struktur scatter dan wild terlihat jelas berkat analisis sistem moderne5 tanpa disadari kombinasi ini sering mengarah ke scatter di mahjong wins 3e5 teknik evaluasi algoritma untuk mendapatkan momentum yang tepate5 teknik observasi sistem untuk analisis momentum yang lebih presisie5 terungkap formasi ini sering jadi awal munculnya scatter di mahjong wins 3e5 transformasi digital rtp live berkat artificial intelligence inovatife5 transformasi ritme mahjong ways 2 dipicu oleh kekuatan scatter wilde5 wajib tahu pola tersembunyi ini sering menghasilkan scattere5 applee5 bananae5 candye5 doge5 eaglee5 falcone5 geminie5 horsee5 indiae5 japananalisa pola mahjong ways rutinanalisis kinerja heuristik variansi gameanalisis pola mahjong ways hariananalisis pola mahjong ways kebiasaanera baru mahjong wins bonus optimalgebrakan bonus mahjong wins mekanisme efisieninsight pola mahjong ways rutinkajian pola mahjong ways rutinkomparasi heuristik variansi game digitalledakan bonus mahjong wins sistem efektifmahjong wins bonus sistem generasi baruobservasi pola mahjong ways harianpendekatan algoritma heuristik variansi gameperbandingan model heuristik variansi gamerahasia bonus mahjong wins sistem cerdasrangkuman pola mahjong ways harianringkasan pola mahjong ways harianstudi pola mahjong ways hariantinjauan heuristik variansi game digitaltinjauan pola mahjong ways harianalur sombol mahjong kemunculan scatterdari rtp mahjong bermain lebih efektifjejak scatter mahjong putaran tenangkejutan scatter wild simbol mahjong arahkemunculan simbol ganda membuat mahjongketika grid mahjong scatter semakin dekatketika rtp mahjong pola mulai lebih jelasketika scatter wild ritme simbol mahjongketika scatter wild titik sesi mahjong waysketika susunan simbol mahjong ritme scattermemahami rtp mahjong cara bermain lebihpergerakan simbol mahjong scatter wildpergeseran mahjong ketika scatter hadirsaat rtp mahjong terbaca baik strategisaat scatter hadir simbol mahjong bergeserscatter wild dinamika simbol mahjongstabilitas putaran mahjong pola scattersusunan baru reel mahjong scatter emassusunan mahjong wins mengandung scattersusunan simbol mahjong diam pola scatterrm menguak keunikan mahjong wins sudut pandang teknisrm cara memahami pergerakan mahjong ways tenaga ekstrarm mahjong wins standar baru industri hiburan digitalrm rahasia ketahanan mahjong ways eksis gempuran gamerm pentingnya memahami transisi level mahjong wins mendalamrm strategi mengatur tempo mahjong ways kendali permainanrm peran kecerdasan buatan mekanisme mahjong wins adilrm alasan keberhasilan mahjong ways mencuri perhatian analisrm mempelajari struktur dasar mahjong wins efisiensi putaranrm inovasi desain mahjong ways kesan bermain responsifrm teknik observasi mahjong wins jarang dibahas dampakrm cara mempertahankan fokus dinamika mahjong ways cepatrm eksplorasi fitur tersembunyi mahjong wins ritme terbaikrm mahjong ways integrasi teknologi modern keamanan nyamanrm analisis faktor pendukung mahjong wins digemari generasirm langkah efektif menyesuaikan perubahan sistem mahjong waysrm mengintip proses pengembangan mahjong wins kualitas penggunarm analisis data membantu membaca arah mahjong waysrm menemukan titik temu insting logika mahjong winsrm transformasi besar mahjong ways menghadirkan tantangan menarikmengungkap simbol langka nasib drastismisteri besar kombinasi simbol langkamisteri simbol langka keberuntungan besarsimbol langka misterius ubah hiduprahasia simbol langka nasib cepattransformasi bonus mahjong wins sistem efektifmahjong wins suguhkan bonus sistem modernsuguhan bonus efisien mahjong winsefektivitas sistem bonus mahjong winsmahjong wins hadirkan bonus sistem optimaloke76cincinbetaqua365slot gacorstc76samurai76TOBA1131samurai76 login