Case Report on the Removal of a Central Venous Catheter with Subsequent Neurological Event

Case Report on the Removal of a Central Venous Catheter with Subsequent Neurological Event

Dr.Ibrahim Krenawi*1, Dr. Fadoua Abdeluahid2

1. Consultant Neurologist, Burjeel Hospital Al Ain, UAE.

2. Senior Physician Neurologist, St.Barbara Hospital, Gladbeck, Germany.

 

*Correspondence to: Dr. Ibrahim Krenawi, Consultant Neurologist, Burjeel Hospital Al Ain, UAE.

ORCID: 0009-0007-6850-4749.


Copyright

© 2025 Dr. Ibrahim Krenawi, This is an open access article distributed under the Creative Commons Attribution  License, which permits unrestricted use, distribution, and reproduction in any medium, provided the original work is properly cited.

Received: 21 June 2025

Published: 01 July 2025

DOI:  https://doi.org/10.5281/zenodo.15798296


Abstract

This case report presents a 48-year-old female patient with a significant medical history, including arterial hypertension, a history of multi-level thrombosis, and nicotine dependence. The patient underwent an extensive interdisciplinary diagnostic evaluation involving both pulmonology and vascular surgery.


Case Report on the Removal of a Central Venous Catheter with Subsequent Neurological Event

Background

The diagnostic process encompassed various imaging modalities, including echocardiography, magnetic resonance imaging (MRI) of the skull, computed tomography (CT) scans of the abdomen and thorax, bronchoscopy, bone scintigraphy, and histopathological analysis.

 

Findings

The diagnosis of non-small cell lung carcinoma was confirmed, classified as Stage IB adenocarcinoma, comprising 60% acinar and 40% lepidic components. Postoperative staging indicated pT2a (with visceral pleura involvement), pN0, cM0, L1, V0, Pn0, G2, and R0 status. A minimally invasive upper lobe resection was performed during the vascular surgical intervention, where intraoperative frozen section analysis validated the diagnosis of primary pulmonary adenocarcinoma. This was followed by an extensive radical lymph node dissection, encompassing interlobar, hilar, and mediastinal lymph nodes.

 

Clinical Course

Post-surgery, the patient was closely monitored in the intensive care unit (ICU). After demonstrating marked improvement, the central venous catheter was removed. Subsequently, the patient exhibited neurological symptoms indicative of left-sided hemiplegia, prompting her immediate transfer to the neurology department.

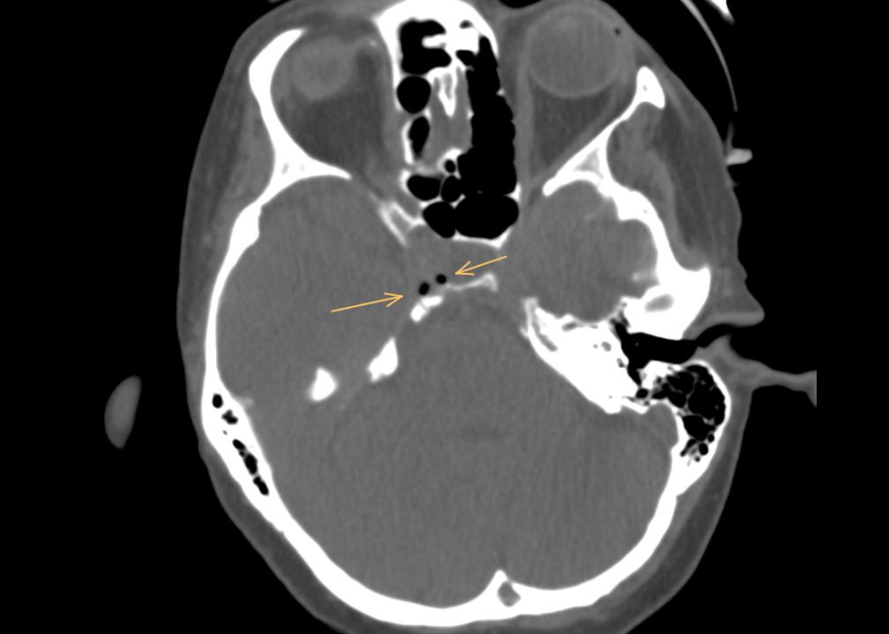
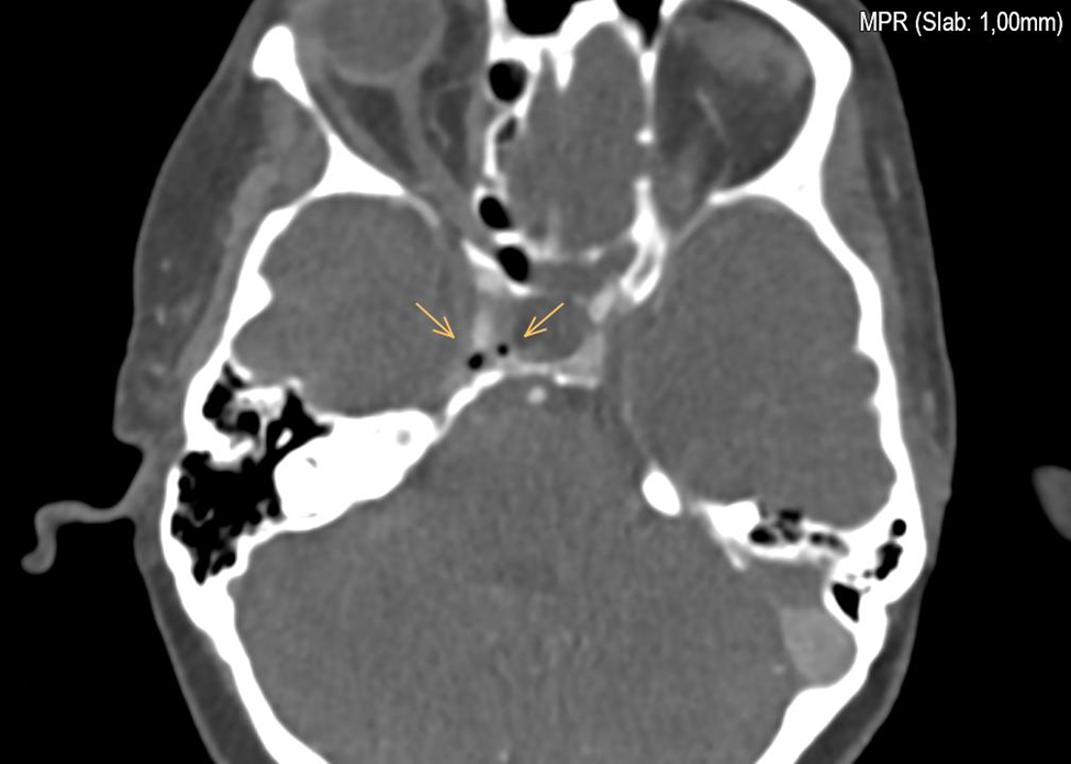
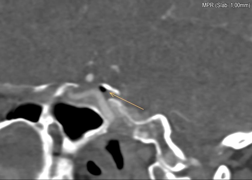
Neurovascular Assessment: An angiographic CT of the skull conducted during the neurological evaluation revealed the presence of air emboli in the cavernous sinus. Notably, echocardiographic assessment ruled out the presence of a patent foramen ovale (PFO), leaving the etiology of the air embolism due to several mechanisms unclear.

Primarily, they include a patent foramen ovale, the presence of right or left intrapulmonary shunts, and the forcing of air through the pulmonary filter. According to the literature on venous embolism, our case suggests that air likely migrated from the arm, passing through the right subclavian vein and entering the internal jugular vein on a cranial path. Once in the internal jugular vein, the air travels through the inferior petrosal sinus, ultimately reaching the cavernous sinus. Patients experiencing gas embolism may not exhibit symptoms; however, they can present with headache, nausea, vomiting, dizziness, or seizures. As the literature indicates, the etiology of these symptoms remains poorly understood.

 

Figure 1

Figure 2

Figure 3

 

Conclusion

This case underscores the complex interplay between the removal of a central venous catheter and neurological complications in patients with a history of vascular concerns. Further investigation is essential to elucidate the underlying mechanisms leading to such occurrences.

Figure 1

Figure 2

Figure 3

antarmuka fokus mahjong daya pengguna aktifaws grid serasi mahjong dasar tahapan terjagaaws jejak mekanisme mahjong arah fase lanjutanaws kajian wild berantai mahjong interaktif analitisaws kesesuaian persentase layanan mahjong seluler lanceraws pendalaman persentase mahjong gerak wild mutakhircorak langka mahjong tumbuh perlahan berubahgerak mahjong adaptasi mekanisme pemakai sekarangnalar scatter mahjong malam putaran ekstratempo mahjong kaitan mekanisme keadaan terkinialur permainan mahjong cepat scatter wilddalam hitungan detik scatter wild mahjongmenyatukan naluri pola scatter hitam mahjongmomen mahjong permainan berbalik arahmomen singkat mahjong dinamika permainanperpaduan insting pola scatter hitam momentperubahan drastis mahjong ways scatter wildscatter wild mahjong datang polasekejap berubah scatter wild mahjong wayssensasi baru mahjong lebih scatter wildenergi scatter emas irama reel mahjongevolusi reel mahjong balutan mistisintervensi cepat emas momentum lamakemunculan mendadak naga emas mahjongketika scatter naga emas aktif mahjongnaga emas muncul arah spin mahjongnaga emas ritme mahjong ways berubahrahasia rtp tinggi balik scatter hitamsaat scatter naga emas alih irama reelscatter hitam kunci lonjakan rtp mahjonge5 scatter wild memberikan sentuhan baru di setiap spin mahjong ways 2e5 scatter wild menghidupkan suasana permainan mahjong ways 2e5 scatter wild mengubah pola permainan mahjong ways 2 secara signifikane5 setiap putaran mahjong ways 2 terasa berbeda dengan scatter wilde5 strategi adaptif berbasis analisis rtp hariane5 strategi berbasis data dan algoritma untuk analisis momentume5 strategi berkembang berkat data rtp hariane5 strategi memahami algoritma untuk mengidentifikasi momentum ideale5 strategi membaca pola algoritma demi menangkap momentum optimale5 strategi modern mengandalkan evaluasi rtp hariane5 strategi responsif dengan dukungan evaluasi rtp hariane5 strategi terukur dengan analisis rtp hariane5 struktur scatter dan wild terlihat jelas berkat analisis sistem moderne5 tanpa disadari kombinasi ini sering mengarah ke scatter di mahjong wins 3e5 teknik evaluasi algoritma untuk mendapatkan momentum yang tepate5 teknik observasi sistem untuk analisis momentum yang lebih presisie5 terungkap formasi ini sering jadi awal munculnya scatter di mahjong wins 3e5 transformasi digital rtp live berkat artificial intelligence inovatife5 transformasi ritme mahjong ways 2 dipicu oleh kekuatan scatter wilde5 wajib tahu pola tersembunyi ini sering menghasilkan scattere5 applee5 bananae5 candye5 doge5 eaglee5 falcone5 geminie5 horsee5 indiae5 japananalisa pola mahjong ways rutinanalisis kinerja heuristik variansi gameanalisis pola mahjong ways hariananalisis pola mahjong ways kebiasaanera baru mahjong wins bonus optimalgebrakan bonus mahjong wins mekanisme efisieninsight pola mahjong ways rutinkajian pola mahjong ways rutinkomparasi heuristik variansi game digitalledakan bonus mahjong wins sistem efektifmahjong wins bonus sistem generasi baruobservasi pola mahjong ways harianpendekatan algoritma heuristik variansi gameperbandingan model heuristik variansi gamerahasia bonus mahjong wins sistem cerdasrangkuman pola mahjong ways harianringkasan pola mahjong ways harianstudi pola mahjong ways hariantinjauan heuristik variansi game digitaltinjauan pola mahjong ways harianalur sombol mahjong kemunculan scatterdari rtp mahjong bermain lebih efektifjejak scatter mahjong putaran tenangkejutan scatter wild simbol mahjong arahkemunculan simbol ganda membuat mahjongketika grid mahjong scatter semakin dekatketika rtp mahjong pola mulai lebih jelasketika scatter wild ritme simbol mahjongketika scatter wild titik sesi mahjong waysketika susunan simbol mahjong ritme scattermemahami rtp mahjong cara bermain lebihpergerakan simbol mahjong scatter wildpergeseran mahjong ketika scatter hadirsaat rtp mahjong terbaca baik strategisaat scatter hadir simbol mahjong bergeserscatter wild dinamika simbol mahjongstabilitas putaran mahjong pola scattersusunan baru reel mahjong scatter emassusunan mahjong wins mengandung scattersusunan simbol mahjong diam pola scatterrm menguak keunikan mahjong wins sudut pandang teknisrm cara memahami pergerakan mahjong ways tenaga ekstrarm mahjong wins standar baru industri hiburan digitalrm rahasia ketahanan mahjong ways eksis gempuran gamerm pentingnya memahami transisi level mahjong wins mendalamrm strategi mengatur tempo mahjong ways kendali permainanrm peran kecerdasan buatan mekanisme mahjong wins adilrm alasan keberhasilan mahjong ways mencuri perhatian analisrm mempelajari struktur dasar mahjong wins efisiensi putaranrm inovasi desain mahjong ways kesan bermain responsifrm teknik observasi mahjong wins jarang dibahas dampakrm cara mempertahankan fokus dinamika mahjong ways cepatrm eksplorasi fitur tersembunyi mahjong wins ritme terbaikrm mahjong ways integrasi teknologi modern keamanan nyamanrm analisis faktor pendukung mahjong wins digemari generasirm langkah efektif menyesuaikan perubahan sistem mahjong waysrm mengintip proses pengembangan mahjong wins kualitas penggunarm analisis data membantu membaca arah mahjong waysrm menemukan titik temu insting logika mahjong winsrm transformasi besar mahjong ways menghadirkan tantangan menarikmengungkap simbol langka nasib drastismisteri besar kombinasi simbol langkamisteri simbol langka keberuntungan besarsimbol langka misterius ubah hiduprahasia simbol langka nasib cepattransformasi bonus mahjong wins sistem efektifmahjong wins suguhkan bonus sistem modernsuguhan bonus efisien mahjong winsefektivitas sistem bonus mahjong winsmahjong wins hadirkan bonus sistem optimaloke76cincinbetaqua365slot gacorstc76samurai76TOBA1131samurai76 login