Endohepatlogy: Endoscopic Ultrasound-Guided Portal Pressure Gradient and Liver Biopsy in a Patient with Presinusoidal Portal Hypertension

Endohepatlogy: Endoscopic Ultrasound-Guided Portal Pressure Gradient and Liver Biopsy in a Patient with Presinusoidal Portal Hypertension
Corey Mealer, BS1*, Ethan Mitchell, BS1, and Manjakkollai P. Veerabagu, MD2

1. Medical Student, College of Medicine; Medical University of South Carolina

2.Affiliate Associate Professor; Medical University of South Carolina

*Correspondence to: Corey Mealer, BS., Medical Student, College of Medicine; Medical University of South Carolina.


Copyright

© 2025 Corey Mealer, BS, This is an open access article distributed under the Creative Commons Attribution License, which permits unrestricted use, distribution, and reproduction in any medium, provided the original work is properly cited.

Received: 14 July 2025

Published: 23 July 2025  

DOI: https://doi.org/10.5281/zenodo.16755089

Abstract:

Liver disease progressing to cirrhosis is one of the leading causes of mortality in the U.S. Portal hypertension (PH) most commonly results from cirrhosis of the liver. The gold-standard for diagnosis of PH in the U.S. is measured by interventional radiology using hepatic venous pressure gradients (HVPG). Endoscopic ultrasound-guided portal pressure gradient (EUS-PPG) is an advanced, novel procedure that directly measures the portal and hepatic vein pressure and has comparable mean pressure measurements to HVPG with fewer adverse events. Additionally, it allows for concomitant endoscopic evaluation, endoscopic ultrasound imaging, liver biopsy, and other endoscopic interventions. In this article, we report a case of a 50-year-old female patient with metabolic dysfunction-associated steatohepatitis (MASH) and primary biliary cholangitis (PBC) who underwent EUS-PPG and EUS-guided liver biopsy for further work up.

Keywords: endoscopy, endoscopic ultrasound, endoscopic ultrasound-guided portal pressure gradient, portal hypertension, portal pressure, hepatic cirrhosis.


Endohepatlogy: Endoscopic Ultrasound-Guided Portal Pressure Gradient and Liver Biopsy in a Patient with Presinusoidal Portal Hypertension

Case

Patient is a 50-year-old female with a past medical history of class 2 obesity, metabolic dysfunction-associated steatotic liver disease (MASLD) and primary biliary cholangitis (PBC) managed with seladelpar and ursodeoxycholic acid. Earlier this year, she underwent elastography (Fibroscan), which revealed a fibrosis score of 2 and steatosis score of 2. Despite adherence to exercise and dietary modifications, her body mass index remained elevated. Additionally, she had persistently elevated alkaline phosphatases of 135U/L despite pharmacologic therapy and lifestyle changes. Given her history of PBC and MASLD, the decision was made to proceed with endoscopic ultrasound-guided portal pressure gradient (EUS-PPG) and liver biopsy. These procedures aimed to assess the degree of portal hypertension and to further evaluate liver histology for fibrosis and any other underlying liver pathology, including autoimmune hepatitis.

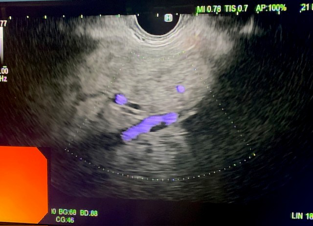
Under general anesthesia, esophagogastroduodenoscopy (EGD) was done using a gastroscope (Olympus America) and there were no esophageal or gastric varices noted. Next, EUS linear array echoendoscope (Olympus America) was passed into the esophagus and advanced into the stomach. The ultrasound image of the liver showed diffuse fatty infiltration. We performed portal pressure gradient using a 25-gauge Cook Echo Tip Insight needle (Cook Endoscopy, Winston Salem, NC). Pulse wave Doppler was used to confirm the middle hepatic vein. From the stomach through the left lobe of the liver, the middle hepatic vein was accessed, and three pressure measurements were taken using digital manometry (Figure 2). The average of 3 measurements from the middle hepatic vein was 17 mmHg. Pulse wave Doppler was used to confirm the left portal vein (Figure 3). Then from the stomach we measured the portal vein pressure by accessing the left portal vein and the average of three measurements was 18 mmHg (Figure 4), giving her a PPG of 1 mmHg. Using Doppler, we ensured there was no bleeding when the needle was withdrawn from both veins (Figure 5 and 6). After the portal pressure gradient measurement, liver core biopsies were done using a 19-gauge Boston Scientific FNB needle (Boston Scientific Marlborough, MA). From the stomach, the left liver lobe was biopsied with the use of EUS to confirm the absence of blood vessels in the needle’s trajectory. One pass and three actuations using the wet heparin technique was performed. The right liver lobe was biopsied from the duodenum and similar methodology was done using the same needle and technique. No bleeding was noted. Both core liver biopsies were sent in formalin to the pathology department for further evaluation.

The procedures were well tolerated and there was no post-procedural pain or adverse events. The patient was discharged home within an hour of procedure completion. She was seen in the outpatient clinic two weeks later without complaints, including pain. Her biopsy showed primary biliary cholangitis findings with bile duct loss and mild steatosis without any fibrosis. Further counseling was offered for weight loss and the prevention of liver disease progression. She was relieved to know that she does not have portal hypertension or cirrhosis of the liver.

 

Figure 1: Pulse wave Doppler of the middle hepatic vein.

Figure 2: Middle hepatic vein needle with manometry to obtain hepatic vein pressure accessed via transgastric, transhepatic approach.

Figure 3: Pulse wave Doppler of left portal vein prior to manometry.

Figure 4: Needle with manometry placed in the portal vein for acquisition of portal vein pressure accessed via transduodenal, transhepatic approach.

Figure 5: Doppler of middle hepatic vein to ensure hemostasis post-manometry.

Figure 6: Doppler of the left portal vein to ensure hemostasis post-manometry.


Discussion

Portal hypertension (PH) is a significant increase in the pressure or vascular resistance of the portal veins. It is most commonly due to cirrhosis, where the liver becomes fibrotic and releases vasoconstrictors, impeding blood flow through the intrahepatic portal veins. This increase in pressure leads to collateral vessel formation and extrahepatic or splanchnic vessel dilation, increasing blood volume and further exacerbating PH while making a series of new, friable blood vessels1. Other important causes of PH include right heart failure, constrictive pericarditis, Budd-Chiari syndrome, portal vein thrombosis, schistosomiasis, granulomatous disease, primary biliary cholangitis, malignancy, polycystic disease, and some congenital diseases. This is a progressive process that leads to variceal vessels in the esophagogastric and anorectal veins, splenomegaly and pancytopenia from hypersplenism, ascites from vascular membrane dysfunction, hepatorenal syndrome, and hepatic encephalopathy2.

Historically, assessing PH was done by interventional radiologists by measuring free hepatic vein pressure and wedged-hepatic vein pressure in a procedure called hepatic vein portal pressure gradient (HVPG)3. In HVPG, a balloon catheter with a manometer is placed in either the internal jugular vein, the femoral vein, or the antecubital vein and advanced into the hepatic veins (HV). The unwedged pressure is measured with the balloon deflated to assess HV pressure. Then the balloon is inflated to measure the wedged hepatic vein pressure (WHVP), which is a surrogate of PV pressure. Contrast dye is injected to confirm balloon occlusion of the vein. The difference between the WHVP and the unwedged pressure is equivalent to the portal pressure gradient (PPG), and a PPG of ≥10mmHg is consistent with clinically significant PH, a threshold where symptoms are expected4. While HVPG is currently the gold standard of diagnosis, it is invasive, requires contrast and ionizing radiation exposure, is only offered at tertiary centers usually, and increases the patient’s risk of developing arrhythmias. Additionally, since the catheter only enters the hepatic vein, the wedge pressure is a poor test for pre-sinusoidal causes of PH, such as PBC. Finally, HVPG has been shown in recent studies to underestimate the PPG in MASLD5.

In 2017, Huang et al. published the first human pilot study of a new measure of portal pressure gradient using EUS-PPG. In this procedure, an upper endoscopy is performed allowing for an updated assessment for varices and gastropathy in addition to the EUS-PPG. Then a needle with a manometer is introduced directly into the PV and HV via a transgastric and transduodenal, transhepatic approach. Color Doppler is used to ensure the absence of bleeding6. Since manometry is measured directly in both HV and PV, it is hypothesized that this may be a more accurate measure of PPG, especially in MASLD and presinusoidal causes of PH. Zhang et al. were the first to compare EUS-PPG to HVPG in the same patients showing that EUS-PPG was safe and had a correlation coefficient of 0.9237. Additionally, in the ENCOUNTER trial all patients referred for a procedure involving HVPG received both HVPG and EUS-PPG to compare measurement correlation between the two procedures. They found that measurements of PPG, HV pressure, and PV pressure had a strong correlation with each other. Additionally, there were no adverse events related to the EUS-PPG procedure. Unfortunately, the sample population was too small to assess influence of presinusoidal or MASLD on pressures, so further research is required to assess if there is a diagnostic benefit to EUS-PPG over HVPG, as hypothesized, in these patient populations8. This research at least shows initial findings of non-inferiority and safety when using EUS-PPG.

This patient is an early anecdote of the safety and efficacy of EUS-PPG. In summary, EUS-PPG avoids ionizing radiation and contrast exposure, while being a safe, available, and accurate test. Additionally, it allows for subsequent endoscopy to evaluate for any varices, perform endoscopic interventions if needed, and perform liver biopsy in the same anesthesia event reducing the cost while maximizing the ability to obtain all the information needed. Since the portal pressures are directly measured it is very useful in presinusoidal causes of portal hypertension. More large-scale clinical trials are required to prove the validity and viability of this novel procedure.

 

References

1. Kim, S., Lewey, S., Meuller, L., Adler, D.G. Endohepatology in clinical practice: EUS-guided portal pressure measurement combined with EUS-guided liver biopsy and variceal screening and treatment in outpatients. Endoscopic Ultrasound. 2024;13(2):89-93.

Kotani, K., Kawada, N. Recent Advances in the Pathogenesis and Clinical Evaluation of Portal Hypertension in Chronic Liver Disease.  Gut and Liver. 2023;18(1):27-39.

Iwakiri, Y. Pathophysiology of portal hypertension. Clin Liver Dis. 2014;18(2):281-291.

Kaplan, D.E., Ripoll, C., Thiele, M., Fortune, B.E., Simonetto, D.A., Garcia-Tsao, G., Bosch, J. AASLD Practice Guidance on risk stratification and management of portal hypertension and varices in cirrhosis. Hepatology. 2024;79(5):1180-1211.

Mitten, E.K., Portincasa, P., Baffy, G. Portal Hypertension in Nonalcoholic Fatty Liver Disease: Challenges and Paradigms. J Clin Transl Hepatol. 2023;11(5):1201-1211.

Huang, J.Y., Samarasena, J.B., Tsujino, T., Lee, J., Hu, K., McLaren, C.E., Chen, W., Chang, K.J. EUS-Guided Portal Pressure Gradient Measurement with a Simple Novel Device – A Human Pilot Study. Gastrointest Endosc. 2017;85(5):996-1001.

Zhang, W., Peng, C., Zhang, S., Huang, S., Shen, S., Xu, G., Zhang, F., Xiao, J., Zhang, M., Zhuge, Y., Wang, L., Zou, X., Lv, Y. EUS-guided portal pressure gradient measurement in patients with acute or subacute portal hypertension. Gastrointest Endosc. 2021 Mar;93(3):565-572.

Vanderschueren, E., Laleman, W., Bonne, L., Maleux, G., Wagner, D.R., Yeh, C., Calvo, A., Sendino, O., Gines, A., Baiges, A., Bruno, M.J., Garcia-Pagan, J.C., van der Merwe, S. Endoscopic Ultrasound-Guided Portosystemic Pressure Gradient Measurement vs. Transjugular Balloon Occlusion Measurement in Patients with Cirrhosis (ENCOUNTER): A Bicentric EU Study. JHEP Reports 2025, 101466.

Figure 1

Figure 2

Figure 3

Figure 4

Figure 5

Figure 6

antarmuka fokus mahjong daya pengguna aktifaws grid serasi mahjong dasar tahapan terjagaaws jejak mekanisme mahjong arah fase lanjutanaws kajian wild berantai mahjong interaktif analitisaws kesesuaian persentase layanan mahjong seluler lanceraws pendalaman persentase mahjong gerak wild mutakhircorak langka mahjong tumbuh perlahan berubahgerak mahjong adaptasi mekanisme pemakai sekarangnalar scatter mahjong malam putaran ekstratempo mahjong kaitan mekanisme keadaan terkinialur permainan mahjong cepat scatter wilddalam hitungan detik scatter wild mahjongmenyatukan naluri pola scatter hitam mahjongmomen mahjong permainan berbalik arahmomen singkat mahjong dinamika permainanperpaduan insting pola scatter hitam momentperubahan drastis mahjong ways scatter wildscatter wild mahjong datang polasekejap berubah scatter wild mahjong wayssensasi baru mahjong lebih scatter wildenergi scatter emas irama reel mahjongevolusi reel mahjong balutan mistisintervensi cepat emas momentum lamakemunculan mendadak naga emas mahjongketika scatter naga emas aktif mahjongnaga emas muncul arah spin mahjongnaga emas ritme mahjong ways berubahrahasia rtp tinggi balik scatter hitamsaat scatter naga emas alih irama reelscatter hitam kunci lonjakan rtp mahjonge5 scatter wild memberikan sentuhan baru di setiap spin mahjong ways 2e5 scatter wild menghidupkan suasana permainan mahjong ways 2e5 scatter wild mengubah pola permainan mahjong ways 2 secara signifikane5 setiap putaran mahjong ways 2 terasa berbeda dengan scatter wilde5 strategi adaptif berbasis analisis rtp hariane5 strategi berbasis data dan algoritma untuk analisis momentume5 strategi berkembang berkat data rtp hariane5 strategi memahami algoritma untuk mengidentifikasi momentum ideale5 strategi membaca pola algoritma demi menangkap momentum optimale5 strategi modern mengandalkan evaluasi rtp hariane5 strategi responsif dengan dukungan evaluasi rtp hariane5 strategi terukur dengan analisis rtp hariane5 struktur scatter dan wild terlihat jelas berkat analisis sistem moderne5 tanpa disadari kombinasi ini sering mengarah ke scatter di mahjong wins 3e5 teknik evaluasi algoritma untuk mendapatkan momentum yang tepate5 teknik observasi sistem untuk analisis momentum yang lebih presisie5 terungkap formasi ini sering jadi awal munculnya scatter di mahjong wins 3e5 transformasi digital rtp live berkat artificial intelligence inovatife5 transformasi ritme mahjong ways 2 dipicu oleh kekuatan scatter wilde5 wajib tahu pola tersembunyi ini sering menghasilkan scattere5 applee5 bananae5 candye5 doge5 eaglee5 falcone5 geminie5 horsee5 indiae5 japananalisa pola mahjong ways rutinanalisis kinerja heuristik variansi gameanalisis pola mahjong ways hariananalisis pola mahjong ways kebiasaanera baru mahjong wins bonus optimalgebrakan bonus mahjong wins mekanisme efisieninsight pola mahjong ways rutinkajian pola mahjong ways rutinkomparasi heuristik variansi game digitalledakan bonus mahjong wins sistem efektifmahjong wins bonus sistem generasi baruobservasi pola mahjong ways harianpendekatan algoritma heuristik variansi gameperbandingan model heuristik variansi gamerahasia bonus mahjong wins sistem cerdasrangkuman pola mahjong ways harianringkasan pola mahjong ways harianstudi pola mahjong ways hariantinjauan heuristik variansi game digitaltinjauan pola mahjong ways harianalur sombol mahjong kemunculan scatterdari rtp mahjong bermain lebih efektifjejak scatter mahjong putaran tenangkejutan scatter wild simbol mahjong arahkemunculan simbol ganda membuat mahjongketika grid mahjong scatter semakin dekatketika rtp mahjong pola mulai lebih jelasketika scatter wild ritme simbol mahjongketika scatter wild titik sesi mahjong waysketika susunan simbol mahjong ritme scattermemahami rtp mahjong cara bermain lebihpergerakan simbol mahjong scatter wildpergeseran mahjong ketika scatter hadirsaat rtp mahjong terbaca baik strategisaat scatter hadir simbol mahjong bergeserscatter wild dinamika simbol mahjongstabilitas putaran mahjong pola scattersusunan baru reel mahjong scatter emassusunan mahjong wins mengandung scattersusunan simbol mahjong diam pola scatterrm menguak keunikan mahjong wins sudut pandang teknisrm cara memahami pergerakan mahjong ways tenaga ekstrarm mahjong wins standar baru industri hiburan digitalrm rahasia ketahanan mahjong ways eksis gempuran gamerm pentingnya memahami transisi level mahjong wins mendalamrm strategi mengatur tempo mahjong ways kendali permainanrm peran kecerdasan buatan mekanisme mahjong wins adilrm alasan keberhasilan mahjong ways mencuri perhatian analisrm mempelajari struktur dasar mahjong wins efisiensi putaranrm inovasi desain mahjong ways kesan bermain responsifrm teknik observasi mahjong wins jarang dibahas dampakrm cara mempertahankan fokus dinamika mahjong ways cepatrm eksplorasi fitur tersembunyi mahjong wins ritme terbaikrm mahjong ways integrasi teknologi modern keamanan nyamanrm analisis faktor pendukung mahjong wins digemari generasirm langkah efektif menyesuaikan perubahan sistem mahjong waysrm mengintip proses pengembangan mahjong wins kualitas penggunarm analisis data membantu membaca arah mahjong waysrm menemukan titik temu insting logika mahjong winsrm transformasi besar mahjong ways menghadirkan tantangan menarikmengungkap simbol langka nasib drastismisteri besar kombinasi simbol langkamisteri simbol langka keberuntungan besarsimbol langka misterius ubah hiduprahasia simbol langka nasib cepattransformasi bonus mahjong wins sistem efektifmahjong wins suguhkan bonus sistem modernsuguhan bonus efisien mahjong winsefektivitas sistem bonus mahjong winsmahjong wins hadirkan bonus sistem optimaloke76cincinbetaqua365slot gacorstc76samurai76TOBA1131samurai76 login