Endoscopic Transpapillary Gallbladder Drainage in a Patient with Recurrent Cholecystitis with Ascites

Endoscopic Transpapillary Gallbladder Drainage in a Patient with Recurrent Cholecystitis with Ascites

Corey Mealer, BS1*, Manjakkollai P. Veerabagu, MD2

 

1. Medical Student, College of Medicine; Medical University of South Carolina.

2. Affiliate Associate Professor; Medical University of South Carolina.

*Correspondence to: Corey Mealer, BS, Medical Student, College of Medicine; Medical University of South Carolina.


Copyright

© 2025 Corey Mealer, BS, This is an open access article distributed under the Creative Commons Attribution License, which permits unrestricted use, distribution, and reproduction in any medium, provided the original work is properly cited.

Received: 25 July 2025

Published: 04 Aug 2025  

DOI: https://doi.org/10.5281/zenodo.16759068

Abstract:

Gallbladder disease is typically managed with laparoscopic cholecystectomy in patients who are suitable surgical candidates. For those patients who are not surgical candidates, alternative drainage methods such as percutaneous cholecystostomy (PC) or endoscopic approaches, namely transpapillary gallbladder drainage (ET-GBD) and endoscopic ultrasound guided gallbladder drainage (EUS-GBD), are available. In patients with ascites, ET-GBD is preferred over PC and EUS-GBD due to its lower risk of peritoneal leak and infection. Moreover, ET-GBD is a safe and effective option that preserves normal anatomy and allows for future gallbladder surgery in patients who improve to become surgical candidates. Recent studies support the use of ET-GBD over PC for improved patient comfort, fewer complications, and improved clinical success rates. This case report describes a 67-year-old man with advanced liver cirrhosis, ascites, and recurrent cholecystitis who was successfully treated with ET-GBD.


Endoscopic Transpapillary Gallbladder Drainage in a Patient with Recurrent Cholecystitis with Ascites

Case

The patient is a 67-year-old male with a past medical history of cirrhosis and portal hypertension with ascites due to alcohol and untreated, chronic hepatitis C infection, thrombocytopenia, active tobacco use, coronary artery disease on prasugrel, congestive heart failure, and chronic obstructive pulmonary disease presented with severe right upper quadrant abdominal pain. He was recently hospitalized for a similar complaint, during which workup showed acute cholecystitis. Due to significant comorbidities, active thrombocytopenia, and prasugrel use on the day of admission, he was managed conservatively with antibiotic, amoxicillin-clavulanate. Three weeks later, he returned to the emergency department with the same recurrent pain and tenderness localized to the right upper quadrant, an abdominal fluid wave, and mild jaundice. Repeat CT of the abdomen demonstrated persistently inflamed gallbladder with wall thickening, cystic duct dilatation, abnormal enhancement along the fundus of the gallbladder, and worsening abdominal ascites consistent with acute on chronic cholecystitis. After multi-disciplinary discussion, the patient was deemed a poor surgical candidate. Transpapillary gallbladder drainage (ET-GBD) was deemed the most appropriate non-surgical option given his overall health. Percutaneous gallbladder drainage (PC) and endoscopic ultrasound-guided GBD (EUS-GBD) with a lumen apposing metal stent (LAMS) were not recommended due to the presence of large-volume, recurrent ascites despite ongoing paracentesis and diuretic therapy. Informed consent was obtained for endoscopic retrograde cholangiopancreatography (ERCP) and ET-GBD.

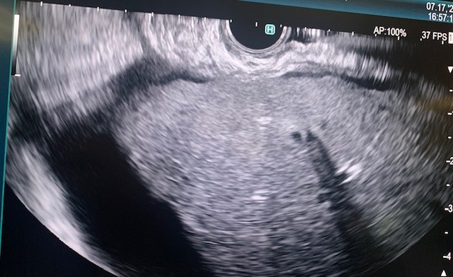
The gastroscope (Olympus, America) was passed into the esophagus under direct visualization. The esophageal and gastroesophageal junction appeared fine without inflammation or lesions. Examination of the stomach showed portal hypertension gastropathy without gastric varices. The duodenal bulb and second part of the duodenum were also clear without pathology. Next, the linear array echoendoscope (Olympus) was passed into the esophagus and advanced into the stomach. EUS imaging revealed a cirrhotic liver surrounded by a large amount of ascites (Fig 1). From the duodenum, the gallbladder was assessed and demonstrated signs of gallbladder wall thickening with a large burden of sludge and small stones (Fig 2).

The side-viewing duodenoscope (Olympus) was passed to the duodenum and the major ampulla appeared normal in the second part of the duodenum. A Jagtome Rx 39 (Boston Scientific) with a loaded revolution Jagwire 0.025 was used to cannulate the common bile duct. Cholangiogram showed a very small bile duct, cystic duct and that the gallbladder was filled with a large amount of sludge. Sphincterotomy was performed over the guidewire, and a black pigmented stone was dislodged from the ampulla. Then the Jagwire was maneuvered into the gallbladder the cystic duct was dilated using a Hurricane balloon 4mm x 4cm (Boston Scientific) (Fig 3). A 7 french 15-cm double pig-tail plastic stent (Boston Scientific) was deployed, the proximal curled pigtail in the duodenum and the distal pigtail end was in the gallbladder through the ampulla (Fig 4). The contrast from the gallbladder was subsequently emptied out of the stent showing patency.

The patient reported significant pain relief the next day. He received three paracenteses over his hospitalization obtaining 9,900mL of fluid and a referral for continued outpatient management was placed. He was discharged three days after ET-GBD completion with resolution of his symptoms.


Discussion

Gallbladder diseases have historically been treated with laparoscopic cholecystectomy in surgical candidates and percutaneous cholecystostomy (PC) in non-operable patients. PC is a radiologic procedure where a catheter is placed in the gallbladder under imaging guidance that allows for external drainage of the gallbladder’s contents through the abdominal wall. In addition to drainage, this procedure allows for extraction of stones and the use of stone dissolution therapy1. While the benefits of this procedure include local anesthesia over general anesthesia and cost-effectiveness, the response rate is highly variable, requires maturation before it can be removed, has a high rate of catheter displacement, and results in a poor quality of life for the patient 2.

Fortunately, several endoscopic procedures have become available in recent years to drain the gallbladder and ultimately treat disease including ET-GBD and EUS-GBD 3. These procedures offer less invasive, safe means of draining the gallbladder that can be particularly useful in non-surgical patients with extensive inflammatory changes of the gallbladder. Additionally, these procedures allow for treatment of gallbladder disease in high-risk patients, while preserving quality of life and the comfort of the patient. Contraindications to all endoscopic procedures of the gallbladder include gallbladder perforation or biliary peritonitis 4.

ET-GBD is a safe ERCP procedure where a transpapillary, transcystic stent is placed to create a direct, patent connection between the gallbladder and the duodenum 5. This stent can be used as a bridge to cholecystectomy while the patient is medically optimized or remain as permanent drainage. This procedure has been around since the 1980s, however it was typically avoided due to technical difficulty advancing the stent. However, now cholangioscopy (Spyglass Boston Scientific) can be used in difficult cases to assist in guidewire placement and to confirm the anatomy of the cystic duct and common bile duct. The adverse events of ET-GBD are very similar to anyone undergoing ERCP, such as bleeding, pancreatitis, perforation, and cholestasis, plus adverse events unique to ET-GBD, such as distal biliary tree perforation and stent migration.

In EUS-GBD, an EUS endoscope is advanced into the stomach and duodenum to assess the anatomy and identify an optimal access point. A cautery-enhanced method is preferred using a hot Axios stent Lumen Apposing Metal stent (Boston Scientific). Access from the duodenum is preferred to the stomach to minimize complications. Once the gallbladder is accessed, a guidewire is introduced, followed by the deployment of a lumen apposing metal stent (LAMS)6. The distal flange of the stent is deployed within the gallbladder and pulled snug against its wall, after which the proximal flange is deployed in the duodenum, creating a secure, artificial communication which over time becomes a mature fistula. This fistula provides a wide lumen for effective drainage while minimizing the risk of bile leakage or stent migration due to the anchoring flanges 7. Compared to PC, EUS-GBD offers superior patient comfort and quality of life, while offering a safe and clinically successful procedure for the management of cholecystitis in non-operative patients. While EUS-GBD has been shown to have clinical and technical success benefits over ET-GBD, ET-GBD is preferred over EUS-GBD in patients with coagulopathy, ascites, or who should avoid anatomy altering procedures such as liver transplantation 8.

There is a broad armamentarium for managing gallbladder disease in high-risk surgical candidates with the introduction of these novel endoscopic procedures. ET-GBD is a safe, effective procedure that can serve as a permanent therapy or a bridge therapy for patients who may become surgical candidates since the anatomy has not been altered by this procedure. Additionally, ET-GBD is a superior intervention in patients with concomitant ascites or coagulopathy. More large-scale trials are required to assess the safety and efficacy in different patient populations with these novel endoscopic procedures.

 

Figure 1. Endoscopic ultrasound of the liver with significant ascites present.

Figure 2. EUS visualization of the gallbladder with stones and a build-up of biliary sludge.

Figure 3. Fluoroscopic evaluation of balloon progression through the common bile duct and cystic duct.

Figure 4. Fluoroscopic imaging of the distal end of the stent deployed in the gallbladder.


References

1.  Akhan, O., Akinci, D., Ozmen, M.N. Percutaneous cholecystostomy. Eur J Radiol. 2002;43(3):229-236.

2. Horn, T., Christensen, S.D., Kirkegård, J., Larsen, L.P., Knudsen, A.R., Mortensen, F.V. Percutaneous cholecystostomy is an effective treatment option for acute calculous cholecystitis: a 10-year experience. HPB (Oxford). 2015;17:326-331.

3. Storm, A.C., Vargas, E.J., Chin, J.Y., Chandrasekhara, V., Abu Dayyeh, B.K., Levy, M.J., Martin, J.A., Topazian, M.D., Andrews, J.C., Schiller, H.J., Kamath, P.S., Petersen, B.T. Transpapillary gallbladder stent placement for long-term therapy of acute cholecystitis. Gastrointest Endosc. 2021;94(4):742-748.e1.

4. Saumoy, M., Yang, J., Bhatt, A., Bucobo, J.C., Chandrasekhra, V., Copland, A.P., Krishnan, K., Kumta, N.A., Law, R.J., Pannala, R., Parsi, M.A., Rahimi, E.F., Trikudanathan, G., Trindade, A.J., Lichtenstein, D.R. Endoscopic therapies for gallbladder drainage. Gastrointest Endosc. 2021;94(4):671-684.

5. Lee, T.H., Park, D.H., Lee, S.S., Seo, D.W., Park, S.H., Lee, S.K., Kim, M.H., Kim, S.J. Outcomes of endoscopic transpapillary gallbladder stenting for symptomatic gallbladder diseases: a multicenter prospective follow-up study. Endoscopy. 2011;43(8):702-708.

6. Irani, S.S., Shazrehi, K., Siddiqui, U.D. AGA Clinical Practice Update on Role of EUS-Guided Gallbladder Drainage in Acute Cholecystitis: Commentary. Clinical Gastroenterology and Hepatology. 2023;21(5):1141-1147

7. Itoi, T., Coelho-Prabhu, N., Baron, T. Endoscopic gallbladder drainage for management of acute cholecystitis. Gastrointest Endosc. 2010;71(6):1038-1045.

8. Podboy, A., Yuan, J., Stave, C.D., Chan, S.M., Hwang, J.H., Teoh, A.Y.B. Comparison of EUS-guided endoscopic transpapillary and percutaneous gallbladder drainage for acute cholecystitis: a systematic review with network meta-analysis. Gastrointest Endosc. 2021;93(4):797-804.

Figure 1

Figure 2

Figure 3

Figure 4

antarmuka fokus mahjong daya pengguna aktifaws grid serasi mahjong dasar tahapan terjagaaws jejak mekanisme mahjong arah fase lanjutanaws kajian wild berantai mahjong interaktif analitisaws kesesuaian persentase layanan mahjong seluler lanceraws pendalaman persentase mahjong gerak wild mutakhircorak langka mahjong tumbuh perlahan berubahgerak mahjong adaptasi mekanisme pemakai sekarangnalar scatter mahjong malam putaran ekstratempo mahjong kaitan mekanisme keadaan terkinialur permainan mahjong cepat scatter wilddalam hitungan detik scatter wild mahjongmenyatukan naluri pola scatter hitam mahjongmomen mahjong permainan berbalik arahmomen singkat mahjong dinamika permainanperpaduan insting pola scatter hitam momentperubahan drastis mahjong ways scatter wildscatter wild mahjong datang polasekejap berubah scatter wild mahjong wayssensasi baru mahjong lebih scatter wildenergi scatter emas irama reel mahjongevolusi reel mahjong balutan mistisintervensi cepat emas momentum lamakemunculan mendadak naga emas mahjongketika scatter naga emas aktif mahjongnaga emas muncul arah spin mahjongnaga emas ritme mahjong ways berubahrahasia rtp tinggi balik scatter hitamsaat scatter naga emas alih irama reelscatter hitam kunci lonjakan rtp mahjonge5 scatter wild memberikan sentuhan baru di setiap spin mahjong ways 2e5 scatter wild menghidupkan suasana permainan mahjong ways 2e5 scatter wild mengubah pola permainan mahjong ways 2 secara signifikane5 setiap putaran mahjong ways 2 terasa berbeda dengan scatter wilde5 strategi adaptif berbasis analisis rtp hariane5 strategi berbasis data dan algoritma untuk analisis momentume5 strategi berkembang berkat data rtp hariane5 strategi memahami algoritma untuk mengidentifikasi momentum ideale5 strategi membaca pola algoritma demi menangkap momentum optimale5 strategi modern mengandalkan evaluasi rtp hariane5 strategi responsif dengan dukungan evaluasi rtp hariane5 strategi terukur dengan analisis rtp hariane5 struktur scatter dan wild terlihat jelas berkat analisis sistem moderne5 tanpa disadari kombinasi ini sering mengarah ke scatter di mahjong wins 3e5 teknik evaluasi algoritma untuk mendapatkan momentum yang tepate5 teknik observasi sistem untuk analisis momentum yang lebih presisie5 terungkap formasi ini sering jadi awal munculnya scatter di mahjong wins 3e5 transformasi digital rtp live berkat artificial intelligence inovatife5 transformasi ritme mahjong ways 2 dipicu oleh kekuatan scatter wilde5 wajib tahu pola tersembunyi ini sering menghasilkan scattere5 applee5 bananae5 candye5 doge5 eaglee5 falcone5 geminie5 horsee5 indiae5 japananalisa pola mahjong ways rutinanalisis kinerja heuristik variansi gameanalisis pola mahjong ways hariananalisis pola mahjong ways kebiasaanera baru mahjong wins bonus optimalgebrakan bonus mahjong wins mekanisme efisieninsight pola mahjong ways rutinkajian pola mahjong ways rutinkomparasi heuristik variansi game digitalledakan bonus mahjong wins sistem efektifmahjong wins bonus sistem generasi baruobservasi pola mahjong ways harianpendekatan algoritma heuristik variansi gameperbandingan model heuristik variansi gamerahasia bonus mahjong wins sistem cerdasrangkuman pola mahjong ways harianringkasan pola mahjong ways harianstudi pola mahjong ways hariantinjauan heuristik variansi game digitaltinjauan pola mahjong ways harianalur sombol mahjong kemunculan scatterdari rtp mahjong bermain lebih efektifjejak scatter mahjong putaran tenangkejutan scatter wild simbol mahjong arahkemunculan simbol ganda membuat mahjongketika grid mahjong scatter semakin dekatketika rtp mahjong pola mulai lebih jelasketika scatter wild ritme simbol mahjongketika scatter wild titik sesi mahjong waysketika susunan simbol mahjong ritme scattermemahami rtp mahjong cara bermain lebihpergerakan simbol mahjong scatter wildpergeseran mahjong ketika scatter hadirsaat rtp mahjong terbaca baik strategisaat scatter hadir simbol mahjong bergeserscatter wild dinamika simbol mahjongstabilitas putaran mahjong pola scattersusunan baru reel mahjong scatter emassusunan mahjong wins mengandung scattersusunan simbol mahjong diam pola scatterrm menguak keunikan mahjong wins sudut pandang teknisrm cara memahami pergerakan mahjong ways tenaga ekstrarm mahjong wins standar baru industri hiburan digitalrm rahasia ketahanan mahjong ways eksis gempuran gamerm pentingnya memahami transisi level mahjong wins mendalamrm strategi mengatur tempo mahjong ways kendali permainanrm peran kecerdasan buatan mekanisme mahjong wins adilrm alasan keberhasilan mahjong ways mencuri perhatian analisrm mempelajari struktur dasar mahjong wins efisiensi putaranrm inovasi desain mahjong ways kesan bermain responsifrm teknik observasi mahjong wins jarang dibahas dampakrm cara mempertahankan fokus dinamika mahjong ways cepatrm eksplorasi fitur tersembunyi mahjong wins ritme terbaikrm mahjong ways integrasi teknologi modern keamanan nyamanrm analisis faktor pendukung mahjong wins digemari generasirm langkah efektif menyesuaikan perubahan sistem mahjong waysrm mengintip proses pengembangan mahjong wins kualitas penggunarm analisis data membantu membaca arah mahjong waysrm menemukan titik temu insting logika mahjong winsrm transformasi besar mahjong ways menghadirkan tantangan menarikmengungkap simbol langka nasib drastismisteri besar kombinasi simbol langkamisteri simbol langka keberuntungan besarsimbol langka misterius ubah hiduprahasia simbol langka nasib cepattransformasi bonus mahjong wins sistem efektifmahjong wins suguhkan bonus sistem modernsuguhan bonus efisien mahjong winsefektivitas sistem bonus mahjong winsmahjong wins hadirkan bonus sistem optimaloke76cincinbetaqua365slot gacorstc76samurai76TOBA1131samurai76 login